小児矯正治療例
子供の矯正治療は歯の生え変わりの状態と、歯並びの種類によって、治療契約が1期と2期とに分かれます。1期治療では主に機能的マウスピース矯正装置(プレオルソ)を使用して、噛み合わせと歯列を治していきます。
永久歯列が完成する12歳前後まで1期治療は管理します。その後は、かみ合わせに問題がなく細かい歯並びの改善を希望されない場合は無理に2期治療には進みません。ここでは1期治療のみで矯正治療を終了したケースを解説します。
目次
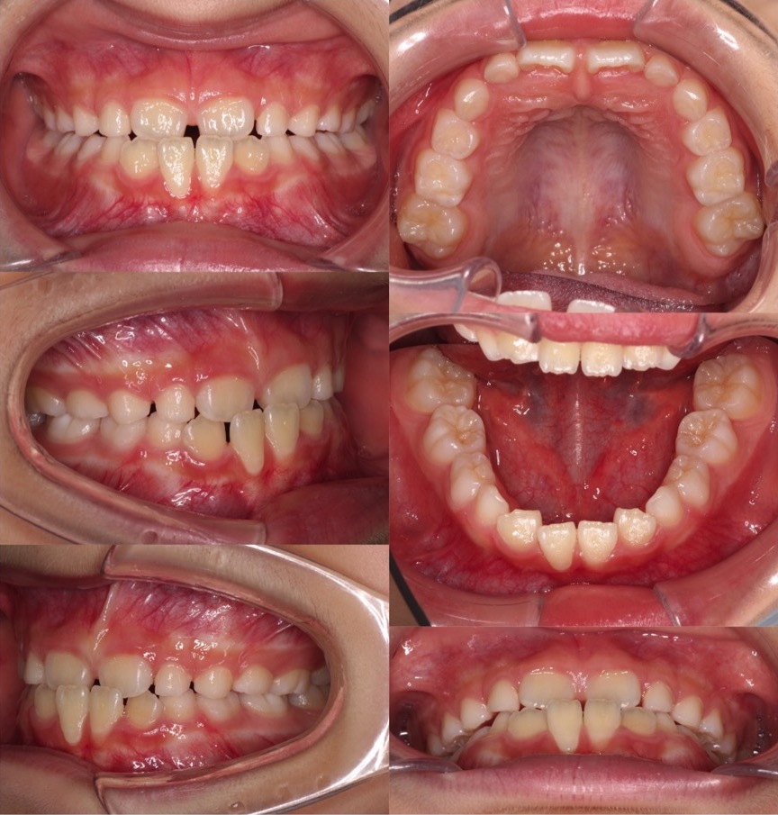
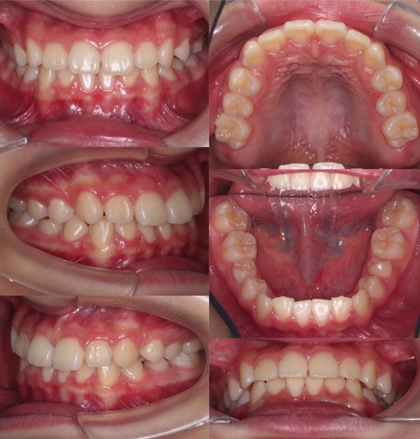
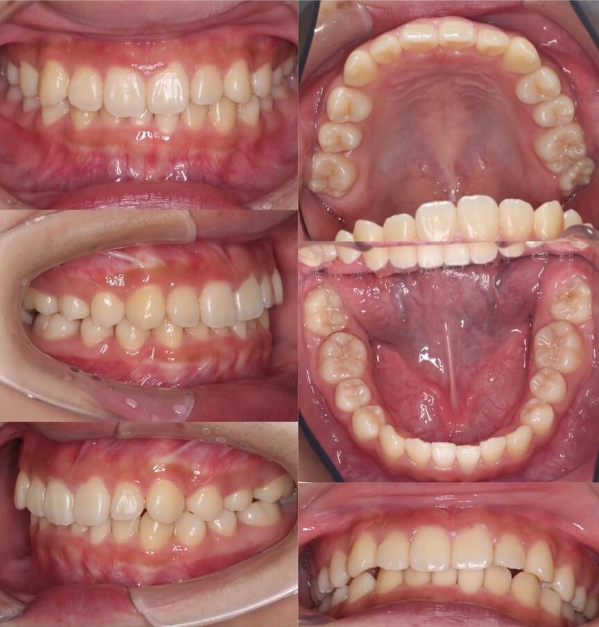
反対咬合・7歳女子・1期のみ
<症例概要>
主訴:受け口
年齢・性別:8歳女子
住まい:千葉県八千代市
症状:反対咬合
治療方針:上下歯列拡大・前歯配列
治療装置:機能的マウスピース矯正装置【プレオルソ】
マウスピース型矯正装置【インビザラインファースト・薬機法対象外】
リテーナー:上プレートタイプ+上下フィックスタイプ
積極的治療期間:1年4か月
管理期間:4年0か月
治療費用:484,000(税込)
副作用例:痛み・治療後の後戻り 成長による歯並びの変化
▶︎その他の副作用

受け口は前歯のかみ合わせが悪いだけではなく、下の前歯が前に押し出され歯茎が少し落ちてきています。まだ、下あごの成長がでていない小学校低学年のうちに一時改善を行なうことを推奨し、保護者の方もご納得の上で治療を開始しました。プ レオルソで受け口を改善した後、上の前歯4本をマウスピース型矯正装置でそろえました。その後の永久歯への生えかわり期間はプレオルソのみを使用し、永久歯が生えかわるのを待機し、骨格的な問題がないか検査を行いました。その結果、特に今後の成長で後戻りも発生しないと判断し管理を終了としました。
クロスバイト・8歳女子・1期のみ
<症例概要>
主訴:受け口
年齢・性別:9歳女子
住まい:千葉県八千代市
症状:クロスバイト・骨格性下顎前突傾向
治療方針:早期接触解消
治療装置:機能的マウスピース矯正装置【プレオルソ】
リテーナー:なし
積極的治療期間:1年3か月
管理期間:5年5か月
治療費用:484,000(税込)
副作用例:痛み・治療後の後戻り 成長による歯並びの変化
▶︎その他の副作用

クロスバイトになっている前歯のかみ合わせは、機能的マウスピース矯正装置【プレオルソ】で1年弱で改善しました。セファロレントゲン分析で、下あごが標準より前方に長いことがわかっていため、再発予防に思春期成長期も機能的マウスピース矯正装置【プレオルソ】を使用し続けました。成長期が終了に近づく14歳で治療管理を終了としました。
クロスバイト・6歳男子・1期のみ
<症例概要>
主訴:下の前歯が出ている
年齢・性別:6歳男子
住まい:千葉県八千代市
症状:クロスバイト・骨格性下顎前突傾向・ローアングルケース
治療方針:下顎前歯舌側傾斜・機能的上顎拡大
治療装置:機能的マウスピース矯正装置【プレオルソ】
リテーナー:なし
積極的治療期間:2年3か月
管理期間:5年4か月
治療費用:484,000(税込)
副作用例:痛み・治療後の後戻り 成長による歯並びの変化
▶︎その他の副作用

まだ、上の前歯は乳歯でしたが、すでにかみ合わせの問題が発生していたため、普通より早期に矯正治療の介入をしました。早期にクロスバイトを改善し、かみ合わせを安定させた後、特にクロスバイトが再発しそうな兆候はなかったため、一旦管理終了としました。ただし、男子は18歳まで下あごの成長があるため、後戻りする可能性も伝えています。
叢生・8歳女子・1期のみ
<症例概要>
主訴:前歯のがたつき
年齢・性別:7歳女子
住まい:千葉県佐倉市
症状:叢生
治療方針:機能的歯列拡大・前歯排列
治療装置:機能的マウスピース矯正装置【プレオルソ】
マウスピース型矯正装置括【インビザラインファースト】
積極的治療期間:1年6か月
管理期間:5年3か月
リテーナー:上下フィックスリテーナー
治療費用:484,000(税込)
注意点:成長後の後戻りの可能性・虫歯や歯肉炎のリスク向上
▶︎その他の副作用

マウスピース型矯正装置を使用する時期としては、前歯が4本生えそろったころが望ましいです。それまでは、機能的マウスピース矯正装置(プレオルソ)を使用し筋機能を利用した歯並びの緩やかな改善し、準備を行いました。マウスピース型矯正装置による治療後は再び機能的マウスピース矯正装置(プレオルソ)を使用し管理を行い準備矯正(1期)のみで治療終了としました。
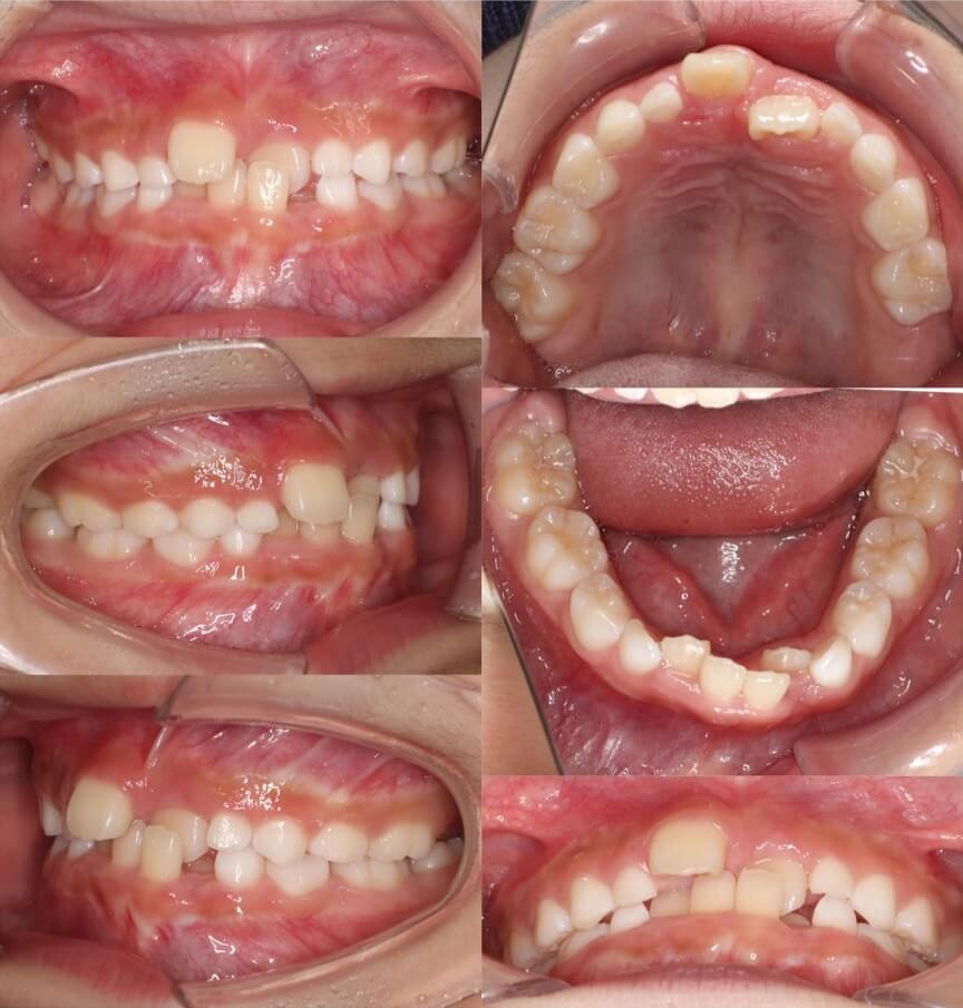
叢生・8歳女子・1期のみ
<症例概要>
主訴:前歯のがたつき
年齢・性別:8歳女子
住まい:千葉県八千代市
症状:叢生・右上6番の萌出遅延
治療方針:機能的歯列拡大
治療装置:機能的マウスピース矯正装置【プレオルソ】
管理期間:4年0か月
リテーナー:上下プレートタイプリテーナー
治療費用:484,000(税込)
注意点:成長後の後戻りの可能性・虫歯や歯肉炎のリスク向上
▶︎その他の副作用

軽度の前歯のがたつきを機能的マウスピース矯正装置(プレオルソ)で改善した治療例です。右下の乳犬歯で癒合歯であったため早めに抜けてしまい、永久歯が生えるスペースが若干不足しています。歯列拡大は、右上6歳臼歯に萌出遅延がみられるため、6歳臼歯につける固定式矯正装置ではなく、取り外し式のマウスピースによりゆっくりと歯列拡大を行いました。
治療後は下の前歯に多少がたつきは残りましたが、2期矯正治療は希望されなかったので行わず管理は終了しました。
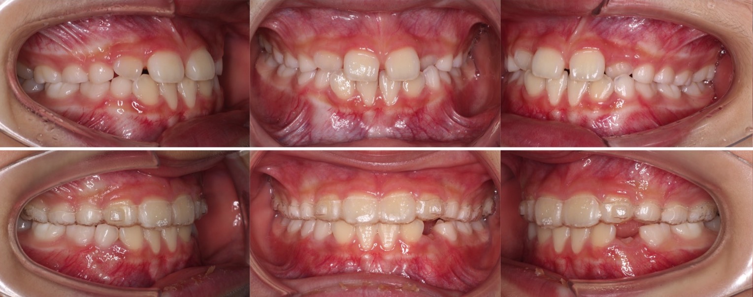
叢生・7歳女子・1期のみ
<お顔のビフォーアフター>


<症例概要>
主訴:前歯のがたつき
年齢・性別:7歳女子
住まい:千葉県船橋市
症状:叢生
治療方針:機能的歯列拡大
治療装置:機能的マウスピース矯正装置(プレオルソ)・ブラケット装置(5か月使用)
管理期間:3年9か月
リテーナー:上下プレートタイプリテーナー
治療費用:484,000(税込)
注意点:成長後の後戻りの可能性・虫歯や歯肉炎のリスク向上
▶︎その他の副作用

このような左右対称の下のがたつきには機能的マウスピース矯正装置(プレオルソ)は有効です。ただ、歯のねじれをとるのは苦手なので、この部分はワイヤー装置を短期間装着しました。
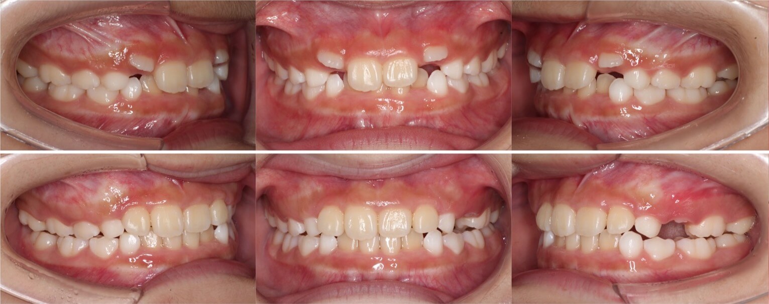
前歯のねじれ・7歳女子・1期のみ

<お顔のビフォーアフター>





<症例概要>
主訴:前歯のねじれ
年齢・性別:7歳女子
住まい:千葉県八千代市
症状:叢生・クロスバイト
治療方針:歯列拡大
治療装置:拡大床矯正装置・ブラケット装置(5か月使用)
管理期間:5年2か月(積極的治療期間は1年半程度)
リテーナー:上のみプレート型リテーナー
治療費用:484,000(税込)
注意点:1期治療から行うと管理期間が長い・成長後の後戻りの可能性
▶︎その他の副作用

床矯正装置で前歯のクロスバイトを改善後、ブラケット装置で歯のねじれを解消しました。その後は、永久歯列交換までプレート型リテーナーを使用してもらいました。残りの永久歯も普通に生えてきたため、自然にきれいな歯並びになりました。
上顎前突・8歳女子・1期のみ
<お顔のビフォーアフター>


<症例概要>
主訴:上の前歯の突出
年齢・性別:8歳女子
住まい:千葉県八千代市
症状:上顎前突・正中離開
治療方針:上顎アーチフォーム修正
治療装置:機能的マウスピース矯正装置(プレオルソ)
管理期間:4年5か月
リテーナー:なし
治療費用:484,000(税込)
注意点:1期治療から行うと管理期間が長い・成長後の後戻りの可能性
▶︎その他の副作用

上の前歯のみ突出しており歯並びがV字型になっているタイプの上顎前突です。こういったタイプは機能的マウスピース矯正装置(プレオルソ)により歯列形態を修正することで短期で治すことができます。
上顎前突・8歳女子・1期のみ

<お顔のビフォーアフター>





<症例概要>
主訴:下の歯のでこぼこ
年齢・性別:8歳女子
住まい:千葉県八千代市
症状:過蓋咬合・叢生・上顎前突
治療方針:上顎アーチフォーム修正・下顎歯列拡大
治療装置:機能的マウスピース矯正装置(プレオルソ)
管理期間:4年4か月(積極的治療期間は1年半程度)
リテーナー:なし
治療費用:484,000(税込)
注意点:1期治療から行うと管理期間が長い・成長後の後戻りの可能性
▶︎その他の副作用

機能的マウスピース矯正装置(プレオルソ)を4年間近く使い続け、歯列とかみ合わせを上手く誘導したケースです。スペース不足が少なく、下あごに十分な骨格成長があった事が成功の鍵でした。もちろん患者さんがマウスピース装置をしっかり使用してくれた事もポイントです。
クロスバイト・8歳女子・1期のみ

<お顔のビフォーアフター>





<症例概要>
主訴:前歯のかみ合わせ
年齢・性別:8歳女子
住まい:千葉県八千代市
症状:クロスバイト・叢生
治療方針:歯軸傾斜による被蓋改善
治療装置:機能的マウスピース矯正装置(プレオルソ)・ブラケット装置(5か月使用)
管理期間:4年5か月(積極的治療期間は1年半程度)
リテーナー:なし
治療費用:484,000(税込)
注意点:1期治療から行うと管理期間が長い・成長後の後戻りの可能性
▶︎その他の副作用

機能的マウスピース矯正装置(プレオルソ)の使用は軽度のクロスバイトであれば、半年以内に改善できる事がメリットです。その後、前歯のねじれをブラケット装置で治し、経過観察に入りました。マウスピース装置は使用頻度を落としながらも4年間使ってもらっています。
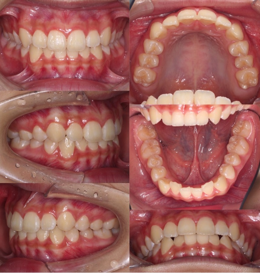
反対咬合・8歳女子・1期のみ
<お顔のビフォーアフター>


<症例概要>
主訴:受け口
年齢・性別:8歳女子
住まい:千葉県八千代市
症状:反対咬合・骨格性下顎前突(ANB-3)
治療方針:歯軸傾斜による被蓋改善・下顎の垂直方向成長誘導
治療装置:機能的マウスピース矯正装置(プレオルソ)・ブラケット装置(12か月使用)
管理期間:5年0か月(積極的治療期間は3年程度)
リテーナー:上Fixリテーナー
治療費用:484,000(税込)
注意点:成長後の後戻りの可能性・虫歯や歯肉炎のリスク向上
▶︎その他の副作用

ANBという上下のあご骨の骨格的問題が「-3」と下顎前突傾向が強い重度の反対咬合になります。将来的な外科手術による矯正治療の可能性も説明した上で治療を開始しました。前歯のかみ合わせが改善するのには3年近くかかりましたが、その後は思春期性の下あごの前方成長が大きくなく安定しました。14歳まで定期観察後、大きな後戻りはないと判断し1期治療のみで終了としました。
反対咬合・8歳男子・1期のみ

<お顔のビフォーアフター>





<症例概要>
主訴:受け口
年齢・性別:8歳男子
住まい:千葉県八千代市
症状:反対咬合・左上側切歯萌出遅延
治療方針:歯軸傾斜による被蓋改善
治療装置:機能的マウスピース矯正装置(プレオルソ)・ブラケット装置(5か月使用)
管理期間:4年7か月(積極的治療期間は1年半程度)
リテーナー:なし
治療費用:484,000(税込)
注意点:1期治療から行うと管理期間が長い・成長後の後戻りの可能性
▶︎その他の副作用

「ガブッ」と深咬みも併発している反対咬合です。機能的マウスピース矯正装置(プレオルソ)で3か月で前歯の噛み合わせはある程度改善し、ブラケット装置で上の前歯を並べた後は、そのまま生え変わりを待機していました。大きな下あごの成長もなかったため本格矯正治療は行わず終了しました。
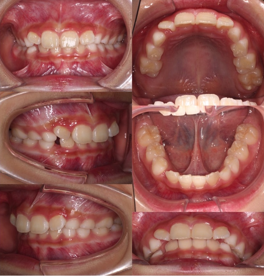
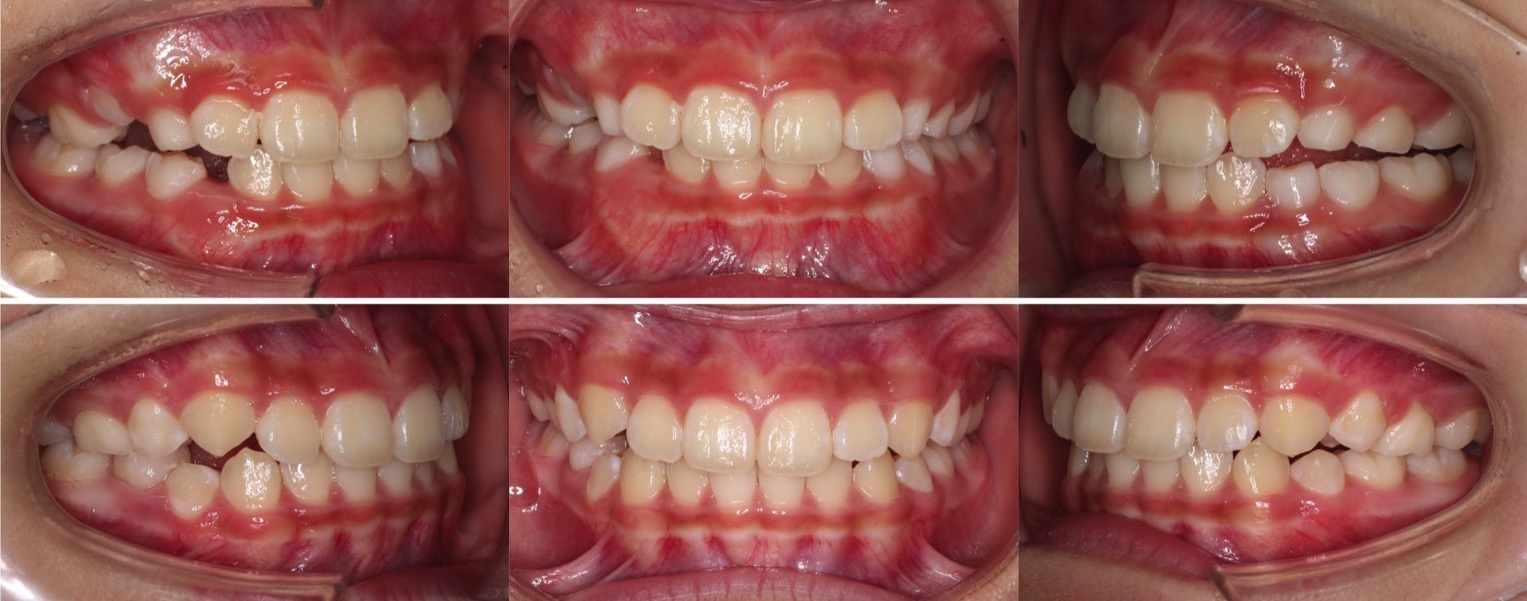
クロスバイト・8歳男子・1期のみ
<お顔のビフォーアフター>


<症例概要>
主訴:前歯のかみあわせ
年齢・性別:7歳男子
住まい:千葉県八千代市
症状:クロスバイト・正中離開
治療方針:歯軸傾斜による被蓋改善
治療装置:機能的マウスピース矯正装置(プレオルソ)・ブラケット装置(5か月使用)
管理期間:4年2か月(積極的治療期間は1年半程度)
リテーナー:上プレート型リテーナー
治療費用:484,000(税込)
注意点:1期治療から行うと管理期間が長い・成長後の後戻りの可能性
▶︎その他の副作用

1歯だけのクロスバイトは、アゴの非対称成長の原因になることがあります。早期に前歯のかみ合わせを治してあげることで、左右対称成長を示していきました。
【矯正歯科治療に伴うリスクや副作用】
- 治療開始直後は矯正装置による不快感、痛み等があります。1、2 週間以内で慣れることが多いです。
- 歯の動き方には個人差があります。予想された治療期間が延長する可能性があります。
- 矯正装置の使用、管理、定期的な通院など、矯正治療には患者さんの協力が治療結果や治療期間に影響します。
- 治療中は、むし歯や歯周病のリスクが高まりますので、丁寧に磨いたり、定期的なメンテナンスを受けたりすることが重要です。また、歯が動くと隠れていたむし歯が発見されることもあります。
- 歯を動かすことにより歯根が吸収して短くなることがあります。また、歯ぐきが下がることがあります。
- ごくまれに歯が骨と癒着していて歯が動かないことがあります。
- ごくまれに歯を動かすことで神経が障害を受けて壊死することがあります。
- 治療途中に金属等のアレルギー症状が出ることがあります。
- 治療中に「顎関節で音が鳴る、あごが痛い、口が開けにくい」などの顎関節症状が出ることがあります。
- 治療中に状況が変わり、当初予定した治療計画を変更する可能性があります。
- 歯の形を修正したり、咬み合わせの微調整を行ったりする可能性があります。
- 矯正装置を誤飲する可能性があります。
- 矯正装置を外す時に、エナメル質に微小な亀裂が入る可能性や、かぶせ物(補綴物)の一部が破損する可能性があります。
- 治療終了後、リテーナーを指示通り使用しないと後戻りが生じる可能性が高くなります。
- 治療終了後、現在の咬み合わせに合った状態のかぶせ物(補綴物)やむし歯の治療(修復物)などをやりなおす可能性があります。
- 10代のあごの成長発育によりかみ合わせや歯並びが変化する可能性があります。
- 治療後に親知らずの影響で歯並びが変化することがあります。。加齢や歯周病等により歯を支えている骨がやせるとかみ合わせや歯並びが変化することがあります。その場合、再治療等が必要になることがあります。
- 矯正歯科治療は、一度始めると元の状態に戻すことは難しくなります。
- ※その他の副作用とリスクについて▶︎










































