マウスピース型矯正治療(インビザライン)の治療期間が延びる理由

マウスピース型矯正装置(インビザライン・薬機法対象外)の治療期間は1年半〜2年半です。治療計画の難易度と装置使用時間で決まります。
目次
治療期間を決定する治療計画難易度

矯正治療に期間を要する理由は、「目で見える歯の部分」を動かすには、「目に見えない歯茎の中の歯根」を同時に動かさなくてはならないからです。この歯根は骨の中にあるため、もちろん矯正装置を装着する事はできません。つまり歯根には直接、矯正力を加える事ができないわけです。間接的に矯正力をかけて効率的に移動させても、せいぜい1カ月で0.5mm程度しか動かせません。ですから、矯正治療は年単位の治療期間がかかるのです。
ここで気になるのは、ワイヤー型装置の場合とマウスピース型装置【インビザライン・薬機法対象外※】で治療期間は異なるのかというところですが、基本的には関係性ありません。治療期間は矯正装置の種類で決まるわけではなく、治療方針で決まります。ただし、それぞれの装置の特性から、得意な歯並びと苦手な歯並びがありますので、苦手な治療方針には期間を要する事があります。
1年程度で終了できるケース
治療計画によって、歯根部の移動量は異なります。ですから、見える歯の頭の部分である「歯冠」の移動中心で治療できる場合は動かしやすく、1年程度の治療期間で終わる事もあります。例えば前歯部分を中心とした軽度の歯列不正である場合、微調整する追加アライナーも多く必要とせず、短い治療期間で終了できます。切端咬合といって前歯が噛んでいないケースも歯根の移動量は少なく早く治ります。

奥歯を動かす計画には期間がかかる
治療期間が長くかかるのは、太い歯根が2本以上ある奥歯を大きく動かす方針です。奥歯は平行移動させる事が難しく、治療期間の設定が長くなります。急いで動かそうとすると傾斜という歯冠部分のみの動く倒れ込みが発生してしまいます。また、奥歯を動かさなかったとしても、固定源に使用して前歯を後ろに引っ込める「出っ歯」や「受け口」の治療期間は2年程度になります。また、前歯の移動量が大きい小臼歯抜歯を併用した治療計画の場合は2年半程度の治療期間をみていただく必要があります。

計画通り終わるかは矯正装置使用時間の遵守が大事
診断時に提示する治療期間はあくまでアライナー(マウスピース)を規定通り使用した場合の治療期間になります。当然ですが、アライナーを使用していない時間は矯正力は働きません。この使用時間の遵守が計画通りの治療期間で終了させるため最も重要な要素となります。
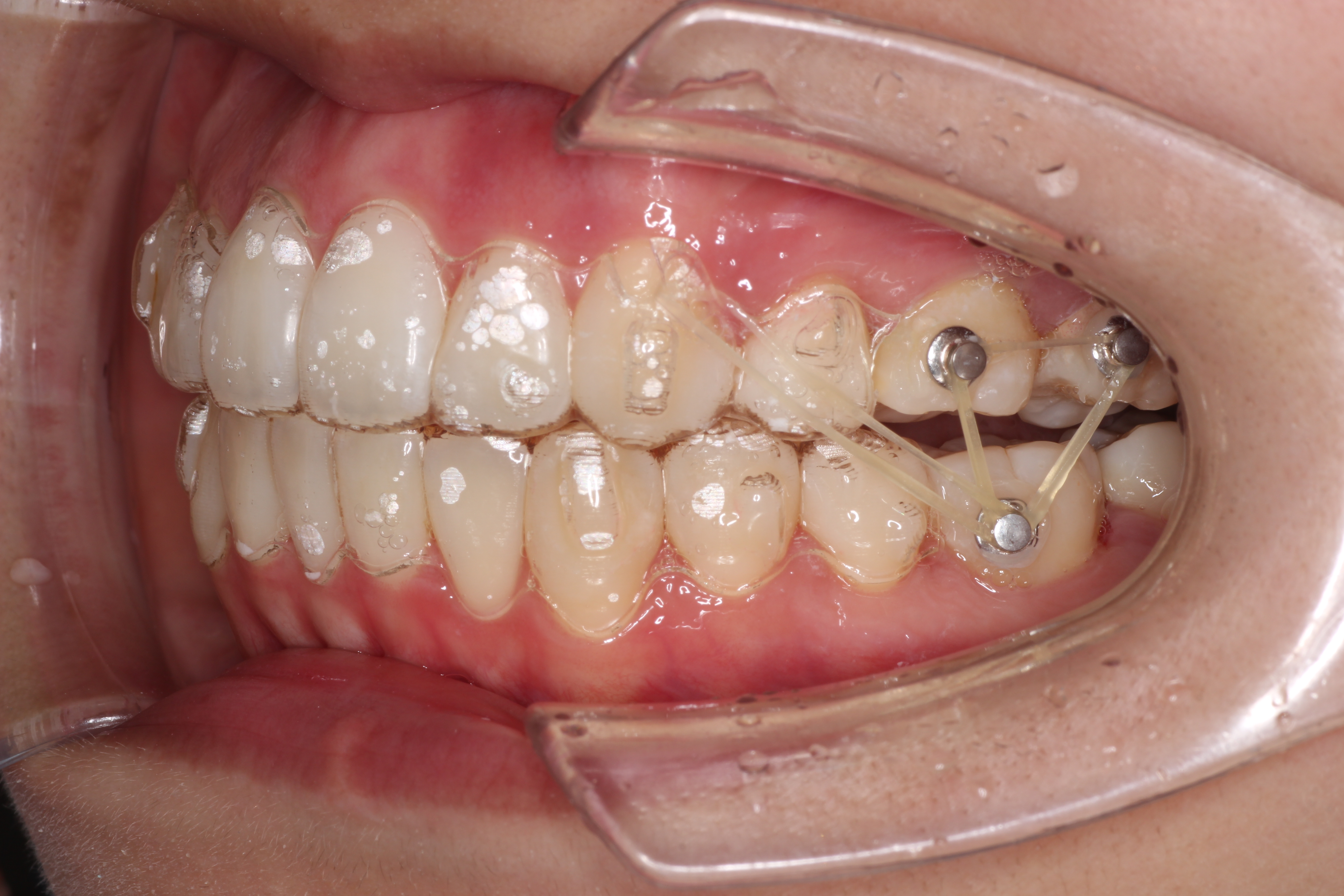
顎間ゴムの使用も大切

マウスピース型矯正装置(インビザライン・薬機法対象外)は遠心移動と呼ばれる、奥歯から1歯づつ移動させる方法が得意とされています。この方法を行うためには、顎間ゴムをマウスピース装着時に上下にかけ続ける必要があります。マウスピースはしっかり使用していても、この顎間ゴムの使用をおろそかにしていると、後方移動が成功せずそれまでの治療期間が無駄になる可能性もあります。
ま た、どうしても奥歯でシートを1層噛んでいるため、マウスピース型矯正装置(インビザライン・薬機法対象外)は奥歯の噛み合わせの仕上がりが甘くなりやすいです。ですから、治療の終盤には、奥歯に顎間ゴムをかけ続けてもらう必要があります。
少しの油断が積み重なると
マウスピース型矯正装置【インビザライン・薬機法対象外】の怖いところは、使用時間が少なくても、しばらくは予定通りのマウスピース交換ができてしまうところです。そして、少しづつ合わなくなってきて、ある日突然全くマウスピースが入らなくなってしまいます。そのまま最後のマウスピースまで到達できたとしても、治療計画と異なる歯の動きをしている事もあります。このような場合はリカバリーというステージに進みます。

リカバリーになると治療期間が延長
様々な理由で、一度リカバリーステージに進むと、当初の治療計画まで戻ってくるまで、最低6か月〜1年はかかってしまいます。もちろんその間は、治療は進みませんので、治療期間は延びていってしまいます。抜歯ケースで治療の難易度が高い場合は、リカバリーをプラスすると治療期間が3年を超えてしまう事もあります。

その他の要素
上記の内容以外に、マウスピース型矯正装置(インビザライン・薬機法対象外)の治療期間には以下の内容に注意が必要になります。
アポイントの問題による治療期間のロス
多くの治療計画では、初回にオーダーしたマウスピースのみで終わる事はありません。追加アライナーと呼ばれる微調整をするアライナーが平均2回ほど必要になります。
今まで2か月に1回で通院していたのが、そのタイミングで来院間隔が急に1か月後と短くなります。追加アライナー作成中は、基本的に歯列は動かさず待機しているため治療は中断中になります。そこで、医院混雑状況や患者さん都合の問題で、追加アライナーを装着するのが遅くなると治療期間が地味に延びていってしまいます。
また、最終ステージのマウスピースを使用していても、なかなか新しいマウスピースのための型取りに通院できないという場合もわずかながら治療期間は延長していってしまいます。
5年を超えるとタイムリミット
マウスピース型矯正装置【インビザライン・薬機法対象外】のシステムは初回発注してから最大5年間までしか、同じラインセンスで発注し続ける事ができません。その後は新規患者さんとして再度システム登録をしなくてはなりません。ですから、治療期間は5年以内になります。
薬機法対象外について
※マウスピース型矯正治療(インビザライン)を希望の方は必ずお読み下さい。
・マウスピース型矯正装置(インビザライン)は医薬品医療機器等法(薬機法)の承認を受けいていない未承認医薬品です。
・マウスピース型矯正装置(インビザライン)はアライン・テクノロジー社の製品であり、インビザライン・ジャパン社を介して入手しています。国内にもマウスピース型矯正装置として医薬品医療機器等法(薬機法)の承認を受けいているものは複数存在します。
・マウスピース型矯正装置(インビザライン)は1998年にFDA(米国食品医薬品局)により医療機器として認証を受けています。
・マウスピース型矯正装置(インビザライン)は完成物薬機法対象外の矯正歯科装置であり、ごく希ですが、副作用が起きてしまった場合などは承認薬品を対象とする医薬品副作用被害救済制度の対象外となる場合があります。
【記事執筆者の略歴】
牧野 正志
徳島大学歯学部卒業 (2006)
東京歯科大学 歯科矯正学講座 研修課程修了 (2010)
まきの歯列矯正クリニック開設 (2012)
日本矯正歯科学会 認定医・臨床医

