
すれ違い咬合(クロスバイト・シザーズバイト)の矯正治療症例
クロスバイトは「上下の歯列が部分的に反対にクロスしているかみ合わせ」、シザーズバイトは「はさみのように上下がすれ違いになっているかみ合わせ」です。共に上手く食べ物を噛むこと事ができず、舌や頬をよく噛んでしまうことがあります。奥歯にあることが多く、前から見ただけではわかりませんので、患者さんは「かみ合わせが悪い」という主訴で来院されます。
下あごの骨格が左右どちらかにズレている事が原因になっている事もあり、上下の正中線もズレている傾向にあります。左右の骨格の非対称が強い場合は、外科的手術を併用した矯正治療を推奨することもあります。治療難易度は、奥歯にいくほど、そしてすれ違いになっている歯の本数が多ければ多いほど難しくなっていきます。
目次
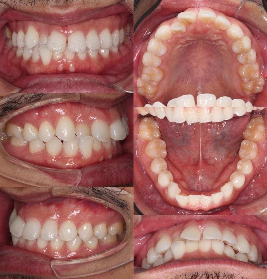
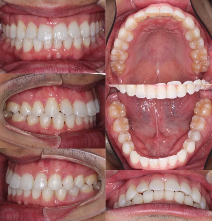
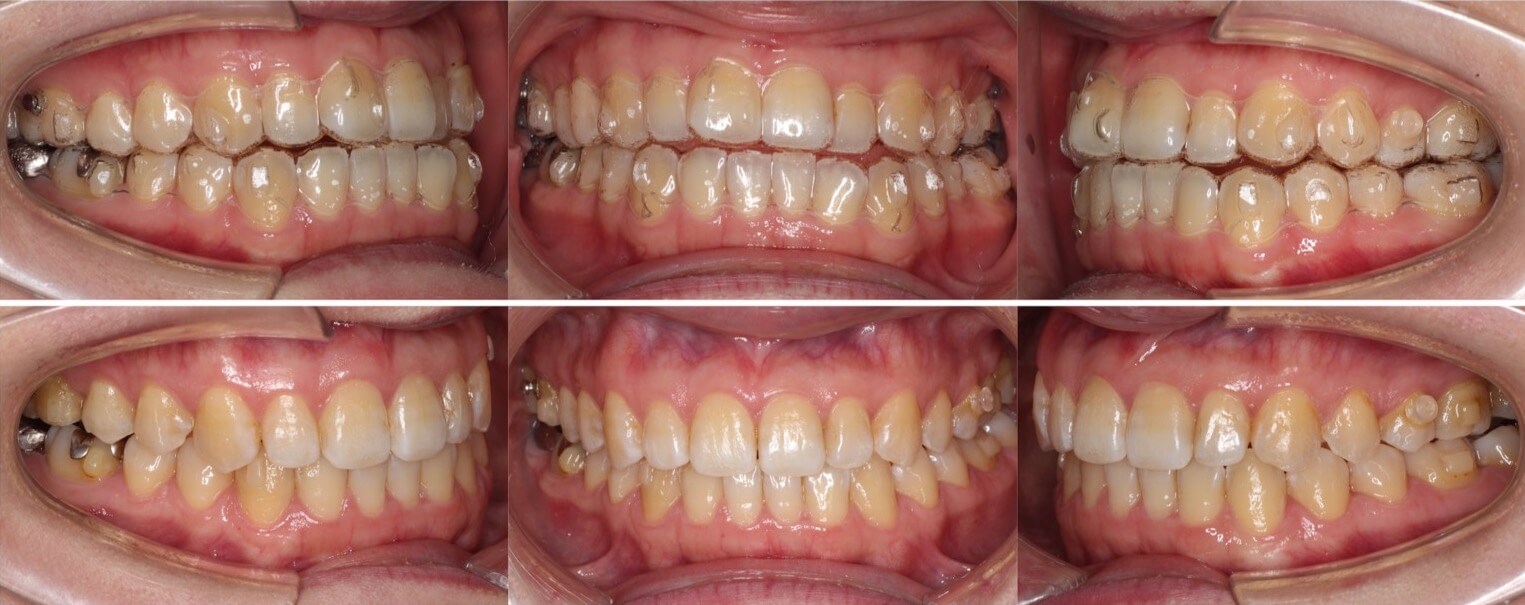
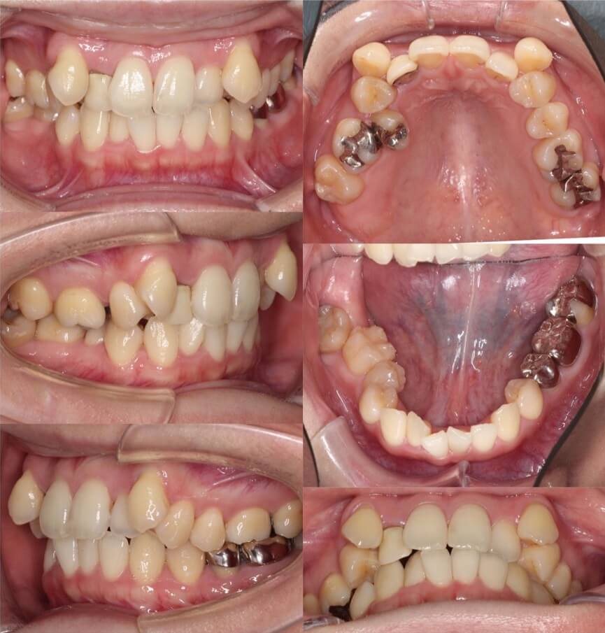
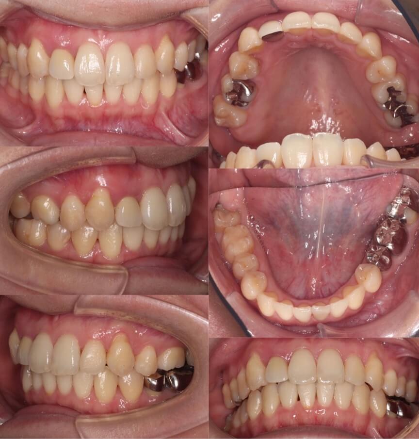
20代女性・マウスピース型装置

◎治療途中の様子

シザーズバイトはマウスピース矯正装置向きの歯並びです。マウスピースを装着することで奥歯のかみ合わせが一時的に高くなることで、効率的に歯の移動が可能です。
<症例概要> 難易度:★★☆☆☆
主訴:前歯の前突・奥歯のかみあわせ
年齢・性別:20代女性
住まい:千葉県八千代市
症状:両側7番シザーズバイト
治療方針:上顎歯列遠心移動・下顎歯列拡大+IPR
治療装置:マウスピース型矯正装置(アライナー装置)
治療期間:1年9か月
アライナー枚数:40+38 (7日交換)
リテーナー:上下クリアタイプ
治療費用:990,000(税込)
代表的副作用:痛み・治療後の後戻り・歯根吸収・歯髄壊死・歯肉退縮
▶︎その他の副作用
【治療シミュレーション】
上の7番を内側に、下の7番を外側にゆっくりと移動させ奥歯のかみ合わせを改善する。
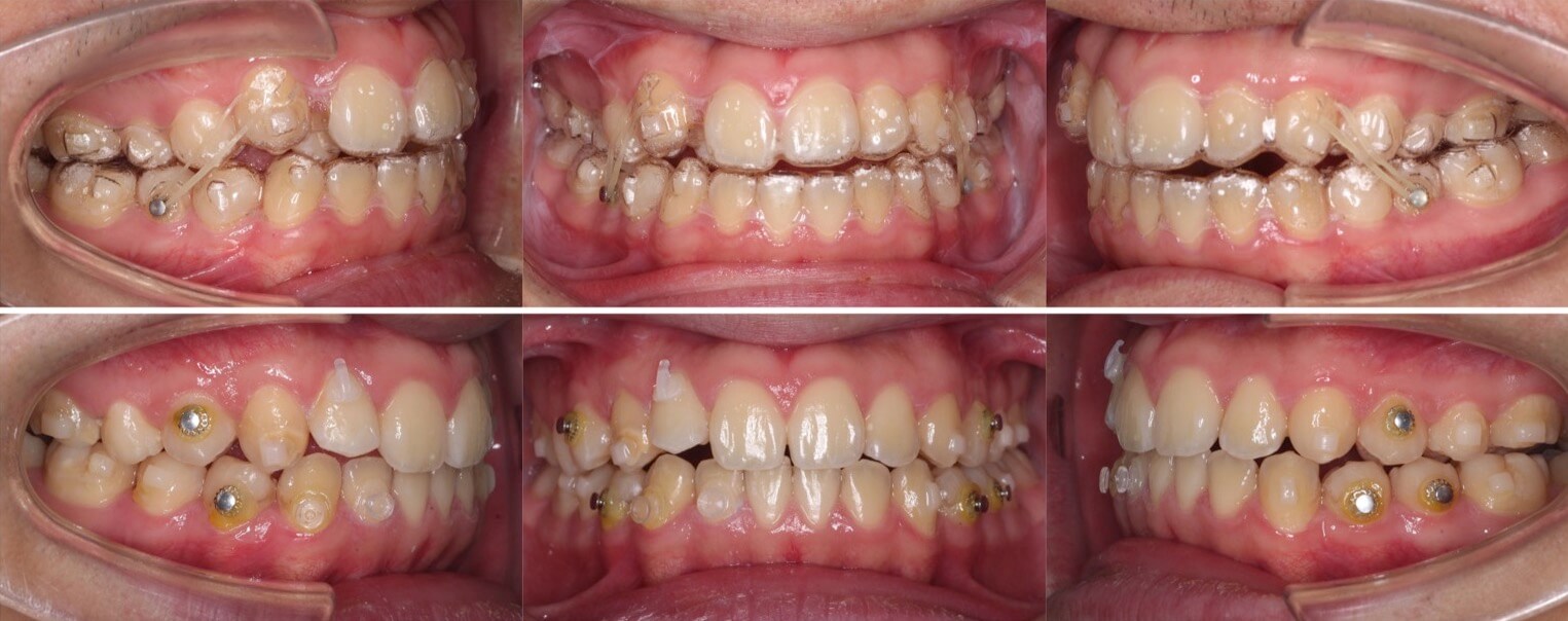
30代男性・マウスピース型装置

歯列にでこぼこがあるだけでなく、下あごが右にずれているため、上下の歯列の中心がズレています。顎間ゴムを使用して下の歯列を左側に引っ張り込み、正中線をぴったり合わせる事ができました。
<症例概要> 難易度:★☆☆☆☆
主訴:前歯の歯並び・かみあわせ
年齢・性別:30代男性
住まい:千葉県船橋市
症状:前歯クロスバイト・叢生・正中線のずれ
治療方針:右上と左下臼歯後方移動
治療装置:マウスピース型矯正装置(アライナー装置)
治療期間:1年
アライナー枚数:32+21 (7日交換)
リテーナー:上下クリアタイプ+フィックスタイプ
治療費用:990,000(税込)
代表的副作用:痛み・治療後の後戻り・歯根吸収・歯髄壊死・歯肉退縮
▶︎その他の副作用
【治療シミュレーション】
右上と左下歯列を順番に後方移動させて、上下の正中線を一致させる治療計画です。
30代女性・マウスピース型矯正装置

下あごの骨格が左に曲がっていることが原因で、上下の歯並びの正中線がズレている状態です。患者さんには、「骨格のゆがみは変わらないが、歯並びの正中線だけカモフラージュして治す治療になる」ことをご理解の上、治療を開始しました。治療後は若干、あごがずれている方に下の歯並びは傾いていますが、上下歯列の正中線の一致ときちんとした噛み合わせを作ることができました。
<症例概要> 難易度:★★☆☆☆
主訴:前歯の歯並び・かみあわせ
年齢・性別:30代女性
住まい:千葉県八千代市
症状:前歯と左側臼歯クロスバイト・正中線のずれ
治療方針:上顎歯列拡大・右下臼歯後方移動+IPR
治療装置:マウスピース型矯正装置(アライナー装置)
治療期間:1年9か月
アライナー枚数:54+34 (7日交換)
リテーナー:上下クリアタイプ
治療費用:990,000(税込)
代表的副作用:痛み・治療後の後戻り・歯根吸収・歯髄壊死・歯肉退縮
▶︎その他の副作用
【治療シミュレーション】
下の歯並びを右側に引っ張って上下歯列の正中線を一致させます。
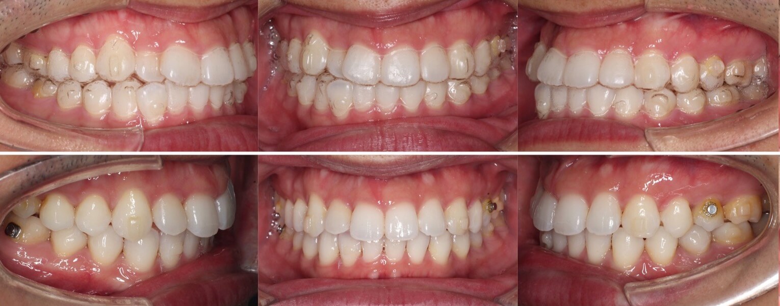
30代女性・マウスピース型矯正装置

右上2番が内側に入っているため、上の歯並びの正中が右側に回転してしまっています。歯並びの前方拡大と後方移動を行い、右上2番が並ぶ隙間を作った後、ゴムで引っ張りながら前に引き出しました。患者さんは、しっかりとゴムを使用してくれたため、きれいに並べることができました。
<症例概要> 難易度:★★★☆☆
主訴:正中線のずれ・かみあわせ
年齢・性別:大学生男性
住まい:千葉県八千代市
症状:叢生右上2番ロスバイト・正中線のずれ
治療方針:上顎歯列拡大・上顎遠心移動+IPR
治療装置:マウスピース型矯正装置(アライナー装置)
治療期間:2年4か月
アライナー枚数:50+29+24 (7日交換)
リテーナー:上下クリアタイプ
治療費用:990,000(税込)
代表的副作用:痛み・治療後の後戻り・歯根吸収・歯髄壊死・歯肉退縮
▶︎その他の副作用
【治療シミュレーション】
十分隙間を確保してから、前歯を動かします。
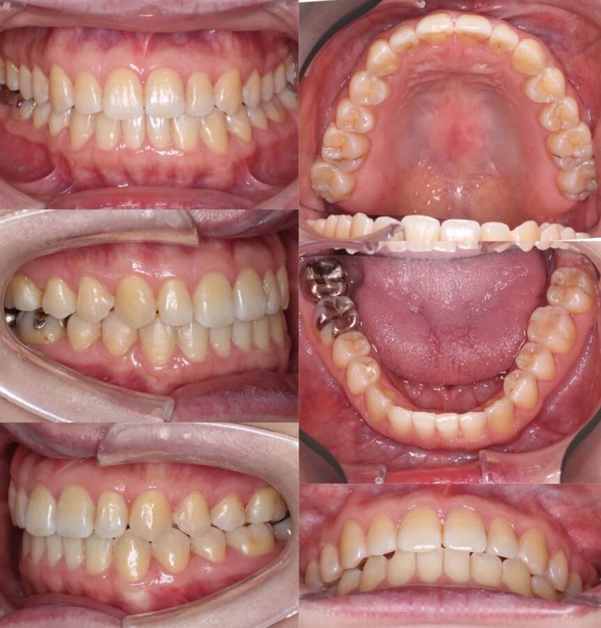
20代女性・マウスピース型装置・抜歯

途中、被せ歯である右上2番が破損したため、修復を行いフックからゴムを使用して並べました。治療後は、クロスバイトは改善し、見た目も新しい被せ歯に治療することで良くなりました。
<症例概要> 難易度:★★★★☆
主訴:叢生・八重歯・クロスバイト
年齢・性別:20代女性
住まい:千葉県千葉市
症状:叢生・左2番.右57番クロスバイト
治療方針:抜歯空隙閉鎖
抜歯部位:右上5番・左上4番
治療装置:マウスピース型矯正装置(アライナー装置)
治療期間:2年3か月
アライナー枚数:47+30+30(7日交換)
リテーナー:上下クリアタイプ
治療費用:990,000(税込)
代表的副作用:痛み・治療後の後戻り・歯根吸収・歯髄壊死・歯肉退縮
▶︎その他の副作用
【治療シミュレーション】
上の抜歯空隙に八重歯を移動し、反作用も利用して前歯と奥歯のクロスバイトを改善します。
20代女性・マウスピース型矯正装置

<顔のビフォーアフター>





<症例概要>
主訴:前歯のクロスバイト
年齢・性別:20代女性
住まい:千葉県八千代市
症状:クロスバイト・シザーズバイト・叢生
治療方針:上顎歯列後方移動・ストリッピング
治療装置:マウスピース型矯正装置(アライナー装置)
治療期間:1年8か月
アライナー枚数:20+30+14ステージ (7日交換)
リテーナー:上下プレートタイプ+フィックスタイプ
治療費用:990,000(税込)
代表的副作用:痛み・治療後の後戻り・歯根吸収・歯髄壊死・歯肉退縮
▶︎その他の副作用
※マウスピース型カスタムメイド矯正歯科装置は完成物薬機法対象外の矯正装置であり、医薬品副作用被害救済制度の対象とはならない可能性があります。

上の両側奥歯のシザースバイトと、左前歯のクロスバイトがあり、上下の歯がうまく噛めない状態を改善しました。噛み合わせの改善のため、見た目の改善が少ないため、モチベーションのキープが大変ですが、治療終了後は喜んでいただけました。
30代男性・マウスピース型矯正装置

<顔のビフォーアフター>





<症例概要>
主訴:右のクロスバイト
年齢・性別:30代男性
住まい:千葉県八千代市
症状:右側クロスバイト
治療方針:下顎歯列後方移動・ストリッピング・上顎歯列拡大
治療装置:マウスピース型矯正装置(アライナー装置)
抜歯:下親知らず(計2本)
治療期間:2年5か月
アライナー枚数:58+23+11+13ステージ (7日交換)
リテーナー:上下顎プレートタイプ+フィックスタイプ
治療費用:990,000(税込)
代表的副作用:痛み・治療後の後戻り・歯根吸収・歯髄壊死・歯肉退縮
▶︎その他の副作用
※マウスピース型カスタムメイド矯正歯科装置は完成物薬機法対象外の矯正装置であり、医薬品副作用被害救済制度の対象とはならない可能性があります。

右下犬歯が前に出ている事で前歯でうまく噛めない事と、少し受け口気味である事を気にされて矯正治療をはじめました。大切な会議の時などの時はマウスピースをはずして行う事で、特にストレスを感じることなく治療ができたそうでした。少しづつ歯並びが目に見えて動く事が楽しみに治療をされていました。
30代男性・マウスピース型矯正装置

<顔のビフォーアフター>





<症例概要>
主訴:左の頬をよく噛む
年齢・性別:30代男性
住まい:千葉県八千代市
症状:シザーズバイト・叢生
治療方針:上下歯列拡大、ストリッピング
治療装置:マウスピース型矯正装置(アライナー装置)
治療期間:1年5か月
アライナー枚数:25+10ステージ(10日交換)
リテーナー:上下プレートタイプ・下フィックスタイプ
治療費用:990,000(税込)
代表的副作用:痛み・治療後の後戻り・歯根吸収・歯髄壊死・歯肉退縮
▶︎その他の副作用
※マウスピース型カスタムメイド矯正歯科装置は完成物薬機法対象外の矯正装置であり、医薬品副作用被害救済制度の対象とはならない可能性があります。

左側がシザーズバイトといってすれ違い咬合になっている歯並びです。この歯並びは前からみてもわかりづらいのですが、上の奥歯が外側に、下の奥歯が内側に倒れている状態で、よく頬や舌を食事中に噛んでしまいます。矯正装具は、ワイヤー矯正による口内炎を避けるため、マウスピース型矯正装置を使用しました。左側は顎間エラスティックも併用して正しい噛み合わせにする事ができました。
男性の方にもマウスピース型矯正装置は人気です。矯正治療は審美目的だけではありません。クオリティライフの改善にも効果があります。
20代女性・マウスピース型矯正装置・抜歯あり


<症例概要>
主訴:叢生
年齢・性別:20代女性
住まい:千葉県八千代市
症状:左上八重歯・左側クロスバイト
治療方針:抜歯空隙閉鎖・左下歯列後方移動・ストリッピング
治療装置:マウスピース型矯正装置(アライナー装置)
抜歯:上左右4番(計2本)
治療期間:1年10か月
アライナー枚数:53+38(7日交換)
リテーナー:下フィックスタイプ+上下クリアタイプ
治療費用:990,000(税込)
代表的副作用:痛み・治療後の後戻り・歯根吸収・歯髄壊死・歯肉退縮
▶︎その他の副作用
【治療シミュレーション】
左下の歯列を少しづつ後方に移動させながら内側に押し込んでいきます。上の八重歯は少しづつ並べていきます。
※マウスピース型カスタムメイド矯正歯科装置は完成物薬機法対象外の矯正装置であり、医薬品副作用被害救済制度の対象とはならない可能性があります。
20代女性・マウスピース型矯正装置





<症例概要>
主訴:叢生
年齢・性別:20代女性
住まい:千葉県八千代市
症状:左側クロスバイト
治療方針:左上歯列後方移動・ストリッピング・上顎歯列拡大
治療装置:マウスピース型矯正装置(アライナー装置)
抜歯:左上親知らず(計1本)
治療期間:1年5か月
アライナー枚数:43+24(7日交換)
リテーナー:上下フィックスタイプ+クリアタイプ
治療費用:990,000(税込)
代表的副作用:痛み・治療後の後戻り・歯根吸収・歯髄壊死・歯肉退縮
▶︎その他の副作用

左側の上の歯列が内側に入ってしまいクロスバイトになっている状態です。骨格性の問題はなかったので、マウスピース型矯正装置と顎間ゴムの使用で比較的簡単に改善させる事ができました。
【薬機法対象外について】
※マウスピース型矯正治療(インビザライン)を希望の方は必ずお読み下さい。
・マウスピース型矯正装置(インビザライン)は医薬品医療機器等法(薬機法)の承認を受けいていない未承認医薬品です。
・マウスピース型矯正装置(インビザライン)はアライン・テクノロジー社の製品であり、インビザライン・ジャパン社を介して入手しています。国内にもマウスピース型矯正装置として医薬品医療機器等法(薬機法)の承認を受けいているものは複数存在します。
・マウスピース型矯正装置(インビザライン)は1998年にFDA(米国食品医薬品局)により医療機器として認証を受けています。
・マウスピース型矯正装置(インビザライン)は完成物薬機法対象外の矯正歯科装置であり、ごく希ですが、副作用が起きてしまった場合などは承認薬品を対象とする医薬品副作用被害救済制度の対象外となる場合があります。
【矯正歯科治療に伴うリスクや副作用】
- 治療開始直後は矯正装置による不快感、痛み等があります。1、2 週間以内で慣れることが多いです。
- 歯の動き方には個人差があります。予想された治療期間が延長する可能性があります。
- 矯正装置の使用、管理、定期的な通院など、矯正治療には患者さんの協力が治療結果や治療期間に影響します。
- 治療中は、むし歯や歯周病のリスクが高まりますので、丁寧に磨いたり、定期的なメンテナンスを受けたりすることが重要です。また、歯が動くと隠れていたむし歯が発見されることもあります。
- 歯を動かすことにより歯根が吸収して短くなることがあります。また、歯ぐきが下がることがあります。
- ごくまれに歯が骨と癒着していて歯が動かないことがあります。
- ごくまれに歯を動かすことで神経が障害を受けて壊死することがあります。
- 治療途中に金属等のアレルギー症状が出ることがあります。
- 治療中に「顎関節で音が鳴る、あごが痛い、口が開けにくい」などの顎関節症状が出ることがあります。
- 治療中に状況が変わり、当初予定した治療計画を変更する可能性があります。
- 歯の形を修正したり、咬み合わせの微調整を行ったりする可能性があります。
- 矯正装置を誤飲する可能性があります。
- 矯正装置を外す時に、エナメル質に微小な亀裂が入る可能性や、かぶせ物(補綴物)の一部が破損する可能性があります。
- 治療終了後、リテーナーを指示通り使用しないと後戻りが生じる可能性が高くなります。
- 治療終了後、現在の咬み合わせに合った状態のかぶせ物(補綴物)やむし歯の治療(修復物)などをやりなおす可能性があります。
- 10代のあごの成長発育によりかみ合わせや歯並びが変化する可能性があります。
- 治療後に親知らずの影響で歯並びが変化することがあります。。加齢や歯周病等により歯を支えている骨がやせるとかみ合わせや歯並びが変化することがあります。その場合、再治療等が必要になることがあります。
- 矯正歯科治療は、一度始めると元の状態に戻すことは難しくなります。
- ※その他の副作用とリスクについて▶︎




























