
開咬(オープンバイト)の矯正治療例
開咬とは、顎を色んな方向に動かしても、上下の前歯がぶつからない状態です。多くの場合は前歯の先が「もぐらの手」のようにデコボコの溝があります。これは歯に適切な咬合による摩耗が起きていない証拠です。長期的な持ちの良さという点からは奥歯に負担がかかりやすい噛み合わせであり、早期に奥歯を失いやすいと報告されています。原因は様々ありますが、舌の形状や使い方に問題がある方が多く口腔筋機能トレーニングも併用した方が予後が安定します。
治療方法は奥歯を歯茎方向沈め、前歯をより出します。前歯が前方に出ている場合は後ろに引っ込めるために小臼歯もしくは親知らずの抜歯が必要になります。治療のメカニズム上、マウスピース型装置が向いている歯列不正になります。
目次
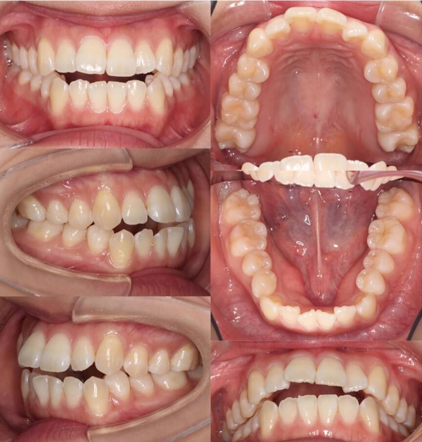
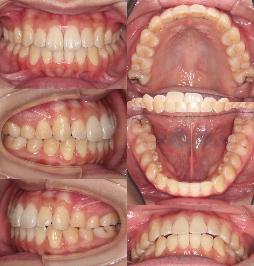
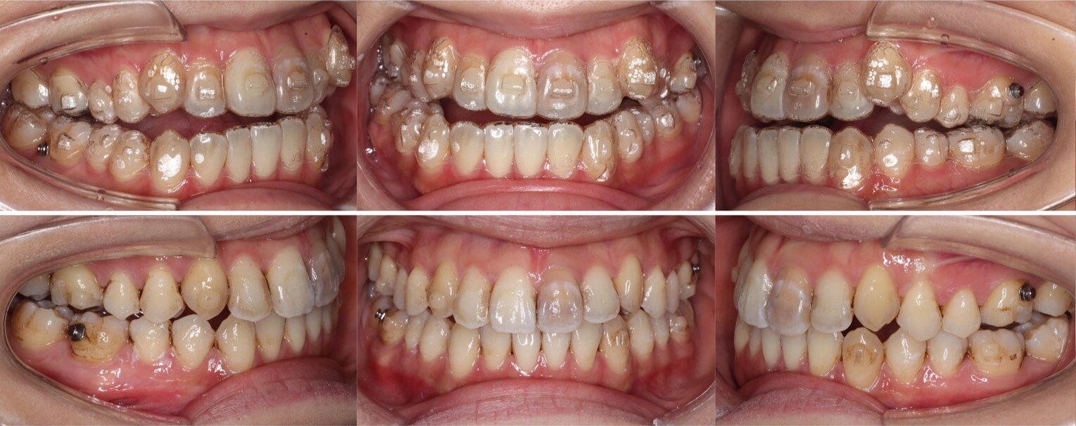
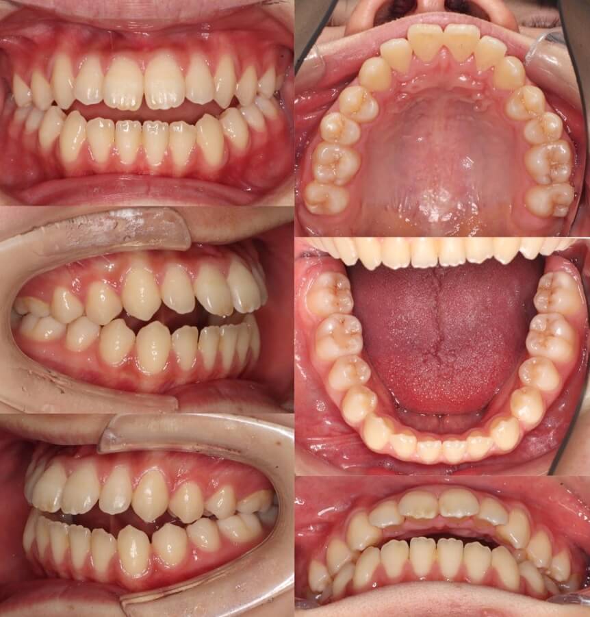
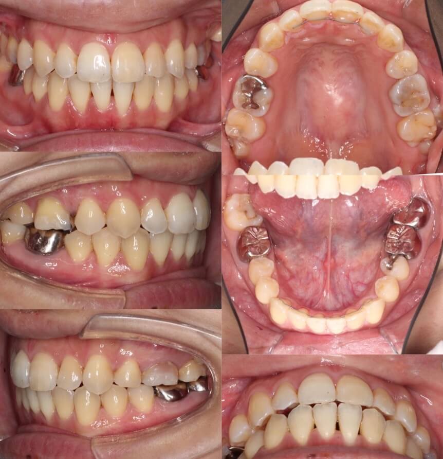
20代女性・マウスピース型矯正・側貌突出
<症例概要> 難易度★★☆☆☆
主訴:開咬
年齢・性別:20代女性
住まい:千葉県船橋市
症状:開咬
治療方針:下顎後方移動、下顎臼歯圧下、IPR
治療装置:マウスピース型矯正装置(アライナー装置)
固定装置:III級顎間ゴム
アライナー枚数:50+13ステージ (7日交換)
治療期間:1年3か月
リテーナー:上下フィックスタイプ+クリアタイプ
治療費用:990,000(税込)
代表的副作用:痛み・治療後の後戻り・歯根吸収・歯髄壊死・歯肉退縮
▶︎その他の副作用
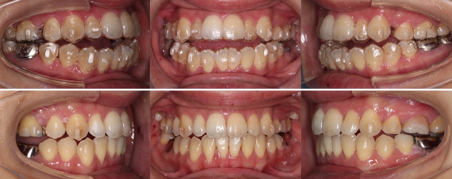
【治療シミュレーション】
下の歯並びを順番に後方移動を行い、奥歯の高さを低くするような移動を行なっています。これにより徐々に開咬になっている前歯が近づきます。
※マウスピース型カスタムメイド矯正歯科装置は完成物薬機法対象外の矯正装置であり、医薬品副作用被害救済制度の対象とはならない可能性があります。

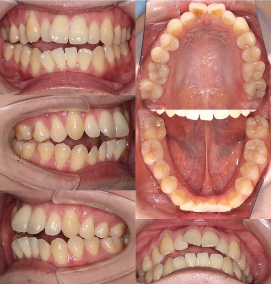
このような顎先が目立ちづらく少し口元に前突感がある開咬は、マウスピース型矯正装置をの適応症です。前歯の開咬が改善するだけでなく、多少ですが顎先が前方に移動し横顔のバランスもよくなりました。オートローテション効果もあり下顔面高も少し短くなりました。
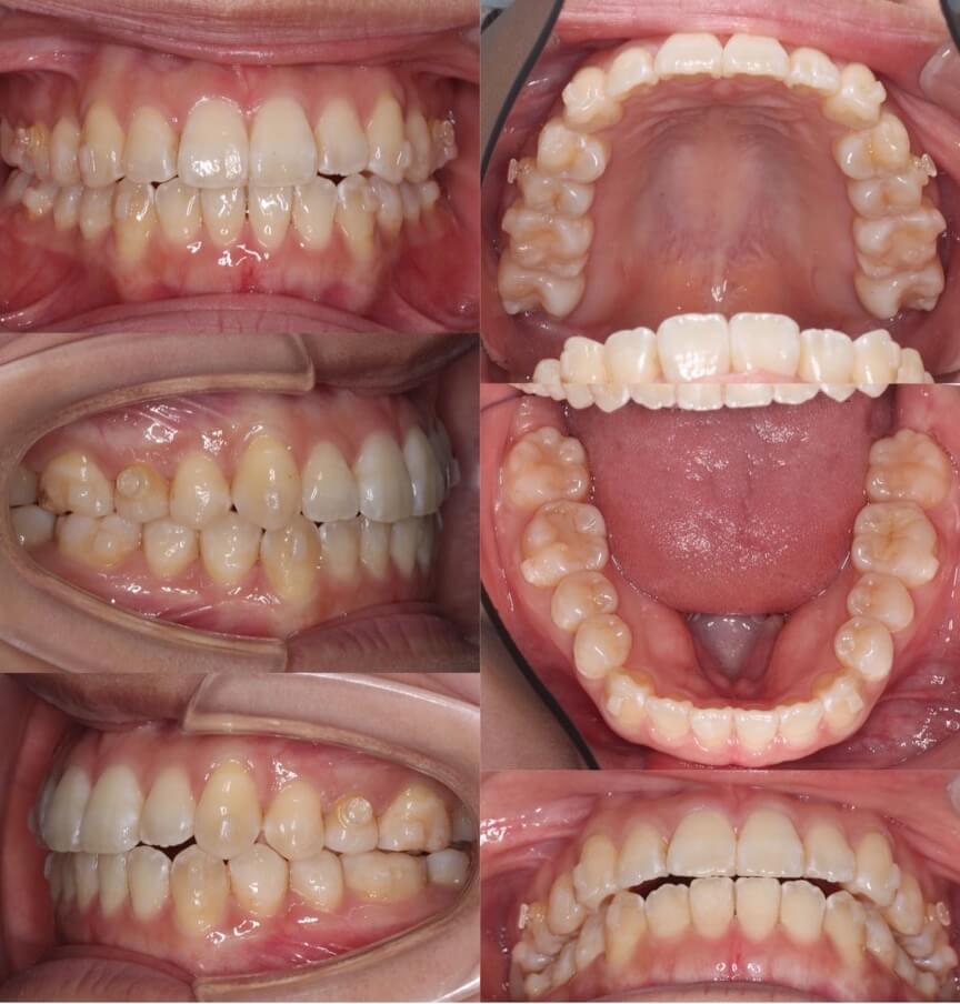
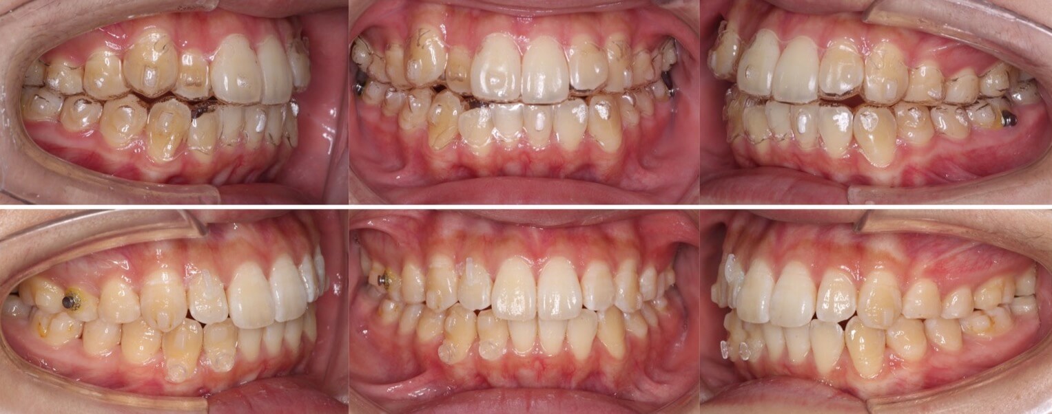
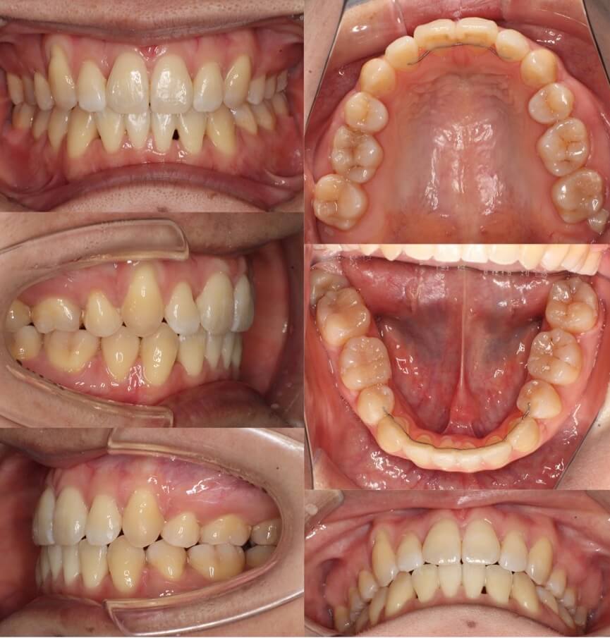
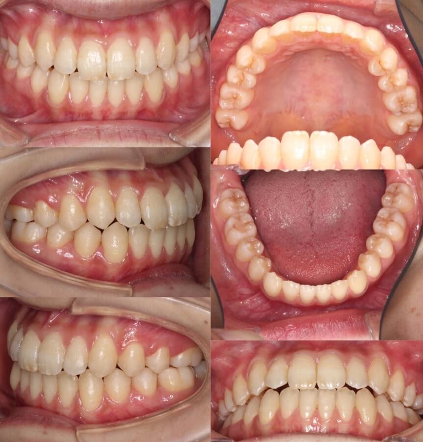
20代女性・マウスピース型装置

マウスピース矯正治療では2番(側切歯)の挺出(牽引)不足によく悩まされます。この症例は、右上2番が挺出不足となり、前歯にボタンをつけてゴムをかけてもらい引き出しました。
<症例概要> 難易度★★☆☆☆
主訴:前歯で噛めない
年齢・性別:大学生女性
住まい:千葉県八千代市
症状:開咬・叢生
治療方針:上顎後方移動、上顎臼歯圧下、IPR
治療装置:マウスピース型矯正装置(アライナー装置)
固定装置:III級顎間ゴム
アライナー枚数:35+37+12ステージ (7日交換)
治療期間:1年10か月
リテーナー:上下フィックスタイプ+クリアタイプ
治療費用:990,000(税込)
代表的副作用:痛み・治療後の後戻り・歯根吸収・歯髄壊死・歯肉退縮
▶︎その他の副作用
【治療シミュレーション】
上の歯並びを順番に後方移動を行い、奥歯の高さを低くするような移動を行なっています。これにより徐々に開咬になっている前歯が近づきます。
※マウスピース型カスタムメイド矯正歯科装置は完成物薬機法対象外の矯正装置であり、医薬品副作用被害救済制度の対象とはならない可能性があります。
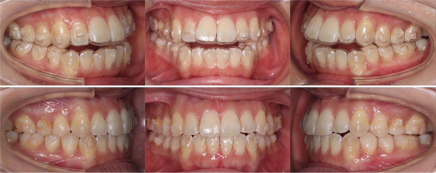
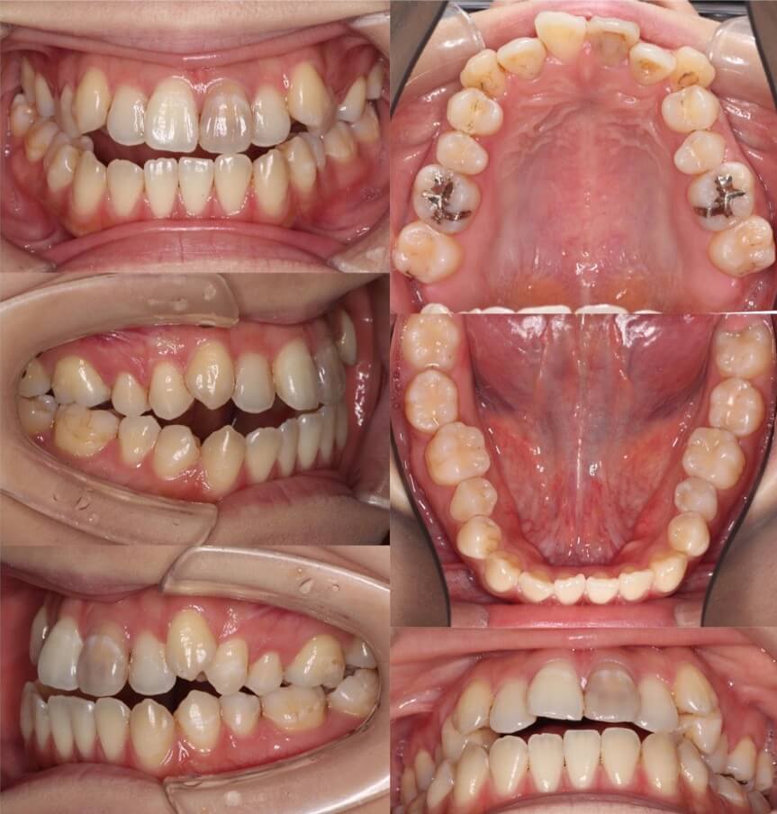
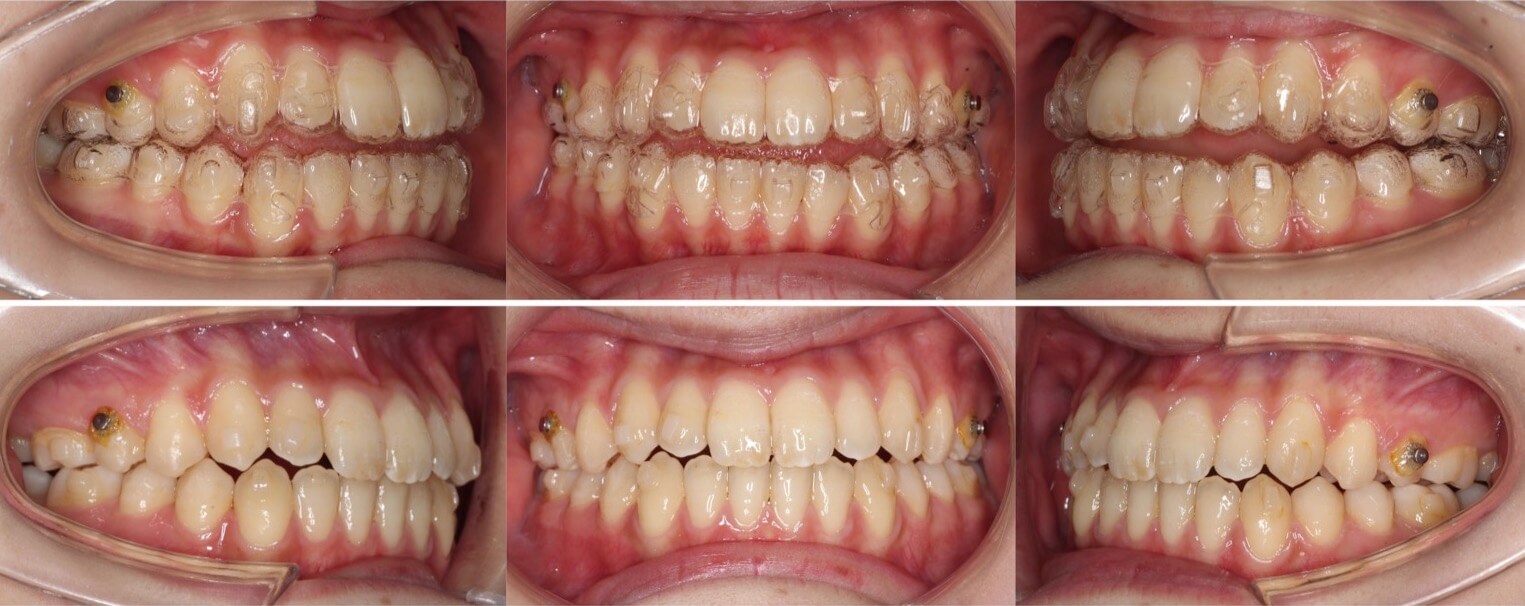
20代女性・マウスピース型装置・非対称

下あごの左右の非対称もある少し難しい症例です。患者さんの同意のもと骨格の偏位の改善はせず、歯の位置のみの改善を目指すカモフラージュ治療を行っています。歯の神経血管が切れている左上の変色している前歯は、矯正治療終盤でかかりつけの歯科医院で被せ歯に変えてもらいました。
<症例概要> 難易度★★★★☆
主訴:開咬
年齢・性別:20代女性
住まい:千葉県船橋市
症状:開咬・下顎右偏・正中線のズレ・叢生
治療方針:右上と左下臼歯圧下・前歯挺出・IPR
治療装置:マウスピース型矯正装置(アライナー装置)
固定装置:II級顎間ゴム+III級顎間ゴム
抜歯:下親知らず(計2本)
アライナー枚数:56+41+24ステージ (7日交換)
治療期間:2年2か月
リテーナー:上下クリアタイプ
治療費用:990,000(税込)
代表的副作用:痛み・治療後の後戻り・歯根吸収・歯髄壊死・歯肉退縮
▶︎その他の副作用
※マウスピース型カスタムメイド矯正歯科装置は完成物薬機法対象外の矯正装置であり、医薬品副作用被害救済制度の対象とはならない可能性があります。
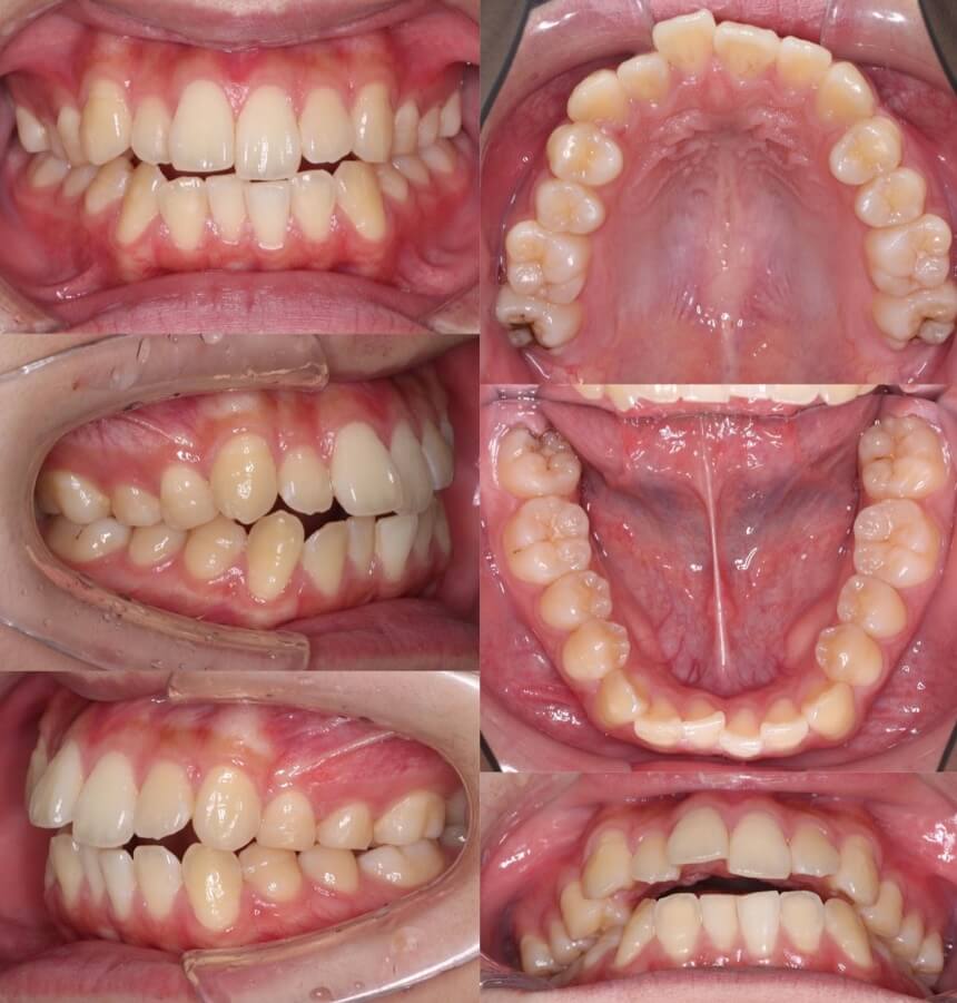
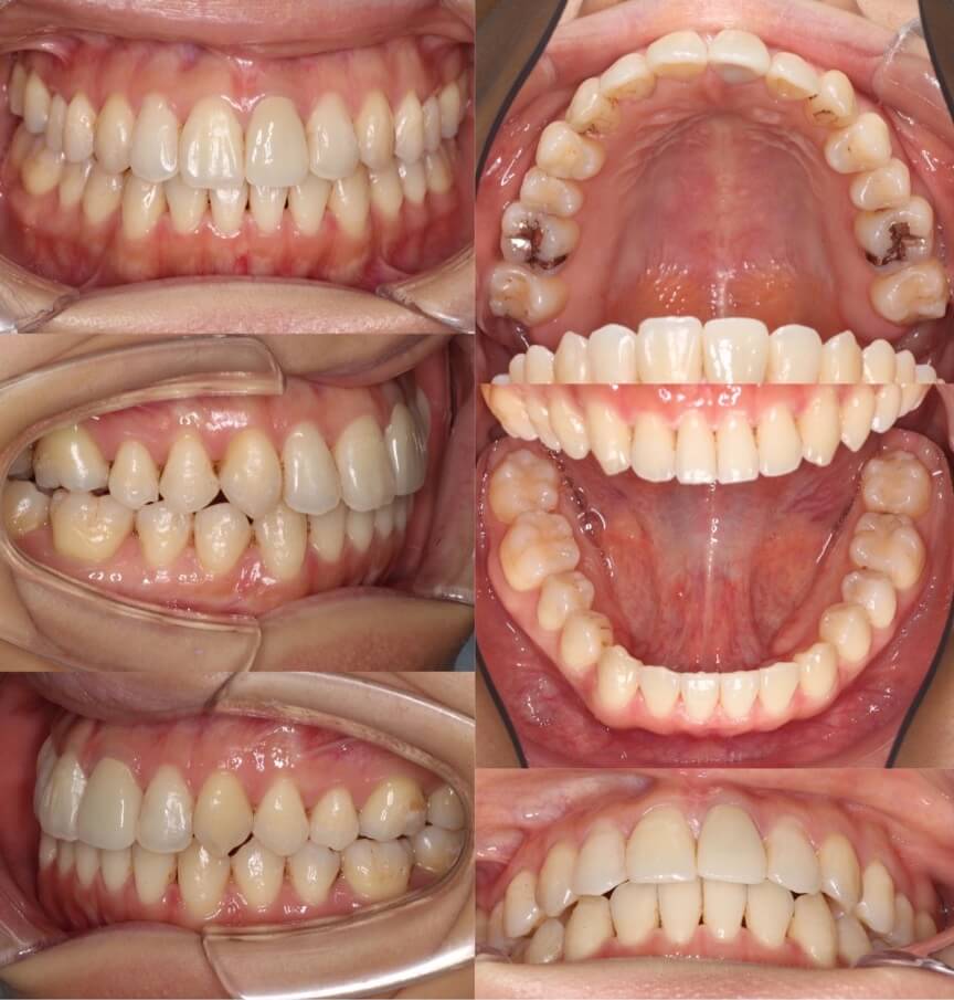
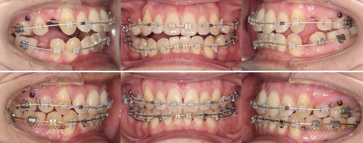
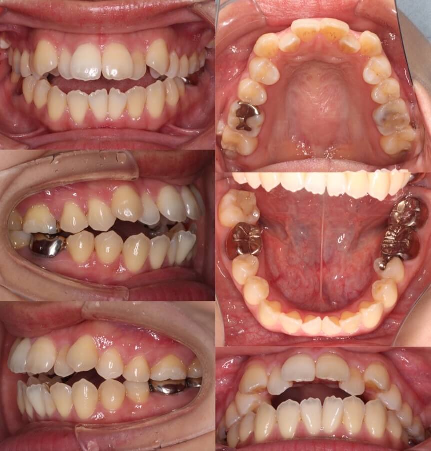
20代女性・唇側矯正装置・抜歯

口元の突出も改善させるため、小臼歯抜歯を併用しました。できるだけ前歯が後ろに引っ込むようにアンカースクリューという固定源を使用しています。このように開咬の改善と同時に横顔の積極的な改善も行う場合は、表側ワイヤー矯正装置の方が向いています。
<症例概要> 難易度★★★★☆
主訴:開咬・口元の突出
年齢・性別:20代女性
住まい:千葉県八千代市
治療方針:抜歯空隙閉鎖(最大固定)
治療装置:唇側矯正装置
固定装置:歯科矯正用アンカースクリュー(上頬側x2)
抜歯:上下第一小臼歯(計4本)
治療期間:2年6か月
リテーナー:上下フィックスタイプ+プレートタイプ
治療費用:935,000(税込)
代表的副作用:痛み・治療後の後戻り・歯根吸収・歯髄壊死・歯肉退縮
▶︎その他の副作用
大学生女性・マウスピース型装置

がたつきのない一般的な開咬症例です。ただ中々上下の前歯が近づかず治療期間は割とかかってしまいました。このように比較的得意なマウスピースだからといってすぐに開咬が治るというわけではありません。
<症例概要> 難易度★★☆☆☆
主訴:開咬
年齢・性別:大学生女性
住まい:千葉県八千代市
症状:開咬
治療方針:下顎後方移動、下顎臼歯圧下、IPR
治療装置:マウスピース型矯正装置(アライナー装置)
固定装置:III級顎間ゴム
抜歯:下親知らず(計2本)
アライナー枚数:47+38+31ステージ (7日交換)
治療期間:2年6か月
リテーナー:上下クリアタイプ
治療費用:990,000(税込)
代表的副作用:痛み・治療後の後戻り・歯根吸収・歯髄壊死・歯肉退縮
▶︎その他の副作用
【治療シミュレーション】
下の奥歯を少しづつ歯茎方向に沈め、前歯のかみ合わせを作ります。
※マウスピース型カスタムメイド矯正歯科装置は完成物薬機法対象外の矯正装置であり、医薬品副作用被害救済制度の対象とはならない可能性があります。
20代女性・マウスピース型装置・抜歯

前歯の開咬症状に加え、少し出っ歯症状もあったため、上2本抜歯を併用した矯正治療方針を立てました。途中ゴムの使用時間が落ちてしまった事で、奥歯のかみ合わせが悪くなったり、歯肉退縮が発生してしまったのですが、ある程度はリカバリーする事ができました。
【治療シミュレーション】
上は抜歯空隙閉鎖を、下は遠心移動とIPRを行い上下の前歯を後方移動させ開咬を改善します。
※マウスピース型カスタムメイド矯正歯科装置は完成物薬機法対象外の矯正装置であり、医薬品副作用被害救済制度の対象とはならない可能性があります。
<症例概要> 難易度★★★★☆
主訴:開咬
年齢・性別:20代女性
住まい:千葉県佐倉市
治療方針:抜歯空隙閉鎖
治療装置:マウスピース型矯正装置(アライナー装置)
固定装置:III級顎間ゴム
抜歯:右上5番・左上4番(計2本)
アライナー枚数:57+27+23ステージ (7日交換)
治療期間:2年2か月
リテーナー:上下クリアタイプ+上フィックスタイプ
治療費用:990,000(税込)
代表的副作用:痛み・治療後の後戻り・歯根吸収・歯髄壊死・歯肉退縮
▶︎その他の副作用
※マウスピース型カスタムメイド矯正歯科装置は完成物薬機法対象外の矯正装置であり、医薬品副作用被害救済制度の対象とはならない可能性があります。
高校生女子・マウスピース型装置・抜歯

<顔のビフォーアフター>





<症例概要>
主訴:開咬
年齢・性別:高校生女性
住まい:千葉県船橋市
治療方針:抜歯空隙閉鎖
治療装置:マウスピース型矯正装置(アライナー装置)
抜歯:上下第一小臼歯(計4本)
アライナー枚数:58+15+14ステージ (7日交換)
治療期間:1年8か月
リテーナー:上下クリアタイプ+上フィックスタイプ
治療費用:990,000(税込)
代表的副作用:痛み・治療後の後戻り・歯根吸収・歯髄壊死・歯肉退縮
▶︎その他の副作用
※マウスピース型カスタムメイド矯正歯科装置は完成物薬機法対象外の矯正装置であり、医薬品副作用被害救済制度の対象とはならない可能性があります。

10代の場合はマウスピース型矯正装置でも、歯の動きが早く、短い治療期間で終わる事ができます。重度の開咬症状ですが、きれいに治す事ができました。
20代女性・マウスピース型装置・非抜歯

<顔のビフォーアフター>





<症例概要>
主訴:開咬
年齢・性別:20代女性
住まい:千葉県我孫子市
治療方針:下顎後方移動と圧下+IPR
治療装置:マウスピース型矯正装置(アライナー装置)
固定装置:III級顎間ゴム
抜歯:なし
アライナー枚数:58+15+14ステージ (7日交換)
治療期間:1年8か月
リテーナー:上下クリアタイプ+上フィックスタイプ
治療費用:990,000(税込)
代表的副作用:痛み・治療後の後戻り・歯根吸収・歯髄壊死・歯肉退縮
▶︎その他の副作用
※マウスピース型カスタムメイド矯正歯科装置は完成物薬機法対象外の矯正装置であり、医薬品副作用被害救済制度の対象とはならない可能性があります。

上下の前歯が合わさらない開咬症例です。下の奥歯を圧下(歯茎方向に沈める)して前歯を近づけました。治療後は、スマイル時に上下の前歯がキレイに見えるようになりました。
20代女性・マウスピース型装置・空隙歯列

<顔のビフォーアフター>





<症例概要>
主訴:開咬
年齢・性別:20代女性
住まい:千葉県八千代市
治療方針:空隙閉鎖+上顎歯列後方移動
治療装置:マウスピース型矯正装置(アライナー装置)
抜歯:上左右親知らず(計2本)
治療期間:1年5か月
アライナー枚数:40+31ステージ (7日交換)
リテーナー:上下クリアタイプ
治療費用:990,000(税込)
代表的副作用:痛み・治療後の後戻り・歯根吸収・歯髄壊死・歯肉退縮
▶︎その他の副作用
※マウスピース型カスタムメイド矯正歯科装置は完成物薬機法対象外の矯正装置であり、医薬品副作用被害救済制度の対象とはならない可能性があります。

マウスピース型矯正装置は開咬治療には圧倒的に有利です。患者さんはパティシエの仕事をしていたため、味見の度にマウスピースを外さなっくてはならない事を不安に思っていました。使用時間18時間とやや少なくなりがちでしたが、問題なく治療結果が出す事ができました。
20代女性・マウスピース型矯正・抜歯





<症例概要>
主訴:開咬
年齢・性別:20代女性
住まい:千葉県八千代市
症状:左下3番欠損
治療方針:抜歯空隙閉鎖
治療装置:マウスピース型矯正装置(アライナー装置)
固定装置:III級顎間ゴム
抜歯:上・右下第一小臼歯(計4本)
アライナー枚数:55+30+24ステージ (7日交換)
治療期間:2年0か月
リテーナー:上下クリアタイプ
治療費用:990,000(税込)
代表的副作用:痛み・治療後の後戻り・歯根吸収・歯髄壊死・歯肉退縮
▶︎その他の副作用
※マウスピース型カスタムメイド矯正歯科装置は完成物薬機法対象外の矯正装置であり、医薬品副作用被害救済制度の対象とはならない可能性があります。
30代女性・マウスピース型装置・非抜歯


<症例概要>
主訴:前歯で噛めない
年齢・性別:30代女性
住まい:千葉県千葉市
治療方針:上顎臼歯後方移動+圧下
治療装置:マウスピース型矯正装置(アライナー装置)
固定装置:II級顎間ゴム
アライナー枚数:53+29-20ステージ (7日交換)
治療期間:2年2か月
リテーナー:上下クリアタイプ
治療費用:990,000(税込)
代表的副作用:痛み・治療後の後戻り・歯根吸収・歯髄壊死・歯肉退縮
▶︎その他の副作用
【治療シミュレーション】
上の奥歯を後方移動とともに歯茎方向に圧下させていきます。
※マウスピース型カスタムメイド矯正歯科装置は完成物薬機法対象外の矯正装置であり、医薬品副作用被害救済制度の対象とはならない可能性があります。

以前は良いかみ合わせであったのですが、だんだんと前歯が開いてきて噛めなくなってしまったというケースです。このようにエイジングと共に、前歯が開咬になるケースはあります。奥歯の歯科治療や顎関節の消耗、歯並びの前方傾斜などが原因です。マウスピース型矯正装置を使用して、前方に倒れてしまった歯列を後方移動させて前歯をもとのかみ合わせに戻すことができました。
20代女性・ハーフリンガル矯正装置・抜歯

<症例概要>
主訴:出っ歯
年齢・性別:20代女性
住まい:千葉県佐倉市
治療方針:上下顎抜歯空隙閉鎖(最大固定)
治療装置:ハーフリンガル矯正装置(上のみ裏側装置)
固定装置:歯科矯正用アンカースクリュー(口蓋側壁x2)
抜歯:上第一小臼歯+下第二小臼歯(計4本)
治療期間:2年
リテーナー:上下プレートタイプ+クリアタイプ+フィックスタイプ
治療費用:1,320,000(税込)
代表的副作用:痛み・治療後の後戻り・歯根吸収・歯髄壊死・歯肉退縮
▶︎その他の副作用

上下顎前突も併発している開咬症です。前歯を後方移動させるために、上下顎の小臼歯抜歯を行いました。シンプルな治療方針で、予定通りに治療は完了しました。
矯正歯科治療に伴うリスクや副作用について
- 治療開始直後は矯正装置による不快感、痛み等があります。1、2 週間以内で慣れることが多いです。
- 歯の動き方には個人差があります。予想された治療期間が延長する可能性があります。
- 矯正装置の使用、管理、定期的な通院など、矯正治療には患者さんの協力が治療結果や治療期間に影響します。
- 治療中は、むし歯や歯周病のリスクが高まりますので、丁寧に磨いたり、定期的なメンテナンスを受けたりすることが重要です。また、歯が動くと隠れていたむし歯が発見されることもあります。
- 歯を動かすことにより歯根が吸収して短くなることがあります。また、歯ぐきが下がることがあります。
- ごくまれに歯が骨と癒着していて歯が動かないことがあります。
- ごくまれに歯を動かすことで神経が障害を受けて壊死することがあります。
- 治療途中に金属等のアレルギー症状が出ることがあります。
- 治療中に「顎関節で音が鳴る、あごが痛い、口が開けにくい」などの顎関節症状が出ることがあります。
- 治療中に状況が変わり、当初予定した治療計画を変更する可能性があります。
- 歯の形を修正したり、咬み合わせの微調整を行ったりする可能性があります。
- 矯正装置を誤飲する可能性があります。
- 矯正装置を外す時に、エナメル質に微小な亀裂が入る可能性や、かぶせ物(補綴物)の一部が破損する可能性があります。
- 治療終了後、リテーナーを指示通り使用しないと後戻りが生じる可能性が高くなります。
- 治療終了後、現在の咬み合わせに合った状態のかぶせ物(補綴物)やむし歯の治療(修復物)などをやりなおす可能性があります。
- 10代のあごの成長発育によりかみ合わせや歯並びが変化する可能性があります。
- 治療後に親知らずの影響で歯並びが変化することがあります。。加齢や歯周病等により歯を支えている骨がやせるとかみ合わせや歯並びが変化することがあります。その場合、再治療等が必要になることがあります。
- 矯正歯科治療は、一度始めると元の状態に戻すことは難しくなります。
- ※その他の副作用とリスクについて▶︎


































