
ガタガタの歯並び【叢生】の矯正治療症例
「でこぼこ」の歯並びは専門的には「叢生」と呼びます。歯列が顎の中に並びきらず前後に逸脱したり捻れて並んでいる状態を指します。一般的には虫歯や歯周病になりやすいと言われていますが、海外論文では、歯磨きさえしっかり行なっていれば、叢生がそういった感染性疾患の増加に直接影響はしていないというデータも出ています。ですから、主に前歯の噛み合わせと見た目の問題の解決のために治療を行っていきます。
歯とあごの大きさのバランスの悪さによるスペース不足が原因とされています。治療方法はスペース不足量によって異なります。軽度であれば歯列拡大や後方移動にストリッピングを併用します、歯1本分程度のスペース不足の場合は小臼歯抜歯を併用します。
まだ永久歯列になっていない、小児期からの矯正治療のスタート時期については各学会によって、賛否両論があります。当院は長期治療になる場合は積極的には小児矯正は行っておりません。
目次
- 1 大学生女性・八重歯・マウスピース型装置
- 2 高校生男性・八重歯・マウスピース型装置・抜歯
- 3 高校生女性・八重歯・マウスピース型装置・抜歯
- 4 高校生女性・唇側矯正装置・抜歯
- 5 20代女性・正中線不一致・マウスピース型装置
- 6 高校生女性・八重歯・マウスピース型装置
- 7 小学生男子・八重歯・マウスピース型装置
- 8 大学生女性・正中線不一致・マウスピース型装置・抜歯
- 9 20代女性・ねじれ・マウスピース型装置
- 10 20代女性・八重歯・マウスピース型装置・抜歯あり
- 11 大学生女性・マウスピース型装置・抜歯あり
- 12 大学生女性・マウスピース型装置
- 13 30代男性・マウスピース型装置・抜歯あり
- 14 30代女性・マウスピース型装置・抜歯あり
- 15 大学生女性・マウスピース型装置
- 16 大学生男性・唇側矯正装置・抜歯あり
- 17 高校生女子・唇側矯正装置アンカースクリュー
- 18 高校生女子・唇側矯正装置・アンカースクリュー
- 19 【矯正歯科治療に伴うリスクや副作用】
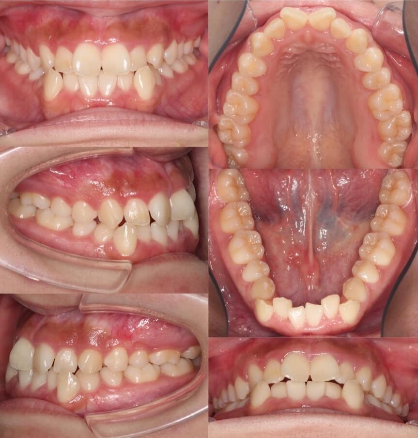
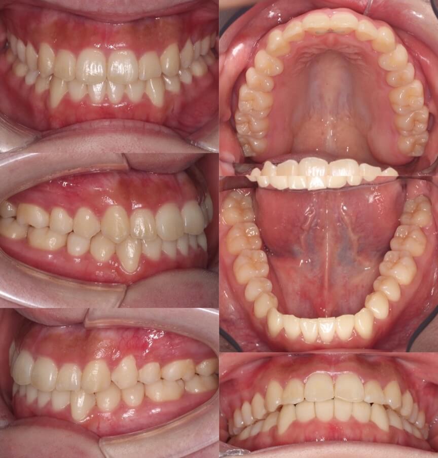
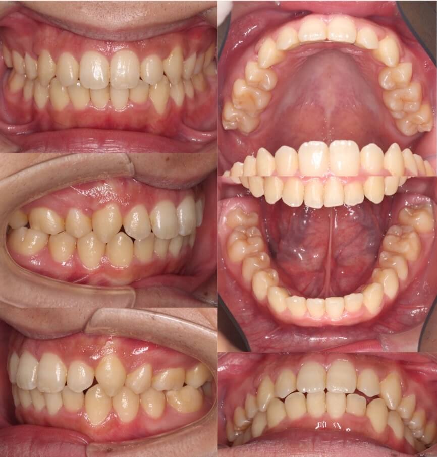
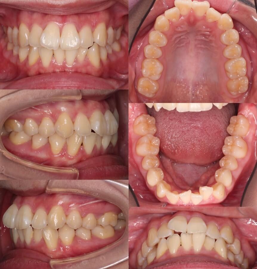
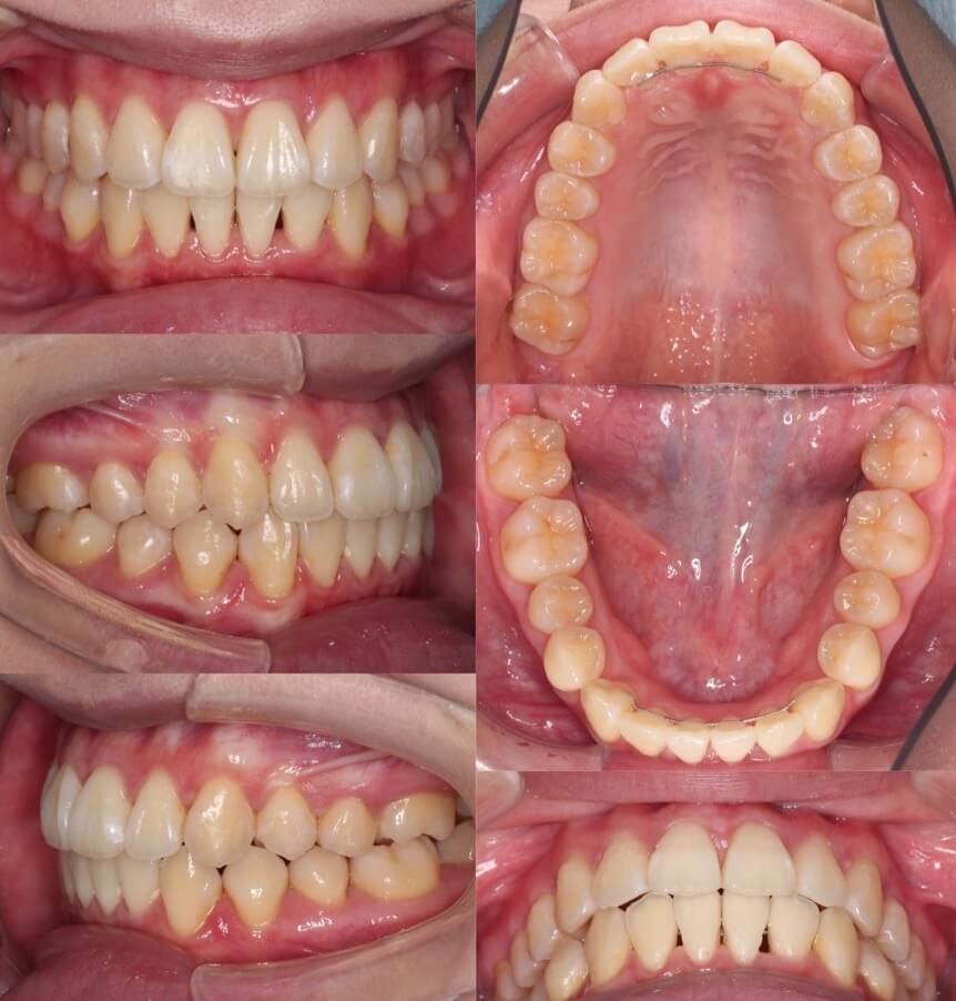
大学生女性・八重歯・マウスピース型装置

顎が前後に長いタイプであったため、上下の親知らずは抜歯せず、少し横方向に拡大もしながら並べました。
<症例概要> 難易度★★☆☆☆
主訴:前歯のふぞろい
年齢・性別:大学生女性
住まい:千葉県八千代市
症状:叢生・臼歯関係III級
治療方針:下顎後方移動・拡大・IPR
抜歯:上左右4番(計2本)
治療装置:マウスピース型矯正装置(アライナー装置)
治療期間:1年8か月
アライナー枚数:54+27ステージ
リテーナー:上下フィックスタイプ+クリアタイプ
治療費用:990,000(税込)
代表的副作用:痛み・治療後の後戻り・歯根吸収・歯髄壊死・歯肉退縮
▶︎その他の副作用
【治療シミュレーション】
下顎歯列の拡大と遠心移動にIPRを加え、外にはみ出している犬歯を中にいれていきました。
※マウスピース型カスタムメイド矯正歯科装置は完成物薬機法対象外の矯正装置であり、医薬品副作用被害救済制度の対象とはならない可能性があります。
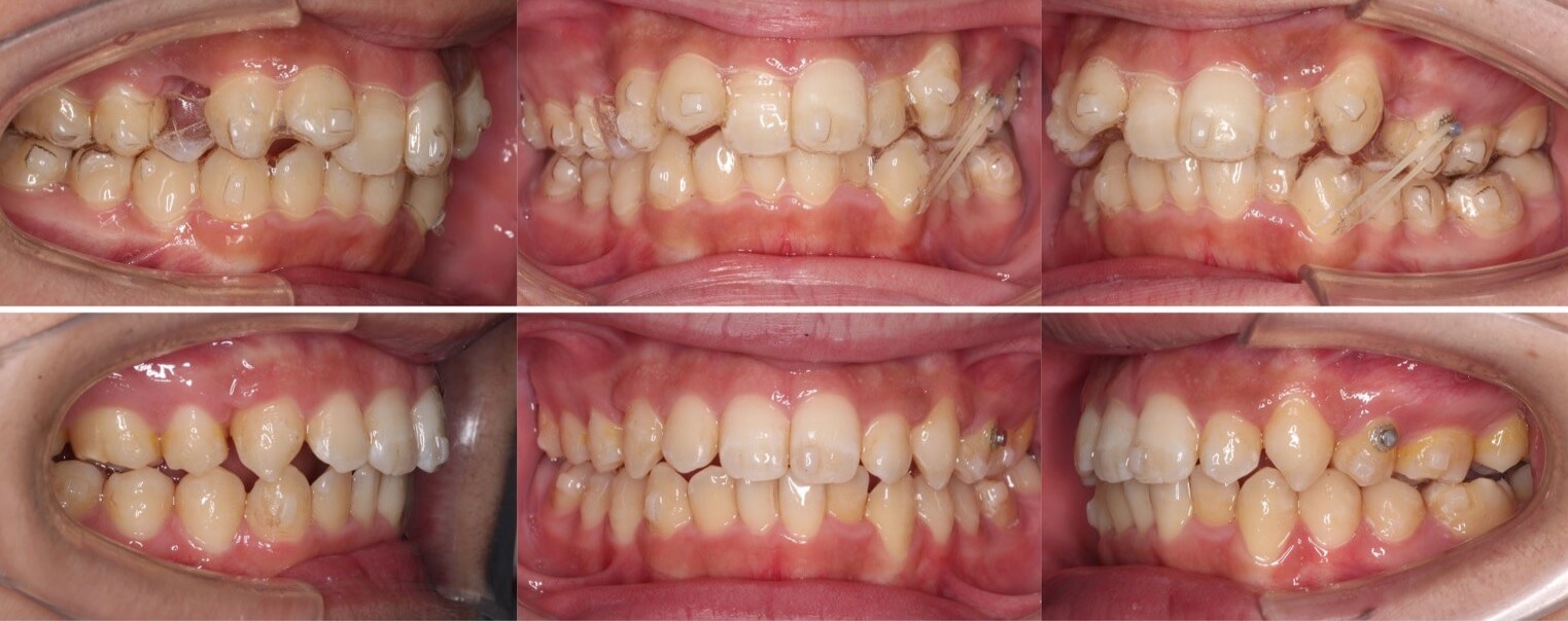
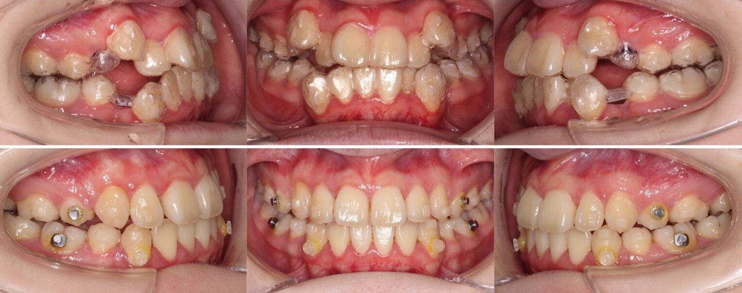
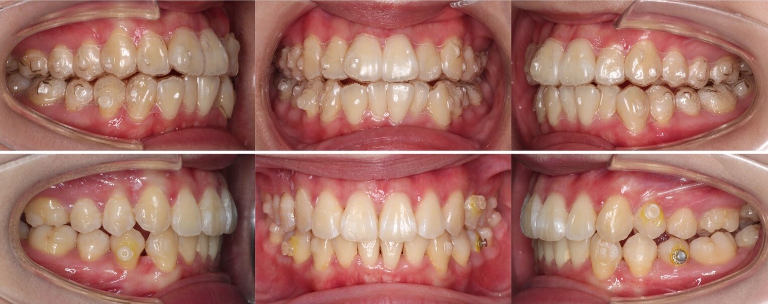
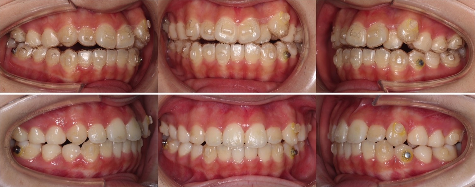
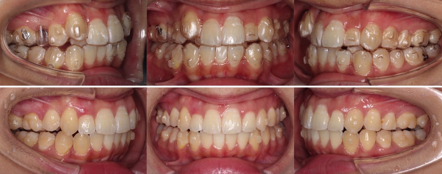
高校生男性・八重歯・マウスピース型装置・抜歯
<症例概要>
主訴:八重歯
年齢・性別:高校生男性
住まい:千葉県八千代市
症状:八重歯
治療方針:抜歯空隙閉鎖・中等度固定
抜歯:上左右4番(計2本)
治療装置:マウスピース型矯正装置(アライナー装置)
治療期間:1年5か月
アライナー枚数:43+24ステージ
リテーナー:上下フィックスタイプ+クリアタイプ
治療費用:990,000(税込)
代表的副作用:痛み・治療後の後戻り・歯根吸収・歯髄壊死・歯肉退縮
▶︎その他の副作用

歯の移動量が多い抜歯症例でも10代の患者さんの場合は比較的治療期間が短く終了することができます。
【治療シミュレーション】
上の歯列は抜歯空隙閉鎖、下の歯列は後方移動させて臼歯の噛み合わせを調整します。
※マウスピース型カスタムメイド矯正歯科装置は完成物薬機法対象外の矯正装置であり、医薬品副作用被害救済制度の対象とはならない可能性があります。
<症例概要> 難易度★★★★☆
主訴:八重歯
年齢・性別:高校生男性
住まい:千葉県八千代市
症状:叢生・上顎前突
治療方針:抜歯空隙閉鎖・左下遠心移動・IPR
抜歯:上左右4番(計2本)
治療装置:マウスピース型矯正装置(アライナー装置)
治療期間:1年5か月
アライナー枚数:43+24ステージ
リテーナー:上下フィックスタイプ+クリアタイプ
治療費用:990,000(税込)
代表的副作用:痛み・治療後の後戻り・歯根吸収・歯髄壊死・歯肉退縮
▶︎その他の副作用
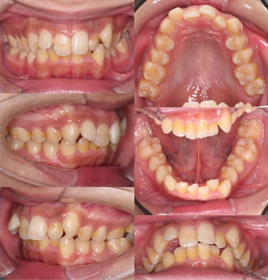
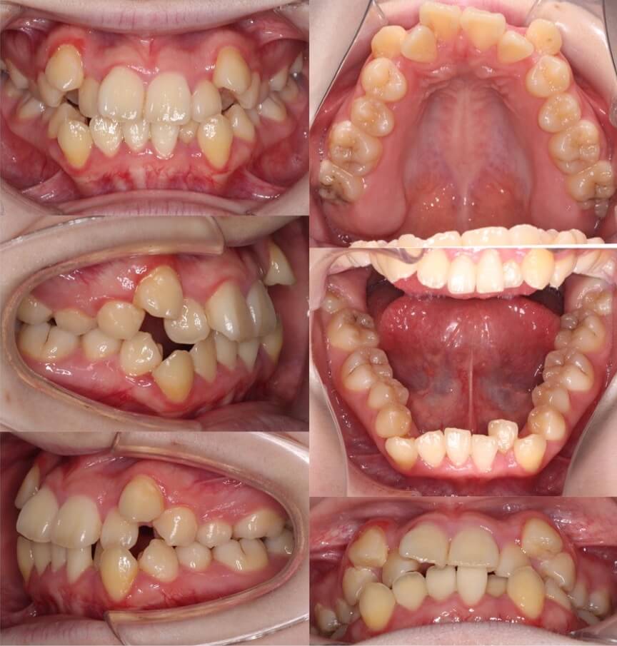
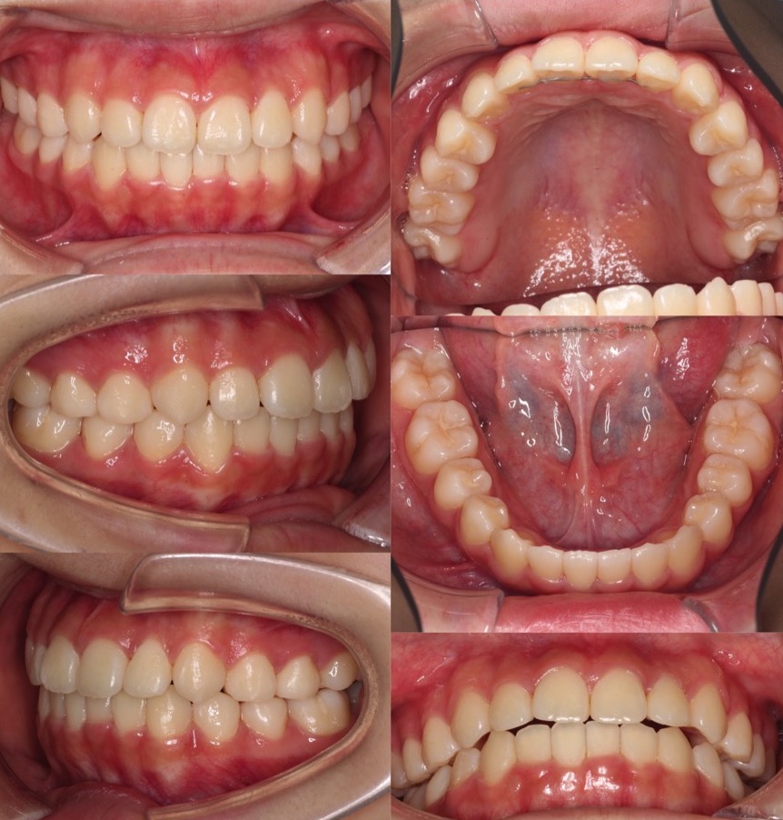
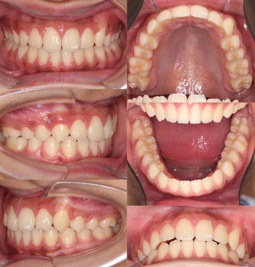
高校生女性・八重歯・マウスピース型装置・抜歯

少し治療期間はかかりましたが、患者さんの協力もあって、八重歯を根気強く顎間ゴムを使用して引っ張り、並べ切りました。歯を下方に引っ張ることが得意でないマウスピース型矯正治療では顎間ゴムは必須になります。
<症例概要> 難易度★★★★☆
主訴:八重歯
年齢・性別:大学生女性
住まい:千葉県八千代市
症状:八重歯
治療方針:抜歯空隙閉鎖・中等度固定
抜歯:上下第一小臼歯(計4本)
治療装置:マウスピース型矯正装置(アライナー装置)
治療期間:2年9か月
アライナー枚数:60+32+31+30ステージ
リテーナー:上下フィックスタイプ+クリアタイプ
治療費用:990,000(税込)
代表的副作用:痛み・治療後の後戻り・歯根吸収・歯髄壊死・歯肉退縮
▶︎その他の副作用
【治療シミュレーション】
上下の抜歯したスペースに確実に八重歯を入れ込んでいきます。
※マウスピース型カスタムメイド矯正歯科装置は完成物薬機法対象外の矯正装置であり、医薬品副作用被害救済制度の対象とはならない可能性があります。
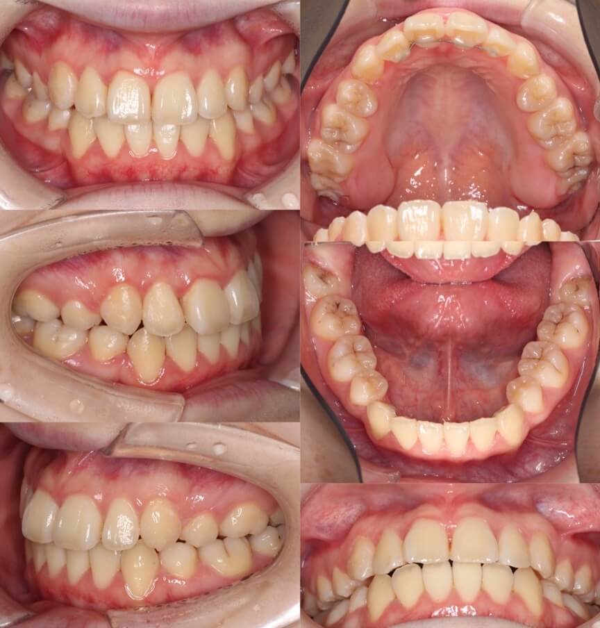
高校生女性・唇側矯正装置・抜歯

八重歯と上下の正中線の不一致があるケースです。左右の抜歯部位を変えたり、下の歯並びをIPRも併用して顎間ゴムで回転させることで正中線を上下の正中線を一致させました。骨格に大きな非対称がなかったため上手くいったケースになります。
<症例概要>
主訴:でこぼこ
年齢・性別:高校生女子
住まい:千葉県八千代市
症状:叢生・正中線不一致
治療方針:抜歯空隙閉鎖・右下後方移動・IPR
抜歯:右上第二小臼歯・左上第一小臼歯
治療装置:唇側矯正装置
治療期間:1年11か月
リテーナー:上下プレートタイプ+フィックスタイプ
治療費用:968,000(税込)
代表的副作用:痛み・治療後の後戻り・歯根吸収・歯髄壊死・歯肉退縮
▶︎その他の副作用
20代女性・正中線不一致・マウスピース型装置

ワイヤー矯正治療と異なり、マウスピース型矯正治療は上下歯列の正中線を合わせる事と得意としています。矯正治療では骨格の非対称までは変化させることはできませんが、歯列の真ん中を合わせるだけでも大分印象は変わります。
<症例概要> 難易度★★☆☆☆
主訴:八重歯
年齢・性別:20代女性
住まい:千葉船橋市
症状:正中線の不一致・前歯のねじれ
治療方針:左上後方移動・左下前方移動・ストリッピング
治療装置:マウスピース型矯正装置(アライナー装置)
治療期間:1年10か月
アライナー枚数:38+28+25ステージ
リテーナー:上下フィックスタイプ+クリアタイプ
治療費用:990,000(税込)
代表的副作用:痛み・治療後の後戻り・歯根吸収・歯髄壊死・歯肉退縮
▶︎その他の副作用
【治療シミュレーション】
上は後方移動、下は前方移動をさせながら正中線を一致させます。
※マウスピース型カスタムメイド矯正歯科装置は完成物薬機法対象外の矯正装置であり、医薬品副作用被害救済制度の対象とはならない可能性があります。
高校生女性・八重歯・マウスピース型装置

左側の片側のみに八重歯があり、上下の正中線が不一致となっている症例です。前歯のかみ合わせも上下がしっかりと当たるようになり健康な歯並びになりました。
<症例概要> 難易度★★★☆☆
主訴:八重歯
年齢・性別:高校生女性
住まい:千葉八千代市
症状:叢生・正中線の不一致
治療方針:上顎後方移動・IPR
治療装置:マウスピース型矯正装置(アライナー装置)
治療期間:1年7か月
アライナー枚数:49+16+15ステージ
リテーナー:上下+クリアタイプ
治療費用:990,000(税込)
代表的副作用:痛み・治療後の後戻り・歯根吸収・歯髄壊死・歯肉退縮
▶︎その他の副作用
【治療シミュレーション】
顎間ゴムを使用して、左上にスペースを作り八重歯を下ろしてきました。
※マウスピース型カスタムメイド矯正歯科装置は完成物薬機法対象外の矯正装置であり、医薬品副作用被害救済制度の対象とはならない可能性があります。
小学生男子・八重歯・マウスピース型装置

同じ小学生高学年でも、歯の生え変わりが早い場合は、全体の矯正治療を行なっていくことが可能です。この場合は、マウスピース型矯正装置の使用時間の確認や交換時期などを保護者の方が管理していただく必要があります。
<症例概要> 難易度★★☆☆☆
主訴:八重歯
年齢・性別:小学生高学年
住まい:千葉八千代市
症状:叢生・左II級
治療方針:左上後方移動・IPR
治療装置:マウスピース型矯正装置(アライナー装置)
治療期間:1年8か月
アライナー枚数:40+23ステージ
リテーナー:上下+クリアタイプ
治療費用:990,000(税込)
代表的副作用:痛み・治療後の後戻り・歯根吸収・歯髄壊死・歯肉退縮
▶︎その他の副作用
【治療シミュレーション】
顎間ゴムを使用して、左上にスペースを作り八重歯を下ろしてきました。
※マウスピース型カスタムメイド矯正歯科装置は完成物薬機法対象外の矯正装置であり、医薬品副作用被害救済制度の対象とはならない可能性があります。
大学生女性・正中線不一致・マウスピース型装置・抜歯

正中線は上の歯列がズレている場合、スマイル時に非常に気になります。今回は変則的に1本だけ抜歯行い上手くお顔の正中と歯列の正中を合わせることに成功しました。下の歯列の正中は少し右に流れてしまいましたが、許容範囲かと思います。
<症例概要> 難易度★★★☆☆
主訴:八重歯
年齢・性別:大学生女性
住まい:千葉県千葉市
症状:八重歯・上の正中線のズレ
治療方針:右上抜歯空隙閉鎖・左上と右下後方移動・ストリッピング
抜歯:右上第二小臼歯
治療装置:マウスピース型矯正装置(アライナー装置)
治療期間:2年5か月
アライナー枚数:60+43+40ステージ
リテーナー:上下フィックスタイプ+クリアタイプ
治療費用:990,000(税込)
代表的副作用:痛み・治療後の後戻り・歯根吸収・歯髄壊死・歯肉退縮
▶︎その他の副作用
【治療シミュレーション】
IPRを加えながら、左上と右下の後方移動を行い、上下の正中線を合わせていく治療計画です。
※マウスピース型カスタムメイド矯正歯科装置は完成物薬機法対象外の矯正装置であり、医薬品副作用被害救済制度の対象とはならない可能性があります。
20代女性・ねじれ・マウスピース型装置

<顔のビフォーアフター>





<症例概要>
主訴:八重歯
年齢・性別:20代女性
住まい:千葉県佐倉市
症状:叢生・翼状捻転
治療方針:歯列拡大・ストリッピング
治療装置:マウスピース型矯正装置(アライナー装置)
治療期間:1年11か月
アライナー枚数:55+31+20ステージ
リテーナー:上下フィックスタイプ+クリアタイプ
治療費用:990,000(税込)
代表的副作用:痛み・治療後の後戻り・歯根吸収・歯髄壊死・歯肉退縮
▶︎その他の副作用
【治療シミュレーション】
歯列の側方拡大を十分に行なった後に、前歯のねじれの改善を行う計画です。
※マウスピース型カスタムメイド矯正歯科装置は完成物薬機法対象外の矯正装置であり、医薬品副作用被害救済制度の対象とはならない可能性があります。

翼状捻転(よくじょうねんてん)といって、前歯が八の字に開きながら外側に捻れている歯並びです。奥歯から歯並びを十分広げた後に、前歯の歯並びを整えました。捻れを取るだけでも前歯が少し後に引っ込みます。
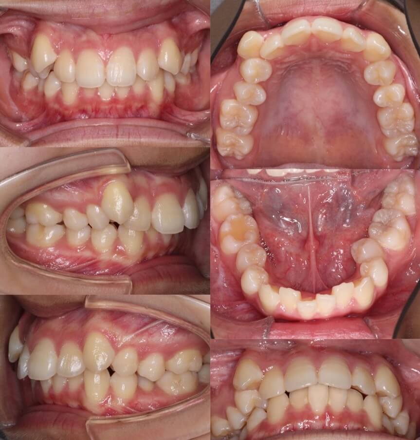
20代女性・八重歯・マウスピース型装置・抜歯あり

<顔のビフォーアフター>





<症例概要>
主訴:八重歯
年齢・性別:20代女性
住まい:千葉県我孫子市
症状:叢生・左側第二大臼歯シザースバイト
治療方針:抜歯空隙閉鎖・ストリッピング
抜歯:上両速5番(計2本)
治療装置:マウスピース型矯正装置(アライナー装置)
治療期間:2年2か月
アライナー枚数:40+14+17+18+45ステージ
リテーナー:上下フィックスタイプ+上下プレートタイプ
治療費用:990,000(税込)
代表的副作用:痛み・治療後の後戻り・歯根吸収・歯髄壊死・歯肉退縮
▶︎その他の副作用
【治療シミュレーション】
八重歯の抜歯症例は3番と4番を傾斜移動で動かすことが可能です。
※マウスピース型カスタムメイド矯正歯科装置は完成物薬機法対象外の矯正装置であり、医薬品副作用被害救済制度の対象とはならない可能性があります。

下あごの骨格のズレがあり正中線を少し傾けて一致させました。このように左右に非対称がある場合は、お顔の真ん中ちょうどに正中線を合わせる事はできません。骨格に合わせて歯列を少しカモフラージュさせて、一番自然な位置に正中線を持っていく計画を立てていきます。
大学生女性・マウスピース型装置・抜歯あり

<顔のビフォーアフター>





<症例概要>
主訴:八重歯
年齢・性別:大学生女性
住まい:千葉県八千代市
症状:叢生
治療方針:抜歯空隙閉鎖・右上後方移動・ストリッピング
抜歯:左上第二小臼歯
治療装置:マウスピース型矯正装置(アライナー装置)
治療期間:1年6か月
アライナー枚数:37+18+10+10ステージ
リテーナー:上下フィックスタイプ+上下プレートタイプ
治療費用:990,000(税込)
代表的副作用:痛み・治療後の後戻り・歯根吸収・歯髄壊死・歯肉退縮
▶︎その他の副作用
【治療シミュレーション】
片側のみ小臼歯を抜歯しうまく正中線を合わせていきます。
※マウスピース型カスタムメイド矯正歯科装置は完成物薬機法対象外の矯正装置であり、医薬品副作用被害救済制度の対象とはならない可能性があります。

八重歯が左右片方側にある場合は、上下の正中線もズレてしまいます。このようなケースは変則的に片側のみ小臼歯抜歯を行う事もあります。治療後は上下の正中線を一致させる事ができました。
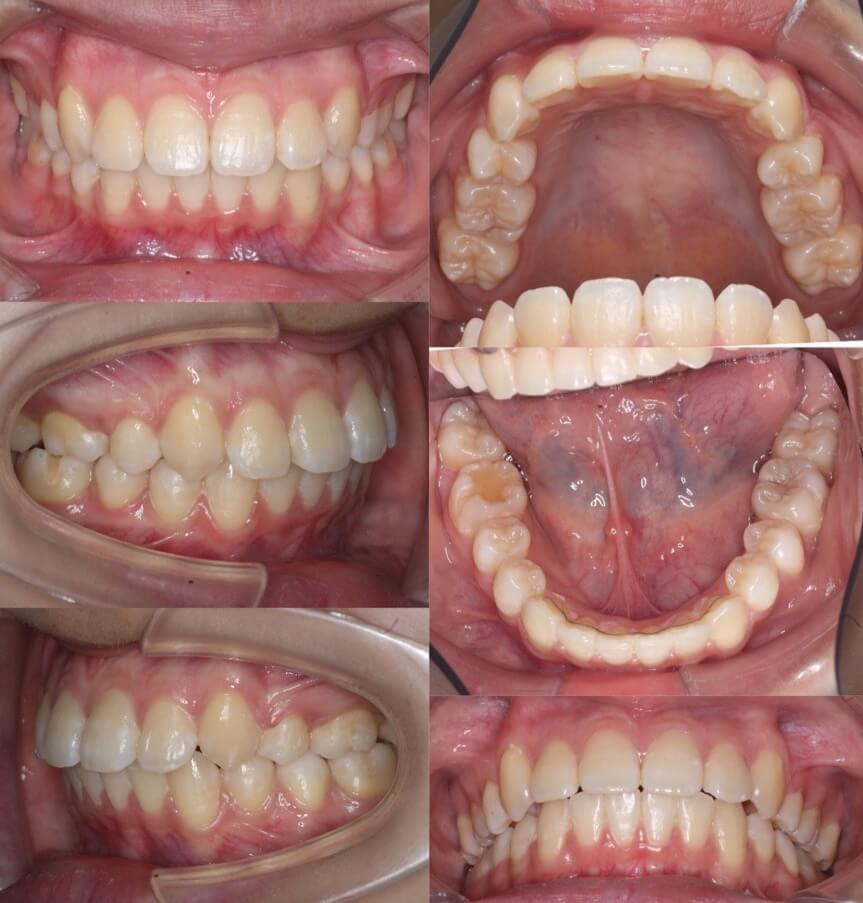
大学生女性・マウスピース型装置

<顔のビフォーアフター>





【治療シミュレーション】
10代であったので、歯の動きが良いため、一度に全ての歯並びを移動させています。
※マウスピース型カスタムメイド矯正歯科装置は完成物薬機法対象外の矯正装置であり、医薬品副作用被害救済制度の対象とはならない可能性があります。
<症例概要>
主訴:八重歯
年齢・性別:大学生女性
住まい:千葉県八千代市
症状:叢生
治療方針:上顎後方移動・上下拡大・ストリッピング
治療装置:マウスピース型矯正装置(アライナー装置)
治療期間:1年9か月
アライナー枚数:38+26+9ステージ
リテーナー:上下フィックスタイプ+上下クリアタイプ
治療費用:990,000(税込)
代表的副作用:痛み・治療後の後戻り・歯根吸収・歯髄壊死・歯肉退縮
▶︎その他の副作用

八重歯を並べるスペースを、歯並びの奥行きを広げる「後方移動」、狭い歯列を広げる「拡大」、歯にヤスリをかける「ストリッピング」を併用して作りました。条件にもよりますが、歯1歯分程度のスペース不足であれば、このように抜歯をしなくても矯正治療を行う事ができる事があります。
30代男性・マウスピース型装置・抜歯あり

<顔のビフォーアフター>





<症例概要>
主訴:八重歯
年齢・性別:30代男性
住まい:千葉県八千代市
症状:叢生
治療方針:抜歯空隙閉鎖・ストリッピング・左下後方移動
抜歯:上両側第一小臼歯(計2本)
治療装置:マウスピース型矯正装置(アライナー装置)
治療期間:1年4か月
アライナー枚数:40+22+11ステージ
リテーナー:下フィックスタイプ+上プレートタイプ
治療費用:990,000(税込)
代表的副作用:痛み・治療後の後戻り・歯根吸収・歯髄壊死・歯肉退縮
▶︎その他の副作用
【治療シミュレーション】
上の抜歯した隙間に八重歯の犬歯を下ろしてきます。
※マウスピース型カスタムメイド矯正歯科装置は完成物薬機法対象外の矯正装置であり、医薬品副作用被害救済制度の対象とはならない可能性があります。

八重歯ケースはマウスピース型矯正装置の得意なケースです。抜歯した方が場合によって治療期間が短くなるケースもあります。1年半以内という短期間で終了できました。歯肉退縮が起きている下の前歯は多少歯肉のラインが回復させる事ができました。
30代女性・マウスピース型装置・抜歯あり

<顔のビフォーアフター>





<症例概要>
主訴:前歯の歯並びが悪い
年齢・性別:30代女性
住まい:千葉県八千代市
症状:叢生・クロスバイト
治療方針:抜歯空隙閉鎖・右下後方移動・ストリッピング
抜歯:右上第一小臼歯
治療装置:マウスピース型矯正装置(アライナー装置)
治療期間:2年6か月
アライナー枚数:60+26+14+14ステージ
リテーナー:上下フィックスタイプ+上下クリアタイプ
治療費用:990,000(税込)
代表的副作用:痛み・治療後の後戻り・歯根吸収・歯髄壊死・歯肉退縮
▶︎その他の副作用

歯並びのアーチフォームも非対称な歯列不正であったため、右上のみの変則的な抜歯を行い、左右対象に歯列を揃えました。
大学生女性・マウスピース型装置

<顔のビフォーアフター>





<症例概要>
主訴:前歯の歯並びが悪く噛めない
年齢・性別:大学生女性
住まい:千葉県八千代市
症状:叢生・クロスバイト・軽度開咬
治療方針:上顎後方移動+ストリッピング
治療装置:マウスピース型矯正装置(アライナー装置)
治療期間:1年4か月
アライナー枚数:30+15+11ステージ
リテーナー:上フィックスタイプ+上下クリアタイプ
治療費用:990,000(税込)
代表的副作用:痛み・治療後の後戻り・歯根吸収・歯髄壊死・歯肉退縮
▶︎その他の副作用

前歯のでこぼこと上下の前歯が噛んでいない事を治したい希望でした。スペース不足は軽度であったため、治療はマウスピース型矯正装置を使用し短期間で完了する事ができました。前歯の噛み合わせの悪いケースは一番のマウスピース型矯正の適応症になります。
大学生男性・唇側矯正装置・抜歯あり

<顔のビフォーアフター>





<症例概要>
主訴:前歯の歯並び
年齢・性別:大学生男性
住まい:千葉県八千代市
症状:叢生
治療方針:抜歯空隙閉鎖(最大固定)
抜歯:上下第一小臼歯(計4本)
治療装置:唇側矯正装置
固定装置:歯科矯正アンカースクリュー(頬側x2)
治療期間:1年10か月
リテーナー:上下プレートタイプ+フィックスタイプ
治療費用:968,000(税込)
代表的副作用:痛み・治療後の後戻り・歯根吸収・歯髄壊死・歯肉退縮
▶︎その他の副作用

上下顎のでこぼこ症例です。通法通りの上下左右の第一小臼歯抜歯行い、前歯の後ろに引っ込めました。治療後の今では周りの人に矯正治療の良さを伝えてくれ、他の友人が矯正治療を考えるくらいだそうです。
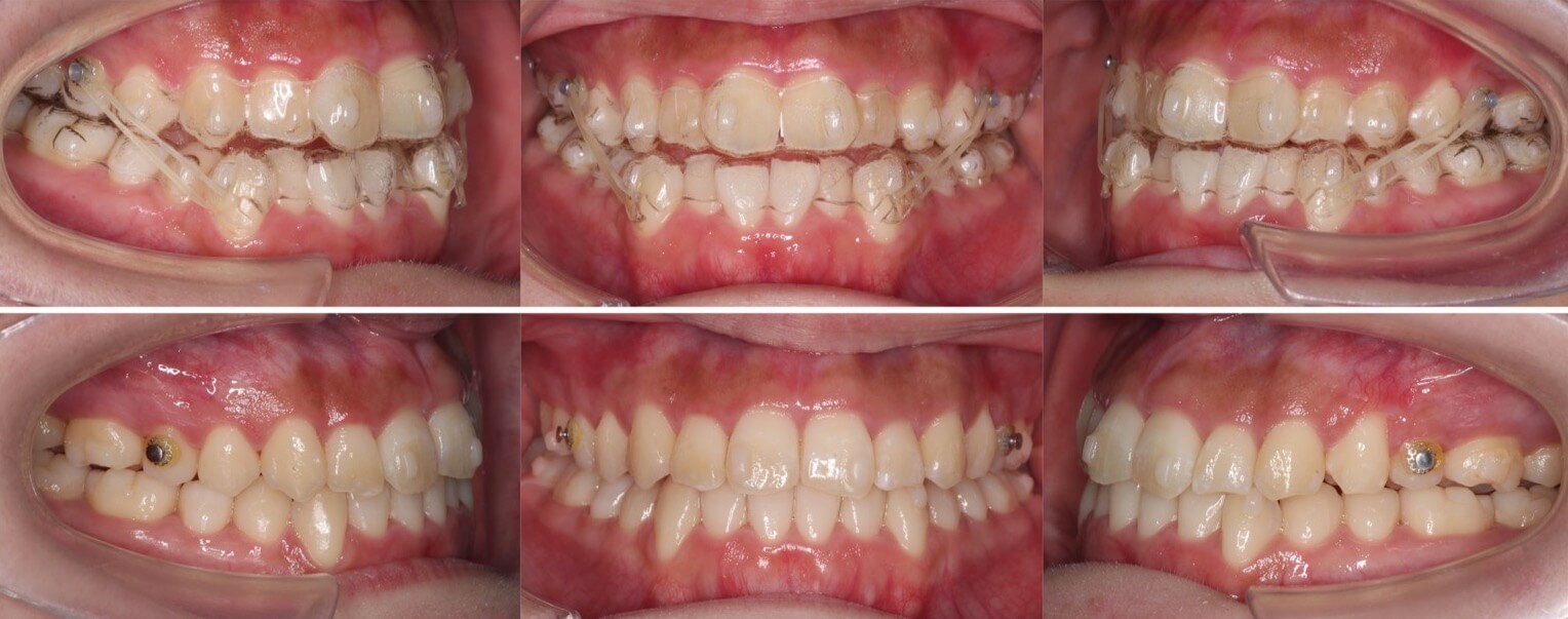
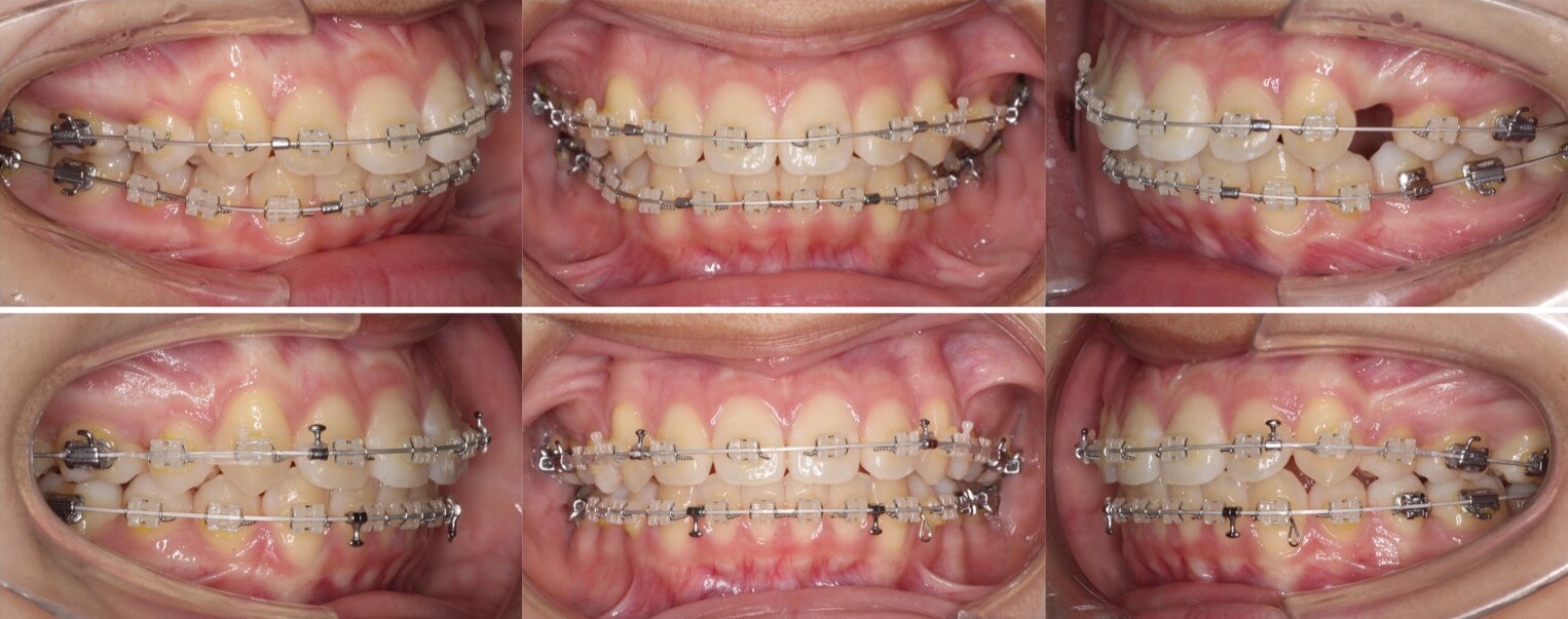
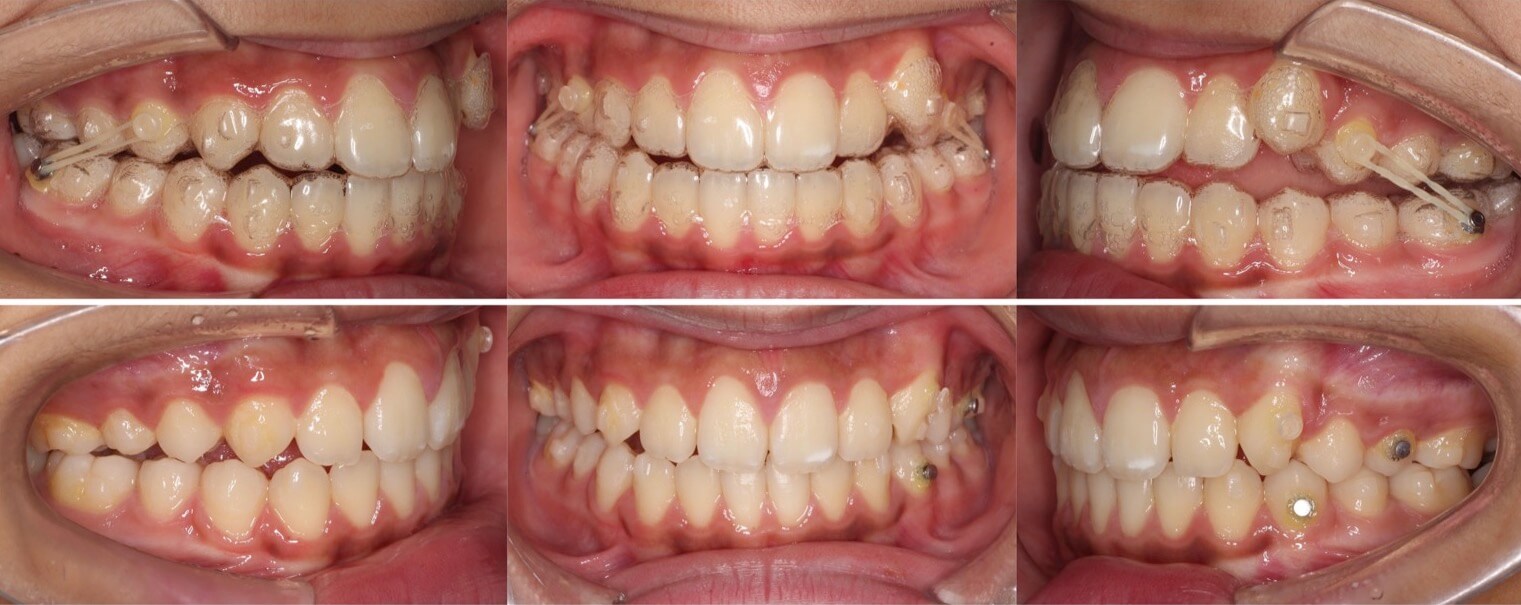
高校生女子・唇側矯正装置アンカースクリュー

<顔のビフォーアフター>





<症例概要>
主訴:でこぼこ
年齢・性別:高校生女子
住まい:千葉県八千代市
症状:著しい叢生
治療方針:上顎歯列後方移動・上下顎歯列拡大・ストリッピング
治療装置:唇側矯正装置
固定装置:歯科矯正用アンカースクリュー(口蓋側壁x2)・上下ポーター型拡大装置
抜歯:なし
治療期間:2年1か月
リテーナー:上下プレートタイプ+クリアタイプ下・フィックスタイプ
治療費用:968,000(税込)
代表的副作用:痛み・治療後の後戻り・歯根吸収・歯髄壊死・歯肉退縮
▶︎その他の副作用

著しいスペース不足による、上下顎歯列全体のデコボコです。アンカースクリューから上の奥歯を後方移動させ、歯に少しヤスリをかけて小さくするストリッピングを併用し、前歯を前に出すことなく矯正を完了する事ができました。治療後は素敵な笑顔になりました。
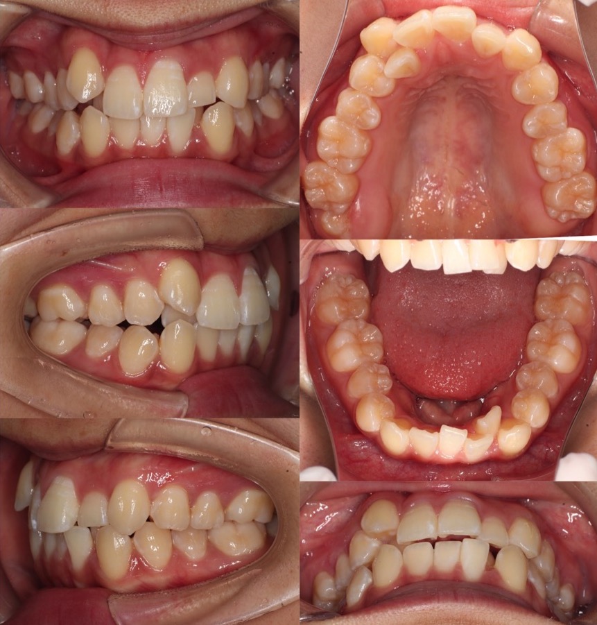
高校生女子・唇側矯正装置・アンカースクリュー





<症例概要>
主訴:八重歯
年齢・性別:15歳女性(高校生)
住まい:千葉県船橋市
症状:上下顎叢生・右側II級咬合
治療装置:唇側矯正装置
固定装置:歯科矯正アンカースクリューx1(右上頬側)
治療方針:右上奥歯の後方移動
抜歯:なし
治療期間:1年9か月
リテーナー:上プレートタイプ+下フィックスタイプ
治療費用:968,000(税込)
代表的副作用:痛み・治療後の後戻り・歯根吸収・歯髄壊死・歯肉退縮
▶︎その他の副作用

右側が八重歯になっているケースです。右上の奥歯をアンカースクリューを使用して後ろに後方移動してできたスペースに犬歯を配列しました。写真ではスクリューの使い方はわかりずらいのですが、玄人好みの治療です。歯科矯正アンカースクリューを使用する事で通常では難しい歯の動きをも能にしてくれます。
アンカースクリューは歯槽骨が安定する15歳以上の患者さんに使用しています。将来的には埋まっている親知らずは再発防止のため抜歯を推奨しています。
【矯正歯科治療に伴うリスクや副作用】
- 治療開始直後は矯正装置による不快感、痛み等があります。1、2 週間以内で慣れることが多いです。
- 歯の動き方には個人差があります。予想された治療期間が延長する可能性があります。
- 矯正装置の使用、管理、定期的な通院など、矯正治療には患者さんの協力が治療結果や治療期間に影響します。
- 治療中は、むし歯や歯周病のリスクが高まりますので、丁寧に磨いたり、定期的なメンテナンスを受けたりすることが重要です。また、歯が動くと隠れていたむし歯が発見されることもあります。
- 歯を動かすことにより歯根が吸収して短くなることがあります。また、歯ぐきが下がることがあります。
- ごくまれに歯が骨と癒着していて歯が動かないことがあります。
- ごくまれに歯を動かすことで神経が障害を受けて壊死することがあります。
- 治療途中に金属等のアレルギー症状が出ることがあります。
- 治療中に「顎関節で音が鳴る、あごが痛い、口が開けにくい」などの顎関節症状が出ることがあります。
- 治療中に状況が変わり、当初予定した治療計画を変更する可能性があります。
- 歯の形を修正したり、咬み合わせの微調整を行ったりする可能性があります。
- 矯正装置を誤飲する可能性があります。
- 矯正装置を外す時に、エナメル質に微小な亀裂が入る可能性や、かぶせ物(補綴物)の一部が破損する可能性があります。
- 治療終了後、リテーナーを指示通り使用しないと後戻りが生じる可能性が高くなります。
- 治療終了後、現在の咬み合わせに合った状態のかぶせ物(補綴物)やむし歯の治療(修復物)などをやりなおす可能性があります。
- 10代のあごの成長発育によりかみ合わせや歯並びが変化する可能性があります。
- 治療後に親知らずの影響で歯並びが変化することがあります。。加齢や歯周病等により歯を支えている骨がやせるとかみ合わせや歯並びが変化することがあります。その場合、再治療等が必要になることがあります。
- 矯正歯科治療は、一度始めると元の状態に戻すことは難しくなります。
- ※その他の副作用とリスクについて▶︎








































