
出っ歯(上顎前突)の矯正治療例
「出っ歯」は専門的には「上顎前突」と呼びます。上下の前歯の間に6mm以上距離がある状態です。この状態だと、上の前歯が常に下唇にあたるようになり上手く口を閉じる事ができません。無理に閉じようとすると下唇前に出して閉じる感じになります。笑った時には、上の前歯がのみが目立つため、審美的に好まれていません。
また、上顎前突は見た目の問題だけでなく、前歯で食べ物を噛む事も困難であったり、外傷で歯を破折するリスクを持っています。常に口が開いている傾向にあり、体の姿勢も悪く、慢性的な口呼吸である事が多いです。上の前歯の向きが悪く前開きになっている事や、下の顎が著しく小さい事が原因とされています。矯正治療方法は、出ている上の前歯を後ろ引っ込めるためのスペースがどれくらい必要かで変わります。スペースの作り方は主に以下の3つです。①から③に従って抜歯の本数増えていくのですが、これは主に叢生(がたつきの量)の程度の違いによって変わります。もともとがたつきが強く歯が並びきらない方は抜歯を行わなくてはなりません。1の方針をとる方はスペース不足が軽度な方になります。一方、3の方針をとる方上下とも強い乱杭い状態になっている方です。2はその中間になります。
15歳前後の成長期の男子の場合は、下顎の前方成長が残されている患者さんもいます。このような患者さんは下顎の成長を誘導する方針【下顎前方推進】を非抜歯で行う事もあります。あごのかたちががっしりしてくるローアングルケースの方が適応です。
上顎前突の治療方針
①上顎遠心移動方針
上の歯列全体を後方移動させます。主に上の歯並びが大きく前方に傾斜していないケースが適応となります。治療成功率はやや低めになります。
強い固定源を必要としますので、歯科矯正用アンカースクリューを併用することが多いです。マウスピース型矯正治療ではII級ゴムという上下のゴムを使用して改善します。まだ生えていなかったとしても治療開始前に上の親知らずを抜歯しておかなくてはなりません。
②上顎小臼歯抜歯方針
上小臼歯のみ抜歯し、その空隙を利用して上の前歯を後方移動させます。治療成功率は3つの中で一番高くなります。主に下あごが大きく後退している方が適応になります。この治療方針は上の親知らずも噛み合わせに参加させることが可能です。抜歯をしない下の前歯は後方移動させないため、横顔の変化は③の上下抜歯方針よりやや少なくなります。
③上下顎小臼歯抜歯方針
上下小臼歯を計4本抜歯した空隙を利用して上下の前歯を後方移動させます。主に下の前歯に強いがたつきがあるケースが適応になります。
下の抜歯部位は、治療を有利にするために4番ではなく5番になることが多いです。上の前歯の後方移動陵は3つの治療方針の中で最大になる計画のため、歯科矯正用アンカースクリューの使用が必須となります。
④下顎前方推進方針
下あごが前方に成長する際に、下の歯列全体も前方に移動させます。これにより上下前歯のギャップを軽減する方針です。上の歯並びを後方移動をさせるわけではないため、上の前歯が唇側傾斜(前開き)になっているケースは適応ではないことがあります。
目次
- 1 上顎前突の治療方針
- 2 10代女性・マウスピース型装置・遠心移動
- 3 高校生女性・マウスピース型装置・遠心移動
- 4 20代女性・マウスピース型矯正装置・上抜歯
- 5 20代男性・マウスピース型矯正装置・上抜歯
- 6 10代女性・マウスピース型矯正装置・上抜歯
- 7 高校生女性・唇側矯正装置・上抜歯
- 8 高校生女性・唇側矯正・上下抜歯
- 9 20代女性・マウスピース型矯正装置・上抜歯
- 10 20代女性・ハーフリンガル装置・上下抜歯
- 11 大学生女性・マウスピース型矯正装置・上抜歯
- 12 大学生女性・マウスピース型矯正装置・上抜歯
- 13 高校生女性・マウスピース型矯正装置・上抜歯
- 14 30代女性・マウスピース型矯正装置
- 15 高校生男子・マウスピース型矯正装置・抜歯
- 16 中学生女子・マウスピース型矯正装置
- 17 20代女性・マウスピース型矯正装置・癒合歯・抜歯
- 18 中学生女子・唇側矯正装置・抜歯
- 19 20代女性・ハーフリンガル矯正装置・抜歯
- 20 20代女性・ハーフリンガル矯正装置・抜歯
- 21 20代女性・唇側矯正装置・抜歯
- 22 20代男性・唇側矯正装置・抜歯
- 23 中学生男子・マウスピース型矯正装置・下顎前方推進
- 24 小学生高学年男子・機能的マウスピース矯正装置・1期治療のみ
- 25 【矯正歯科治療に伴うリスクや副作用】
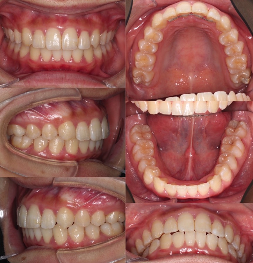
10代女性・マウスピース型装置・遠心移動

抜歯せずに前歯の出っ張りを改善できるケースには特徴があります。このように上の前歯2本のみ前開きになっているようなタイプの場合は、後方移動やIPR(歯の研磨)を行うことで、上の前歯の角度を変えることができます。
<症例概要> 難易度★☆☆☆☆
主訴:上前歯の突出
年齢・性別:高校生女性
住まい:千葉県八千代市
症状:上下顎前歯唇側傾斜
治療方針:上顎後方移動・IPR
治療装置:マウスピース型矯正装置(アライナー装置)
固定装置:II級ゴム
治療期間:1年8か月
アライナー枚数:56+28ステージ(1週間交換)
リテーナー:上下フィックスタイプ+クリアタイプ
治療費用:990,000(税込)
代表的副作用:痛み・治療後の後戻り・歯根吸収・歯髄壊死・歯肉退縮
▶︎その他の副作用
【治療シミュレーション】
上の歯並びをII級ゴムを使用して奥歯から順番に後方へ移動させます。途中でIPRを少しづつおこなっていきます。
※マウスピース型カスタムメイド矯正歯科装置は完成物薬機法対象外の矯正装置であり、医薬品副作用被害救済制度の対象とはならない可能性があります。
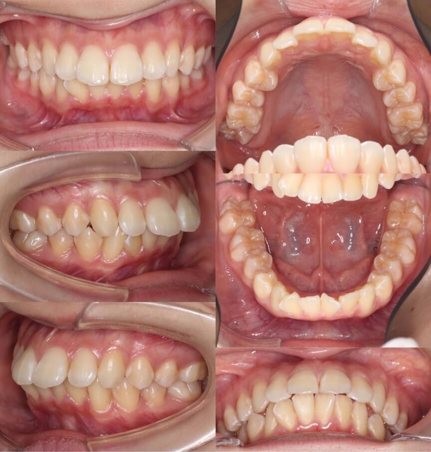
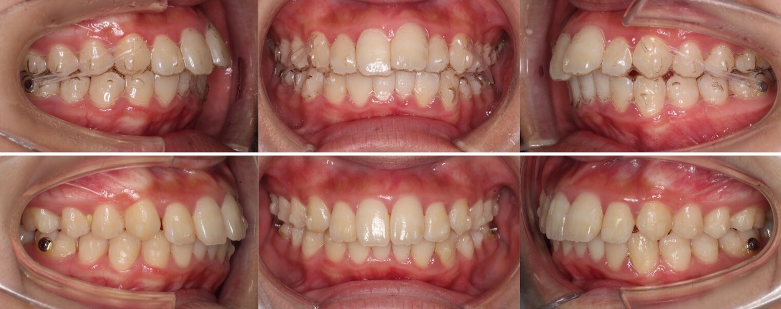
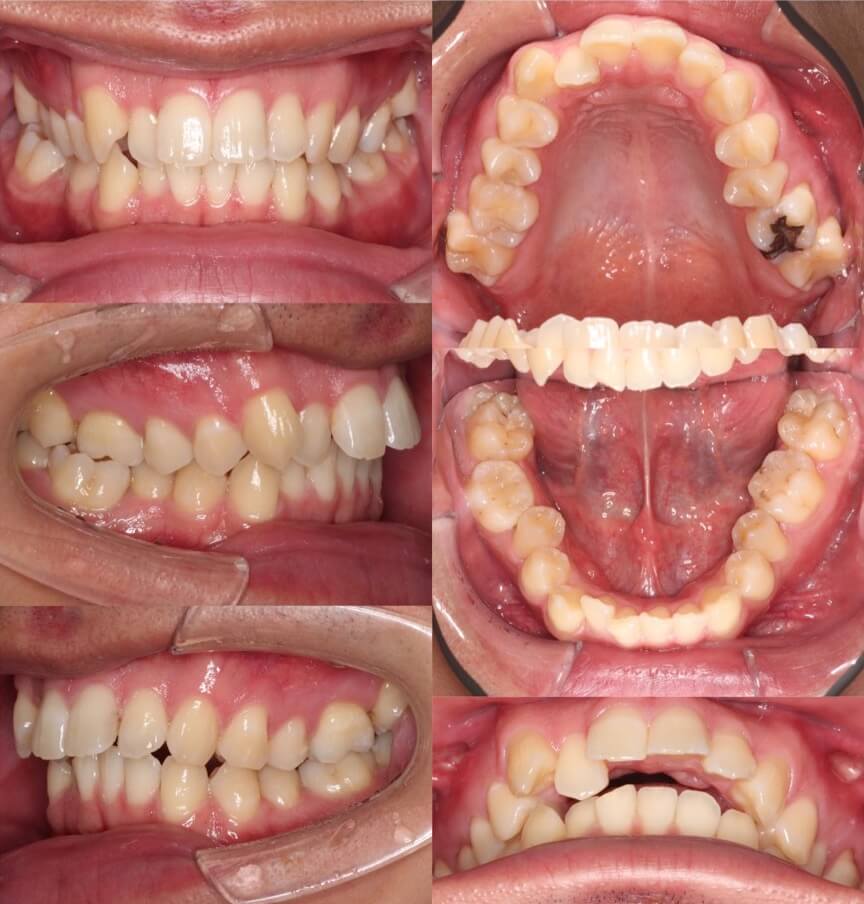
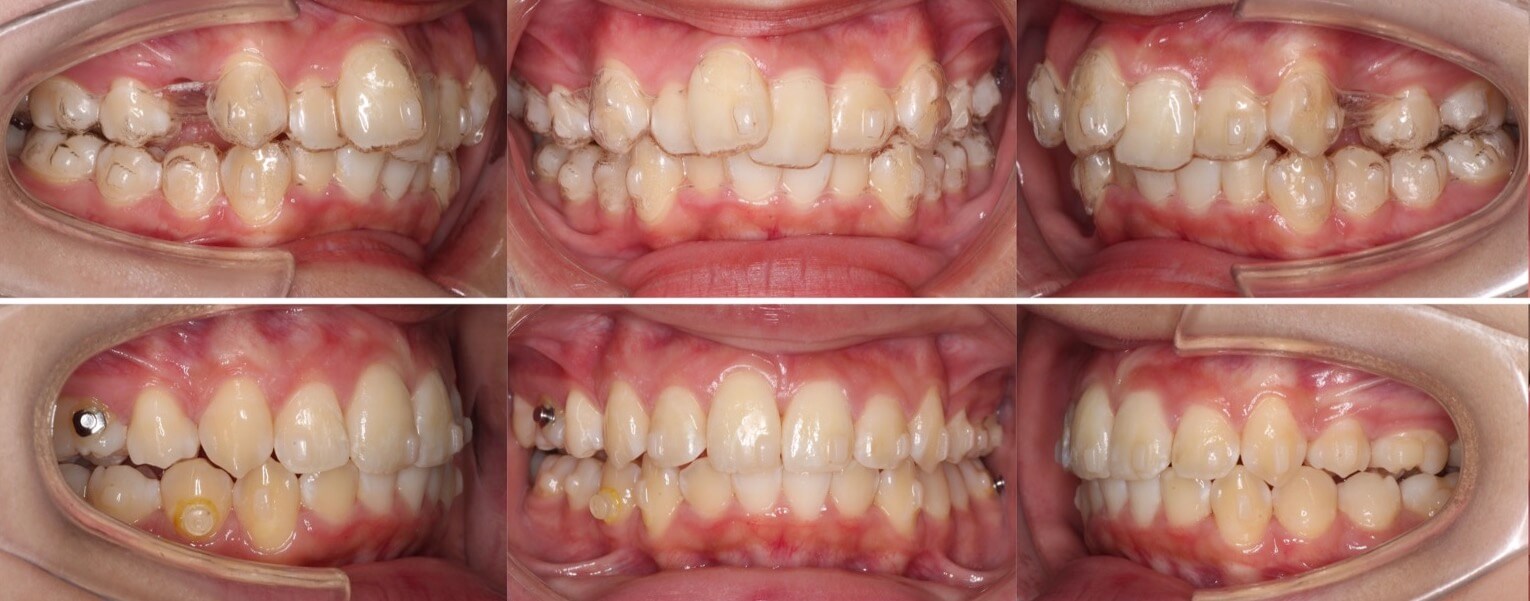
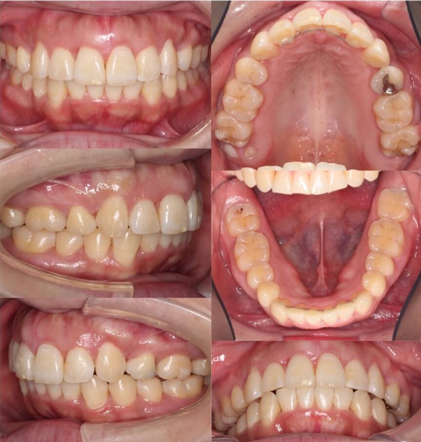
高校生女性・マウスピース型装置・遠心移動

途中で、右下前歯がアンフィットしてしまったため、フックを設置しマウスピースを覆うようにゴムをかけてリカバリーを行いました。お住まいが遠方になってしまい、中々通院回数を確保する事ができなかったのですが、何とか治療を終了する事ができました。
<症例概要> 難易度★★☆☆☆
主訴:出っ歯
年齢・性別:高校生女子
住まい:千葉県八千代市
症状:上顎前突・叢生
治療方針:上顎後方移動・ストリッピング
治療装置:マウスピース型矯正装置(アライナー装置)
治療期間:1年10か月(1週間交換)
アライナー枚数:60+29ステージ
リテーナー:上下クリアタイプ+上フィックスタイプ
治療費用:990,000(税込)
代表的副作用:痛み・治療後の後戻り・歯根吸収・歯髄壊死・歯肉退縮
▶︎その他の副作用
【治療シミュレーション】
II級ゴムを使用して、上顎を順々に遠心移動していく方針です。
※マウスピース型カスタムメイド矯正歯科装置は完成物薬機法対象外の矯正装置であり、医薬品副作用被害救済制度の対象とはならない可能性があります。
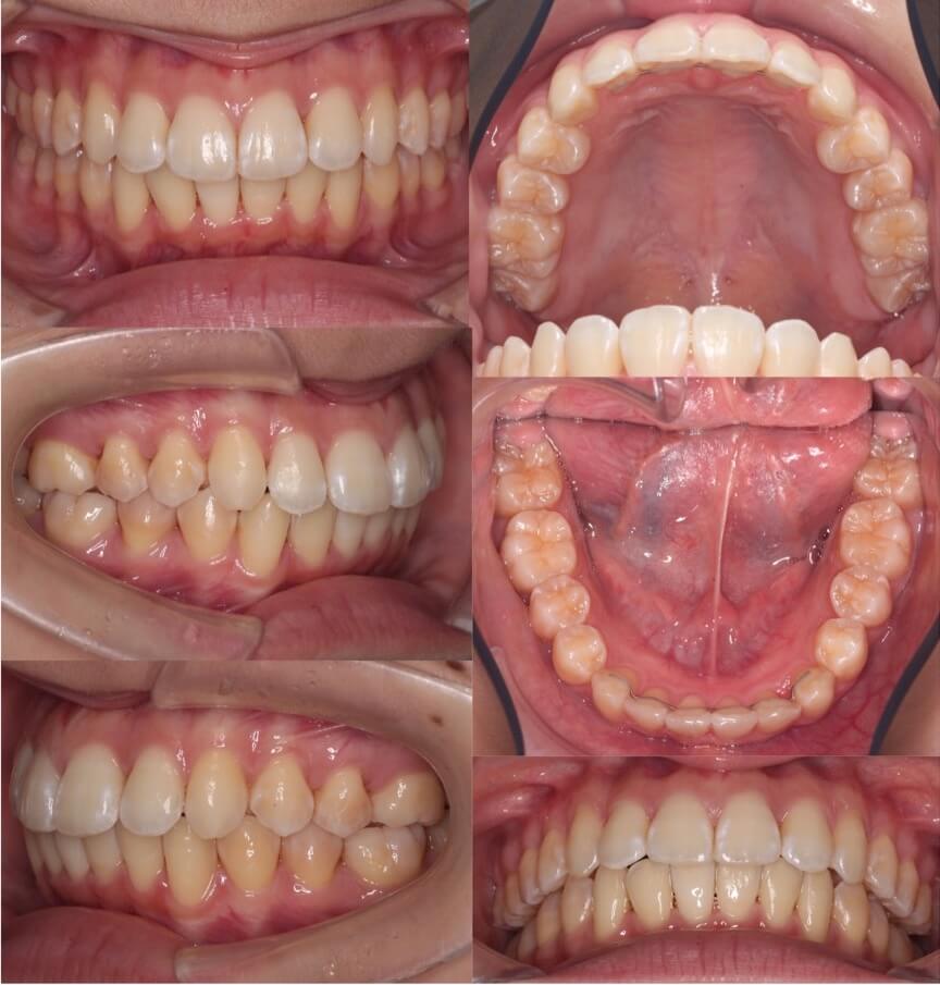
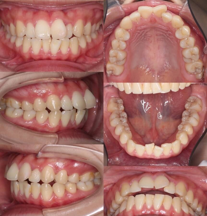
20代女性・マウスピース型矯正装置・上抜歯

このようなII級と呼ばれるかみ合わせの前突症例は、上のみ抜歯を行い、下は非抜歯で治療することが可能です。
<症例概要> 難易度★★★☆☆
主訴:前歯の前突
年齢・性別:20代女性
住まい:千葉県千葉市
症状:叢生・上顎前歯唇側傾斜
治療方針:上顎抜歯空隙閉鎖・下顎歯列後方移動・IPR
治療装置:マウスピース型矯正装置(アライナー装置)
抜歯:上左右4番(計2本)
治療期間:2年0か月
アライナー枚数:58+24+13ステージ(1週間交換)
リテーナー:上下フィックスタイプ+クリアタイプ
治療費用:990,000(税込)
代表的副作用:痛み・治療後の後戻り・歯根吸収・歯髄壊死・歯肉退縮
▶︎その他の副作用
【治療シミュレーション】
上の前歯は抜歯空隙を閉鎖し、下はIPRと後方移動を行うことで前歯の前突を改善させています。
※マウスピース型カスタムメイド矯正歯科装置は完成物薬機法対象外の矯正装置であり、医薬品副作用被害救済制度の対象とはならない可能性があります。
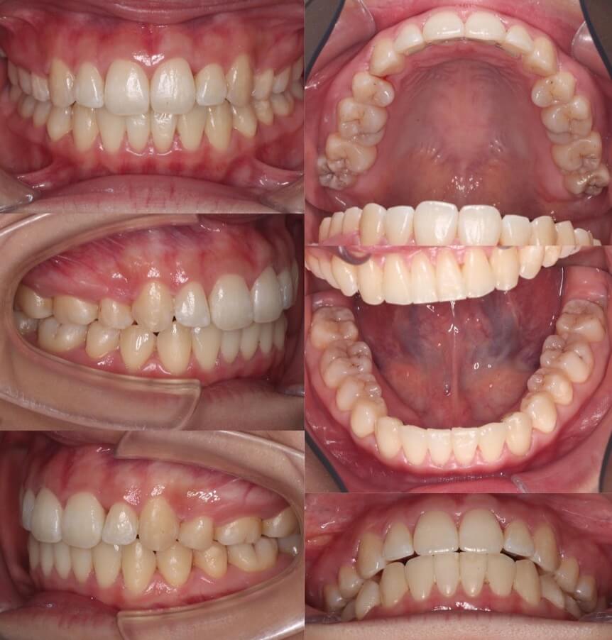
20代男性・マウスピース型矯正装置・上抜歯

マウスピース型矯正治療に向いている典型的な上のみの抜歯症例です。このようなケースは治療期間も短く終了できます。
<症例概要> 難易度★★★☆☆
主訴:上の前歯の前突
年齢・性別:20代男性
住まい:千葉県習志野市
症状:上顎前歯唇側傾斜・叢生・右6番交叉咬合・正中線不一致
治療方針:上顎抜歯空隙閉鎖・下顎歯列拡大・IPR
治療装置:マウスピース型矯正装置(アライナー装置)
抜歯:上左右4番(計2本)
治療期間:1年7か月
アライナー枚数:60+20ステージ(1週間交換)
リテーナー:上下フィックスタイプ+クリアタイプ
治療費用:990,000(税込)
代表的副作用:痛み・治療後の後戻り・歯根吸収・歯髄壊死・歯肉退縮
▶︎その他の副作用
【治療シミュレーション】
上はゆっくりと抜歯空隙を閉鎖しています。
臼歯の交叉咬合を治すために、下の歯を順番に後方移動させています。
※マウスピース型カスタムメイド矯正歯科装置は完成物薬機法対象外の矯正装置であり、医薬品副作用被害救済制度の対象とはならない可能性があります。
10代女性・マウスピース型矯正装置・上抜歯

スピーカーブといって、下歯並びのたわみが多く、前歯が過蓋咬合になっている上顎前突です。下の歯並びは奥歯から1歯づつ後方に起こしていきました。
<症例概要> 難易度★★★★☆
主訴:右上前歯の突出
年齢・性別:10代女性
住まい:千葉県八千代市
症状:上顎前歯唇側傾斜・叢生・過蓋咬合
治療方針:抜歯空隙閉鎖・下顎後方移動
治療装置:マウスピース型矯正装置(アライナー装置)
抜歯:上左右第一小臼歯(計2本)
治療期間:2年2か月
アライナー枚数:50+36+20ステージ(1週間交換)
リテーナー:上下フィックスタイプ+クリアタイプ
治療費用:990,000(税込)
代表的副作用:痛み・治療後の後戻り・歯根吸収・歯髄壊死・歯肉退縮
▶︎その他の副作用
【治療シミュレーション】
上の抜歯したスペースに前歯を後方移動させながら、ふぞろいを治してきます。
※マウスピース型カスタムメイド矯正歯科装置は完成物薬機法対象外の矯正装置であり、医薬品副作用被害救済制度の対象とはならない可能性があります。
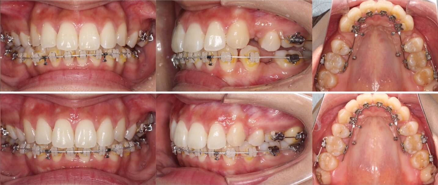
高校生女性・唇側矯正装置・上抜歯

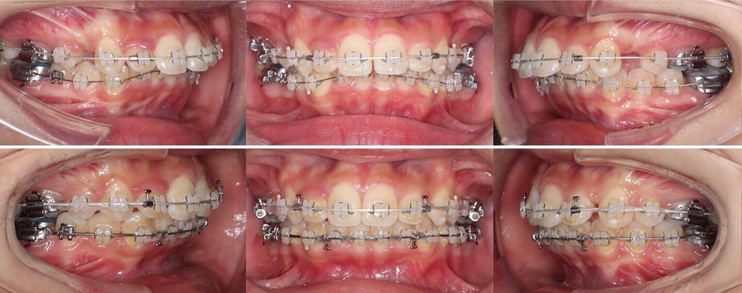
上の前歯が前に出ているため下唇に当たり口が閉じづらいという症状を、抜歯を併用して前歯を引っ込めて治しました。術後は奥歯を含めて理想的なかみ合わせになり、スマイルも大きく変化しました。ご本人からも大変満足していただけました。少し前歯が小さめですが、唇側矯正装置であればしっかりと歯の動きをコントロールする事ができます。
<症例概要> 難易度★★★☆☆
主訴:出っ歯
年齢・性別:高校生女性
住まい:千葉県船橋市
症状:上顎前突・叢生・過蓋咬合・右側シザースバイト
治療方針:上抜歯空隙閉鎖(中等度固定)・ストリッピング
治療装置:唇側矯正装置
固定装置:ナンスホールディングアーチ
抜歯:上第一小臼歯(計2本)
治療期間:2年2か月
リテーナー:上プレートタイプ+クリアタイプ・下フィックスタイプ
治療費用:968,000(税込)
代表的副作用:痛み・治療後の後戻り・歯根吸収・歯髄壊死・歯肉退縮
▶︎その他の副作用
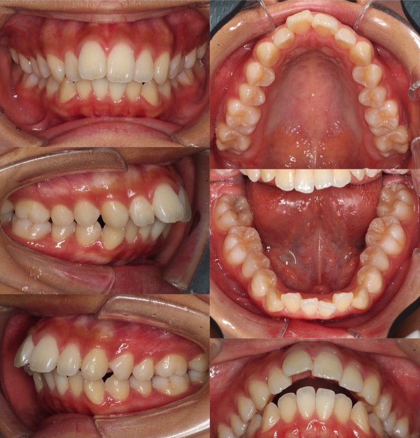
高校生女性・唇側矯正・上下抜歯
<症例概要> 難易度:★★★☆☆
主訴:前歯と口元の突出
年齢・性別:高校生女性
住まい:千葉県佐倉市
症状:下顎後退・上顎前歯唇側傾斜
治療方針:抜歯空隙の閉鎖(中等度固定)
治療装置:唇側矯正装置
固定:ナンスホールディングアーチ
抜歯:上第一小臼歯・下第二小臼歯(計4本)
治療期間:2年4か月
リテーナー:上下プレートタイプ+フィックスタイプ
治療費用:968,000(税込)
代表的副作用:痛み・治療後の後戻り・歯根吸収・歯髄壊死・歯肉退縮
▶︎その他の副作用

前歯が出ているため、口元が突出し口が閉じにくいという状態でした。上の前歯の突出が強いため、下の抜歯部位は第二小臼歯を選択し、前歯の後方移動量を調整しました。治療後はすっきりとした横顔になりました。
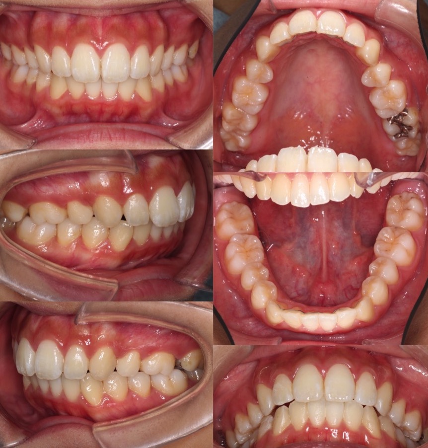
20代女性・マウスピース型矯正装置・上抜歯
<症例概要> 難易度★★★★★
主訴:出っ歯・ガタガタ
年齢・性別:20代女性
住まい:千葉県千葉市
症状:下顎後退・上下叢生
治療方針:抜歯空隙閉鎖
治療装置:マウスピース型矯正装置(アライナー装置)
抜歯:上左右第一小臼歯(計2本)
治療期間:2年11か月(1週間交換)
アライナー枚数:72+46+26ステージ
リテーナー:上下フィックスタイプ+クリアタイプ
治療費用:990,000(税込)
代表的副作用:痛み・治療後の後戻り・歯根吸収・歯髄壊死・歯肉退縮
▶︎その他の副作用
【治療シミュレーション】
上の抜歯したスペースに、突出している前歯を移動していきます。下の歯並びは後方に起こしながら並べていきます。
※マウスピース型カスタムメイド矯正歯科装置は完成物薬機法対象外の矯正装置であり、医薬品副作用被害救済制度の対象とはならない可能性があります。

重度の上顎前突でしたが、歯並びがV字型であったため、抜歯に加えて歯列形態の修正も利用して大きく前歯を引っ込めることに成功しました。下あごが小さいため、横顔の変化は微量となりましたが、限界に近かった思います。
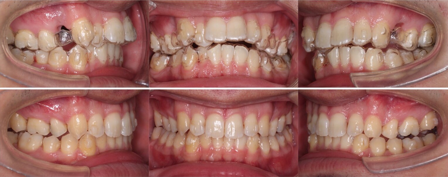
20代女性・ハーフリンガル装置・上下抜歯

上顎前突症に加えて、左側にシザースバイト(奥歯のすれ違い)症状もあるケースです。上の歯並びは裏側につける矯正装置のみでは対応できなかったため、奥歯のみ外側にブラケット矯正装置を装着しています。治療後は上の前歯が下唇にあたらなくなり、口が閉じやすくなりました。
<症例概要> 難易度:★★★★★
主訴:口元を引っ込めたい
年齢・性別:20代女性
住まい:千葉県八千代市
症状:下顎後退・上下顎前歯唇側傾斜・左側シザースバイト
治療方針:抜歯空隙の閉鎖(最大固定)
治療装置:ハーフリンガル矯正装置(上のみ裏側装置)
固定:歯科矯正用アンカースクリュー(口蓋側壁x2)
抜歯:上第一小臼歯・下第二小臼歯
治療期間:2年7か月
リテーナー:上下プレートタイプ+クリアタタイプ+フィックスタイプ
治療費用:1,320,000(税込)
代表的副作用:痛み・治療後の後戻り・歯根吸収・歯髄壊死・歯肉退縮
▶︎その他の副作用
大学生女性・マウスピース型矯正装置・上抜歯

典型的な上のみの抜歯症例です。II級顎間ゴムを使用しながら、ゆっくりと前歯を後方移動させていきました。
<症例概要> 難易度★★★☆☆
主訴:出っ歯
年齢・性別:高校生女性
住まい:千葉県旭市
症状:上顎前突
治療方針:抜歯空隙閉鎖
治療装置:マウスピース型矯正装置(アライナー装置)
抜歯:上左右第一小臼歯(計2本)
治療期間:2年4か月(1週間交換)
アライナー枚数:47+37+16ステージ
リテーナー:上下フィックスタイプ+クリアタイプ
治療費用:990,000(税込)
代表的副作用:痛み・治療後の後戻り・歯根吸収・歯髄壊死・歯肉退縮
▶︎その他の副作用
【治療シミュレーション】
先に上の犬歯のみ抜歯スペースに引き、途中から残りの前歯も後ろに引きます。
※マウスピース型カスタムメイド矯正歯科装置は完成物薬機法対象外の矯正装置であり、医薬品副作用被害救済制度の対象とはならない可能性があります。
大学生女性・マウスピース型矯正装置・上抜歯

<顔のビフォーアフター>





<症例概要>
主訴:出っ歯
年齢・性別:大学生女性
住まい:千葉県船橋市
症状:上顎前突
治療方針:抜歯空隙閉鎖
治療装置:マウスピース型矯正装置(アライナー装置)
抜歯:上左右第一小臼歯(計2本)
治療期間:2年1か月(1週間交換)
アライナー枚数:61+22ステージ
リテーナー:上下フィックスタイプ+クリアタイプ
治療費用:990,000(税込)
代表的副作用:痛み・治療後の後戻り・歯根吸収・歯髄壊死・歯肉退縮
▶︎その他の副作用
【治療シミュレーション】
上の前歯を少しづつ順番に後ろ入れていく治療方針です。
※マウスピース型カスタムメイド矯正歯科装置は完成物薬機法対象外の矯正装置であり、医薬品副作用被害救済制度の対象とはならない可能性があります。

1cm近く上の前歯が前に出ているケースです。抜歯した隙間に少しづつ前歯を引っ張り、固定源となる奥歯の噛み合わせを崩さないようにして治しました。
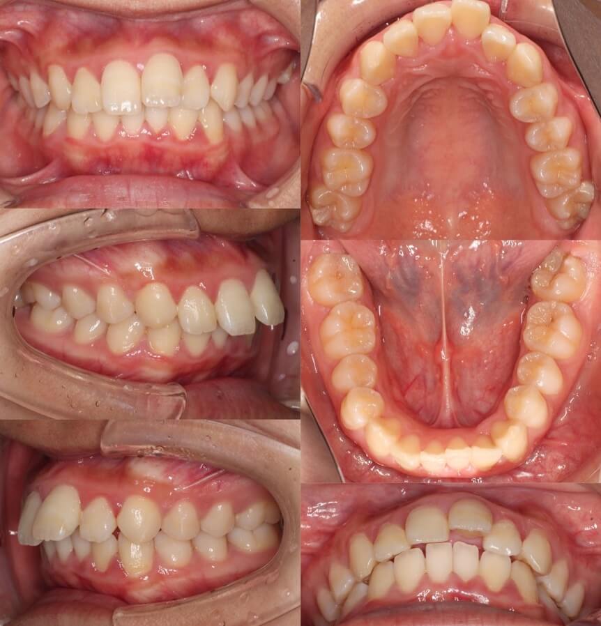
高校生女性・マウスピース型矯正装置・上抜歯

<顔のビフォーアフター>





<症例概要>
主訴:出っ歯
年齢・性別:大学生女性
住まい:千葉県船橋市
症状:上顎前突・開咬・シザーズバイト
治療方針:抜歯空隙閉鎖・IPR
治療装置:マウスピース型矯正装置(アライナー装置)+セクショナルワイヤー
抜歯:上左右第一小臼歯(計2本)
治療期間:2年(1週間交換)
アライナー枚数:41+23+12ステージ
リテーナー:上下フィックスタイプ+クリアタイプ
治療費用:990,000(税込)
代表的副作用:痛み・治療後の後戻り・歯根吸収・歯髄壊死・歯肉退縮
▶︎その他の副作用
【治療シミュレーション】
上の抜歯スペースを順次的に閉鎖していきます。下の一番奥歯はマウスピースで歯をつかめないためワイヤー装置を併用しています。
※マウスピース型カスタムメイド矯正歯科装置は完成物薬機法対象外の矯正装置であり、医薬品副作用被害救済制度の対象とはならない可能性があります。

シザーズバイトになっている下の第二大臼歯は、半分以上歯茎が覆っておりマウスピースでつかむには面積が足りないため、部分的にブラケット装置(セクショナルワイヤー)を併用しました。このように効率性と治療期間の兼ね合いをみてワイヤー矯正装置を併用することはあります。
30代女性・マウスピース型矯正装置

<顔のビフォーアフター>





<症例概要>
主訴:出っ歯
年齢・性別:30代女性
住まい:神奈川県
症状:上顎前突・叢生
治療方針:上顎後方移動
治療装置:マウスピース型矯正装置(アライナー装置)
抜歯:なし
治療期間:1年6か月(1週間交換)
アライナー枚数:58+32ステージ
リテーナー:上下フィックスタイプ+クリアタイプ
治療費用:990,000(税込)
代表的副作用:痛み・治療後の後戻り・歯根吸収・歯髄壊死・歯肉退縮
▶︎その他の副作用
【治療シミュレーション】
II級ゴムを使用して、IPRを行いながら上顎歯列を順々に遠心移動していく方針です。
※マウスピース型カスタムメイド矯正歯科装置は完成物薬機法対象外の矯正装置であり、医薬品副作用被害救済制度の対象とはならない可能性があります。

途中で、右下前歯がアンフィットしてしまったため、フックを設置しマウスピースを覆うようにゴムをかけてリカバリーを行いました。お住まいが遠方になってしまい、中々通院回数を確保する事ができなかったのですが、何とか治療を終了する事ができました。
高校生男子・マウスピース型矯正装置・抜歯

<顔のビフォーアフター>





<症例概要>
主訴:出っ歯
年齢・性別:16歳男子(高校生)
住まい:千葉県八千代市
症状:上顎前突・下顎後退
治療方針:抜歯空隙の閉鎖(中等度固定)
治療装置:マウスピース型矯正装置(アライナー装置)
抜歯:上左右第一小臼歯(計2本)
治療期間:2年(1週間交換)
アライナー枚数:52+19+16ステージ
リテーナー:上下プレートタイプ+クリアタイプ
治療費用:990,000(税込)
代表的副作用:痛み・治療後の後戻り・歯根吸収・歯髄壊死・歯肉退縮
▶︎その他の副作用
【治療シミュレーション】
上の抜歯スペースにゆっくりと前歯を後ろに引き込みむ計画です。II級ゴムをかけてもらいます。
※マウスピース型カスタムメイド矯正歯科装置は完成物薬機法対象外の矯正装置であり、医薬品副作用被害救済制度の対象とはならない可能性があります。

上下の前歯の隙間12mmある著しい出っ歯で症例です。上の第一小臼歯を抜歯し上の前歯を8mm引っ込めた症例です。高校生であったので下顎の成長もあり上手く口元の突出感もなくなりました。上の歯列は治療途中で生えてきた親知らずも並べています。
中学生女子・マウスピース型矯正装置

<顔のビフォーアフター>





<症例概要>
主訴:出っ歯
年齢・性別:中学生女子
住まい:千葉県八千代市
症状:上顎前突・叢生
治療方針:上顎後方移動・ストリッピング・下顎前方移動
治療装置:マウスピース型矯正装置(アライナー装置)
治療期間:1年8か月(1週間交換)
アライナー枚数:62+32+14ステージ
リテーナー:上下プレートタイプ+上フィックスタイプ
治療費用:990,000(税込)
代表的副作用:痛み・治療後の後戻り・歯根吸収・歯髄壊死・歯肉退縮
▶︎その他の副作用
※マウスピース型カスタムメイド矯正歯科装置は完成物薬機法対象外の矯正装置であり、医薬品副作用被害救済制度の対象とはならない可能性があります。

女子の場合は15歳くらいまでは、成長を利用した矯正治療が可能です。成人の方では、抜歯になるような症状でも非抜歯で矯正治療を行う事が可能です。下顎の前方への骨格成長もあり、口元が突出が減り横顔も変化させる事ができました。
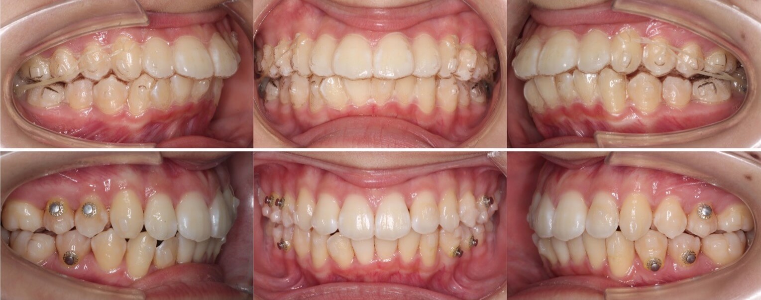
20代女性・マウスピース型矯正装置・癒合歯・抜歯

<顔のビフォーアフター>





<症例概要>
主訴:出っ歯
年齢・性別:20代女性
住まい:千葉県八千代市
症状:上顎前突・左下犬歯・第一小臼歯癒合
治療方針:抜歯空隙の閉鎖(中等度固定)
治療装置:マウスピース型矯正装置(アライナー装置)
抜歯:上左右第一小臼歯(計2本)
治療期間:2年1か月(1週間交換)
アライナー枚数:56+23+21ステージ
リテーナー:上下フィックスタイプ+クリアタイプ
治療費用:990,000(税込)
代表的副作用:痛み・治療後の後戻り・歯根吸収・歯髄壊死・歯肉退縮
▶︎その他の副作用
【治療シミュレーション】
上の抜歯スペースにゆっくりと前歯を後ろに引き込みむ計画です。ねじれが強い前歯には多めにアタッチメントを設置しています。
※マウスピース型カスタムメイド矯正歯科装置は完成物薬機法対象外の矯正装置であり、医薬品副作用被害救済制度の対象とはならない可能性があります。

左下の犬歯と小臼歯が癒合している珍しいタイプです。歯の素材に問題がある場合は、上下の正中線を合わせたり、緊密な噛み合わせを作る事が難しくなります。特殊な歯の形がある場合、ブラケット装置を設置する事が難しく、このようにマウスピース型矯正装置の方が向いている事があります。
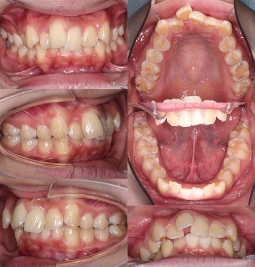
中学生女子・唇側矯正装置・抜歯
<顔のビフォーアフター>


<症例概要>
主訴:乳歯残存と出っ歯
年齢・性別:中学生女子
住まい:千葉県八千代市
症状:下顎後退・過蓋咬合・正中離開・左上乳犬歯残存
治療方針:上抜歯空隙閉鎖(中等度固定)
治療装置:唇側矯正装置
固定装置:ナンスホールディングアーチ
抜歯:上左右4番・左上残存乳犬歯(計3本)
治療期間:3年4か月
リテーナー:上下プレートタイプ+上フィックスタイプ
治療費用:968,000(税込)
代表的副作用:痛み・治療後の後戻り・歯根吸収・歯髄壊死・歯肉退縮
▶︎その他の副作用

上の前歯が下の前歯より13mmとかなり出ているケースです。下あごが著しく小さいことが原因です。治療は上の歯を抜歯して前歯を後ろに引くのですが、乳歯も残っていたため合計3本抜歯することとなりました。一気に抜歯せず乳歯→小臼歯という順番で抜歯し少しづつ前歯を後方移動させました。
20代女性・ハーフリンガル矯正装置・抜歯

<顔のビフォーアフター>





<症例概要>
主訴:出っ歯を治したい
年齢・性別:20代女性
住まい:千葉県佐倉市
症状:上顎前突・過蓋咬合
治療方針:抜歯空隙の閉鎖(最大固定)
治療装置:ハーフリンガル矯正装置(上のみ裏側装置)
固定装置:口蓋側壁アンカースクリューx2
抜歯:上第一小臼歯(計2本)
治療期間:2年3か月
リテーナー:上下クリアタイプ+フィックスタイプ
治療費用:1,495,000(税込)
代表的副作用:痛み・治療後の後戻り・歯根吸収・歯髄壊死・歯肉退縮
▶︎その他の副作用

著しく上の前歯が突出しているケースです。審美的な矯正装置を希望されたのでハーフリンガル矯正で治療をしました。歯科矯正用アンカースクリューを併用する事で抜歯したスペースを全て前歯を引っ込める事に使用できました。 過蓋咬合が併発している上顎前突は下の歯並びは表側矯正装置の方がコントロールしやすいと言えます。
20代女性・ハーフリンガル矯正装置・抜歯

<顔のビフォーアフター>





<症例概要>
主訴:出っ歯
年齢・性別:20歳女性
住まい:千葉県船橋市
症状:上顎前突・過蓋咬合・叢生
治療方針:抜歯空隙の閉鎖(最大固定)
治療装置:ハーフリンガル矯正装置(上のみ裏側装置)
固定装置:歯科矯正用アンカースクリュー(口蓋側壁x2)
抜歯:上第一小臼歯(計2本)
治療期間:2年9か月
リテーナー:上下プレートタイプ+フィックスタイプ
治療費用:1,495,000(税込)
代表的副作用:痛み・治療後の後戻り・歯根吸収・歯髄壊死・歯肉退縮
▶︎その他の副作用

かみ合わせが深い過蓋咬合も併発しているタイプです。このようなタイプは歯冠(歯の頭の部分)が短く、歯の移動コントロールが非常に難しいです。また、かむ力も強かったので、中々歯も動かず治療期間が長期化してしまいました。
20代女性・唇側矯正装置・抜歯

<顔のビフォーアフター>





<症例概要>
主訴:出っ歯とでこぼこ
年齢・性別:20代女性
住まい:千葉県佐倉市
症状:上顎前突・叢生・過蓋咬合
治療方針:上抜歯空隙閉鎖(中等度固定)
治療装置:唇側矯正装置
固定装置:ナンスホールディングアーチ
抜歯:上第一小臼歯・下第二小臼歯(計4本)
治療期間:2年6か月
リテーナー:上プレートタイプ+クリアタイプ+下フィックスタイプ
治療費用:968,000(税込)
代表的副作用:痛み・治療後の後戻り・歯根吸収・歯髄壊死・歯肉退縮
▶︎その他の副作用

過蓋咬合も併発している上顎前突の場合は、抜歯空隙の閉鎖を犬歯と前歯を分けて順番に後ろに引く2段階牽引を行います。治療期間が少々かかりますが、確実に前歯を後方移動させる事ができます。治療後は口元がスッキリしました。
20代男性・唇側矯正装置・抜歯

<顔のビフォーアフター>





<症例概要>
主訴:出っ歯
年齢・性別:20代男性
住まい:千葉県八千代市
症状:上顎前突・叢生
治療方針:抜歯空隙の閉鎖(中等度固定)
治療装置:唇側矯正装置
抜歯:上顎第一小臼歯(計2本)
治療期間:1年9か月
リテーナー:上プレートタイプ・上下フィックスタイプ
治療費用:968,000(税込)
代表的副作用:痛み・治療後の後戻り・歯根吸収・歯髄壊死・歯肉退縮
▶︎その他の副作用

上の前歯2本がすきっ歯になりながら前方に出ている歯並びです。横から見ると1cm近く上の前歯が出ているため、抜歯を併用して後ろに引っ込めました。治療後はお顔の印象が大分変化しました。
中学生男子・マウスピース型矯正装置・下顎前方推進

<顔のビフォーアフター>





<症例概要>
主訴:出っ歯
年齢・性別:15歳男子(高校生)
住まい:千葉県八千代市
症状:上顎前突
治療方針:下顎前方移動+ストリッピング
治療装置:マウスピース型矯正装置(アライナー装置)
治療期間:1年6か月(1週間交換)
アライナー枚数:34+18+12ステージ
リテーナー:上下クリアタイプ・上フィックスタイプ
治療費用:990,000(税込)
代表的副作用:痛み・治療後の後戻り・歯根吸収・歯髄壊死・歯肉退縮
▶︎その他の副作用
※マウスピース型カスタムメイド矯正歯科装置は完成物薬機法対象外の矯正装置であり、医薬品副作用被害救済制度の対象とはならない可能性があります。

どうしても抜歯をせずに出っ歯を治したいという患者さんの希望により、マウスピース型矯正装置(インビザライン・薬機法対象外)のMAという装置を使用して治療したケースです。奥歯に下の歯並びを前方に移動させるバイトウィングという特殊な羽がついたマウスピースを使用しています。男子の場合は下顎の前方成長がうまくいけば、このように良好な治療結果も生まれます。
小学生高学年男子・機能的マウスピース矯正装置・1期治療のみ





<症例概要>
主訴:上顎前突
年齢・性別:10歳男子
住まい:千葉県八千代市
症状:上顎前突・過蓋咬合
治療方針:上下歯列拡大+下前歯唇側傾斜
治療装置:機能的マウスピース矯正装置(プレオルソ)
管理期間:1年4か月
リテーナー:上プレートタイプ
治療費用:484,000(税込)
代表的副作用:痛み・治療後の後戻り・成長による変化
▶︎その他の副作用

右上の前歯が一本だけ前に出ている上顎前突です。機能的マウスピース矯正装置(プレオルソ)マウスピースを就寝時使用し、前歯のかみ合わせを改善しました。ちょうど奥歯の生え変わりの時期であり、すぐに改善する事ができました。使用したタイミングが良かった言えます。
【矯正歯科治療に伴うリスクや副作用】
- 治療開始直後は矯正装置による不快感、痛み等があります。1、2 週間以内で慣れることが多いです。
- 歯の動き方には個人差があります。予想された治療期間が延長する可能性があります。
- 矯正装置の使用、管理、定期的な通院など、矯正治療には患者さんの協力が治療結果や治療期間に影響します。
- 治療中は、むし歯や歯周病のリスクが高まりますので、丁寧に磨いたり、定期的なメンテナンスを受けたりすることが重要です。また、歯が動くと隠れていたむし歯が発見されることもあります。
- 歯を動かすことにより歯根が吸収して短くなることがあります。また、歯ぐきが下がることがあります。
- ごくまれに歯が骨と癒着していて歯が動かないことがあります。
- ごくまれに歯を動かすことで神経が障害を受けて壊死することがあります。
- 治療途中に金属等のアレルギー症状が出ることがあります。
- 治療中に「顎関節で音が鳴る、あごが痛い、口が開けにくい」などの顎関節症状が出ることがあります。
- 治療中に状況が変わり、当初予定した治療計画を変更する可能性があります。
- 歯の形を修正したり、咬み合わせの微調整を行ったりする可能性があります。
- 矯正装置を誤飲する可能性があります。
- 矯正装置を外す時に、エナメル質に微小な亀裂が入る可能性や、かぶせ物(補綴物)の一部が破損する可能性があります。
- 治療終了後、リテーナーを指示通り使用しないと後戻りが生じる可能性が高くなります。
- 治療終了後、現在の咬み合わせに合った状態のかぶせ物(補綴物)やむし歯の治療(修復物)などをやりなおす可能性があります。
- 10代のあごの成長発育によりかみ合わせや歯並びが変化する可能性があります。
- 治療後に親知らずの影響で歯並びが変化することがあります。。加齢や歯周病等により歯を支えている骨がやせるとかみ合わせや歯並びが変化することがあります。その場合、再治療等が必要になることがあります。
- 矯正歯科治療は、一度始めると元の状態に戻すことは難しくなります。
- ※その他の副作用とリスクについて▶︎






















































