
受け口【反対咬合】の矯正治療例
「受け口」は専門用語で「反対咬合」と呼びます。主に前歯の噛み合わせが上下逆の状態を指します。前歯の歯並びが逆になると、上下の歯がぶつかっていても、全く食べ物が噛めません。歯の長期的な持ちの良さという点からは、奥歯に負担がかかりやすい噛み合わせです。早期に奥歯を失いやすいとい報告もあり、矯正治療により機能回復が可能です。歯の位置のみが悪い場合は軽度であり、上下の顎の大きさのバランスが悪い場合は重度になります。小児期は上顎が小さいケースが、中学生以降は下顎が大きいケースが多いです。
治療方法は下の前歯を後方移動させ、正しい噛み合わせにします。下の歯並びを並べるスペースを作るためには、親知らずもしくは小臼歯の抜歯が必要になります。治療開始時期は、小児期の一時改善は別として、全体的な矯正治療は男子は17歳、女子は14歳以上を推奨します。12歳頃から治療開始する場合は治療後の下顎の再成長による後戻りのリスクが上がります。また、小児期で早期治療を開始しても反対咬合は、外科的矯正手術が必要になる方がいらっしゃいます。
受け口は奥歯の噛み合わせの状態からClass III(3級)と呼びます。この奥歯のかみあわせのズレの度合いによって治療方針が異なります。手術を併用しない矯正治療を行なう場合は、大きく4つの方法に分けられます。
【成人の受け口の主な矯正治療方法】
①下顎後方移動方針
下の歯列全体を後方移動させます。主に前歯の歯並びにガタガタなどの不揃いが少ないケースが適応になります。
強い固定源を必要としますので、歯科矯正用アンカースクリューを併用することが多いです。マウスピース型矯正治療ではIII級ゴムという上下のゴムを使用して改善します。まだ生えていなかったとしても治療開始前に下の親知らずを抜歯しておかなくてはなりません。
②上下顎小臼歯抜歯方針
上下小臼歯を計4本抜歯した空隙を利用して下の前歯を後方移動させます。主に前歯の歯並びに強いガタガタがあるケースが適応になります。
上の抜歯部位は、受け口改善を有利にするために4番ではなく5番になることが多いです。こちらもIII級ゴムという上下のゴムの使用が必須になります。
③下顎小臼歯抜歯方針
下小臼歯のみ抜歯し、その空隙を利用して下の前歯を後方移動させます。主に下あご大きく受け口の度合いが方が適応になります。あご自体のサイズを変化させることはできなためあまり選択されません。
この治療方針は下の親知らずも噛み合わせに参加させる方針です。すでに抜歯している場合は①の下顎遠心移動方針を選択することが多くなります。
④外科的矯正方針
全身麻酔下で下あごのサイズを小さくする外科手術を併用する矯正治療方法です。主に下あごがかなり前方に突出していたり、左右に曲がっていて非対称がある方が適応です。
健康保険が適応であり、総合病院での入院手術が必要になります。当院では行っておりませんので大学病院をご紹介いたします。
目次
- 1 【成人の受け口の主な矯正治療方法】
- 2 20代女性・唇側矯正装置・上下抜歯
- 3 20代男性・唇側矯正装置・上下抜歯
- 4 20代女性・マウスピース型装置・下後方移動
- 5 30代男性・マウスピース型装置・下後方移動
- 6 20代女性・マウスピース型装置・下後方移動
- 7 20代女性・マウスピース型矯正装置・下後方移動
- 8 大学生女性・唇側矯正装置・小臼歯4本抜歯
- 9 30代男性・マウスピース型装置・非抜歯
- 10 20代女性・マウスピース型装置・非抜歯
- 11 20代男性・マウスピース型装置・非抜歯
- 12 中学生女子・マウスピース型装置・非抜歯
- 13 高校生女性・マウスピース型装置・非抜歯
- 14 高校生男性・唇側矯正装置・小臼歯4本抜歯
- 15 20代女性・マウスピース型装置・非抜歯
- 16 30代女性・マウスピース型装置・ブリッジあり
- 17 小学生女子・マウスピース型装置・非抜歯
- 18 大学生女性・マウスピース型装置・非抜歯
- 19 小学生男子・1期治療・機能的マウスピース矯正装置
- 20 【薬機法対象外について】
- 21 【矯正歯科治療に伴うリスクや副作用】
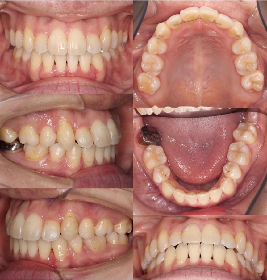
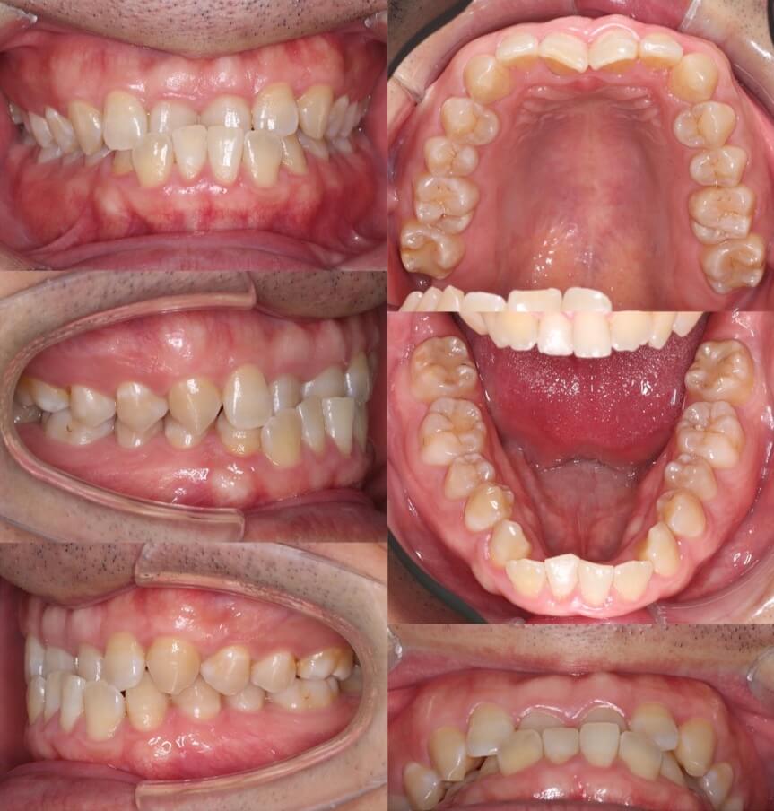
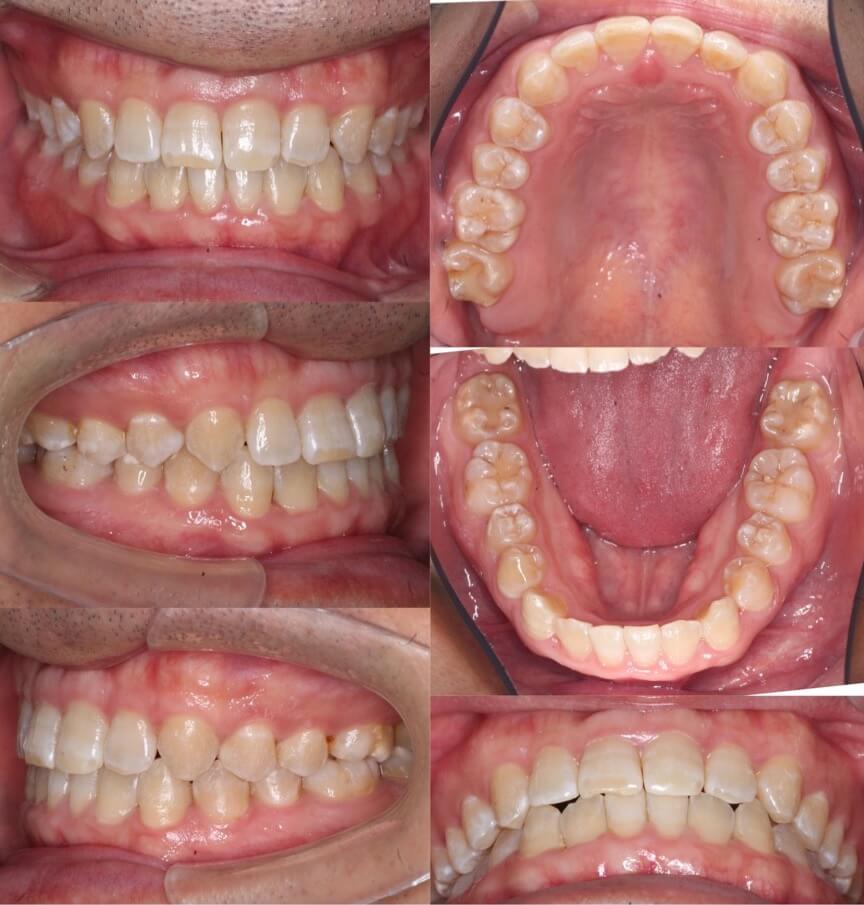
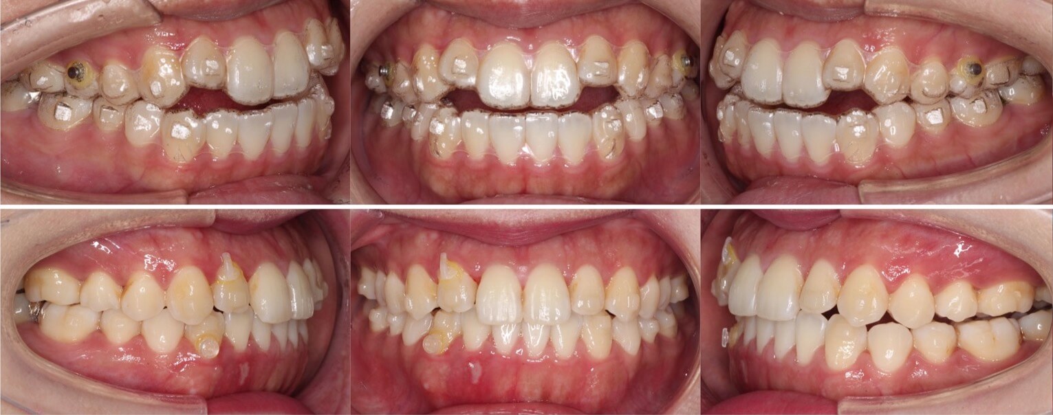
20代女性・唇側矯正装置・上下抜歯

八重歯があり上の歯並びに強いがたつきがある受け口ケースです。反対咬合で小臼歯を抜歯する際は上は5番を抜歯することが多いです。これは、上の前歯を後ろに引きすぎないようにするためです。下の歯並びには前歯の後方移動を効率化するために、2本ワイヤーを使用しています。
<症例概要> 難易度 ★★★★☆
主訴:受け口・前歯のガタガタ
年齢・性別:大学生女性
住まい:千葉県八千代市
症状:反対咬合・重度叢生
治療方針:上下小臼歯抜歯・上顎歯列拡大・空隙閉鎖
治療装置:唇側矯正装置
固定装置:上リンガルアーチ・III級顎間ゴム
抜歯:上第二小臼歯・下第一小臼歯(計4本)
治療期間:2年3か月
リテーナー:上下フィックスタイプ+プレートタイプ
治療費用:990,000(税込)
代表的副作用:痛み・治療後の後戻り・歯根吸収・歯髄壊死・歯肉退縮
▶︎その他の副作用
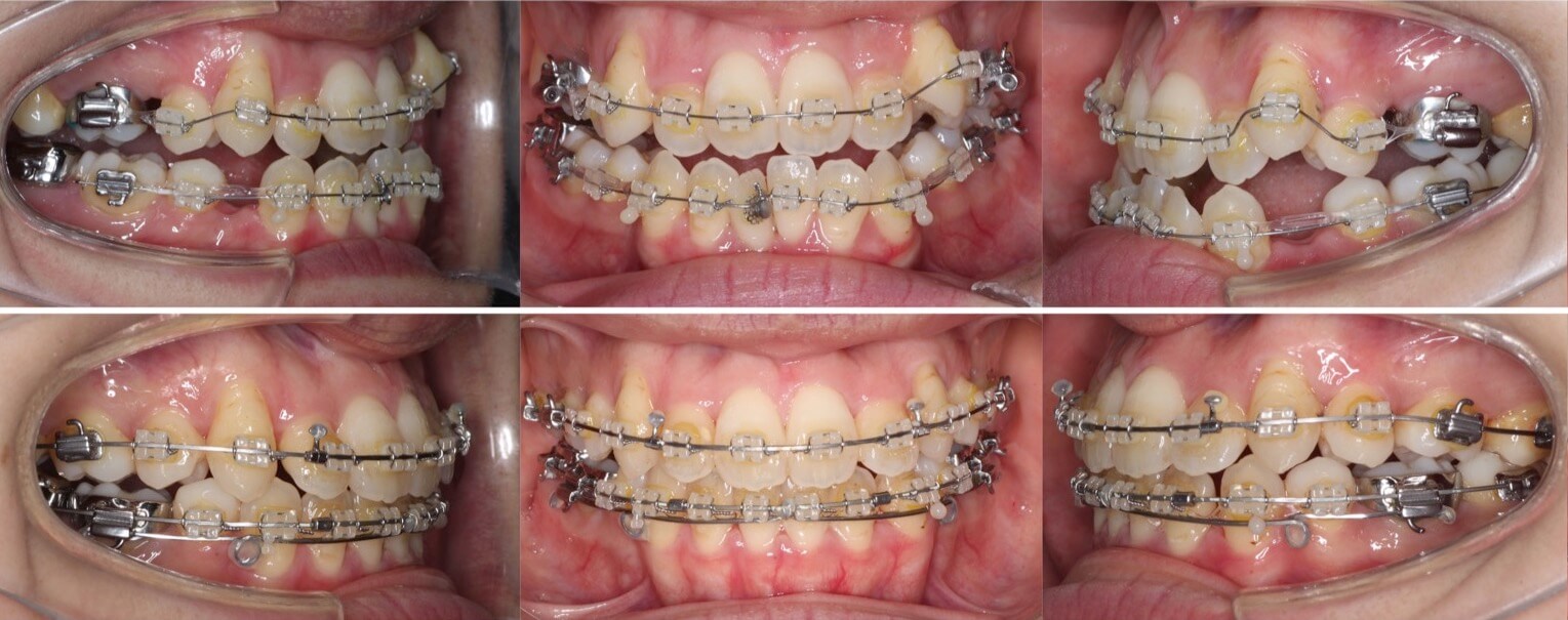
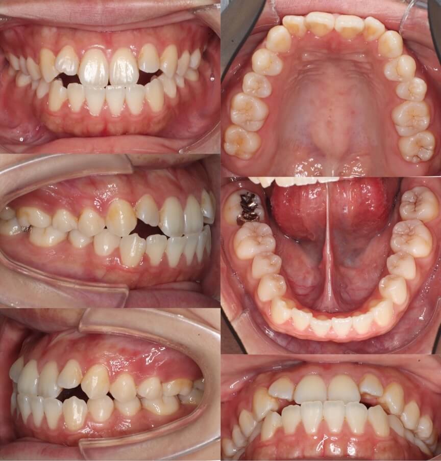
20代男性・唇側矯正装置・上下抜歯

前歯は完全に反対咬合になってはいないのですが、下あごが大きく切端咬合になっているケースです。片側に八重歯があり正中線がずれています。抜歯空隙をうまく利用して改善しました。
<症例概要> 難易度 ★★★★☆
主訴:下の前歯の突出
年齢・性別:20代男性
住まい:千葉県香取郡
症状:切端咬合・重度叢生・正中線不一致
治療方針:上下小臼歯抜歯・空隙閉鎖
治療装置:唇側矯正装置
固定装置:上バイヘリックス装置・III級顎間ゴム
抜歯:上第二小臼歯・下第一小臼歯(計4本)
治療期間:2年5か月
リテーナー:上下フィックスタイプ+プレートタイプ
治療費用:968,000(税込)
代表的副作用:痛み・治療後の後戻り・歯根吸収・歯髄壊死・歯肉退縮
▶︎その他の副作用
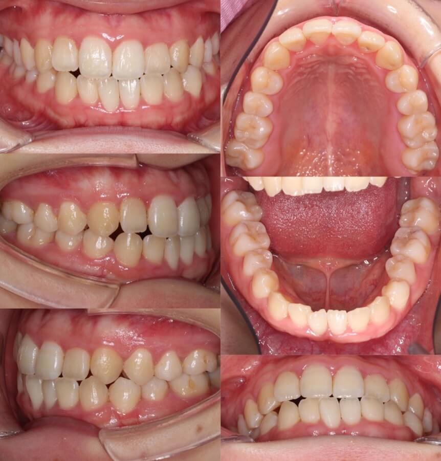
20代女性・マウスピース型装置・下後方移動

このような上下の前歯の接触が弱い開咬傾向の下顎前突は、マウスピース型矯正装置の適応症です。1年強という短期間で治療を終了することができました。
【治療シミュレーション】
下の歯列全体を後方移動させながら、奥歯を歯茎方向に沈める圧下移動を行い噛み合わせを改善しました。
※マウスピース型カスタムメイド矯正歯科装置は完成物薬機法対象外の矯正装置であり、医薬品副作用被害救済制度の対象とはならない可能性があります。
<症例概要> 難易度 ★★☆☆☆
主訴:前歯のかみ合わせ
年齢・性別:20代女性
住まい:千葉県八千代市
症状:切端咬合・開咬
治療方針:下顎後方移動・IPR
治療装置:マウスピース型矯正装置(アライナー装置)
抜歯:なし
治療期間:1年2か月
アライナー枚数:38+13ステージ
リテーナー:上下クリアタイプ+上フィックスタイプ
治療費用:990,000(税込)
代表的副作用:痛み・治療後の後戻り・歯根吸収・歯髄壊死・歯肉退縮
▶︎その他の副作用
30代男性・マウスピース型装置・下後方移動

先端咬合位をとることができる反対咬合であったため、特に治療に苦労することなく終了しました。このようなケースはワイヤー装置よりマウスピース型装置が適しています。
【治療シミュレーション】
上の前歯を前方に傾斜させ、下の歯列全体を後方移動させることで、受け口を改善しました。
※マウスピース型カスタムメイド矯正歯科装置は完成物薬機法対象外の矯正装置であり、医薬品副作用被害救済制度の対象とはならない可能性があります。
<症例概要> 難易度 ★★☆☆☆
主訴:受け口
年齢・性別:30代男性
住まい:千葉県八千代市
症状:反対咬合
治療方針:下顎後方移動・IPR
治療装置:マウスピース型矯正装置(アライナー装置)
抜歯:なし
治療期間:1年7か月
アライナー枚数:56+20ステージ
リテーナー:上下クリアタイプ
治療費用:990,000(税込)
代表的副作用:痛み・治療後の後戻り・歯根吸収・歯髄壊死・歯肉退縮
▶︎その他の副作用
20代女性・マウスピース型装置・下後方移動

前歯の開咬を併発している反対咬合です。上の左右2番目が矮小歯といって長さが短い歯であったため、マウスピースでつかむことが難しく正しい位置に並べのに苦戦しました。途中ゴムを上手く使用して上下の歯がかみ合うところまで引っ張り出すことに成功しました。
【治療シミュレーション】
下の歯並びを後方移動させる際に起きる反作用によって上下の前歯を近づけていきます。上の前歯には大きめのアタッチメントを設置しています。
※マウスピース型カスタムメイド矯正歯科装置は完成物薬機法対象外の矯正装置であり、医薬品副作用被害救済制度の対象とはならない可能性があります。
<症例概要> 難易度 ★★★☆☆
主訴:受け口
年齢・性別:20代女性
住まい:千葉県八千代市
症状:反対咬合
治療方針:下顎後方移動・IPR
治療装置:マウスピース型矯正装置(アライナー装置)
抜歯:なし
治療期間:2年1か月
アライナー枚数:53+25+10ステージ
リテーナー:上下クリアタイプ+上フィックスタイプ
治療費用:990,000(税込)
代表的副作用:痛み・治療後の後戻り・歯根吸収・歯髄壊死・歯肉退縮
▶︎その他の副作用
20代女性・マウスピース型矯正装置・下後方移動

下顎に非対称がある方は、クロスバイトとともに歯並びの上下の正中線がずれてしまうことが多くなります。このような治療は左右で非対称の移動ができるマウスピース型矯正装置が向いています。
【治療シミュレーション】
右側のみIII級ゴムを2箇所使用し、確実に下の歯並びを右側に回転させ上下の歯並びの正中線を合わせました。
※マウスピース型カスタムメイド矯正歯科装置は完成物薬機法対象外の矯正装置であり、医薬品副作用被害救済制度の対象とはならない可能性があります。
<症例概要> 難易度 ★☆☆☆☆
主訴:クロスバイト・正中線の不一致
年齢・性別:20代女性
住まい:千葉県習志野市
症状:前歯クロスバイト・下顎左偏・正中線の不一致
治療方針:右下臼歯後方移動+IPR
治療装置:マウスピース型矯正装置(アライナー装置)
治療期間:1年9か月
アライナー枚数:50+15+23(7日交換)
リテーナー:上下クリアタイプ
治療費用:990,000(税込)
代表的副作用:痛み・治療後の後戻り・歯根吸収・歯髄壊死・歯肉退縮
▶︎その他の副作用
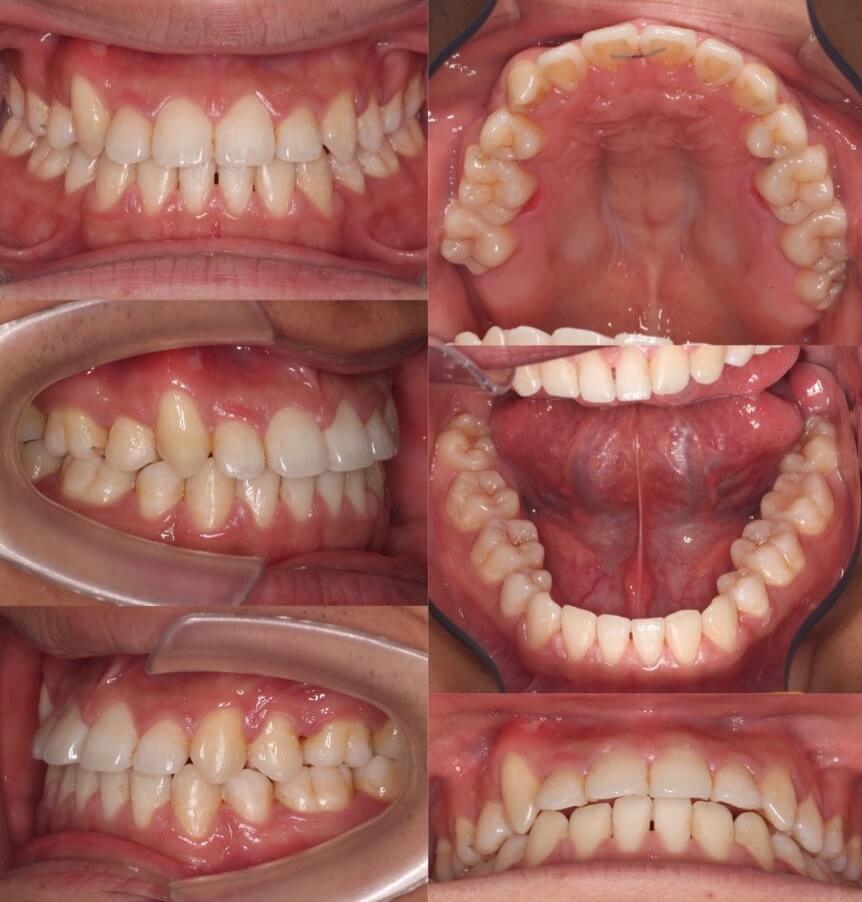
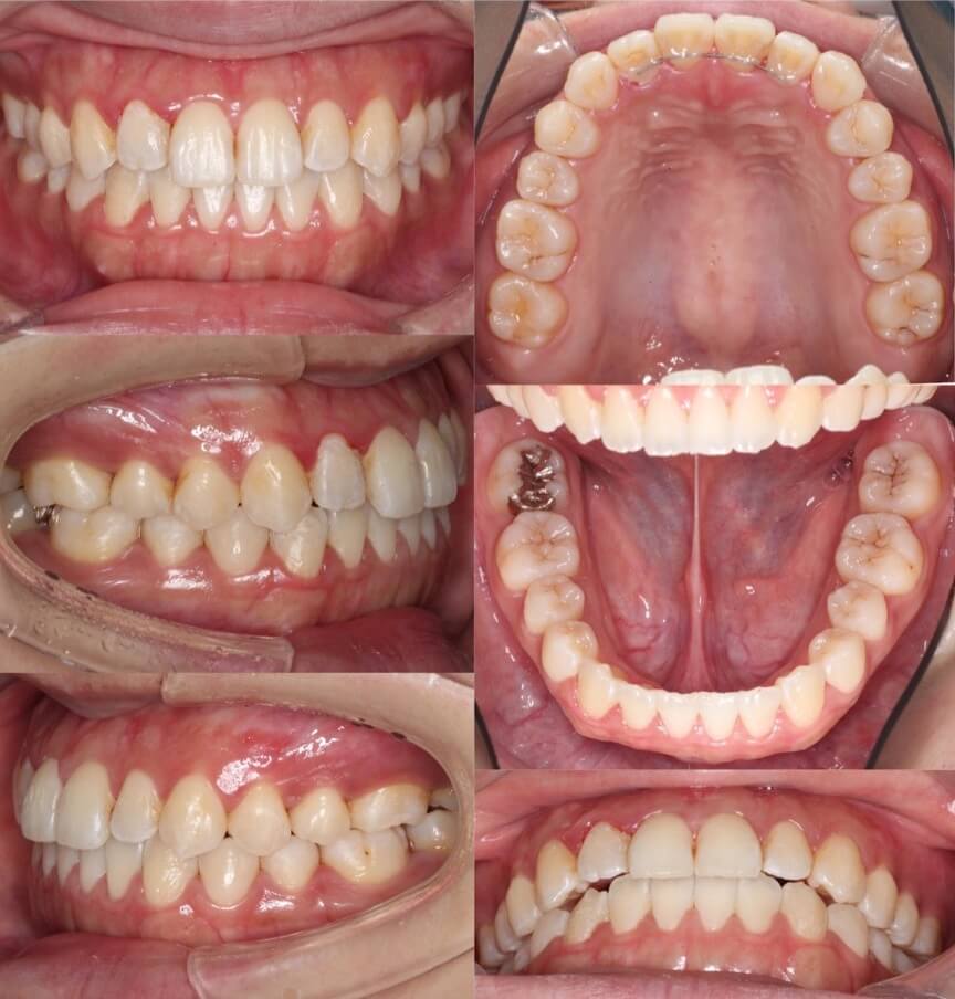
大学生女性・唇側矯正装置・小臼歯4本抜歯

<顔のビフォーアフター>





<症例概要>
主訴:受け口・前歯のガタガタ
年齢・性別:大学生女性
住まい:千葉県八千代市
症状:反対咬合・重度叢生・開咬
治療方針:上下小臼歯抜歯・空隙閉鎖
治療装置:唇側矯正装置
固定装置:上バイヘリックス装置・III級顎間ゴム
抜歯:上第二小臼歯・下第一小臼歯・下親知らず(計6本)
治療期間:2年2か月
リテーナー:上下フィックスタイプ+クリアタイプ
治療費用:968,000(税込)
代表的副作用:痛み・治療後の後戻り・歯根吸収・歯髄壊死・歯肉退縮
▶︎その他の副作用

歯が並ぶスペース不足が大きく、前歯の不揃いが強いケースです。また、上下の前歯は開咬状態になっており咀嚼障害もあります。上下小臼歯抜歯を行いできたスペースをうまく利用して前歯を並べ、III級顎間ゴムを使用し下の歯列全体を親知らずを抜歯した後方へ起こしました。非常に難しい治療方針でしたが、ご本人がゴムの使用を頑張ってくれたので予定より早く治療期間も終わり、審美的にも機能的にも良い歯並びになりました。
30代男性・マウスピース型装置・非抜歯

<顔のビフォーアフター>





<症例概要>
主訴:受け口
年齢・性別:30代男性
住まい:千葉県八千代市
症状:反対咬合
治療方針:上顎歯列前方拡大・下顎後方移動・IPR
治療装置:マウスピース型矯正装置(アライナー装置)
抜歯:なし
治療期間:1年2か月
アライナー枚数:45+14ステージ
リテーナー:上下クリアタイプ+フィックスタイプ
治療費用:990,000(税込)
代表的副作用:痛み・治療後の後戻り・歯根吸収・歯髄壊死・歯肉退縮
▶︎その他の副作用
【治療シミュレーション】
下の歯並びを奥から順番に後方移動させていきます。III級顎間ゴムをしっかりと使用していただく必要がある治療計画です。
※マウスピース型カスタムメイド矯正歯科装置は完成物薬機法対象外の矯正装置であり、医薬品副作用被害救済制度の対象とはならない可能性があります。

骨格性の要因が少ない、軽度〜中等度の反対咬合です。歯並びのガタガタも少なかったため治療期間は割と短く終わる事ができました。上の前歯が下の前歯乗り越える時は一旦噛みづらい時期がありますが、顎間ゴムをしっかりと使ってくれました。
20代女性・マウスピース型装置・非抜歯
<顔のビフォーアフター>


<症例概要>
主訴:前歯の歯並びとかみ合わせが悪い
年齢・性別:20代女性
住まい:千葉県八千代市
症状:クロスバイト・叢生
治療方針:上顎拡大・下顎歯列後方移動・IPR
治療装置:マウスピース型矯正装置(アライナー装置)
抜歯:なし
治療期間:1年3か月
アライナー枚数:38+20ステージ
リテーナー:上下クリアタイプ+フィックスタイプ
治療費用:990,000(税込)
代表的副作用:痛み・治療後の後戻り・歯根吸収・歯髄壊死・歯肉退縮
▶︎その他の副作用
【治療シミュレーション】
III級ゴムを使用して、下の前歯を一気に後方移動させ、短期間で治療を終了しました。
※マウスピース型カスタムメイド矯正歯科装置は完成物薬機法対象外の矯正装置であり、医薬品副作用被害救済制度の対象とはならない可能性があります。

クロスバイトの治療はふつう、順次遠心移動といって、下の歯並びを奥歯から順番に後方移動を行います。今回は条件が揃っていたため、III級ゴムを多く1日中使用し、短期間でクロスバイトを改善しました。
20代男性・マウスピース型装置・非抜歯

<顔のビフォーアフター>





<症例概要>
主訴:前歯のでこぼこ
年齢・性別:20代男性
住まい:千葉県佐倉市
症状:切端咬合・重度叢生
治療方針:上顎拡大・下顎歯列後方移動・IPR
治療装置:マウスピース型矯正装置(アライナー装置)
抜歯:なし
治療期間:1年10か月
アライナー枚数:61+40ステージ
リテーナー:上下クリアタイプ+フィックスタイプ
治療費用:990,000(税込)
代表的副作用:痛み・治療後の後戻り・歯根吸収・歯髄壊死・歯肉退縮
▶︎その他の副作用
【治療シミュレーション】
III級ゴムを使用して、下顎を順々に遠心移動していく方針です。
※マウスピース型カスタムメイド矯正歯科装置は完成物薬機法対象外の矯正装置であり、医薬品副作用被害救済制度の対象とはならない可能性があります。

反対咬合症例をマウスピース型矯正治療で改善する場合は、顎間ゴムと呼ばれるゴムの使用時間が非常に大切になります。マウスピース装着時は必ず併用してもらう事をお願いしました。下の歯並びは徐々に後方に動いていく事で、スペースを作っていき最後に前歯を一気に後方移動します。
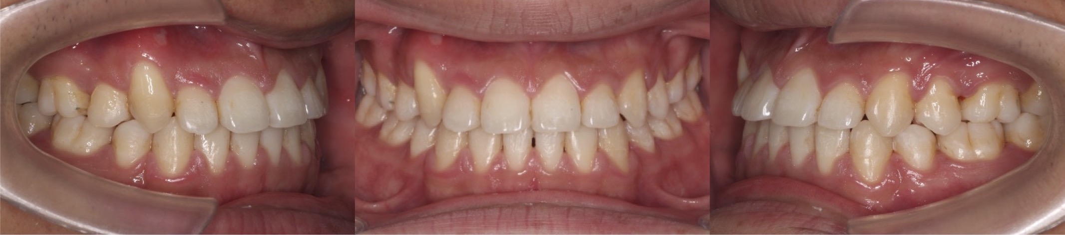
中学生女子・マウスピース型装置・非抜歯

<顔のビフォーアフター>





<症例概要>
主訴:受け口
年齢・性別:中学生女子
住まい:千葉県千葉市
症状:反対咬合・開咬
治療方針:上顎拡大・下顎歯列後方移動・IPR
治療装置:マウスピース型矯正装置(アライナー装置)
抜歯:なし
治療期間:1年1か月
アライナー枚数:38+16ステージ
リテーナー:上下クリアタイプ+フィックスタイプ
治療費用:990,000(税込)
代表的副作用:痛み・治療後の後戻り・歯根吸収・歯髄壊死・歯肉退縮
▶︎その他の副作用
【治療シミュレーション】
上の前歯に強い外向きのねじれを解消しながら前歯を前方に移動させかみ合わせを治して行きました。
※マウスピース型カスタムメイド矯正歯科装置は完成物薬機法対象外の矯正装置であり、医薬品副作用被害救済制度の対象とはならない可能性があります。

小学校の時に他院で床矯正治療を行っていた経験があるのですが、思春期の下あごの成長もあり、受け口は治らなかったそうです。成長が止まる15歳になったところで当院で再矯正治療を行いました。以前から取り外しの矯正装置を使用していたので、マウスピース型矯正装置もスムーズに使用することができました。
高校生女性・マウスピース型装置・非抜歯

<顔のビフォーアフター>





<症例概要>
主訴:受け口
年齢・性別:高校生女性
住まい:千葉県印西市
症状:下顎前突・反対咬合・叢生
治療方針:上顎拡大・下顎歯列後方移動・IPR
治療装置:マウスピース型矯正装置(アライナー装置)
抜歯:なし
治療期間:1年8か月
アライナー枚数:63+25ステージ
リテーナー:上下クリアタイプ+フィックスタイプ
治療費用:990,000(税込)
代表的副作用:痛み・治療後の後戻り・歯根吸収・歯髄壊死・歯肉退縮
▶︎その他の副作用
【治療シミュレーション】
まだ、成長期ということもあり下あご前方成長を考え、反対咬合が悪化しないように多めに下の前歯を後方移動させました。
※マウスピース型カスタムメイド矯正歯科装置は完成物薬機法対象外の矯正装置であり、医薬品副作用被害救済制度の対象とはならない可能性があります。

受け口の治療は、途中全く噛めない時期があります。それでも、その時期を越えると歯並びと噛み合わせが安定します。矯正治療後は性格も明るくなったと保護者の方がおっしゃっていました。
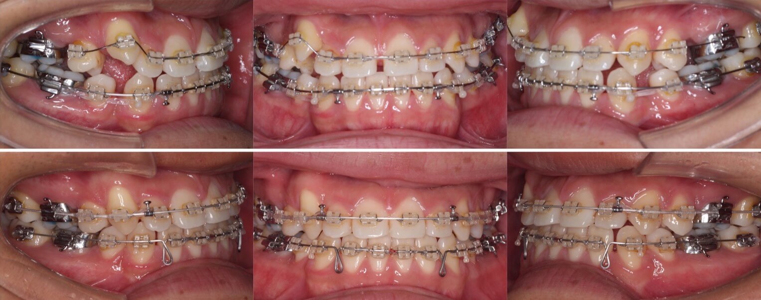
高校生男性・唇側矯正装置・小臼歯4本抜歯

<顔のビフォーアフター>





<症例概要>
主訴:受け口
年齢・性別:高校生男子
住まい:千葉県八千代市
症状:反対咬合・叢生
治療方針:抜歯空隙閉鎖
治療装置:唇側矯正装置
抜歯:上第二小臼歯・下第一小臼歯(計4本)
治療期間:2年9か月
リテーナー:上下プレートタイプ+クリアタイプ
治療費用:935,000(税込)
代表的副作用:痛み・治療後の後戻り・歯根吸収・歯髄壊死・歯肉退縮
▶︎その他の副作用

男性の場合は下あごの成長期間が長いため、受け口の本格治療は、17歳くらいから開始した方が良いと言えます。でこぼこもあったため、小臼歯抜歯も併用して矯正治療を行いました。下の前歯が後ろに引っ込み治療後の横顔はスッキリしました。
20代女性・マウスピース型装置・非抜歯


<症例概要>
主訴:受け口
年齢・性別:20代女性
住まい:千葉県鎌ヶ谷市
症状:下顎前突・反対咬合
治療方針:上顎拡大・下顎歯列後方移動・IPR
治療装置:マウスピース型矯正装置(アライナー装置)
治療期間:2年2か月
アライナー枚数:60+38+21ステージ
リテーナー:上下クリアタイプ
治療費用:990,000(税込)
代表的副作用:痛み・治療後の後戻り・歯根吸収・歯髄壊死・歯肉退縮
▶︎その他の副作用
【治療シミュレーション】
III級ゴムを使用して、奥歯から後方移動させ、最後に前歯大きく後ろに引っ込めます。
※マウスピース型カスタムメイド矯正歯科装置は完成物薬機法対象外の矯正装置であり、医薬品副作用被害救済制度の対象とはならない可能性があります。

右半分の前歯のかみ合わせが反対咬合になっているケースです。また下あごの形の非対称もあり正中線も上下であっていません。下の歯並びをIPRを加えながら後方移動させることで前歯を後ろに押し込みかみ合わせを改善しました。
30代女性・マウスピース型装置・ブリッジあり

<顔のビフォーアフター>





<症例概要>
主訴:受け口
年齢・性別:30代女性
住まい:千葉県八千代市
症状:反対咬合・左上ブリッジあり
治療方針:下顎歯列後方移動・IPR
治療装置:マウスピース型矯正装置(アライナー装置)
抜歯:下親知らず(計2本)
治療期間:1年11か月
アライナー枚数:60+23+22ステージ
リテーナー:上下ホーレータイプ
治療費用:990,000(税込)
代表的副作用:痛み・治療後の後戻り・歯根吸収・歯髄壊死・歯肉退縮
▶︎その他の副作用
【治療シミュレーション】
ブリッジの場所は、歯を動かさない設定にして下の前歯を後方移動させました。
※マウスピース型カスタムメイド矯正歯科装置は完成物薬機法対象外の矯正装置であり、医薬品副作用被害救済制度の対象とはならない可能性があります。

反対咬合は、奥歯に負担がかかるため、患者さんの奥歯は治療歯が多くダメージを受けている状態でした。受け口がコンプレックスで、人前で上手く笑えないとおっしゃっていた患者さんも、治療終了後は満面の笑みになってくれました。
小学生女子・マウスピース型装置・非抜歯

<顔のビフォーアフター>





<症例概要>
主訴:受け口
年齢・性別:小学生高学年
住まい:千葉県佐倉市
症状:左上5番転位・反対咬合
治療方針:上顎歯列拡大・下顎歯列後方移動
治療装置:マウスピース型矯正装置(アライナー装置)
治療期間:1年11か月
アライナー枚数:50+18+18ステージ
リテーナー:上プレートタイプ
治療費用:990,000(税込)
代表的副作用:痛み・治療後の後戻り・歯根吸収・歯髄壊死・歯肉退縮
▶︎その他の副作用
【治療シミュレーション】
上の歯並びを拡大し、内側に入っていた小臼歯を外側に移動させました。
※マウスピース型カスタムメイド矯正歯科装置は完成物薬機法対象外の矯正装置であり、医薬品副作用被害救済制度の対象とはならない可能性があります。

マウスピース型矯正装置のみで、受け口を改善する事ができました。マウスピースの使用は小学生で骨も柔らかくまだ歯の動きも良いと判断し、1日16時間使用で進めていきました。治療後は、上手く前歯で食べ物が食べられるようになり、顔つきも大きく変化させる事ができました。
大学生女性・マウスピース型装置・非抜歯





<症例概要>
主訴:受け口
年齢・性別:大学生女性
住まい:千葉県八千代市
症状:反対咬合・叢生
治療方針:下顎歯列後方移動・ストリッピング
治療装置:マウスピース型矯正装置(アライナー装置)
治療期間:1年7か月
アライナー枚数:60+13ステージ
リテーナー:上下フィックスタイプ+ホーレータイプ
治療費用:990,000(税込)
代表的副作用:痛み・治療後の後戻り・歯根吸収・歯髄壊死・歯肉退縮
▶︎その他の副作用
【治療シミュレーション】
III級ゴムの反作用を利用して上の前歯を前方移動も行い反対咬合を改善します。
※マウスピース型カスタムメイド矯正歯科装置は完成物薬機法対象外の矯正装置であり、医薬品副作用被害救済制度の対象とはならない可能性があります。

反対咬合の改善には、顎間ゴムという取り外しの輪ゴムを歯に指示通り使用していただく事が非常に大切です。この使用状況が、治療期間短縮のキーポイントになります。奥歯のかみ合わせを3級という状態から1級という正常なかみ合わせに改善する事ができました。
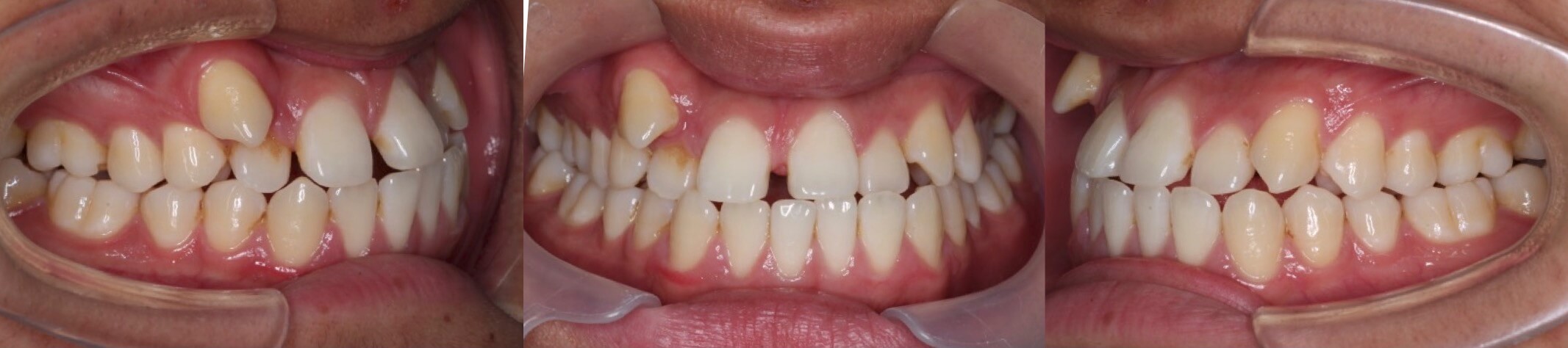
小学生男子・1期治療・機能的マウスピース矯正装置





<症例概要>
主訴:受け口
年齢・性別:8歳男子
住まい:千葉県八千代市
症状:反対咬合
治療方針:前歯部の早期接触除去
治療装置:機能的マウスピース矯正装置(プレオルソ)
管理期間:2年1か月(1期)
リテーナー:なし
治療費用:440,000(税込)
代表的副作用:痛み・治療後の後戻り・歯根吸収・歯髄壊死・歯肉退縮
▶︎その他の副作用

機能的マウスピース矯正装置(プレオルソ)を使用して、2か月で前は正しいかみ合わせ(2枚目の写真の状態)になりました。その後、下顎の成長をある程度観察し、1期治療のみで終了しました。6年生の学校歯科検診では小学校の代表として表彰されたそうです。
【薬機法対象外について】
- マウスピース型矯正治療(インビザライン)を希望の方は必ずお読み下さい。
- マウスピース型矯正装置(インビザライン)は医薬品医療機器等法(薬機法)の承認を受けいていない未承認医薬品です。
- マウスピース型矯正装置(インビザライン)はアライン・テクノロジー社の製品であり、インビザライン・ジャパン社を介して入手しています。国内にもマウスピース型矯正装置として医薬品医療機器等法(薬機法)の承認を受けいているものは複数存在します。
- マウスピース型矯正装置(インビザライン)は1998年にFDA(米国食品医薬品局)により医療機器として認証を受けています。
- マウスピース型矯正装置(インビザライン)は完成物薬機法対象外の矯正歯科装置であり、ごく希ですが、副作用が起きてしまった場合などは承認薬品を対象とする医薬品副作用被害救済制度の対象外となる場合があります。
【矯正歯科治療に伴うリスクや副作用】
- 治療開始直後は矯正装置による不快感、痛み等があります。1、2 週間以内で慣れることが多いです。
- 歯の動き方には個人差があります。予想された治療期間が延長する可能性があります。
- 矯正装置の使用、管理、定期的な通院など、矯正治療には患者さんの協力が治療結果や治療期間に影響します。
- 治療中は、むし歯や歯周病のリスクが高まりますので、丁寧に磨いたり、定期的なメンテナンスを受けたりすることが重要です。また、歯が動くと隠れていたむし歯が発見されることもあります。
- 歯を動かすことにより歯根が吸収して短くなることがあります。また、歯ぐきが下がることがあります。
- ごくまれに歯が骨と癒着していて歯が動かないことがあります。
- ごくまれに歯を動かすことで神経が障害を受けて壊死することがあります。
- 治療途中に金属等のアレルギー症状が出ることがあります。
- 治療中に「顎関節で音が鳴る、あごが痛い、口が開けにくい」などの顎関節症状が出ることがあります。
- 治療中に状況が変わり、当初予定した治療計画を変更する可能性があります。
- 歯の形を修正したり、咬み合わせの微調整を行ったりする可能性があります。
- 矯正装置を誤飲する可能性があります。
- 矯正装置を外す時に、エナメル質に微小な亀裂が入る可能性や、かぶせ物(補綴物)の一部が破損する可能性があります。
- 治療終了後、リテーナーを指示通り使用しないと後戻りが生じる可能性が高くなります。
- 治療終了後、現在の咬み合わせに合った状態のかぶせ物(補綴物)やむし歯の治療(修復物)などをやりなおす可能性があります。
- 10代のあごの成長発育によりかみ合わせや歯並びが変化する可能性があります。
- 治療後に親知らずの影響で歯並びが変化することがあります。。加齢や歯周病等により歯を支えている骨がやせるとかみ合わせや歯並びが変化することがあります。その場合、再治療等が必要になることがあります。
- 矯正歯科治療は、一度始めると元の状態に戻すことは難しくなります。
- ※その他の副作用とリスクについて▶︎




































