
前歯の深噛み(過蓋咬合)の矯正治療症例
「前歯の深噛み」は専門的には「過蓋咬合」と言い、一見良い歯並びに見えても、前歯が噛み込み過ぎている状態になります。奥歯で噛んだ状態で下の前歯の露出面積が狭く、時には下の前歯が上の歯茎を噛んでいる事もあります。
基本的には、食事時に前歯を上手く使用する事ができません。さらに食いしばりや歯ぎしりが強い方が多いため、奥歯がすり減ってしまっている事が多いです。この状態は奥歯に大きな負担がかかっており、これにさらに食いしばりや歯ぎしりの力がかかると、どんどん奥歯が削れていきます。
また、インサイザルカーブと呼ばれる前歯の先端のラインがきつすぎる傾向にあります。ウサギのように前歯2本だけ下の伸びているため「ラビッティング」とも呼びます。審美的改善のためにも上の前歯を上方に持ち上げる「圧下」という移動が必要になります。

<治療前後のインサイザルカーブの変化>
治療方法は、奥歯をおこして噛み合わせの高さを上げるか、上下前歯を歯茎方向に沈めます。歯根の移動量が多く、治療に期間がかかる事も多い治療方法と言えます。前歯の前突が併発していない非抜歯方針の場合はマウスピース型矯正装置(インビザライン・薬機法対象外)でも治療でも適応しております。
目次
- 1 中学生女子・マウスピース型装置
- 2 20代女性・マウスピース型装置・1本抜歯
- 3 20代女性・唇側矯正装置・2本抜歯
- 4 20代女性・マウスピース型装置
- 5 大学生男性・唇側矯正装置・4本抜歯
- 6 20代女性・唇側矯正装置・2本抜歯
- 7 20代男性・マウスピース型装置・2本抜歯
- 8 20代女性・ハーフリンガル・4本抜歯
- 9 30代女性・マウスピース型矯正・1本抜歯
- 10 20代女性・マウスピース型矯正
- 11 20代女性・マウスピース型矯正
- 12 20代女性・マウスピース型矯正・ガミースマイル
- 13 20代女性・唇側矯正・ガミースマイル・4本抜歯
- 14 高校生女子・マウスピース型矯正
- 15 40代女性・唇側矯正・3本抜歯
- 16 小学生女子・1期治療
- 17 【薬機法対象外について】
- 18 矯正歯科治療に伴うリスクや副作用】
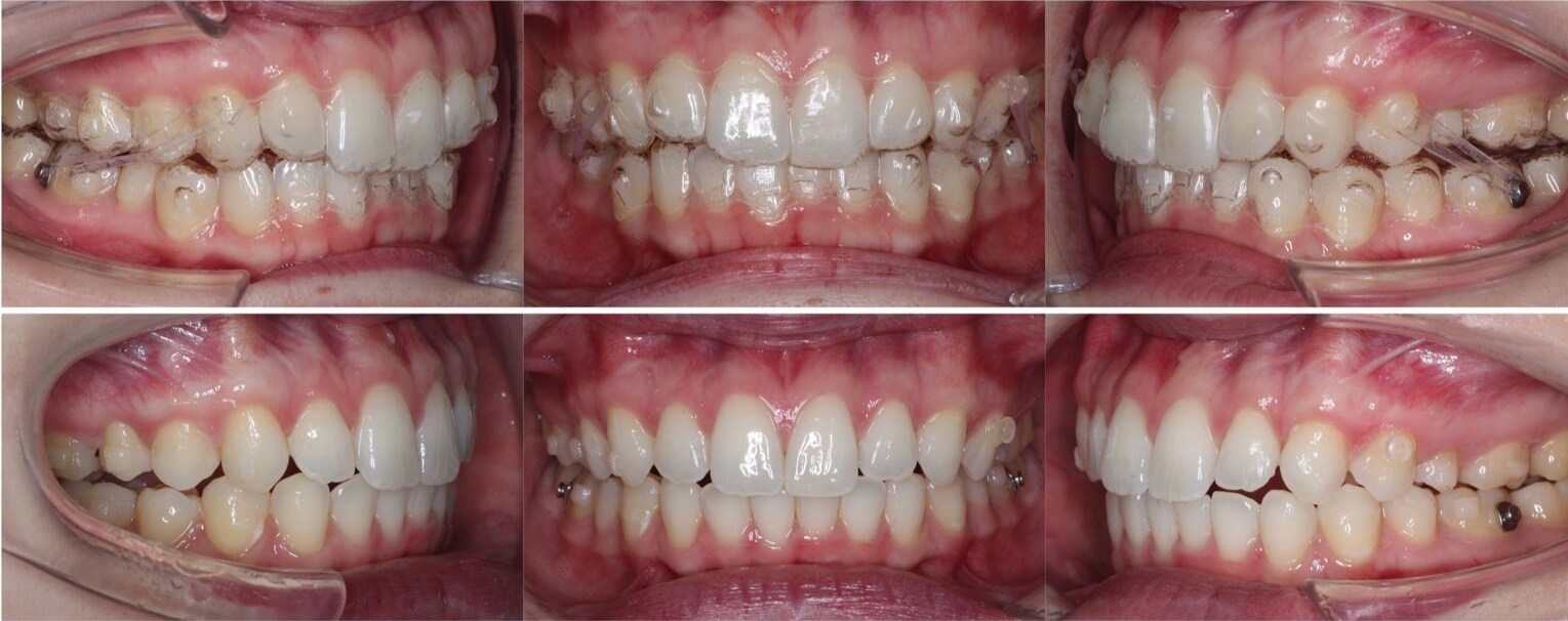
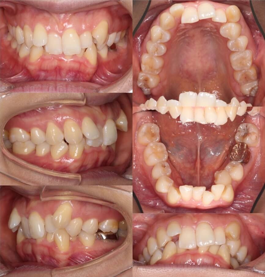
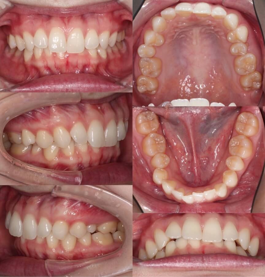
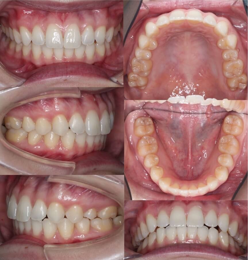
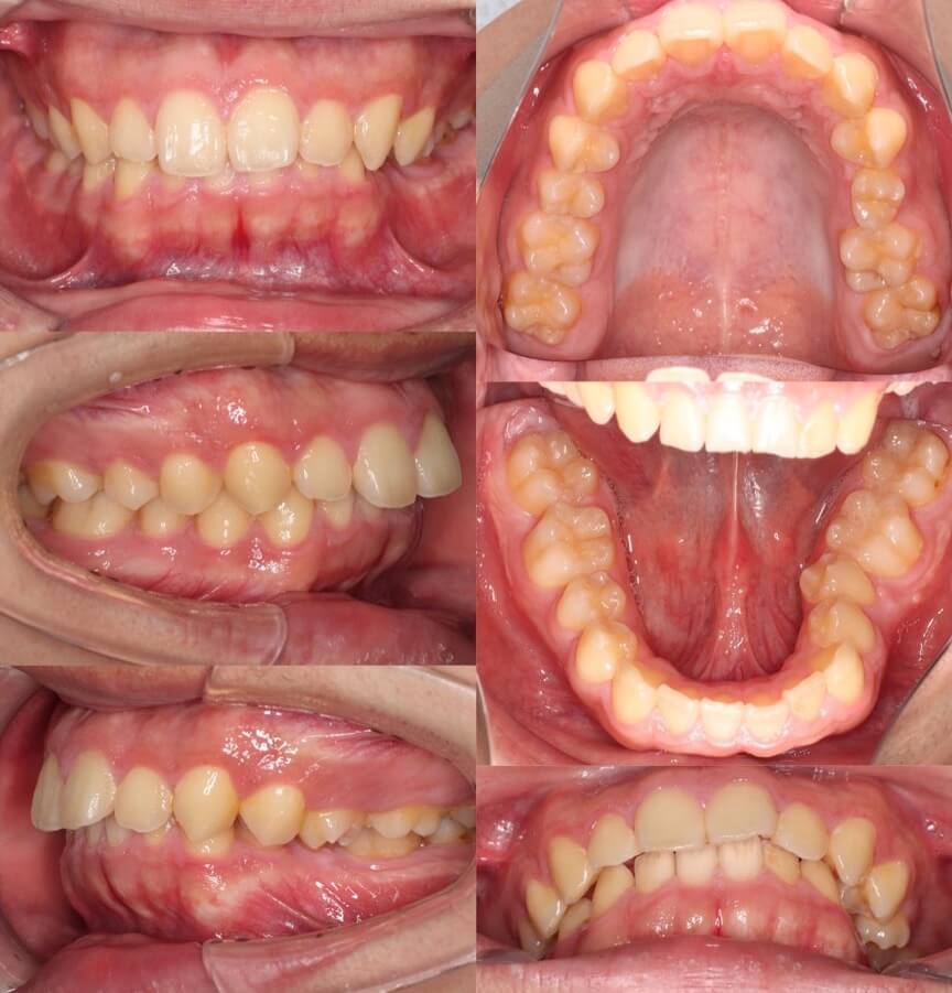
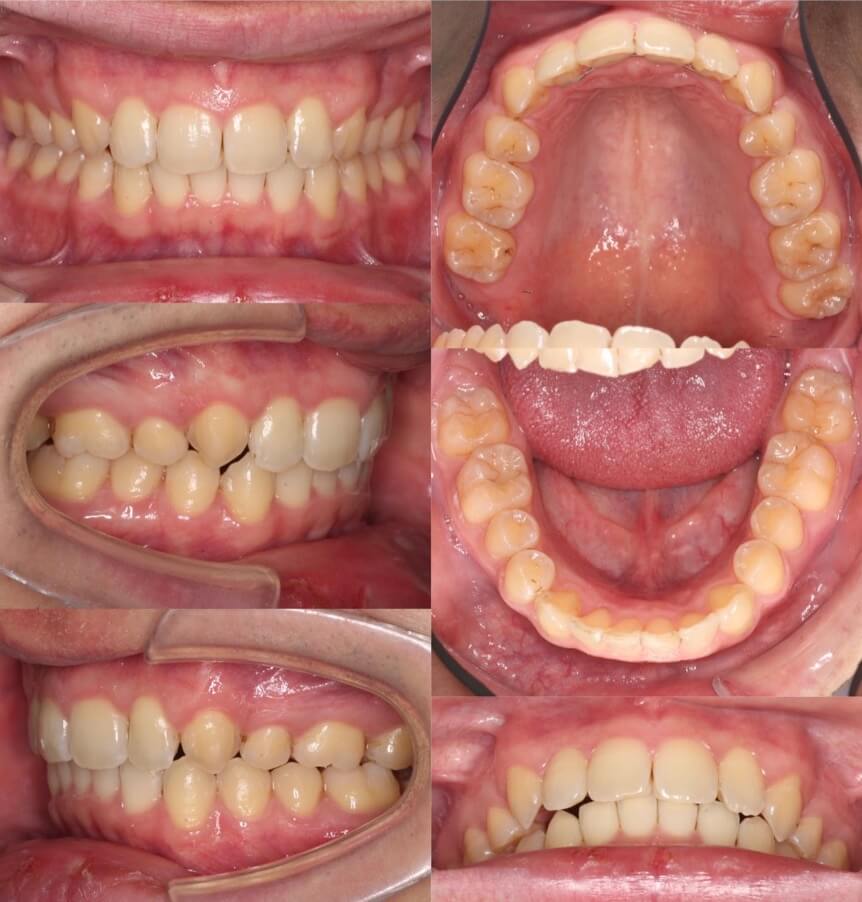
中学生女子・マウスピース型装置

典型的なII級2類と呼ばれる、過蓋咬合を伴う上顎前突症例です。10代前半であり下あごのかみ合わせがまだ定まっていなかったため、バイトウィングという下あごの前後的位置を調整するマウスピースを使用をして正しいかみ合わせに調整しました。内側に倒れていた上の前歯の向きも改善し、良いスマイルに変化しました。
<症例概要>
主訴:歯並びのがたつき
住まい:千葉県船橋市
年齢・性別:中学生女子
症状:上顎前歯舌側傾斜・過蓋咬合・上下顎叢生・アングルII級2類
治療方針:上顎前歯の前方傾斜移動・下顎の前方推進
治療装置:マウスピース型矯正装置(アライナー装置)
治療期間:1年11か月
アライナー枚数:36+38+27ステージ (7日交換)
リテーナー:上下フィックスタイプ+プレートタイプ
治療費用:990,000(税込)
代表的副作用:痛み・治療後の後戻り・歯根吸収・歯髄壊死・歯肉退縮
▶︎その他の副作用
【治療シミュレーション】
上の前歯を前方移動させることで、上下の前歯のロックを解除し、自然に下顎が前方移動するように誘導しています。
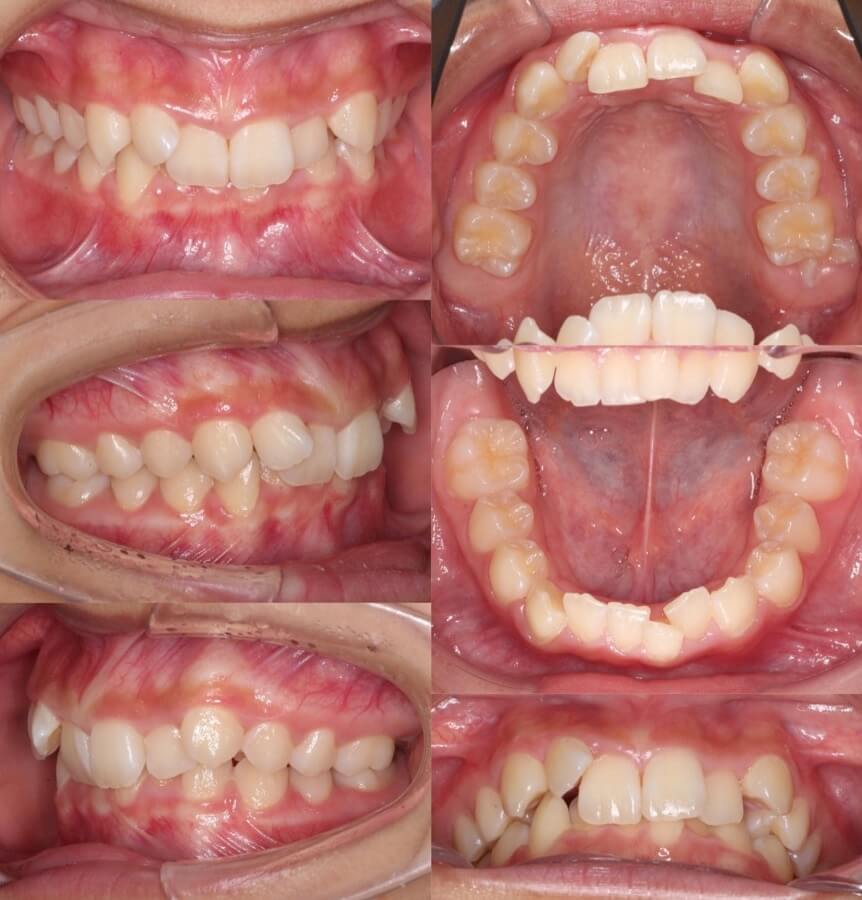
20代女性・マウスピース型装置・1本抜歯


II級2類と呼ばれる、過蓋咬合を伴う上顎前突症例です。歯並びのスペース不足に左右差があったため、左上のみ小臼歯を抜歯しています。上下顎前歯の前歯を前方に傾斜移動させた反作用で過蓋咬合を改善させています。
<症例概要>
主訴:歯並びのがたつき
住まい:千葉県船橋市
年齢・性別:20代女性
症状:上顎前歯舌側傾斜・過蓋咬合・上下顎叢生・左4番シザーズバイト
治療方針:抜歯空隙閉鎖
治療装置:マウスピース型矯正装置(アライナー装置)
抜歯:左上5番
治療期間:2年5か月
アライナー枚数:60+37+24ステージ (7日交換)
リテーナー:上下フィックスタイプ+クリアタイプ
治療費用:990,000(税込)
代表的副作用:痛み・治療後の後戻り・歯根吸収・歯髄壊死・歯肉退縮
▶︎その他の副作用
【治療シミュレーション】
過蓋咬合を下の前歯の前方移動にて改善していく計画です。歯周組織のから歯が出ないようIPRを加えて調整しています。
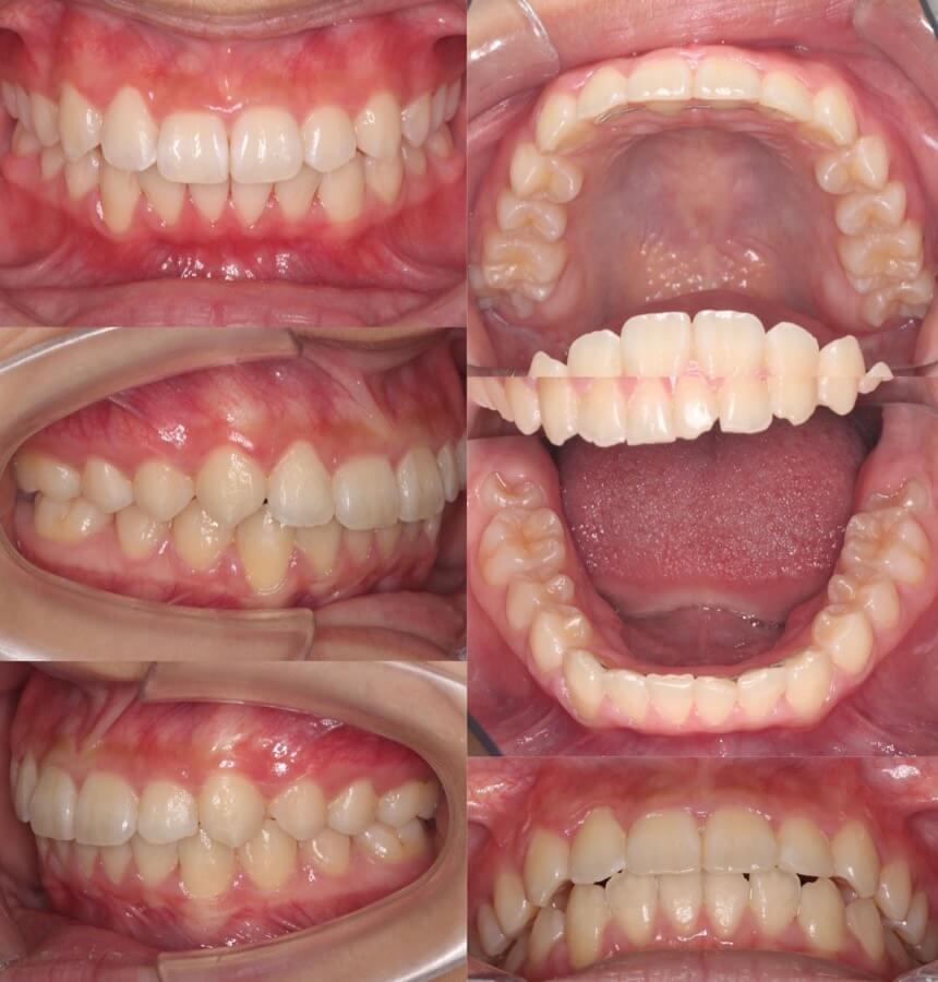
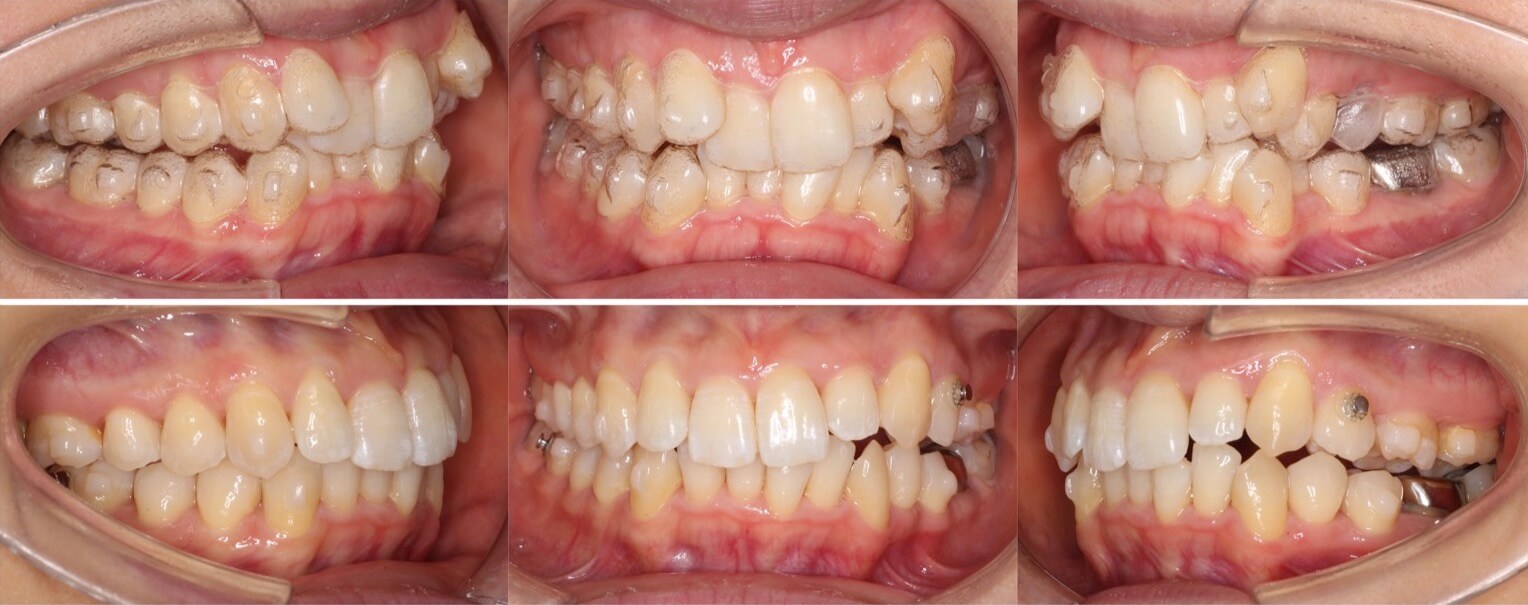
20代女性・唇側矯正装置・2本抜歯

重度の過蓋咬合であったため、唇側ワイヤー矯正装置とアンカースクリューにより、先に上の前歯の圧下(歯茎方向への移動)を行なった後に、ゆっくりと抜歯空隙を閉鎖しました。このように過蓋咬合では前歯に植立するアンカースクリューがあった方が治療が効率的に進みます。
<症例概要>
主訴:前歯の突出と噛み合わせ
年齢・性別:20代女性
住まい:東京都練馬区
症状:過蓋咬合・上顎前突
治療方針:上顎前歯の圧下・抜歯空隙の閉鎖
治療装置:唇側矯正装置
固定装置:歯科矯正用アンカースクリュー(上唇側x2)
抜歯:上左右第一小臼歯(計2本)
治療期間:2年6か月
リテーナー:下フィックスタイプ+上下プレートタイプ
治療費用:968,000(税込)
代表的副作用:痛み・治療後の後戻り・歯根吸収・歯髄壊死・歯肉退縮
▶︎その他の副作用
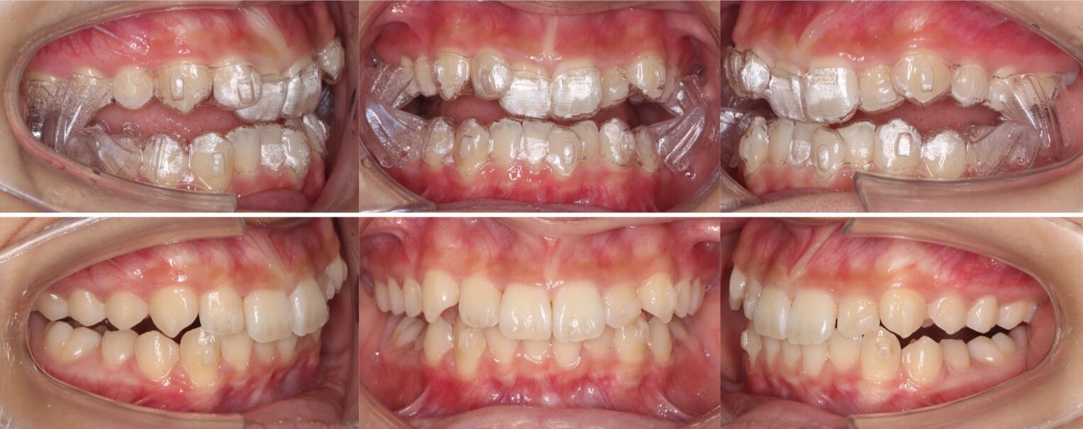
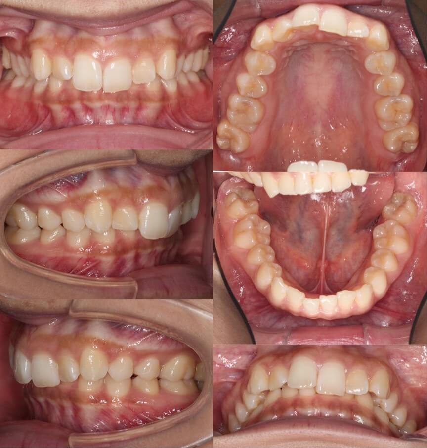
20代女性・マウスピース型装置


過蓋咬合の改善は見た目の変化は少ないのですが、口の中の歯並びの変化は大きいです。下の歯並びが見えるようになり正しいかみ合わせになりました。
<症例概要>
主訴:前歯のかみ合わせが悪い
年齢・性別:大学生女性
住まい:千葉県佐倉市
症状:過蓋咬合・右5番シザーズバイト・下顎叢生
治療方針:下顎前歯唇側傾斜による圧下
治療装置:マウスピース型矯正装置(アライナー装置)
アライナー枚数:43+27
治療期間:1年4か月
リテーナー:上下クリアタイプ
治療費用:990,000(税込)
代表的副作用:痛み・治療後の後戻り・歯根吸収・歯髄壊死・歯肉退縮
▶︎その他の副作用
【治療シミュレーション】
主に下の歯並びを前方に倒しながら歯茎方向に沈め(圧下)させ、過蓋咬合を改善していきます。
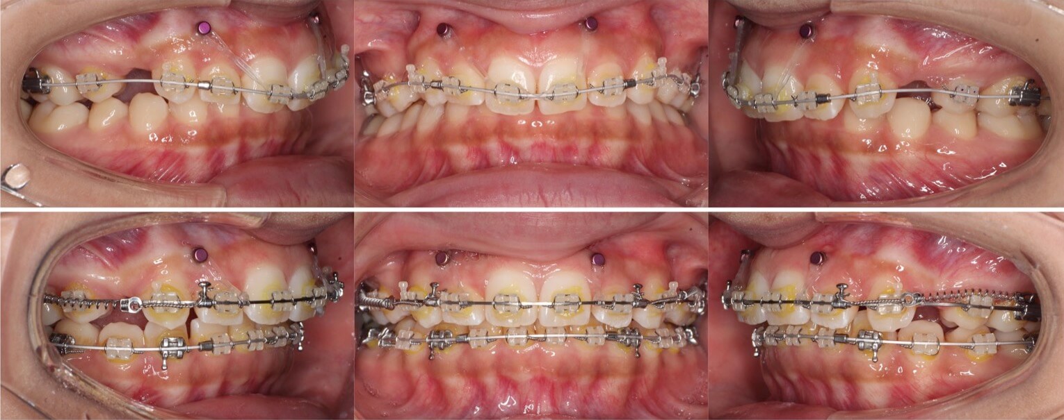
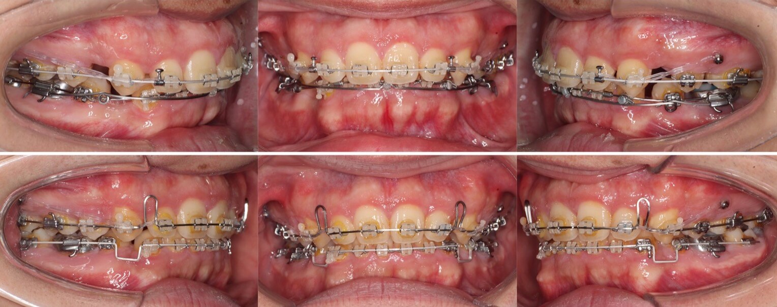
大学生男性・唇側矯正装置・4本抜歯

口元の突出もある重度の過蓋咬合症例は、表側矯正装置の方が確実に治療が可能です。このようなケースの治療期間は3年を超えてしまいます。側方のシザースバイトも併発しているため、下の歯並びにブラケット装置を装着する面積を確保する事に苦戦しました。治療途中は何回もワイヤーが上の歯で噛み切ってしまい折れてしまうため、複雑なワイヤーを併用する事で過蓋咬合を改善しました。
<症例概要>
主訴:口元の突出
年齢・性別:大学生男性
住まい:千葉県八千代市
症状:過蓋咬合・上下顎前突・左側シザースバイト
治療方針:抜歯空隙の閉鎖(最大固定)
治療装置:唇側矯正装置
固定装置:歯科矯正用アンカースクリュー(上頬側x2)
抜歯:上下左右4番(計4本)
治療期間:3年2か月
リテーナー:下フィックスタイプ+上下プレートタイプ
治療費用:968,000(税込)
代表的副作用:痛み・治療後の後戻り・歯根吸収・歯髄壊死・歯肉退縮
▶︎その他の副作用
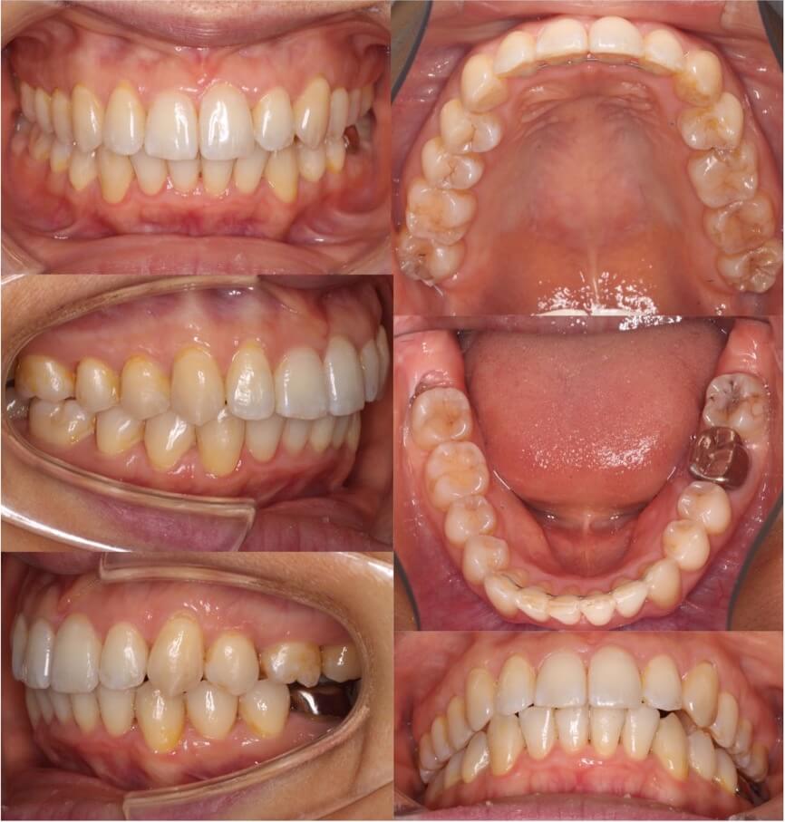
20代女性・唇側矯正装置・2本抜歯

過蓋咬合の治療方法で、上下どちらの前歯を圧下させるか、歯並びや歯の見え方で選択します。この症例は、上の前歯が下に落ちていると言うより、下の前歯が上に突き上げているタイプであったため、下の前歯を圧下させました。
<症例概要>
主訴:前歯の突出
年齢・性別:高校生女性
住まい:千葉県八千代市
症状:過蓋咬合・上顎前突
治療方針:下顎前歯の圧下・抜歯空隙の閉鎖
抜歯:上左右4番(計2本)
治療期間:2年6か月
リテーナー:上下フィックスタイプ+上下プレートタイプ
治療費用:968,000(税込)
代表的副作用:痛み・治療後の後戻り・歯根吸収・歯髄壊死・歯肉退縮
▶︎その他の副作用
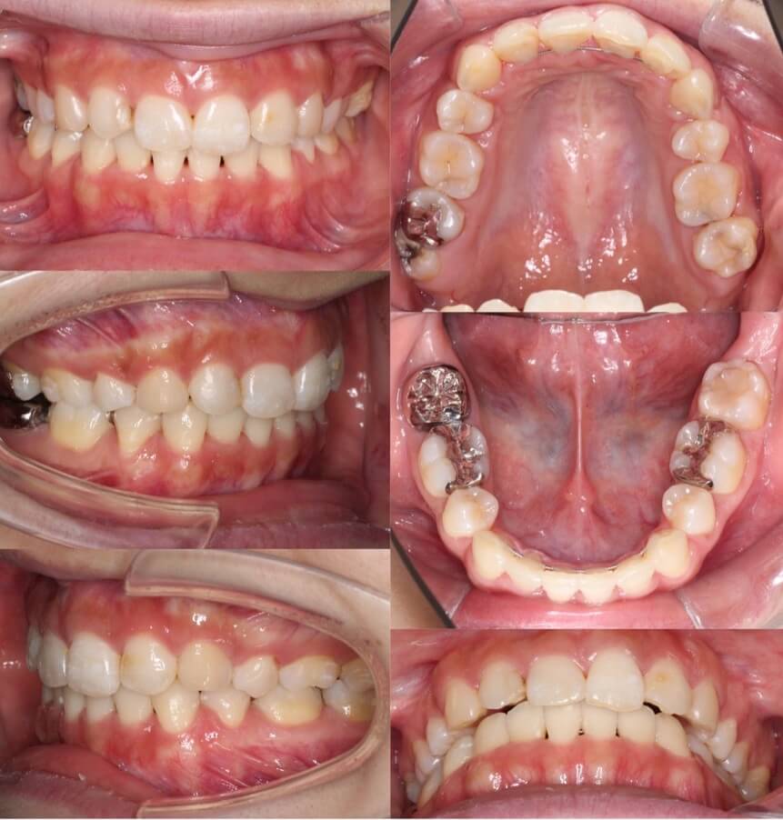
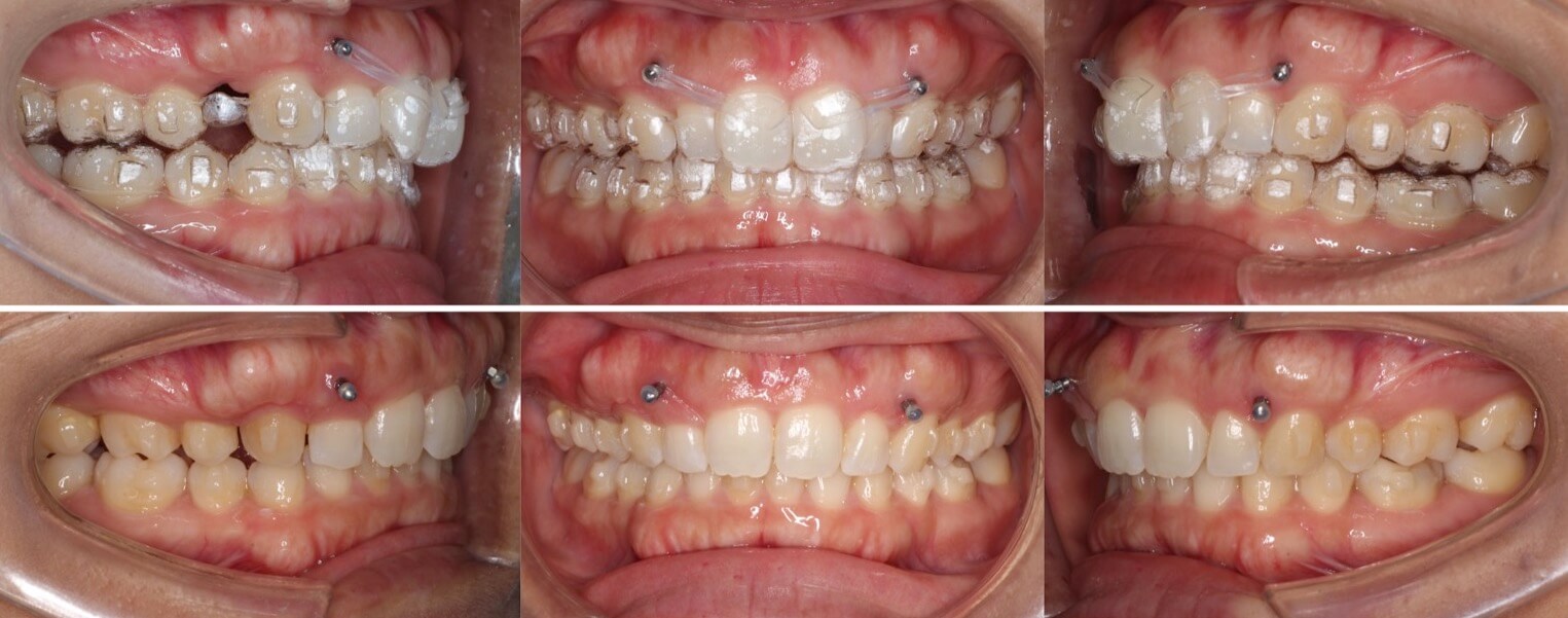
20代男性・マウスピース型装置・2本抜歯

抜歯を併用したマウスピース型矯正治療では、過蓋咬合の改善は難易度は高くなります。このケースは歯を動かすステージングの工夫と上手くバイトランプをうまく利用し改善しました。
<症例概要>
主訴:出っ歯
年齢・性別:20代男性
住まい:千葉県八千代市
症状:過蓋咬合・上顎前突・上下顎叢生
治療方針:バイトランプを使用した下顎前歯の段階的圧下
抜歯:上左右4番(計2本)
治療装置:マウスピース型矯正装置(アライナー装置)
治療期間:2年2か月
リテーナー:上下クリアタイプ+フィックスタイプ
治療費用:990,000(税込)
代表的副作用:痛み・治療後の後戻り・歯根吸収・歯髄壊死・歯肉退縮
▶︎その他の副作用
【治療シミュレーション】
下の前歯と犬歯を交互に移動し、ゆっくりと確実に過蓋咬合を治します。
20代女性・ハーフリンガル・4本抜歯

過蓋咬合の抜歯症例は、マウスピース型矯正装置や上下の裏側装置での矯正治療は非常に難易度が高くなります。そこで上だけ裏側装置を使用したハーフリンガルにする事で、前歯のかみ合わせのコントロールを行いました。治療期間はかかりましたが、無事矯正治療を終える事ができました。
<症例概要>
主訴:前歯のでこぼこ
年齢・性別:20代女性
住まい:千葉県船橋市
症状:過蓋咬合・叢生・上顎前突
治療方針:抜歯空隙の閉鎖(最大固定)
治療装置:ハーフリンガル矯正装置(上のみ裏側装置)
固定装置:歯科矯正用アンカースクリュー(口蓋側壁x2)
抜歯:上下左右4番(計4本)
治療期間:3年1か月
リテーナー:上下フィックスタイプ+プレートタイプ+クリアタイプ
治療費用:1,495,000(税込)
代表的副作用:痛み・治療後の後戻り・歯根吸収・歯髄壊死・歯肉退縮
▶︎その他の副作用
30代女性・マウスピース型矯正・1本抜歯

下の前歯がかぶさり具合が強く、重度の過蓋咬合です。さらに前歯を後ろに引くために抜歯も必要であり難易度はかなり高いケースです。念の為に患者さんにはブラケット矯正治療を併用させていただく可能性も説明して治療を開始いたしました。
アンカースクリューを上あごの歯肉に設置し、ゴムで前歯を上方牽引した事が功を奏し何とかマウスピース型矯正装置のみで治療を完了させる事ができました。
<症例概要>
主訴:前歯が出ている
年齢・性別:30代女性
住まい:千葉県八千代市
症状:過蓋咬合・上顎前突・小臼歯3本抜歯した矯正経験あり
治療方針:上下顎前歯圧下・抜歯空隙閉鎖
治療装置:マウスピース型矯正装置(アライナー装置)
固定装置:歯科矯正用アンカースクリュー(上前歯x2)
抜歯:右上4番抜歯
治療期間:2年4か月
アライナー枚数:78+36+13
リテーナー:上下クリアタイプ+フィックスタイプ
治療費用:990,000(税込)
代表的副作用:痛み・治療後の後戻り・歯根吸収・歯髄壊死・歯肉退縮
▶︎その他の副作用
【治療シミュレーション】
上の前歯をしっかりと圧下したのちに後方に移動させていきます。
20代女性・マウスピース型矯正

<顔のビフォーアフター>





<症例概要>
主訴:叢生
年齢・性別:20代女性
住まい:千葉県佐倉市
症状:過蓋咬合・下顎叢生
治療方針:上下顎前歯圧下・抜歯空隙閉鎖
治療装置:マウスピース型矯正装置(アライナー装置)
治療期間:1年2か月
アライナー枚数:21+16
リテーナー:上下クリアタイプ+フィックスタイプ
治療費用:990,000(税込)
代表的副作用:痛み・治療後の後戻り・歯根吸収・歯髄壊死・歯肉退縮
▶︎その他の副作用
【治療シミュレーション】
上の前歯を前方方向に傾斜させながら、圧下させました。

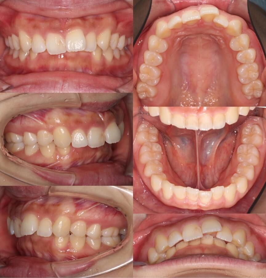
下の前歯にでこぼこがあり、過蓋咬合が歯並びの拡大で比較的簡単に改善できるケースでした。ストリッピングを行うことでブラックトライアングルが発生することを抑えています。
20代女性・マウスピース型矯正

<顔のビフォーアフター>





<症例概要>
主訴:八重歯
年齢・性別:20代女性
住まい:千葉県八千代市
症状:過蓋咬合・叢生・左側上下第二大臼歯欠損
治療方針:上顎前歯圧下・上顎遠心移動・ストリッピング
治療装置:商品マウスピース型矯正装置(アライナー装置)
固定装置:歯科矯正用アンカースクリュー(上前歯x2)
治療期間:1年7か月
アライナー枚数:56+25
リテーナー:上下クリアタイプ+フィックスタイプ
治療費用:990,000(税込)
代表的副作用:痛み・治療後の後戻り・歯根吸収・歯髄壊死・歯肉退縮
▶︎その他の副作用
※マウスピース型カスタムメイド矯正歯科装置は完成物薬機法対象外の矯正装置であり、医薬品副作用被害救済制度の対象とはならない可能性があります。

上の前歯が内側に倒れている事で前歯の噛み合わせが深い状態になっているケースです。歯科矯正用アンカースクリューを使用する事で正しい噛み合わせに、安全に短期間でもっていく事ができました。
20代女性・マウスピース型矯正・ガミースマイル

<顔のビフォーアフター>





<症例概要>
主訴:上の前歯の歯並び・歯茎が笑うと見える
年齢・性別:20代女性(大学生)
住まい:千葉県八千代市
症状:過蓋咬合・叢生・ガミースマイル・右7番シザースバイト
治療方針:抜歯空隙閉鎖・上顎前歯圧下・下顎前歯前方傾斜・ストリッピング
抜歯:右上第二小臼歯(計1本)
治療装置:マウスピース型矯正装置(アライナー装置)
固定装置:歯科矯正用アンカースクリュー(上前歯x2)
治療期間:1年7か月
アライナー枚数:55+23+25ステージ
リテーナー:上下プレートタイプ+フィックスタイプ
治療費用:990,000(税込)
代表的副作用:痛み・治療後の後戻り・歯根吸収・歯髄壊死・歯肉退縮
▶︎その他の副作用
※マウスピース型カスタムメイド矯正歯科装置は完成物薬機法対象外の矯正装置であり、医薬品副作用被害救済制度の対象とはならない可能性があります。

マウスピース型矯正装置では、「圧下」と呼ばれる垂直的に歯を持ち上げる事と、抜歯空隙の閉鎖を同時に行う事は通常難しいと言われいます。ですから、過蓋咬合の抜歯症例はマウスピース型矯正装置の非適応症の一つになります。今回は、アンカースクリューを固定源にアライナーに直接エラスティックをかける事で、この難しい前歯の動きを達成させる事ができました。患者さんが気にされていたガミースマイルも多少改善し、良好な治療結果を得る事ができました。また、本治療方法は誰も行なった事がない治療方針のため。治療開始前にその趣旨を説明しております。
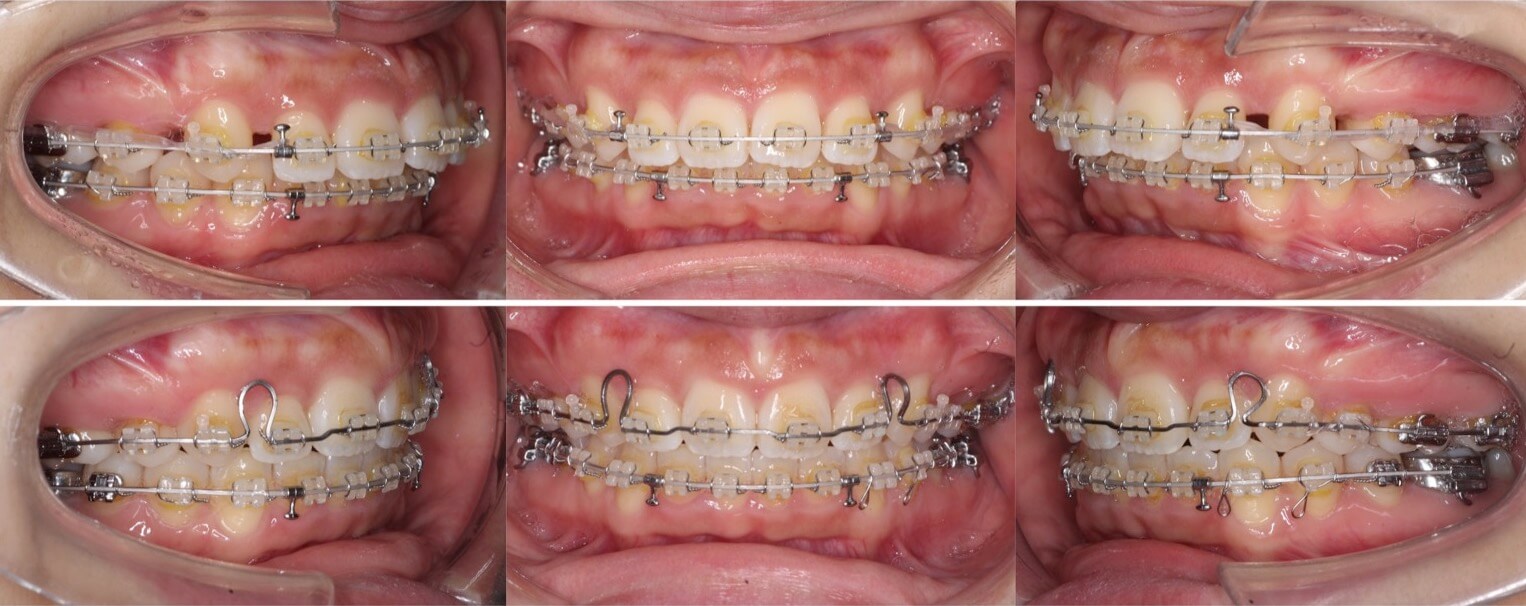
20代女性・唇側矯正・ガミースマイル・4本抜歯

<顔のビフォーアフター>





<症例概要>
主訴:出っ歯
年齢・性別:20代女性
住まい:千葉県船橋市
症状:過蓋咬合・上顎前突・ガミースマイル
方針:抜歯空隙閉鎖(中等度固定)・上顎前歯圧下
治療装置:唇側矯正装置
固定装置:歯科矯正用アンカースクリュー(上前歯x2)
抜歯:上第一小臼歯・下第二小臼歯(計4本)
治療期間:2年10か月
リテーナー:上下プレートタイプ
治療費用:968,000(税込)
代表的副作用:痛み・治療後の後戻り・歯根吸収・歯髄壊死・歯肉退縮
▶︎その他の副作用

出っ歯と笑った時に歯茎が見える事の改善を希望されて矯正治療を行いました。思いっきり笑うと歯茎が全開で見える状態を「ガミースマイル(ガミーフェイス)」とも言います。このような状態の場合、女性は少し恥ずかしいという事で口を手で隠してしまう方が多いようです。ガミースマイルの原因は、上の前歯の位置が正常より前方・下方に位置しているという歯列の問題以外に、上顎骨の位置という骨格の問題や、上唇の長さという軟組織の問題もあります。この中で、矯正治療で治療ができるのは歯列の問題だけになります。ですので、矯正治療で治せる適応症というものがあります。
上の前歯を歯茎が見えないように上方に持ち上げるには、何か固定源が必要です。ここで、活躍するのが歯科矯正用アンカースクリューになります。このケースは前歯の歯茎にアンカースクリューを設置する事、一気に直接、前歯を持ち上げる事に成功しました。小臼歯抜歯も併用していますので、前歯も後ろに引っ込み、理想的なスマイルになりました。
高校生女子・マウスピース型矯正

<顔のビフォーアフター>





<症例概要>
主訴:上の前歯の歯並び
年齢・性別:15歳女子(高校生)
住まい:千葉県佐倉市
症状:過蓋咬合・叢生
治療方針:上下顎前歯前方傾斜・ストリッピング
治療装置:マウスピース型矯正装置(アライナー装置)
治療期間:11か月
アライナー枚数:17+11ステージ
リテーナー:上プレートタイプ・下フィックスタイプ
治療費用:990,000(税込)
代表的副作用:痛み・治療後の後戻り・歯根吸収・歯髄壊死・歯肉退縮
▶︎その他の副作用
※マウスピース型カスタムメイド矯正歯科装置は完成物薬機法対象外の矯正装置であり、医薬品副作用被害救済制度の対象とはならない可能性があります。

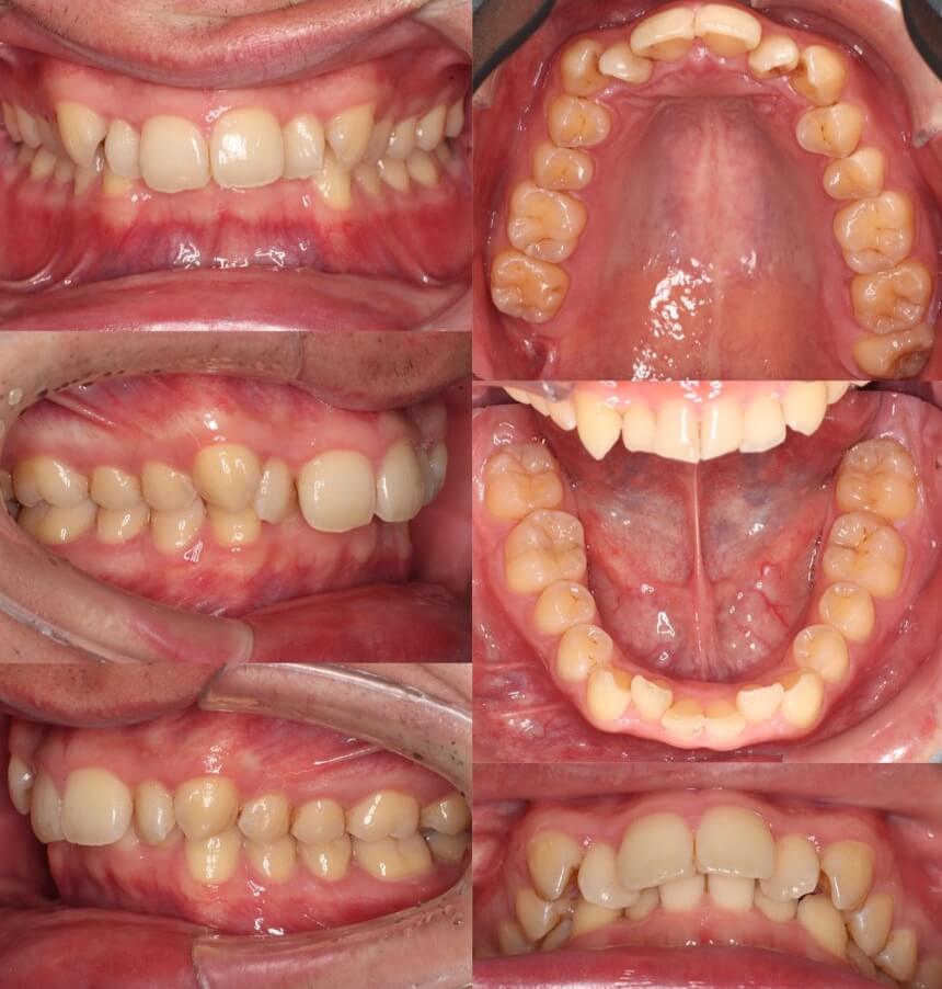
過蓋咬合のケースです。マウスピース型矯正装置を使用し、非抜歯にて治療を行いました。途中から顎間ゴムも使用して、噛み合わせの仕上がりも問題ありません。マウスピース矯正はケースによっては従来型の矯正治療より早く終える事ができる事もあります。「早く」「痛くなく」なら「目立たない」という理由以外にマウスピース装置を選択するメリットはありますよね。
40代女性・唇側矯正・3本抜歯


<症例概要>
主訴:出っ歯
年齢・性別:40代女性
住まい:千葉県八千代市
症状:過蓋咬合・上顎前突・ガミースマイル・正中線の不一致
方針:抜歯空隙閉鎖(中等度固定)・上顎前歯圧下
治療装置:唇側矯正装置
固定装置:歯科矯正用アンカースクリュー(上前歯x2)
抜歯:上左右4番・左下4番(計3本)
治療期間:2年9か月
リテーナー:上下フィックスタイプ+プレートタイプ
治療費用:968,000(税込)
代表的副作用:痛み・治療後の後戻り・歯根吸収・歯髄壊死・歯肉退縮
▶︎その他の副作用

過蓋咬合を伴う上顎前突です。上の前歯を後方移動させるために、アンカースクリューで一度上方に持ち上げた後に、後方に移動させています。しっかりと前歯を後ろに引くことができました。
小学生女子・1期治療






<症例概要>
主訴:噛み合わせが深い
年齢・性別:8歳女子
住まい:千葉県八千代市
症状:過蓋咬合・上顎前突
治療方針:上顎前歯圧下・下顎前歯前方傾斜
治療装置:機能的マウスピース矯正装置(プレオルソ)
管理期間:2年6か月
リテーナー:なし
治療費用:484,000(税別)
代表的副作用:痛み・治療後の後戻り・成長による変化
▶︎その他の副作用

下の前が完全に見えない過蓋咬合です。口呼吸も併発しており口唇の突出も見られます。このようなケースは機能的改善効果もある機能的マウスピース矯正装置(プレオルソ)が効果を発揮します。前歯の噛み合わせ改善後も使用頻度を落としながらは使用し続ける事で、正しい位置に生え変わります。口唇に筋力がつき、横顔も引き締まりました。
【薬機法対象外について】
※マウスピース型矯正治療(インビザライン)を希望の方は必ずお読み下さい。
・マウスピース型矯正装置(インビザライン)は医薬品医療機器等法(薬機法)の承認を受けいていない未承認医薬品です。
・マウスピース型矯正装置(インビザライン)はアライン・テクノロジー社の製品であり、インビザライン・ジャパン社を介して入手しています。国内にもマウスピース型矯正装置として医薬品医療機器等法(薬機法)の承認を受けいているものは複数存在します。
・マウスピース型矯正装置(インビザライン)は1998年にFDA(米国食品医薬品局)により医療機器として認証を受けています。
・マウスピース型矯正装置(インビザライン)は完成物薬機法対象外の矯正歯科装置であり、ごく希ですが、副作用が起きてしまった場合などは承認薬品を対象とする医薬品副作用被害救済制度の対象外となる場合があります。
矯正歯科治療に伴うリスクや副作用】
- 治療開始直後は矯正装置による不快感、痛み等があります。1、2 週間以内で慣れることが多いです。
- 歯の動き方には個人差があります。予想された治療期間が延長する可能性があります。
- 矯正装置の使用、管理、定期的な通院など、矯正治療には患者さんの協力が治療結果や治療期間に影響します。
- 治療中は、むし歯や歯周病のリスクが高まりますので、丁寧に磨いたり、定期的なメンテナンスを受けたりすることが重要です。また、歯が動くと隠れていたむし歯が発見されることもあります。
- 歯を動かすことにより歯根が吸収して短くなることがあります。また、歯ぐきが下がることがあります。
- ごくまれに歯が骨と癒着していて歯が動かないことがあります。
- ごくまれに歯を動かすことで神経が障害を受けて壊死することがあります。
- 治療途中に金属等のアレルギー症状が出ることがあります。
- 治療中に「顎関節で音が鳴る、あごが痛い、口が開けにくい」などの顎関節症状が出ることがあります。
- 治療中に状況が変わり、当初予定した治療計画を変更する可能性があります。
- 歯の形を修正したり、咬み合わせの微調整を行ったりする可能性があります。
- 矯正装置を誤飲する可能性があります。
- 矯正装置を外す時に、エナメル質に微小な亀裂が入る可能性や、かぶせ物(補綴物)の一部が破損する可能性があります。
- 治療終了後、リテーナーを指示通り使用しないと後戻りが生じる可能性が高くなります。
- 治療終了後、現在の咬み合わせに合った状態のかぶせ物(補綴物)やむし歯の治療(修復物)などをやりなおす可能性があります。
- 10代のあごの成長発育によりかみ合わせや歯並びが変化する可能性があります。
- 治療後に親知らずの影響で歯並びが変化することがあります。。加齢や歯周病等により歯を支えている骨がやせるとかみ合わせや歯並びが変化することがあります。その場合、再治療等が必要になることがあります。
- 矯正歯科治療は、一度始めると元の状態に戻すことは難しくなります。
- ※その他の副作用とリスクについて▶︎















































