後戻りの再矯正治療

現在矯正治療中の方の転院、もしくは矯正治療を終えて2年以上経過していない方の再矯正治療は行なっておりません。
矯正後の後戻りは全ての方にあります。ここ数年、再矯正治療を希望される患者さんは増えてきています。当院では、以前矯正治療を受けて後戻りしてしまった方の再矯正治療も行っています。
目次
歯並びが後戻りする原因
矯正治療後の後戻りは、多かれ少なかれ全ての矯正治療を行なった方におこります。これは間違いない事です。歯並びは徐々に動いているのですが、患者さんが気になるレベルまで変わったかがポイントになります。後戻りには大きく分けると下の3つのパターンに分けられます。
<矯正治療後の後戻りの3つのパターンとその原因>
時期によって後戻りのスピードやパターンは異なります。それぞれ説明していきます。

<後戻りの時期でパターンは異なる>
リテーナーの使用不足による治療後1年以内の後戻り
矯正治療で歯が動く理由は、歯と歯茎のすきまである「歯根膜」にある細胞が活動する事によるものです。そして、矯正治療後すぐはこの歯根膜がまだ開いたままの状態です。つまり、まだ歯がどこでも動けるような状態になっているということになります。その後、半年くらいで徐々に歯根膜が引き締まっていき、まわりの骨も形成される事で、歯並びは落ち着いていきます。
矯正治療後の歯並びの安定には、この期間はとても大切になります。指示どおりのリテーナー使用がなされていない場合は、簡単に後戻りを引き起こしてしまいます。治療後リテーナーをしばらく使用せず、ある時、歯の動きに気が付いてから、再度リテーナーを使用しても残念ながら歯並びは元には戻る事はありません。

<治療直後の歯並びには戻らない>
長期間でのゆっくりとした歯並びの後戻り
私たちの歯並びは常に食事・噛みしめ・頬や舌の筋肉まで様々な力を受けています。このような環境で歯並びをいつまでも100点をキープし続けることは現実的には不可能に近いです。また、歯や歯茎も歳を重ねる事で弱くもなっていきます。ですから、歯並びは毎日少しづつ変わりつづけているのです。
患者さんは、日々の歯並びの微妙な変化に気づく事は難しいです。そして、ある時バケツの水がこぼれ始めてから気がつくのです。経年的には人の歯並びは横幅が狭くなり、奥歯から前歯が前方に倒れれていくタイプが多いと報告されています。

<ヒトの歯列の経年変化>
子供の1期治療のみで仕上げの2期治療を行なっていない
小児矯正(1期治療)とは主に6歳臼歯と前歯の噛み合わせを治し、後から生えてくる歯を誘導する治療段階です。実はここで治療を終えた場合、矯正治療の中断となります。その後、12歳前後で生えてくる犬歯が八重歯になったり、奥歯がすれ違いの咬合(シザーズバイト)になっている事があります。
また、歯並びはキレイなのですが、出っ歯や横顔を気にしている場合もあります。この場合やはり2期目の全体的な矯正治療を行わないと歯並びは100点にする事ができません。

<1期治療で終了する事は実は中断である>
その他、小学生で受け口の矯正治療を終えたのですが、その後の中高生の時期に下あごが予想以上に前方成長する事で受け口傾向が再発する方や、下あごが左右非対称に成長し交叉咬合になる方もいらっしゃいます。骨格のズレが大きいケースの場合は外科的矯正治療も考えなくてはならないこともあります。
リテーナーを使っていても後戻りはする
矯正治療により完成した歯並びは、次の日からわずかに崩壊が始まります。歯列には常に元いた場所に戻ろうとする力がかかるからです。それだけでなく、舌の位置・口の周りの筋力・姿勢・歯周病・歯ぎしり・親知らず・虫歯治療のやり直し・・・私たちが生きている間に歯並びを崩す要因は常にあります。その崩壊を遅らせる力を持っているのがリテーナーなのです。ですからリテーナーを使用しても、完全には歯並びの後戻りを防止する事はできないのです。
さらに、リテーナーは上下の歯列を別々に抑えているパターンが多いため、「出っ歯」「開咬」などの上下歯列の前後・垂直的な歯並びを抑えるのは難しいと言われています。リテーナーを装着していても多少前歯のかみ合わせが後戻りします。それでも、効果がないわけではありませんので必ずご使用ください。

<決して万能装置ではないリテーナー>
再矯正治療は全体矯正治療になる
年々増えてきている矯正治療後の後戻りの相談内容は、以下の3つのケースが多いと言えます。それぞれ、どのような治療になるかは、患者さんがどこを気にしているかで変わります。
<部分矯正適応は少なく、全体矯正の可能性は高い>
このうち①のみの症状の場合は比較的簡単に再矯正治療ができる可能性があります。歯をヤスリで小さくする事でスペースを作り6〜8か月程度で治療期間は終了します。いわゆる部分矯正治療になります。
②、③の症状がある場合は全体の歯並びを治す本格矯正治療になります。「本格矯正をまた2年近くやるのか」と思うと気持ちが重くなる方が多いようですが、後戻り相談の70%以上が本格矯正治療です。再矯正は後悔しないようにしっかり治した方が良いです。この場合は、一般的な矯正治療の費用・期間に準じます。
「長い期間がかかるな〜」と感じるかもしれませんが安心して下さい、時の流れは歳を重ねる度に早くなります。以前の2年より今からの2年の方が圧倒的に短く感じます。一度経験した事を繰り返すのは、初めて行う事より圧倒的に楽です。
再矯正治療で使用する矯正装置
再矯正治療を希望の患者さんは成人以降の方が多いので「目立たない事」と「快適さ」を求める傾向があります。当院ではマウスピース型矯正装置を選択される方が多いです。また横顔を改善するための抜歯矯正に関しては、唇側矯正装置(歯の表側にワイヤーを装着)が一番向いています。
マウスピース型矯正装置
マウスピース型矯正装置は、倒れ込んだ歯を起こすのを得意としています。ですから一度矯正治療を行い長期的に崩れた場合の再矯正治療にはマウスピース型矯正装置が第一選択になります。一度虫歯治療を行なった歯で矯正装置が装着しにくいセラミックや銀歯も問題ないというのもメリットです。

<一度ワイヤーで矯正治療を行なった方は有利>
ハーフリンガル
「矯正治療をしたけれど、やっぱり前歯が出ているので、もっと引っ込めたい」という方は、小臼歯抜歯を併用した再矯正治療が必要になります。この場合は前歯の歯根のコントロールが得意でないマウスピース型矯正装置は対応していない事もあります。目立たない装置を希望される方はハーフリンガル矯正装置を選択されます。

<ハーフリンガルには適応症があります>
再矯正治療へのハードルは下がってきている
矯正歯科治療へのハードルはコストです。もちろん費用的な面もありますが、時間という点が重要です。時間の流れは、子供の頃はゆっくりです。同じ1年でも数倍長く感じます。よく「小さい頃はずっと矯正治療をしていた事しか記憶がない」なんていう方もいます。ですが、人は一度経験した事は慣れているため、感覚的にはあっという間に終わります。

<再矯正治療は誰でも可能です>
再矯正治療をする方は、年々増えてきています。一生で矯正治療を何度もするのは決しておかしい事ではありません。実際、矯正歯科医院で勤務するスタッフは「治験者になっている」というのもありますが、何度も矯正治療を受けています。矯正治療を歯のメンテナンスの一つと考えてみても良いのではないでしょうか。
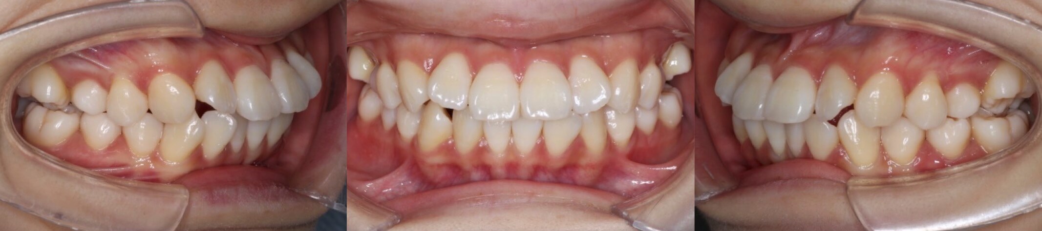
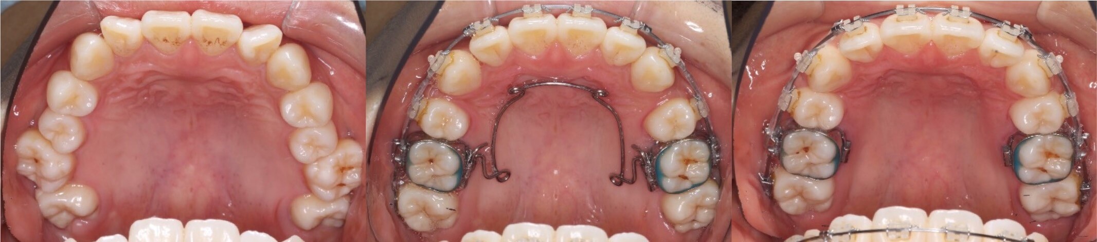
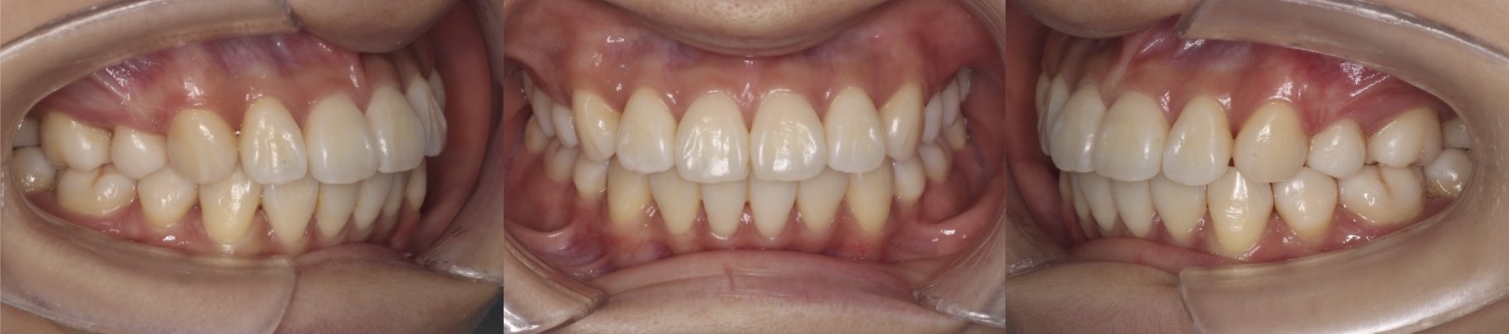
再矯正治療例
よくある再矯正治療例です。10代の拡大床矯正治療により並びは整ったのですが、かみ合わせが悪く出っ歯傾向になったというものです。前歯の後方移動と広がりすぎた歯並びの縮小が必要であるため上下顎小臼歯を抜歯し、唇側矯正治療を行いました。広がりすぎた歯並びを縮小することは難しいのですが、内側の固定式装置を使用して元の歯並びに戻すことに成功しました。


<症例概要>
主訴:奥歯で噛みにくい・口が閉じれない
年齢・性別:20代女性
住まい:千葉県船橋市
症状:上下顎前突・上顎歯列弓拡大
治療装置:唇側矯正装置
治療方針:上顎歯列縮小・抜歯空隙閉鎖
抜歯部位:上4番・下5番(計4本)
固定装置;縮小型クワドヘリックス
治療期間:2年9か月
リテーナー:上下クリアタイプ+上フィックスタイプ
治療費用:968,000(税込)
代表的副作用:痛み・治療後の後戻り・歯根吸収・歯髄壊死・歯肉退縮
その他の副作用とリスクについて▶︎
※マウスピース型カスタムメイド矯正歯科装置は完成物薬機法対象外の矯正装置であり、医薬品副作用被害救済制度の対象とはならない可能性があります。





