
矯正難症例(骨格偏位など特殊な方針)
骨格性の問題・先天性欠如・歯周疾患・埋伏歯・一般歯科治療を併用した難症例ケースを紹介します。本来、最適な治療方針は骨格から治す外科的矯正治療や、インプラント治療などが第一選択の症例を、矯正治療のみでできる範囲で改善を試みています。
一般的な治療方針を選択しないため、複雑になり治療期間も長くなる傾向にあります。必ず患者さんには、もともとの歯並びに制約があるため、理想的なゴールを目指す事はできない事をご理解の上、治療を開始していきます。地域の連携している一般歯科医院と協力して治療をおこなっていきます。
目次
- 1 20代女性・側貌突出・ガミースマイル・唇側矯正
- 2 30代女性・上下顎前突・大臼歯欠損・唇側矯正
- 3 20代女性・著しい下顎後退・唇側矯正
- 4 30代女性・上2番抜歯・唇側矯正
- 5 30代女性・乳歯残存・マウスピース型矯正
- 6 30代女性・下顎非対称・唇側矯正
- 7 20代女性・下顎非対称・唇側矯正
- 8 20代女性・大臼歯抜歯・唇側矯正
- 9 20代女性・ガミースマイル・ハーフリンガル矯正
- 10 20代女性・ガミースマイル・先天性欠如歯・唇側矯正
- 11 20代女性・先天性欠如歯と乳歯残存・マウスピース型矯正
- 12 20代女性・先天性欠如歯と埋伏歯・マウスピース型矯正
- 13 50代女性・開咬・マウスピース型矯正
- 14 40代女性・矮小歯補綴・マウスピース型矯正
- 15 30代女性・犬歯抜歯・ハーフリンガル矯正
- 16 【矯正歯科治療に伴うリスクや副作用】
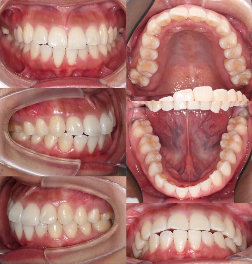
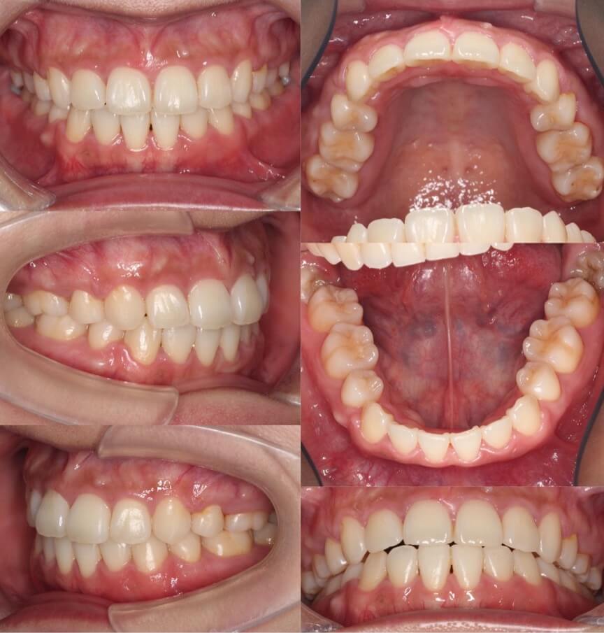
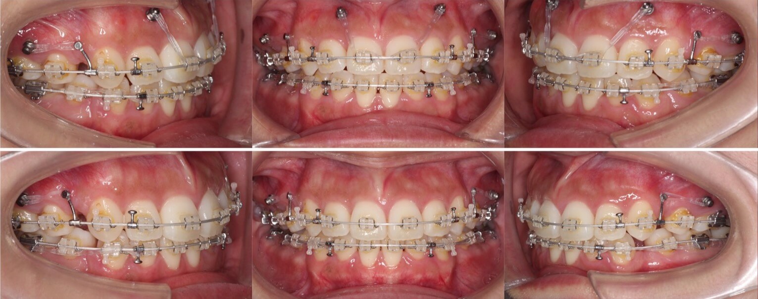
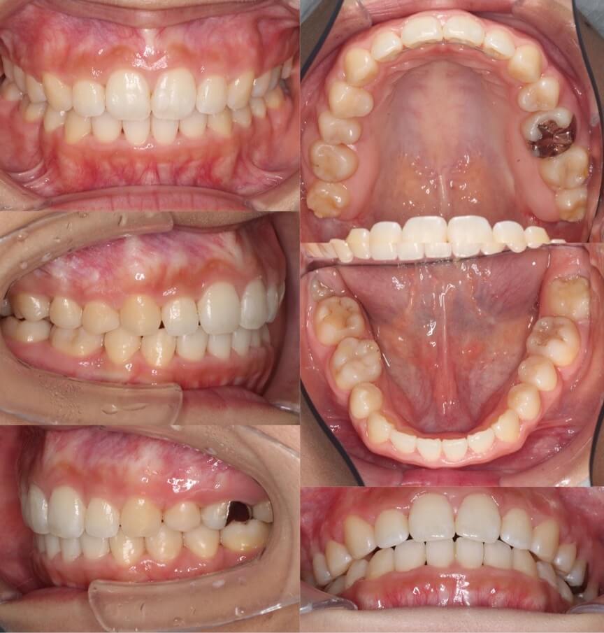
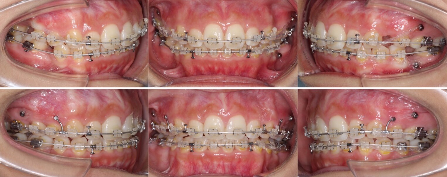
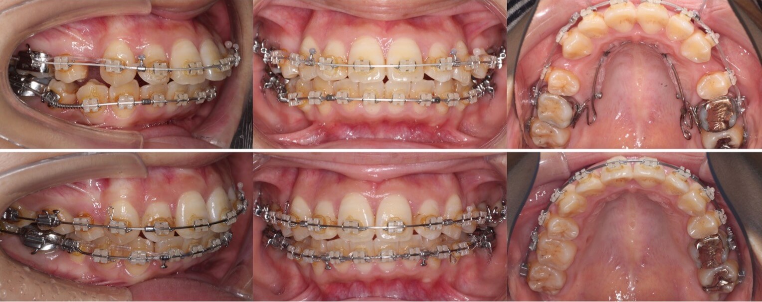
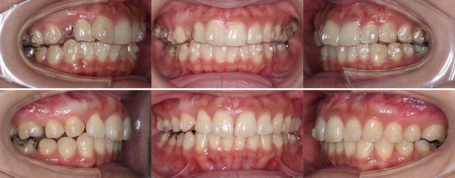
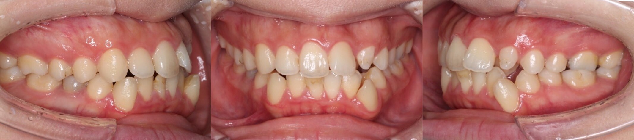
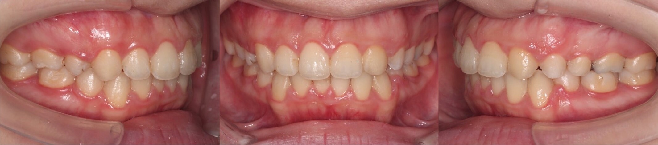
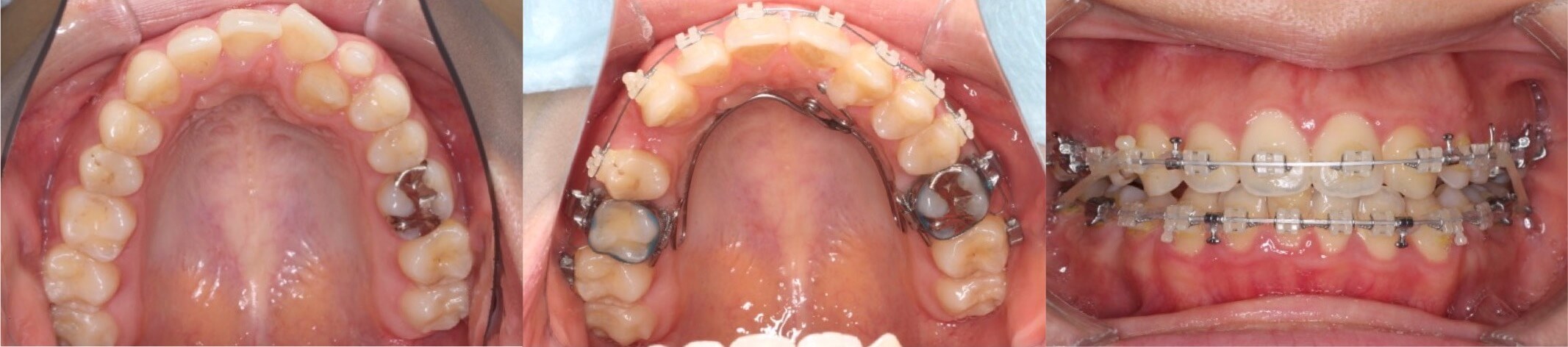
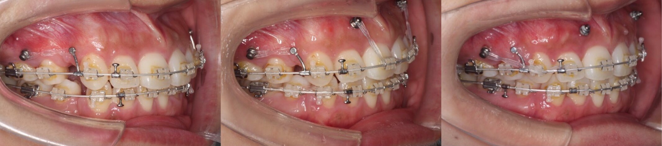
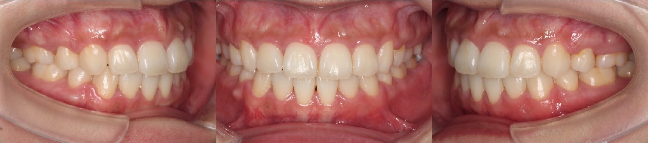
20代女性・側貌突出・ガミースマイル・唇側矯正
<症例概要>
主訴:横顔・ガミースマイル
年齢・性別:20代女性
住まい:千葉県佐倉い市
症状:叢生・前歯クロスバイト・下顎左偏
治療方針:抜歯空隙閉鎖・上顎前歯圧下
治療装置:唇側矯正装置
固定源:前歯部・臼歯部歯科矯正用アンカースクリュー(計4本)
抜歯:上下左右4番(計4本)
治療期間:2年4か月
リテーナー:上下プレートタイプ+フィックスタイプ
治療費用:968,000(税込)
代表的副作用:痛み・治療後の後戻り・歯根吸収・歯髄壊死・歯肉退縮
▶︎その他の副作用

過蓋咬合を伴わないガミースマイルのため、治療方針は難しくなります。歯科矯正用アンカースクリューを4本使用し、上顎前歯の圧下と下顎前歯の挺出でかみ合わせを崩さず歯茎の露出量を調整しました。小臼歯抜歯もおこなっているため、側貌も大きく変化しています。
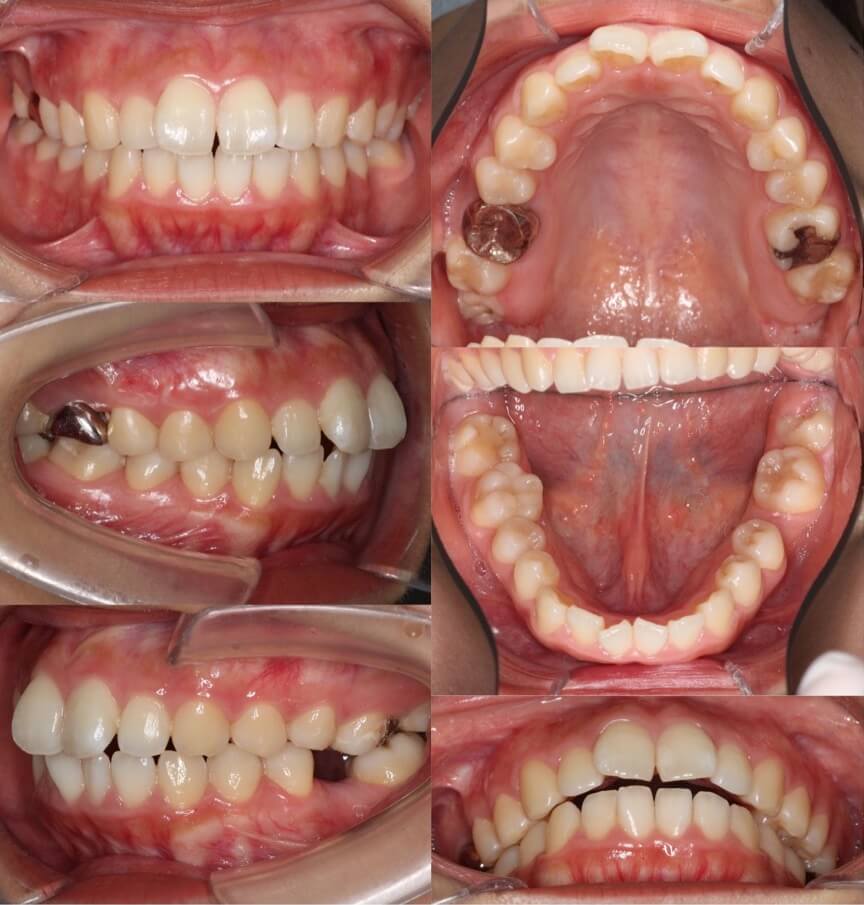
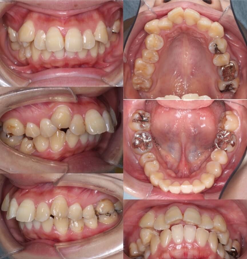
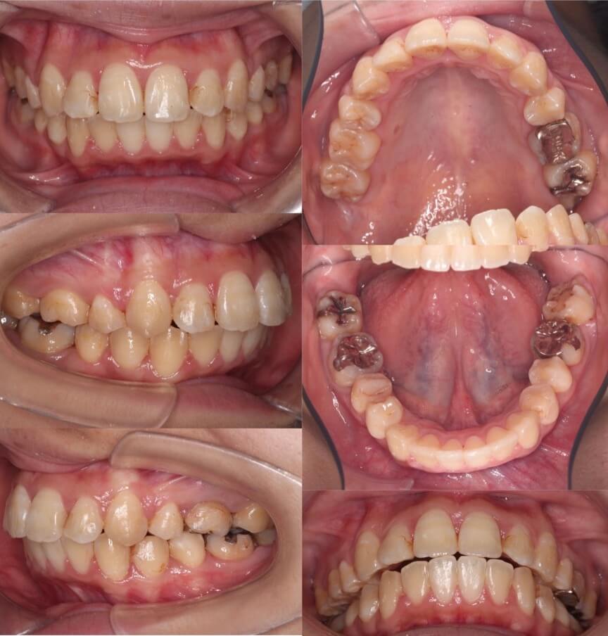
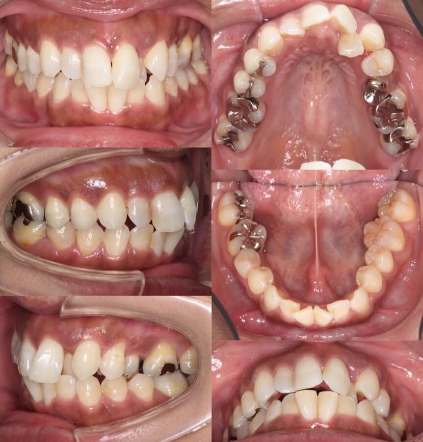
30代女性・上下顎前突・大臼歯欠損・唇側矯正
<症例概要>
主訴:横顔・ガミースマイル
年齢・性別:30代女性
住まい:千葉県八千代市
症状:下顎後退・左下6番欠損
治療方針:抜歯空隙閉鎖・上顎前歯圧下
治療装置:唇側矯正装置
固定源:上下顎臼歯部歯科矯正用アンカースクリュー(計3本)
抜歯:右上6番・右下5番・左上4番(計3本)
治療期間:3年
リテーナー:上下プレートタイプ
治療費用:968,000(税込)
代表的副作用:痛み・治療後の後戻り・歯根吸収・歯髄壊死・歯肉退縮
▶︎その他の副作用

上下顎前突(口ゴボ)治療のセオリーは上下小臼歯抜歯です。ですが、すでに左下6番が抜歯されていたことと、右上6に銀歯があったことから、変則的な抜歯方針を選択しました。上下とも歯のサイズが大きい大臼歯抜歯となるため、歯科矯正用アンカースクリューを使用して時間をかけて抜歯空隙を閉鎖しました。また、上の前歯も上方に持ち上げガミースマイルも軽減しました。
20代女性・著しい下顎後退・唇側矯正
<症例概要>
主訴:横顔・出っ歯・あごがない
年齢・性別:20代女性
住まい:千葉県八千代市
症状:下顎後退・右下5番近心傾斜・左7番シザーズバイト
治療方針:抜歯空隙閉鎖(最大固定)
治療装置:唇側矯正装置
固定源:上顎臼歯部口蓋側歯科矯正用アンカースクリュー(計2本)・リンガルアーチ
抜歯:上左右4番(計2本)
治療期間:2年2か月
リテーナー:上下プレートタイプ
治療費用:968,000(税込)
代表的副作用:痛み・治療後の後戻り・歯根吸収・歯髄壊死・歯肉退縮
▶︎その他の副作用

オーバージェットが10mm以上あり下あごの後退量も大きいため、外科的手術が検討される症例でしたが、患者さんの希望もあって矯正治療単独で治療を行いました。上あごの裏側にアンカースクリューを設置に前歯を最大限後ろにひきました。治療後は、しっかりあご先ができるほどの横顔の変化はなかったのですが、口は閉じやすくなりました。
30代女性・上2番抜歯・唇側矯正
<症例概要>
主訴:横顔・前歯のがたつき
年齢・性別:20代女性
住まい:千葉県八千代市
症状:叢生・左上2番クロスバイト
治療方針:抜歯空隙閉鎖
治療装置:唇側矯正装置
固定源:リンガルアーチ
抜歯:左上2番・右上4番・左右下4番(計4本)
治療期間:2年9か月
リテーナー:上下プレートタイプ+フィックスタイプ
治療費用:968,000(税込)
代表的副作用:痛み・治療後の後戻り・歯根吸収・歯髄壊死・歯肉退縮
▶︎その他の副作用

ふつうであれば上下4番抜歯を考えるケースですが、左上2番が矮小歯で内側に入っていたため、この歯を抜歯しました。上2番抜歯を行う場合は3番(犬歯)を前歯に持ってこなくてはならないため形態を合わせるのが難しくなります。この症例のように磨耗している歯の犬歯は前歯にもってきても目立たず2番抜歯の適応症と言えます。
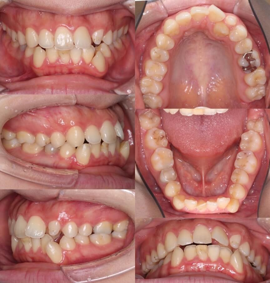
30代女性・乳歯残存・マウスピース型矯正

右上の乳歯を抜歯し、上下顎の正中線が大きく崩れないよう右下の後方移動も併用して、抜歯空隙を閉鎖しました。なお右上の犬歯は牽引することが難しい位置にあったため、そのまま抜歯せず矯正治療を行っています。
<症例概要>
主訴:右上犬歯のかたちが悪い
年齢・性別:30代女性
住まい:千葉県八千代市
症状:3⏌逆性埋伏・左7シザーズバイト・上顎前突
治療方針:右上臼歯前方移動・左下臼歯後方移動・IPR
治療装置:マウスピース型矯正装置(アライナー装置)
治療期間:2年1か月
アライナー枚数:50+25+27ステージ
固定源:III級ゴム
抜歯:左上乳犬歯
治療期間:2年0か月
リテーナー:上下クリアタイプ+フィックスタイプ
治療費用:990,000(税込)
代表的副作用:痛み・治療後の後戻り・歯根吸収・歯髄壊死・歯肉退縮
▶︎その他の副作用
30代女性・下顎非対称・唇側矯正

骨格が左右にずれている方の正中線合わせは非常に難易度が高くなります。もともと上の歯列はやや正中線が左側にずれていたのですが、治療歯は左上にあったため5番を抜歯しました。どうしても正中線は抜歯した方に引っ張られるため、途中お顔から歯並びの正中から左側に移動してしまいます。そこで、歯科矯正用アンカースクリューを利用して右側に上の歯列を回しなんとか上下の歯列正中線を整えました。
<症例概要>
主訴:前歯の突出とがたつき
年齢・性別:30代女性
住まい:千葉県八千代市
症状:叢生・前歯クロスバイト・下顎左偏
治療方針:右上後方移動・左上抜歯空隙閉鎖・IPR
治療装置:唇側矯正装置
固定源:歯科矯正用アンカースクリュー(計1本)
抜歯:左上5番(計1本)
治療期間:2年0か月
リテーナー:上下クリアタイプ+フィックスタイプ
治療費用:968,000(税込)
代表的副作用:痛み・治療後の後戻り・歯根吸収・歯髄壊死・歯肉退縮
▶︎その他の副作用
20代女性・下顎非対称・唇側矯正

<顔のビフォーアフター>





<症例概要>
主訴:前歯のかみあわせ
年齢・性別:20代女性
住まい:千葉県八千代市
症状:右上第二小臼歯欠損・叢生・下顎右偏による正中線のずれ
治療方針:抜歯空隙閉鎖
治療装置:唇側矯正装置
固定装置:ナンスホールディングアーチ
抜歯:右下2番・左上5番(計2本)
治療期間:1年11か月
リテーナー:上下プレートタイプ+フィックスタイプ
治療費用:968,000(税込)
代表的副作用:痛み・治療後の後戻り・歯根吸収・歯髄壊死・歯肉退縮
▶︎その他の副作用

下あごの骨格的な左右非対称があり、上下の正中線がずれている難しい歯並びです。そこで、右下2番を抜歯し下の歯列をあえて右側に回し、左下の1番と2番の間を下の歯列の正中線を設定しました。左上は八重歯の治すためのスペースを作るため、治療歯である5番を抜歯しています。前歯を抜歯する際は、患者さんも何となく目立ちそうで不安になりますが、半年くらいで抜歯した隙間はなくなってしまいます。
治療後は正中線をカモフラージュしているとは、誰も気が付きません。治療期間も2年以内と、結果的には良い治療方針の選択であったと言えます。
20代女性・大臼歯抜歯・唇側矯正


<症例概要>
主訴:奥歯を抜歯して出っ歯を治したい
年齢・性別:20代女性
住まい:東京都
症状:上下顎前歯唇側傾斜・下顎後退
治療方針:抜歯空隙閉鎖
治療装置:唇側矯正装置
固定装置:歯科矯正用アンカースクリュー(上顎臼歯部x2本)
抜歯:左上6番・右上6番・左下6番(計3本)
治療期間:2年7か月
リテーナー:上下プレートタイプ+フィックスタイプ
治療費用:968,000(税込)
代表的副作用:痛み・治療後の後戻り・歯根吸収・歯髄壊死・歯肉退縮
▶︎その他の副作用

銀歯が被せてある歯の3本の6歳臼歯の歯根が傷んでいたため、これらを抜歯して矯正治療を行いました。大臼歯は一般的に抜歯する小臼歯よりサイズが大きいため、スペースを閉じるのは難しく時間がかかります。アンカースクリューを使用して、全ての歯を一括で後方に移動しました。
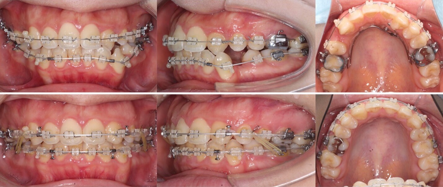
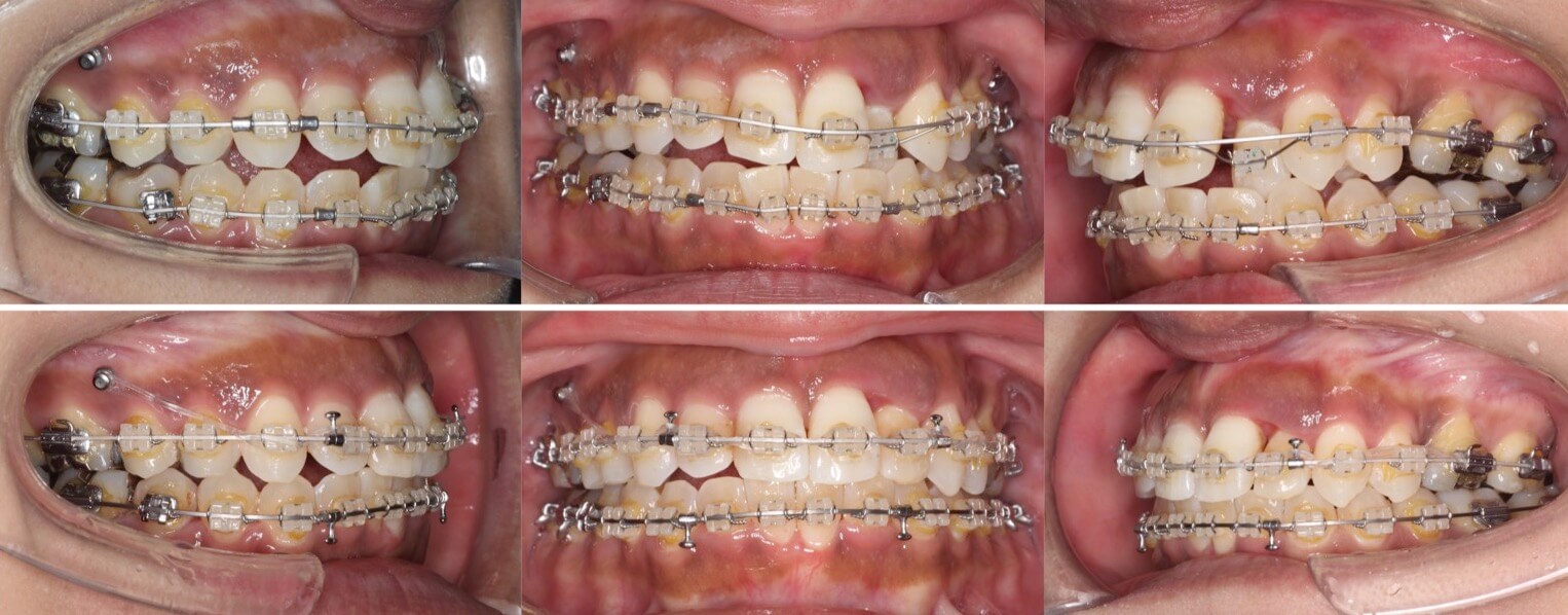
20代女性・ガミースマイル・ハーフリンガル矯正
<顔のビフォーアフター>


<症例概要>
主訴:前歯の突出と口元の突出
年齢・性別:20代女性
住まい:千葉県八千代市
症状:上顎前突・下顎左偏・ガミースマイル
治療方針:抜歯空隙閉鎖・上顎前歯圧下・左上2番過剰歯と癒合
治療装置:ハーフリンガル矯正装置
固定源:歯科矯正用アンカースクリュー(計4本)
抜歯:上左右4番、右下4番(計4本)
治療期間:2年3か月
リテーナー:上下クリアタイプ+フィックスタイプ
治療費用:1,485,000(税込)
代表的副作用:痛み・治療後の後戻り・歯根吸収・歯髄壊死・歯肉退縮
▶︎その他の副作用

上の前歯の突出している抜歯矯正治療症例えす。。左上前歯に癒合歯といって形態不良な歯があるところが難しいポイントです。2本の歯が癒合してしまって1本になっているため、割れ目の部分は、レジンで埋めて並べました。治療途中で患者さんより、笑った時の歯茎の見える量も減らしたいという希望もあり、急遽前歯にもアンカースクリューを追加しました。治療後は、なんとか理想的なスマイルを作ることができました。
20代女性・ガミースマイル・先天性欠如歯・唇側矯正






<症例概要>
主訴:前歯の歯並び
年齢・性別:20代女性
住まい:千葉県千葉市
症状:左上側切歯・叢生・ガミースマイル
治療方針:抜歯空隙閉鎖・上顎前歯圧下
治療装置:唇側矯正装置
固定装置:歯科矯正用アンカースクリュー(上顎前歯部x2)
抜歯:右上2番・左上5番(計3本)
治療期間:2年10か月
リテーナー:上下プレートタイプ+フィックスタイプ
治療費用:968,000(税込)
代表的副作用:痛み・治療後の後戻り・歯根吸収・歯髄壊死・歯肉退縮
▶︎その他の副作用

前歯に先天性欠損歯があり排列が難しいところに、歯茎の露出が多いガミースマイルの改善も必要なケースになります。上の前歯に歯科矯正用アンカースクリューを設置し、前歯をゆっくりと持ち上げながら抜歯空隙を閉鎖しました。
右上の前歯を抜歯した部分には隙間がある程度閉じるまで仮歯をワイヤー矯正装置に設置して治療中の審美性にも配慮いたしました。
20代女性・先天性欠如歯と乳歯残存・マウスピース型矯正

<顔のビフォーアフター>





z<症例概要>
主訴:ガタガタ・正中線のズレ
年齢・性別:20代女性
住まい:千葉県船橋市
症状:左下5番欠損・左下乳歯残存・下顎左偏・上下顎叢生・上下顎前突
治療方針:左下乳歯温存・抜歯空隙閉鎖
抜歯:上左右4番・左下5番(計3本)
治療装置:マウスピース型矯正装置(アライナー装置)
治療期間:2年7か月
アライナー枚数:55+26+33ステージ
リテーナー:上フィックスタイプ+上下クリアタイプ
治療費用:990,000(税込)
代表的副作用:痛み・治療後の後戻り・歯根吸収・歯髄壊死・歯肉退縮
▶︎その他の副作用
【治療シミュレーション】
左下の乳歯は、歯根吸収を防ぐためほとんど動かさず、IPRのみ加え少しサイズを小さくして並べました。
※マウスピース型カスタムメイド矯正歯科装置は完成物薬機法対象外の矯正装置であり、医薬品副作用被害救済制度の対象とはならない可能性があります。

本来は永久歯がない左下の乳歯は抜歯して隙間を閉じていきたいところなのです。ですが、「乳歯が大きい」「乳歯の根が残っている」ということから、左側にずれている下の歯並びの正中線を合わせやすい方針をとるため乳歯は温存という形を取りました。このようにあえて乳歯を温存する方針をとる場合もあります。
20代女性・先天性欠如歯と埋伏歯・マウスピース型矯正






<症例概要>
主訴:前歯の噛み合わせ
年齢・性別:20代女性
住まい:千葉県千葉市
症状:左上乳歯(BC)残存・左上犬歯埋伏・上左右2番欠損
治療方針:・左上乳歯(C)温存・下顎後方移動+IPR
抜歯:左上乳歯(B)
治療装置:マウスピース型矯正装置(アライナー装置)
治療期間:1年8か月
アライナー枚数:49+35ステージ
リテーナー:下フィックスタイプ+上下プレートタイプ
治療費用:990,000(税込)
代表的副作用:痛み・治療後の後戻り・歯根吸収・歯髄壊死・歯肉退縮
▶︎その他の副作用
【治療シミュレーション】
下の歯列をIPRを行いながら後方に移動させ反対咬合を治します。III級ゴムを使用します。
※マウスピース型カスタムメイド矯正歯科装置は完成物薬機法対象外の矯正装置であり、医薬品副作用被害救済制度の対象とはならない可能性があります。

先天性欠損・埋伏歯・乳歯残存と歯の数の問題が全て揃ってしまっているケースです。ふつうは乳歯と埋伏犬歯を抜歯してインプラント補綴を行うところですが、患者さんはできるだけ外科的侵襲を減らしたいという希望でしたので、どちらも残す治療計画にしました。もちろん、反対咬合になっている前歯の噛み合わせも治しています。
矯正治療中は温存した乳歯に動揺が出ていたため少し心配したのですが、治療後は治まりレントゲンで歯根も十分確認できました。
50代女性・開咬・マウスピース型矯正
<顔のビフォーアフター>


<症例概要>
主訴:開咬
年齢・性別:50代女性
住まい:千葉県八千代市
症状:右下5番欠損・歯肉退縮
治療方針:抜歯空隙閉鎖+オートローテション
抜歯:上左右4番・左下4番(計3本)
治療装置:マウスピース型矯正装置(アライナー装置)
治療期間:2年10か月
アライナー枚数:56+52+43+13ステージ
リテーナー:上フィックスタイプ+上下クリアタイプ
治療費用:990,000(税込)
代表的副作用:痛み・治療後の後戻り・歯根吸収・歯髄壊死・歯肉退縮
▶︎その他の副作用
【治療シミュレーション】
抜歯空隙閉鎖と臼歯の圧下を同時に行っていきました。実際は、1回の治療計画では開咬の改善は不十分であり、追加アライナーを3回作成して前歯を咬合させてきました。
※マウスピース型カスタムメイド矯正歯科装置は完成物薬機法対象外の矯正装置であり、医薬品副作用被害救済制度の対象とはならない可能性があります。

連携している歯科医院よりご紹介を受け開咬治療を行った患者様です。通常、ミドルエイジの矯正治療は歯の保存を考え、抜歯をしない治療方針を立てることが多いです。ですが、前歯の上下の開きが強かったことに加え、親知らずが残存していたため、抜歯を併用した矯正治療を行いました。既に歯肉退縮が多くみられるため、マウスピースの辺縁のラインなどを短めに設定し、歯茎へのダメージリスクを最小限にするデザインにしました。治療後は、アンテリアガイダンス(前歯のかみ合わせ)を作ることができました。
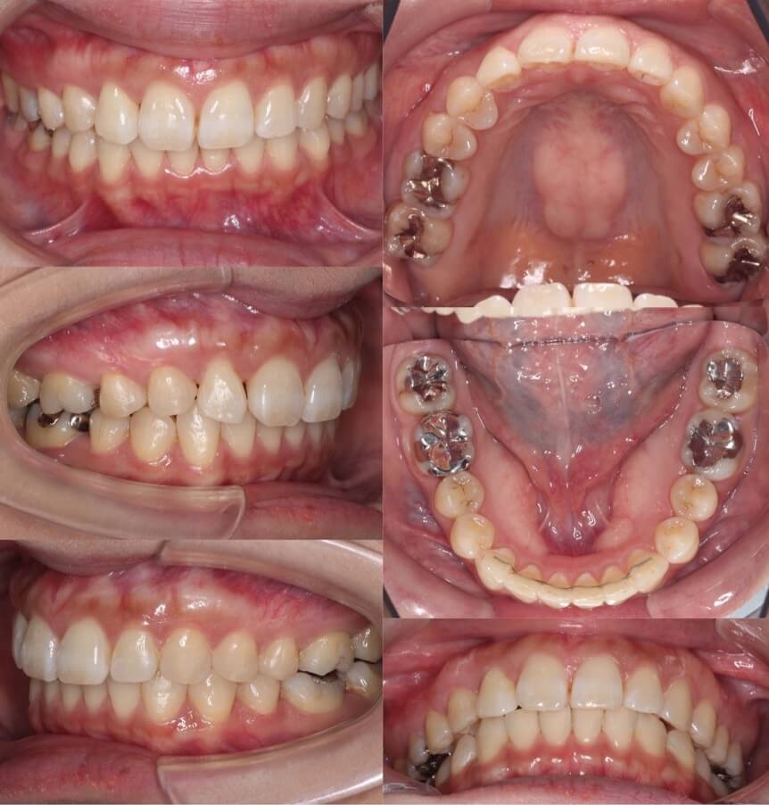
40代女性・矮小歯補綴・マウスピース型矯正





<症例概要>
主訴:前歯の歯並び
年齢・性別:40代女性
住まい:千葉県千葉市
症状:右上第二小臼歯先天性欠如・左上犬歯埋伏・叢生・矮小歯
治療方針:下顎後方移動・ストリッピング
治療後処置:上顎側切歯歯冠補綴
治療装置:マウスピース型矯正装置(アライナー装置)
アライナー枚数:60+18+15ステージ
治療期間:2年
リテーナー:上下プレートタイプ+下フィックスタイプ
治療費用:990,000(税込)
代表的副作用:痛み・治療後の後戻り・歯根吸収・歯髄壊死・歯肉退縮
▶︎その他の副作用

上の歯並びは先天性欠如歯と埋伏歯があり2本歯が少ない状況でした。一方、下の歯列は歯の数が多いため不揃いがあり、顎間ゴムを使用して後方移動させました。埋伏歯に関しては特に歯の移動の邪魔にならないため抜歯はせずそのままにしています。
治療後は歯のサイズが小さい前歯2本をかかりつけの歯科医院で、被せ物を設置し調整していただきました。
30代女性・犬歯抜歯・ハーフリンガル矯正






<症例概要>
主訴:八重歯
年齢・性別:20代女性
住まい:千葉県佐倉市
症状:前歯部クロスバイト・正中線のズレ・下側切歯2本欠損
治療方針:抜歯空隙閉鎖・ストリッピング
抜歯:上第一小臼歯(計2本)
治療装置:マウスピース型矯正装置(アライナー装置)
治療期間:1年10か月
アライナー枚数:35+28+20ステージ
リテーナー:上フィックスタイプ+上下プレートタイプ
治療費用:990,000(税込)
代表的副作用:痛み・治療後の後戻り・歯根吸収・歯髄壊死・歯肉退縮
▶︎その他の副作用
下の前歯が2本、先天的に欠如している方です。正常な数がある上の歯並びは、並ぶ隙間が足りずでこぼこになっています。上の前から4番目の歯を2本減らして上下の歯の本数を合わせ、きっちり正中線も合わせる事ができました。
【矯正歯科治療に伴うリスクや副作用】
① 治療開始直後は矯正装置による不快感、痛み等があります。1、2 週間以内で慣れることが多いです。
② 歯の動き方には個人差があります。予想された治療期間が延長する可能性があります。
③ 矯正装置の使用、管理、定期的な通院など、矯正治療には患者さんの協力が治療結果や治療期間に影響します。
④ 治療中は、むし歯や歯周病のリスクが高まりますので、丁寧に磨いたり、定期的なメンテナンスを受けたりすることが重要です。また、歯が動くと隠れていたむし歯が発見されることもあります。
⑤ 歯を動かすことにより歯根が吸収して短くなることがあります。また、歯ぐきが下がることがあります。
⑥ ごくまれに歯が骨と癒着していて歯が動かないことがあります。
⑦ ごくまれに歯を動かすことで神経が障害を受けて壊死することがあります。
⑧ 治療途中に金属等のアレルギー症状が出ることがあります。
⑨ 治療中に「顎関節で音が鳴る、あごが痛い、口が開けにくい」などの顎関節症状が出ることがあります。
⑩ 治療中に状況が変わり、当初予定した治療計画を変更する可能性があります。
⑪ 歯の形を修正したり、咬み合わせの微調整を行ったりする可能性があります。
⑫ 矯正装置を誤飲する可能性があります。
⑬ 矯正装置を外す時に、エナメル質に微小な亀裂が入る可能性や、かぶせ物(補綴物)の一部が破損する可能性があります。
⑭ 治療終了後、リテーナーを指示通り使用しないと後戻りが生じる可能性が高くなります。
⑮ 治療終了後、現在の咬み合わせに合った状態のかぶせ物(補綴物)やむし歯の治療(修復物)などをやりなおす可能性があります。
⑯ 10代のあごの成長発育によりかみ合わせや歯並びが変化する可能性があります。
⑰ 治療後に親知らずの影響で歯並びが変化することがあります。。加齢や歯周病等により歯を支えている骨がやせるとかみ合わせや歯並びが変化することがあります。その場合、再治療等が必要になることがあります。
⑱ 矯正歯科治療は、一度始めると元の状態に戻すことは難しくなります。
※その他の副作用とリスクについて▶︎











































