開咬はマウスピース型矯正装置に向いている
2026/4/20更新

マウスピース型矯正装置【インビザライン・薬機法対象外※】は、様々な歯並びの中で開咬症状が一番の適応症です。
- マウスピース型矯正治療を希望の方は必ずお読み下さい。
- マウスピース型矯正装置(インビザライン)は医薬品医療機器等法(薬機法)の承認を受けいていない未承認医薬品です。
- マウスピース型矯正装置(インビザライン)はアライン・テクノロジー社の製品であり、インビザライン・ジャパン社を介して入手しています。
- マウスピース型矯正装置(インビザライン)は1998年にFDA(米国食品医薬品局)により医療機器として認証を受けています。
- マウスピース型矯正装置(インビザライン)は完成物薬機法対象外の矯正歯科装置であり、ごく希ですが、副作用が起きてしまった場合などは承認薬品を対象とする医薬品副作用被害救済制度の対象外となる場合があります。
目次
歯の移動に制限があるマウスピース型矯正装置
マウスピース型矯正装置【インビザライン・薬機法対象外】には過蓋咬合の治療に向いていないケースがあると、以前説明しました。その理由は、過蓋咬合の改善に必要な前歯を歯茎方向に沈める圧下移動や、前に突出している前歯を後方お移動させるために必要な歯根を動かすトルク移動が、マウスピース単体では困難であるからです。
一方、マウスピース型矯正装置は構造上、傾斜移動と呼ばれる歯を倒す移動は動かしやすいと言えます。ですから歯根を動かす量が少ない、もしくは動かす本数が少ない治療計画にはとても向いていると言えます。このような前歯を後ろに倒しこむ治療計画ないなりやすい症状は開咬(オープンバイト)になります。
開咬とは、上下の前歯が全く噛んでいない状態で、奥歯でしか接触しません。症状を持っている方ならわかると思いますがサンドイッチが前歯で噛み切れません。さらに、8020達成者(80歳で20本以上歯を残っている)に開咬症例は存在しないという研究からも、あまり良いかみ合わせではありません。これは、バランスよく噛む力が歯に伝わらないため、奥歯や顎関節に過剰な負担がかかりやすいからと考えられています。
【参考文献】8020達成者の口腔内模型および頭部X線規格写真分析結果について
※開咬だからといって、歯を早く失うという内容ではありません。
マウスピース型矯正装置の特徴がマッチ
開咬の治し方は、以下の3つです。
①前歯の歯軸を内側に変える
②奥歯を歯茎方向に沈める
③舌癖の影響を最小限に抑える
これらを併用しながら治します。マウスピース矯正装置もワイヤー矯正装置も治療へのアプローチの考え方は基本的には同じです。
前歯の歯軸を内側に変える【前歯の相対的挺出】
多くの開咬ケースは上の前歯が前開きに倒れています。つまり少し出っ歯傾向になっているということです。この前歯を後ろにスペースを作り内側に倒しこむ事で、相対的挺出といって歯茎から出る方向にも移動するため開咬が治るのです。はじめに書きましたが、マウスピース型矯正装置は、この前歯を倒しこむ傾斜移動が得意としています。

<前開きの前歯を倒しこむイメージ>
奥歯を歯茎方向に沈める【臼歯圧下】
開咬を治すための、意外な治療方針はこちらです。あご骨には、頭の骨と蝶番になっています。顎関節という耳の下にある関節を中心に回転運動で開閉できるのです。そして靭帯が延びるとこるまで口が開き、歯が当たるところまで口を閉じます。開咬の場合は奥歯が当たるところまでしか口が閉じれない形になります。ですから、この奥歯をもっと歯茎方向に沈めれば、もう少し口が閉じれるようになり、結果的に上下の前歯が近くのです。
この奥歯を沈める移動を「臼歯の圧下」と呼び、マウスピース型矯正装置【インビザライン・薬機法対象外】の場合は、意図しなくても毎日アライナーを装着しているだけで噛む力が加わり、自動で発生します。他の歯並びの矯正の場合は、最後の噛み合わせの調整の際に、奥歯が上手く噛み合わずデメリットになるメカニズムですが、開咬の場合だけは、むしろその症状が改善方向に向かうわけです。

<奥歯が圧下することであごが閉じやすくなる>
舌癖の影響を最小限に抑える【筋機能訓練】
開咬症状の患者さんは、必ずと言っていいほど舌の癖があります。舌小帯と呼ばれる筋が短かく舌が上に持ち上がりずらい低位舌であったり、前歯が空いているため会話時や飲食時に隙間を舌で隙間を埋めようとする舌突出癖がある状態があります。この舌癖は、前歯を前方向に押し出し、前歯が噛むのを妨げてしまいます。
この舌癖の根本改善は筋機能療法(MFT)と呼ばれる、日々の地道な舌の位置を補正するトレーニングが必要になります。とはいっても、開咬の方は上下の前歯が開いているので、意識せず舌で隙間を減らそとしてしまいます。まずは、矯正治療で歯並びを先に治さなくては、舌癖を改善させる事は難しいと考えます。
ですが、マウスピース型矯正装置は、歯の裏面までカバーされていますので、前歯にかかる舌圧の力をある程度は減らしてくれます。
<舌で前歯を前に押そうとしている>
わかりやすい特徴は面長の方
いかがでしたしょうか。マウスピース型矯正装置【インビザライン・薬機法対象外】が開咬症例に向いている事がわかっていただけたではないでしょうか。ちなみに、開咬傾向の方のお顔の特徴としては「面長」です。顎がスッと縦にシャープに伸びていて弥生人顔とでもいうのでしょうか。面長の方は前歯の噛み合わせが深くない傾向にあり、マウスピース型矯正装置【インビザライン・薬機法対象外】治療向きと考えていただいても良いと思います。
面長傾向のお顔の方はマウスピース型矯正装置が適応である
治療例
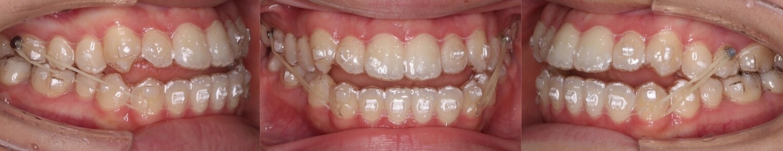
マウスピース型矯正治療向きの比較的軽度の開咬症例を紹介します。このようなケースは、ワイヤー矯正治療よりマウスピース矯正治療が治療期間も短く、一番の適応症と言えます。

●治療前の歯並び

①治療途中の様子

②治療途中の様子

○治療後の歯並び
<症例概要>
主訴:開咬
年齢・性別:高校生女性
症状:開咬
治療方針:下顎後方移動、下顎臼歯圧下
治療装置:マウスピース型矯正装置(アライナー装置)
固定装置:III級顎間ゴム
アライナー枚数:60+12ステージ (7日交換)
治療期間:1年11か月
リテーナー:上下フィックスタイプ+クリアタイプ
治療費用:990,000(税込)
代表的副作用:痛み・治療後の後戻り・歯根吸収・歯髄壊死・歯肉退縮
▶︎その他の副作用
【この記事の執筆者の略歴】
牧野正志
徳島大学歯学部卒 (2006)
東京歯科大学歯科矯正学講座 研修課程修了 (2010)
まきの歯列矯正クリニック開設 (2012)
日本矯正歯科学会 認定医・臨床医


