歯根を移動させる【トルク】とは?

矯正治療において、単に「歯並びを綺麗にする」だけでなく、横顔の美しさやかみ合わせの安定を追求する上で避けて通れないのが「トルク」のコントロールです。矯正治療の中で、特に前突した前歯を抜歯を併用させて後退させる症例において、最大の課題は「いかに歯を倒さずに移動させるか」にあります。
目次
リンガルルートトルクの必要性

前歯に後方への力をかけると、生体の構造上、歯冠が内側に入り込む「リンガルクラウントルク」が容易に発生してしまいます。しかし、矯正歯科医が理想とするのは、歯の傾斜角である歯軸をできるだけ保つか、適切な位置へと導く移動となります。そのため、直接矯正力を加えることのできない歯根を骨の中へ押し込む方向への力、すなわち「リンガルルートトルク(歯根の舌側トルク)」の付与こそが、治療結果の質を左右する重要な鍵なのです。
なぜ前歯の歯軸角が重要なのか?
まずは、矯正治療において前歯の横からみた傾きである「歯軸傾斜角」を考えなくてはならないのかについて考えていきます。なかでも、上の前歯の歯軸は、審美的にも機能的にも大切であり、多くの論文で示されています。
顔貌の審美性
上の前歯は、上唇を裏側から支える「テントの柱」の役割を果たしています。 数多くの研究で、「上の前歯の前後的な位置と角度が、上唇の豊隆感(張り)と側貌の美しさを決定する」と結論づけられています。上顎前歯が適切な歯軸角の場合、鼻の下から唇にかけてのラインが整い、若々しく美しいEラインが形成されます。一方、上顎前歯が内側に倒れすぎている場合、上唇のサポートが失われ、口元がさびしく貧相に見えたり、実際の年齢よりも老けて見えたりする原因となります。
このように、上の前歯が前突していないケースで抜歯矯正治療を行うと、「老けてみえる」「人中が伸びた」と患者さんが感じる理由には、この前歯のトルクが関係しています。
歯茎まわりの健全性
歯はコンクリートのような硬い塊に埋まっているわけではありません。歯槽骨というスポンジ状の骨の中にあり、その外側を「皮質骨」という硬く薄い骨の板が覆っています。歯根を歯槽骨内の理想的な位置(ボーンハウジング)に配置することは、歯肉退縮(歯茎下がり)や骨の喪失を防ぐために不可欠となります。前歯の歯軸角を誤り、歯根の先を骨の壁である皮質骨に押し付けてしまうことは、歯根を損傷させたりの寿命を縮める行為となります。
かみ合わせの機能
機能面において、上の前歯の裏側面(口蓋側斜面)は、下あごを前に出した時に奥歯を過剰な力から離すための「誘導路」となります。これを専門的にはアンテリアガイダンスと呼び、 適切な角度にすることで奥歯を有害な力から守り、治療後の後戻りを防ぐために重要な歯の機能となります。
物理学から歯を動かすモーメントを考える
では、この歯軸角の調整であるをトルクコントロールを行うことがなぜ難しいのか。それを理解するには、少しだけ物理の話をする必要があります。
触れられない「重心」=抵抗中心

すべての物体には重心があるように、歯にも「抵抗中心」と呼ばれるポイントを仮想することができます。 一般的に、前歯の抵抗中心は、歯茎のラインから歯根の先に向かって約33~42%の位置にあると報告されています。この点に対して垂直に力を加えれば、物理学的には歯を回転せず、意のままに動かすことができます。しかし、残念ながらこの抵抗中心は骨の中に埋まっているため、絶対に触れることができないのです。
回転してしまう宿命

モーメント
= 力の大きさ × 抵抗中心からの距離
歯冠に矯正力をかけると、必ずモーメントが発生する。
実際、矯正歯科医が矯正装置を付けられるのは、歯の頭(歯冠)だけになります。したがって、抵抗中心から離れた場所に力を加えることになります。 物理学の法則として、抵抗中心から離れた点に力を加えると、必ずモーメント(回転力)が発生します。
このモーメントにより、歯の頭は動かしたい方向へ動きますが、歯根は逆方向へ振られてしまいます。 これが「傾斜移動」です。 特に前歯を後方移動させる治療において、何の対策もしなければ、前歯は「お辞儀」をするように内側に倒れ込み、歯根は唇側(外側)へ飛び出す動きをしてしまいます。
トルク不足の状態であるラビッティング
抜歯症例でこのトルク調整が不十分なまま前歯を移動させると、審美的にも機能的にも崩れてしまった状態である「ラビッティング(Rabbiting)」を引き起こします。これは、歯根が骨の中に取り残されたまま、歯の頭の部分だけが内側へ倒れ込んでしまった状態を指します。まるでウサギの前歯のようにお辞儀をした角度になり、審美的な満足度は低下しし、時にガミースマイルを悪化させる要因にもなります。歯軸が適切にコントロールされず内傾してしまうと、相対的に歯肉のラインが押し出され、笑った時に歯茎が目立ちやすくなってしまうのです。また、垂直的な噛み合わせが深くなる「過蓋咬合」を誘発し、奥歯の摩耗や顎関節への悪影響、さらには治療後の後戻りリスクを高める結果となってしまいます。
偶力の必要性
この望まない前歯の回転を防ぎ、トルクコントロールを行うためには、偶力と呼ばれる2つの異なる強さの力が必要です。これは、回転を打ち消すために作用させる、対になる力のことです。
ワイヤー矯正の場合
従来のワイヤー矯正装置では、長方形の断面を持つワイヤーを、ブラケット装置の溝(スロット)にねじりながら入れることで、ワイヤーの上下に異なる方向・強さの力が生まれます。これが偶力となり、回転力(モーメント)が発生し、目に見えない歯根の位置のコントロールを可能とします。トルクコントロールには、ねじりの力が強く持続的であるほど大きくなります。したがって、ブラケット装置のスロットと同じくらいの太さで、弾性があるワイヤーを使用します。また、表側矯正装置の方が裏側矯正装置より大きなモーメントを発生させることができます。
マウスピース矯正の場合
一方、アライナー矯正におけるトルクコントロールには、構造的な限界があることが多くの文献で指摘されています。熱可塑性プラスチックであるアライナーは、歯頚部(歯茎に近い部分)に向かうほど剛性が低下し、歯根をコントロールするために必要な偶力を発生させるのが苦手であるとされています。また、アライナーと歯の間には微細な隙間が存在し、これが力が逃げる原因となります。その結果、治療計画では歯体移動のつもりでも、実際にはプラスチックがたわむことで力が逃げてしまい、歯冠だけが後方移動し歯根が取り残されるトルクロスという現象が起きやすいと言えます。
【アライナーの力学的特性】Hahn W, et al. Initial forces and moments delivered by removable thermoplastic appliances. Angle Orthod. 2009.
知っておくべき「トルクの限界」と「リスク」

ここまで「いかにトルクをかけるか」を話してきましたが、単にトルクをかければ良いというものではありません。これは生体には超えられない限界があるからです。これらを検討することで、最良の治療計画を考えなくてはなりません。全てのケースで十分なトルクを付与した歯根の移動が必要とは限りません。
ボーンハウジングの壁
前述の通り、歯は薄い骨の壁の中にあります。これを「ボーンハウジング」と呼びます。 CT画像を用いた研究では、特に上顎前歯の唇側および口蓋側の皮質骨は非常に薄いことが示されています。
もし、無理に理想的な角度を求めて強いトルクをかければ、歯根がボーンハウジングを突き破り不可逆的な歯肉退縮や骨欠損を引き起こすリスクがあります。「骨がないところには、歯は動かせない」ということは矯正歯科治療の絶対的なルールです。
歯根吸収のリスク
トルクコントロールは、歯根の先を骨壁に押し付ける力がかかりやすい動きです。 過度な矯正力や長期間のジグリング(揺さぶり)は、歯根吸収のリスク因子であることが知られています。 「完璧な角度」にこだわるあまり、強い力をかけ続けて歯根が溶けて短くなってしまっては、元も子もありません。歯の寿命を守るためには、「あえてトルクをかけすぎない」という判断が必要な場合もあるのです。
治療期間というコスト
最後に、患者さんにとって無視できないのが「時間」です。 トルクコントロールは、矯正治療におけるあらゆる歯の移動様式の中で、最も時間を要する動きの一つです。例えば、あと数度の前歯の歯軸修正のために、治療期間が半年、1年と延長することも珍しくありません。
「リスクを冒し、期間を延長してまで、その数度を追求する価値があるか?」
これは、矯正歯科医と患者さんが共有すべき重要な問いです。 通院環境あるいは患者様自身のモチベーションなど社会的要因を考慮し、医学的な安全性とのバランスの中で「最適な妥協点(Optimal Compromise)」を見つけることも、考慮しなくてはならないところです。
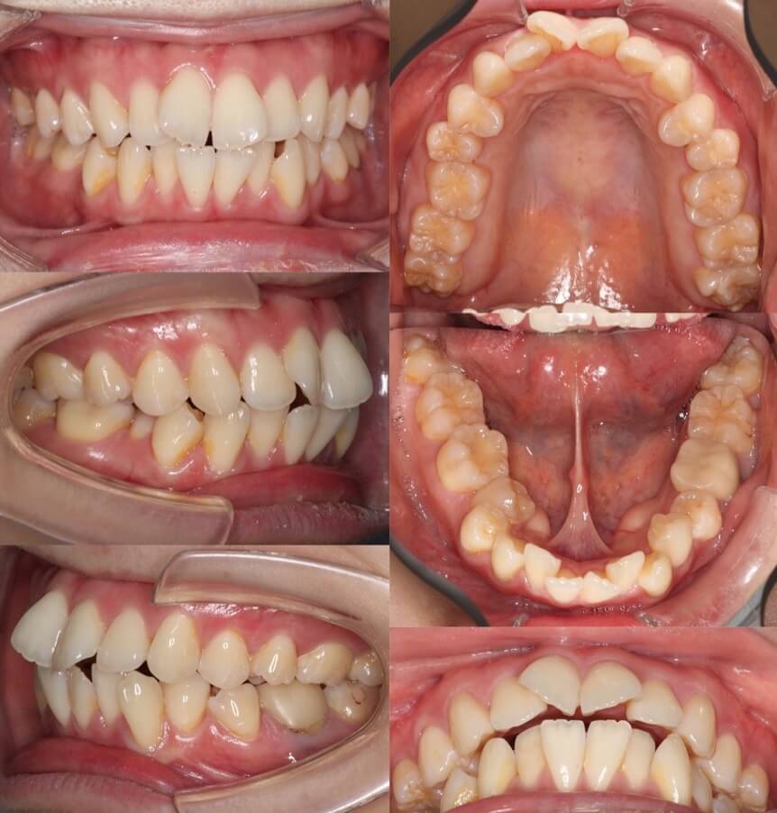
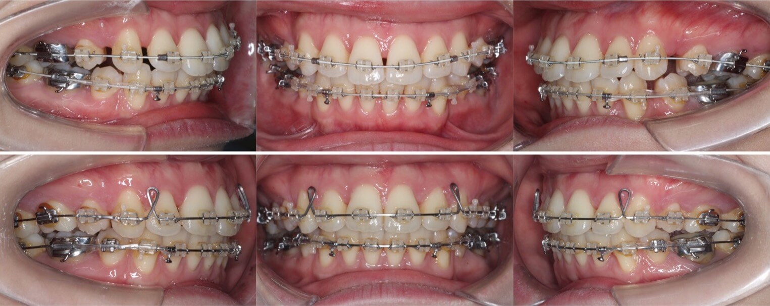
上顎前歯のトルクを加えた症例
前歯が前方に傾いている前突症例です。上下4本抜歯した空隙に、内傾させないよう上下の前歯を後方移動させました。上顎前歯のトルクコントロールは「クロージングループ」というモーメントを発生させるワイヤーを使用して行いました。
<症例概要>
主訴:前歯の前突
年齢・性別:20代女性
住まい:千葉県船橋市
症状:上下顎前歯唇側傾斜・叢生
治療方針:抜歯空隙閉鎖(中等度固定)
抜歯:上下第一小臼歯(計4本)
治療装置:唇側矯正装置
固定装置:ナンスホールディングアーチ
治療期間:1年9か月
リテーナー:上下プレートタイプ+フィックスタイプ
治療費用:990,000(税込)
代表的副作用:痛み・治療後の後戻り・歯根吸収・歯髄壊死・歯肉退縮
▶︎その他の副作用
最適な矯正治療を受けるために
矯正治療は、魔法の杖ではなく物理学と生物学のルールに縛られた医療行為です。 その中で、上の前歯のトルクコントロールは、治療結果の質を左右する最も難易度の高い要素の一つです。各患者さんごとに、現実的なトルクを設定していきます。
よくある質問
Q1. マウスピース矯正でトルクコントロールが苦手な場合、どのような症例ではワイヤー矯正を選択すべきですか?
下あごが小さいタイプの上下顎前突症例では、前歯が内側傾斜する可能性が高まるためワイヤー矯正の方が望ましいです。
Q2. トルクをかけすぎて歯根吸収が起きた場合、どのような症状が現れますか?
歯根吸収が発生しても患者さんに自覚はないことが多いです。レントゲン撮影を行うと歯根の先端に吸収像が見えます。
Q3. 抜歯矯正で前歯を後退させる際、ラビッティングを防ぐためにはどのような矯正装置が有効ですか?
ラビッティングを防ぐためにはルートリンガルトルクが必要になります。唇側矯正装置(表側ワイヤー装置)が一番大きなモーメントを発生させることができます。
【記事執筆者の略歴】
牧野 正志
徳島大学歯学部卒業 (2006)
東京歯科大学 歯科矯正学講座 研修課程修了 (2010)
まきの歯列矯正クリニック開設 (2012)
日本矯正歯科学会 認定医・臨床医






