あごがずれている?非対称の治し方

あごの骨格の左右のずれの量が多くなると、矯正単独でカモフラージュ治療をする事は難しくなります。この場合は外科的矯正治療を検討する必要があります。
目次
なぜあごは非対称になるのか?
あごの形が左右非対称になる理由は、左右で骨格の長さが大きく異なる事によります。これには遺伝的な要素と環境的要素が複合的に関わっています。環境要因としては、あごや関節の外傷に加え、片側噛み、頬杖や横向き寝などの生活習慣が影響も及ぼします。
一方、遺伝的な影響としては下あごの高さが強く影響受けます。したがって、成長が旺盛な10代の思春期成長期に骨格の左右のずれを抑える矯正治療をしたとしても、成功率は高くはありません。このような患者さんのご家族には同じようなあごずれがみられることがあります。
当院の臨床経験からの知見としては、かみ合わせが崩れていない軽度のあごの非対称は環境要因、クロスバイトなど不正咬合が発生しているような中等度以上のあごの非対称は遺伝要因が多く影響しているように思います。
様々な下あごのずれ方
「あごがずれていて、かみ合わせが悪い事を治したい」という患者さんの場合、矯正治療のみで完璧な歯並びとかみ合わせを作る事はできません。これは、上下で左右対称ではない骨格の土台の上で歯列を並べる場合、どこかに妥協点を作らなくてはならないからです。ですから、あごのずれが関わっている非対称ケースの矯正治療は難症例と言えます。
あごのずれ方には3つのタイプに分類できます。
1.下あご回転タイプ
2.下あご横ズレタイプ
3.上下あご傾斜タイプ
1→3に行くにしたがって、見た目の非対称感が強くなり、矯正治療での難易度も高まっていきます。
下あご回転タイプ
このタイプは、II級と呼ばれる下あごが小さい「出っ歯」症例によく見られます。もともとあごが小さい方が多く、非対称はあまり目立ちません。ですが、口の中を見ると下の前歯の正中線がお顔の正中から左右に半歯分くらいずれていることがあります。下あごの長さが、左右どちらかが短かいことで発生します。ずれている方の顎関節が小さく負担がかかるため、あごの開閉口時に片側のみ雑音や痛みを伴うことがあります。
このタイプは上下の骨格のアンバランスが軽度であり、矯正単独治療で十分な治療結果を出す事ができます。下の小臼歯1本抜歯や後方移動方針を併用して、あごがずれている方向と逆の方向に歯並びを回転させて改善します。
下あご横ずれタイプ(シフト)
このタイプは、下あごが長い「受け口」症例に、たまに見られます。下顎が左右どちらか横に平行移動したような状態になっています。片側の奥歯に、クロスバイトやシザースバイトなどの側方方向のかみ合わせの問題が認められます。
上下の骨格のアンバランスが重度となっていくるため、骨格も自由に動かせる外科的矯正治療の方が良い治療結果が出ます。また、非対称以外にも下あごが長い「下顎前突」も併発している事が多いため、あご先の突出を軽減するために下顎骨切り手術の方が多く選択されます。矯正治療単独で治療する場合は、アンカースクリューなどを用いて歯列を骨格内で左右にシフトさせます。ただし、骨格のずれを歯並びでカモフラージュする治療になり根本治療ではなく、かみ合わせに改善には限界があります。
上下あご傾斜タイプ(カント)
このタイプは面長傾向の顔の方に多く、特徴としては顔全体が緩やかに左右どちらかにカーブしています。患者さんは、あごが「ずれている」というより「傾いている」と感じます。下あごだけでなく上あごも曲がっており、これにより歯列が左右に傾斜しており「歯並びが傾いている」と感じます。この歯並びの水平的傾斜はカント(チルト)と呼びます。口の周りの筋肉の動き方にも左右差があり、スマイルも非対称になります。
意外と患者さんは顔の非対称に気がついておらず、歯並びの傾きのみ気になっていることもあります。ですが、歯並びの水平的傾斜を矯正治療のみで大きく改善する事はできません。歯列の見え方や顔貌の改善希望がない場合は、矯正治療単独で治療を行う事も可能ですが、審美的に左右対称に近づけたいという希望がある場合は外科的矯正治療のみになります。上下顎骨切り手術になるのですが、皮膚や筋肉の付着位置までは大きく変えられないため、完全に顔貌を左右対称にすることはできません。
あごのずれが強くなるほど難易度が上がる
矯正治療は、奥歯の動かす量が多い計画ほど難易度が高くなります。奥歯(大臼歯)は歯根も太く、理想的な位置に移動させることには、様々な制限を受けます。つまり非対称症例は、土台の骨格を動かさず矯正単独治療を行う場合は、奥歯のカモフラージュ移動でかみ合わせを作ることは難易度が高くなります。あごのずれが大きくなると、奥歯の左右に動かす量っも増えていくため、難易度はさらに上がります。しがって非対称が大きい場合は、外科手術を併用するかよく検討する必要があります。歯並びやかみ合わせに問題がある場合は、外科矯正治療は健康保険※が適応されます。
※)保険適応の矯正治療をご希望の場合は大学病院をご紹介いたします。
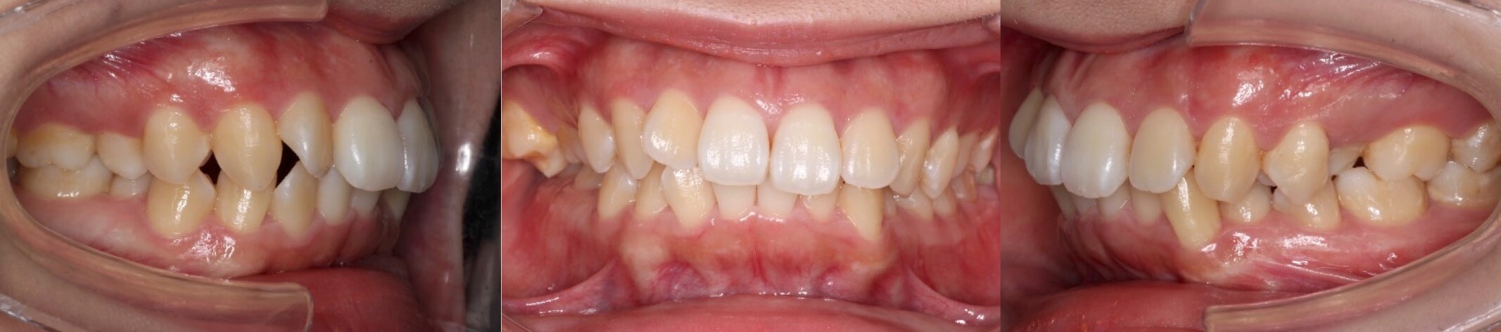
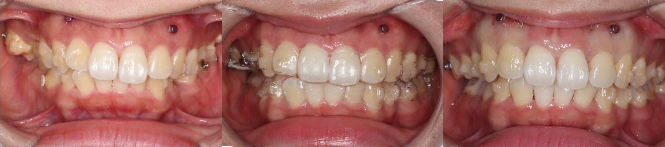
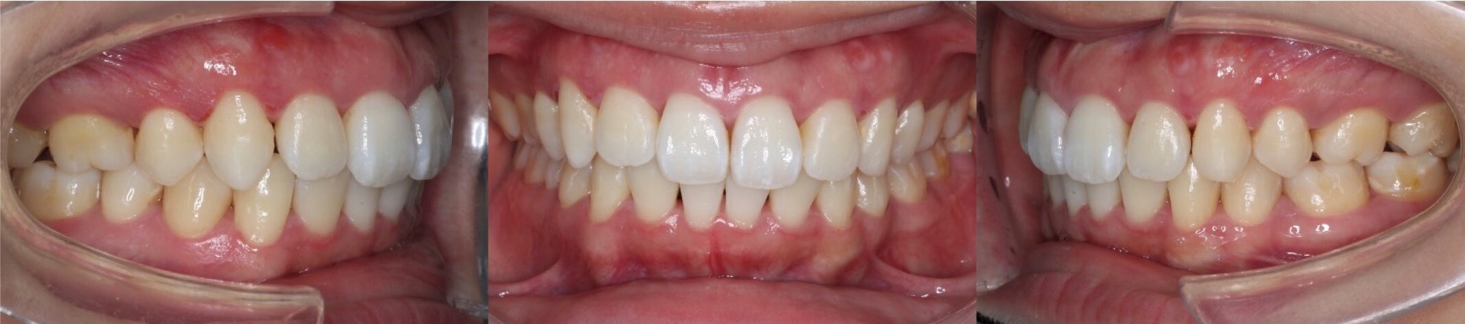
上下あご傾斜タイプの矯正治療
歯並びの水平的傾斜(カント)を伴う叢生症例です。上下あごが右に傾斜しており、歯並びも同じ方向に傾斜しています。歯科矯正用アンカースクリューを使用して、下がっている左側をゴムで持ち上げる試みをおこなったのですが、他の部位のリカバリーもあってか上手く功を奏しませんでした。治療前後で歯並びの傾きは大きく変化していません。このようにカントがある症例は、矯正治療のみで改善できる成功率は高くありません。なおこの患者さんは、前歯の傾き改善に関しては事前に改善が難しいことを説明した上で矯正治療を行っています。
<症例概要>
主訴:奥歯のかみ合わせ・歯並びのがたつき
年齢・性別:大学生女性
住まい:千葉県八千代市
症状:上下顎左下がりのカント・叢生・右7番シザーズバイト・左5番クロスバイト
治療方針:抜歯空隙閉鎖・中等度固定
抜歯:上両側5番・左下5番(計3本)
治療装置:マウスピース型矯正装置(アライナー装置)+セクショナルワイヤー
固定装置:前歯部歯科矯正用アンカースクリュー(計2本)
治療期間:2年4か月
アライナー枚数:22+50+30+17ステージ
リテーナー:上下フィックスタイプ+クリアタイプ
治療費用:990,000(税込)
代表的副作用:痛み・治療後の後戻り・歯根吸収・歯髄壊死・歯肉退縮
▶︎その他の副作用
【この記事の執筆者】
まきの歯列矯正クリニック
院長 牧野正志













