
すきっ歯(空隙歯列)の矯正治療症例
すきっ歯とは、専門的には空隙歯列と言い、主に前歯などに隣接する歯に接触がなく、歯と歯の間に隙間が開いている状態の事です。比較的治しやすい歯並びなのですが、後戻りもしやすい歯並びでもあります。特に前から見て目立ちやすい前歯の真ん中が開いている状態を正中離開と呼びます。
原因としては、矮小歯などの形の問題や、低位舌など機能的な問題が原因である事もあります。また、出っ歯(上顎前突)や深噛み(過蓋咬合)を併発している事が多いです。
治療方法はマウスピース型矯正装置が有効であり、短い期間で改善する事ができます。治療後は後戻りしないように歯の裏面にワイヤーによる留め具をつけておく必要があります。
目次
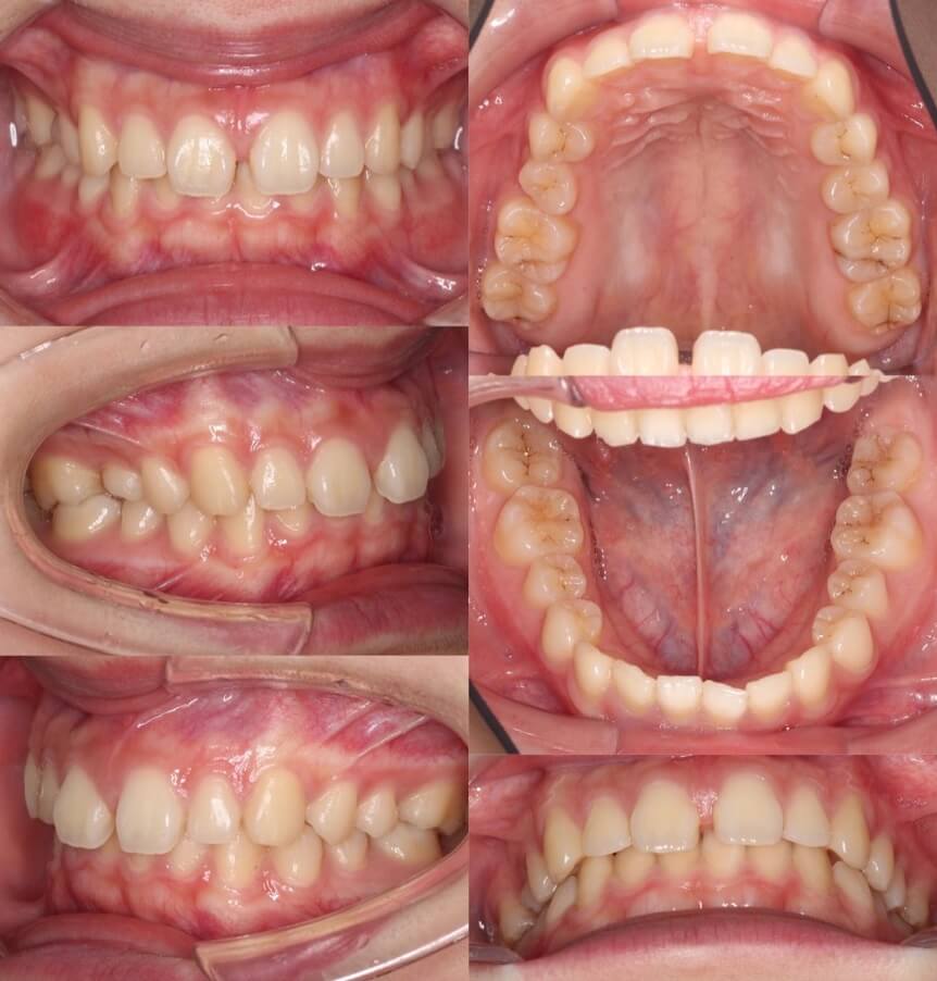
高校生女性・マウスピース型矯正

隙間が前歯の正中部にしかない比較的容易なケースです。過蓋咬合も併発していたため、上下の歯列をマウスピースで動かしました。このようなすきっ歯のケースは部分矯正治療を希望される患者さんも多いのですが、過蓋咬合(前歯の深い噛み合わせ)もある場合は全体矯正治療の適応になります。
<症例概要> 難易度★☆☆☆☆
主訴:すきっ歯
年齢・性別:10代女性
住まい:千葉県八街市
症状:正中離開・過蓋咬合
治療方針:空隙閉鎖+右上歯列後方移動
治療装置:マウスピース型矯正装置(アライナー装置)
固定装置:II級顎間ゴム
治療期間:1年7か月
アライナー枚数:24+33ステージ (7〜10日交換)
リテーナー:上フィックスタイプ+上下クリアタイプ
治療費用:990,000(税込)
代表的副作用:痛み・歯根吸収・歯髄壊死・歯肉退縮
▶︎その他の副作用
【治療シミュレーション】
前歯の空隙を閉鎖しながら、上方に持ち上げています。これにより過蓋咬合も改善します。
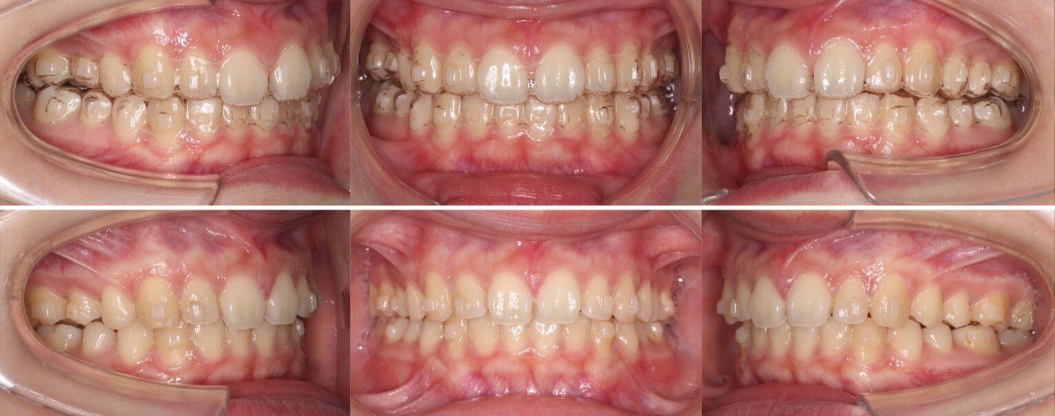
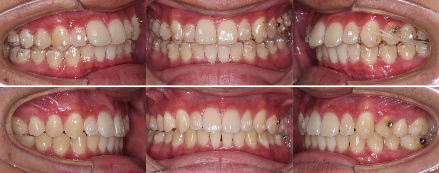
高校生男性・マウスピース型矯正
<症例概要> 難易度★★★☆☆
主訴:すきっ歯・前歯の突出
年齢・性別:高校生男性
住まい:千葉県八千代市
症状:正中離開・過蓋咬合
治療方針:空隙閉鎖+左上歯列後方移動(左下歯列前方移動)
治療装置:マウスピース型矯正装置(アライナー装置)
固定装置:II級顎間ゴム
治療期間:1年2か月
アライナー枚数:35+11ステージ (7〜10日交換)
リテーナー:上フィックスタイプ+上下クリアタイプ
治療費用:990,000(税込)
代表的副作用:痛み・歯根吸収・歯髄壊死・歯肉退縮
▶︎その他の副作用

隙間が上の前歯に数箇所あり正中線のずれもある少し難しいケースです。上下の前歯のギャップを、奥歯から歯を動かすことで正中線をそろえながら改善しました。
【治療シミュレーション】
左上を順番に後方移動させることと、左下を順番に前方移動させることを組み合わせて、上顎前突と過蓋咬合だけでなく正中線の不一致も改善しています。
高校生男子・マウスピース型矯正装置

<顔のビフォーアフター>





<症例概要>
主訴:すきっ歯・正中線のずれ
年齢・性別:大学生男性
住まい:千葉県八千代市
治療方針:空隙閉鎖+右下歯列後方移動
治療装置:マウスピース型矯正装置(アライナー装置)
固定装置:III級顎間ゴム
治療期間:1年10か月
アライナー枚数:48+27+27ステージ (5〜7日交換)
リテーナー:上フィックスタイプ+上下クリアタイプ
治療費用:990,000(税込)
代表的副作用:痛み・歯根吸収・歯髄壊死・歯肉退縮
▶︎その他の副作用
【治療シミュレーション】
右下を後方移動させる事で、左にずれている下の歯並びの正中線を右側に移動させる計画です。

隙間が上の奥歯まであり奥歯のかみ合わせの問題もある少し難しいケースです。下の歯列を右側に回し込み上下の正中線を合わせながら隙間を閉じていきました。
高校生男子・マウスピース型矯正装置

<顔のビフォーアフター>





<症例概要>
主訴:すきっ歯
年齢・性別:高校生男子
住まい:千葉県船橋市
症状:正中離開・過蓋咬合
治療方針:空隙閉鎖+下顎歯列前方移動
治療装置:マウスピース型矯正装置(アライナー装置)
固定装置:II級顎間ゴム
治療期間:1年7か月
アライナー枚数:58+26ステージ (7日交換)
リテーナー:上フィックスタイプ+上下クリアタイプ
治療費用:990,000(税込)
代表的副作用:痛み・歯根吸収・歯髄壊死・歯肉退縮
▶︎その他の副作用
※マウスピース型カスタムメイド矯正歯科装置は完成物薬機法対象外の矯正装置であり、医薬品副作用被害救済制度の対象とはならない可能性があります。

隙間が上下奥歯まであり難しいケースになります。このような出っ歯傾向がある空隙歯列は、マウスピース型矯正装置の適応症です。また、10代男子であればあご骨格の成長量が残っており利用して前歯の前突の改善もできます。過蓋咬合も治り、スマイルの印象も変わりました。
20代女性・マウスピース型矯正装置

<顔のビフォーアフター>





<症例概要>
主訴:すきっ歯
年齢・性別:20代女性
住まい:千葉県船橋市
治療方針:空隙閉鎖+右下臼歯前方移動
治療装置:マウスピース型矯正装置(アライナー装置)
固定装置:歯科矯正用アンカースクリュー (右下頬側x1)
治療期間:1年11か月
アライナー枚数:61+50ステージ (7日交換)
リテーナー:上下クリアタイプ
治療費用:990,000(税込)
代表的副作用:痛み・歯根吸収・歯髄壊死・歯肉退縮
▶︎その他の副作用
※マウスピース型カスタムメイド矯正歯科装置は完成物薬機法対象外の矯正装置であり、医薬品副作用被害救済制度の対象とはならない可能性があります。

上の隙間より下の方が隙間が広く、難しいケースとなります。下の空隙を普通に閉じると、下の前歯が内側に入ってしまい出っ歯傾向になってしまいます。したがってアンカースクリューを使用して、右下の奥歯を前方によせて隙間を閉じました。
【薬機法対象外について】
※マウスピース型矯正治療(インビザライン)を希望の方は必ずお読み下さい。
・マウスピース型矯正装置(インビザライン)は医薬品医療機器等法(薬機法)の承認を受けいていない未承認医薬品です。
・マウスピース型矯正装置(インビザライン)はアライン・テクノロジー社の製品であり、インビザライン・ジャパン社を介して入手しています。国内にもマウスピース型矯正装置として医薬品医療機器等法(薬機法)の承認を受けいているものは複数存在します。
・マウスピース型矯正装置(インビザライン)は1998年にFDA(米国食品医薬品局)により医療機器として認証を受けています。
・マウスピース型矯正装置(インビザライン)は完成物薬機法対象外の矯正歯科装置であり、ごく希ですが、副作用が起きてしまった場合などは承認薬品を対象とする医薬品副作用被害救済制度の対象外となる場合があります。
【矯正歯科治療に伴うリスクや副作用】
- 治療開始直後は矯正装置による不快感、痛み等があります。1、2 週間以内で慣れることが多いです。
- 歯の動き方には個人差があります。予想された治療期間が延長する可能性があります。
- 矯正装置の使用、管理、定期的な通院など、矯正治療には患者さんの協力が治療結果や治療期間に影響します。
- 治療中は、むし歯や歯周病のリスクが高まりますので、丁寧に磨いたり、定期的なメンテナンスを受けたりすることが重要です。また、歯が動くと隠れていたむし歯が発見されることもあります。
- 歯を動かすことにより歯根が吸収して短くなることがあります。また、歯ぐきが下がることがあります。
- ごくまれに歯が骨と癒着していて歯が動かないことがあります。
- ごくまれに歯を動かすことで神経が障害を受けて壊死することがあります。
- 治療途中に金属等のアレルギー症状が出ることがあります。
- 治療中に「顎関節で音が鳴る、あごが痛い、口が開けにくい」などの顎関節症状が出ることがあります。
- 治療中に状況が変わり、当初予定した治療計画を変更する可能性があります。
- 歯の形を修正したり、咬み合わせの微調整を行ったりする可能性があります。
- 矯正装置を誤飲する可能性があります。
- 矯正装置を外す時に、エナメル質に微小な亀裂が入る可能性や、かぶせ物(補綴物)の一部が破損する可能性があります。
- 治療終了後、リテーナーを指示通り使用しないと後戻りが生じる可能性が高くなります。
- 治療終了後、現在の咬み合わせに合った状態のかぶせ物(補綴物)やむし歯の治療(修復物)などをやりなおす可能性があります。
- 10代のあごの成長発育によりかみ合わせや歯並びが変化する可能性があります。
- 治療後に親知らずの影響で歯並びが変化することがあります。。加齢や歯周病等により歯を支えている骨がやせるとかみ合わせや歯並びが変化することがあります。その場合、再治療等が必要になることがあります。
- 矯正歯科治療は、一度始めると元の状態に戻すことは難しくなります。
- ※その他の副作用とリスクについて▶︎











