
上下顎前突(口ゴボ)の矯正治療例
上下顎前突とは、上下の顎に対して前歯が標準より前方に位置している状態です。出ている前歯が邪魔をして上手く口を閉じる事ができません。「ゴボ口」と呼ばれたりもしています。特徴として、頑張って口を閉じると、筋肉の過緊張により下唇の下にシワができます。また、横顔が口元が突出した状態でもあり審美的な問題も強い歯並びになります。鼻と顎を結んだ線であるEラインから大きく口元が突出しています。口ゴボは大きく分けると以下の4つのタイプに分かれます。
①前歯傾斜型…前歯が前開きになっているため口元が突出しています。
②下あご後退型…あご先がないため、イーラインが作れません。
③上あご突出型…鼻下が歯茎から盛り上がりガミースマイルを伴います。
④美容的改善型…本人は気にしているが、見る人によっては正常と感じます。

「横顔を変えたい」という方の多くは②が多いです。このケースは口元が下がり過ぎるというリスクも少ないです。一方、④は矯正治療で横顔を改善するかよく考える必要があります。デメリットもあるため治療を勧めないこともあります。
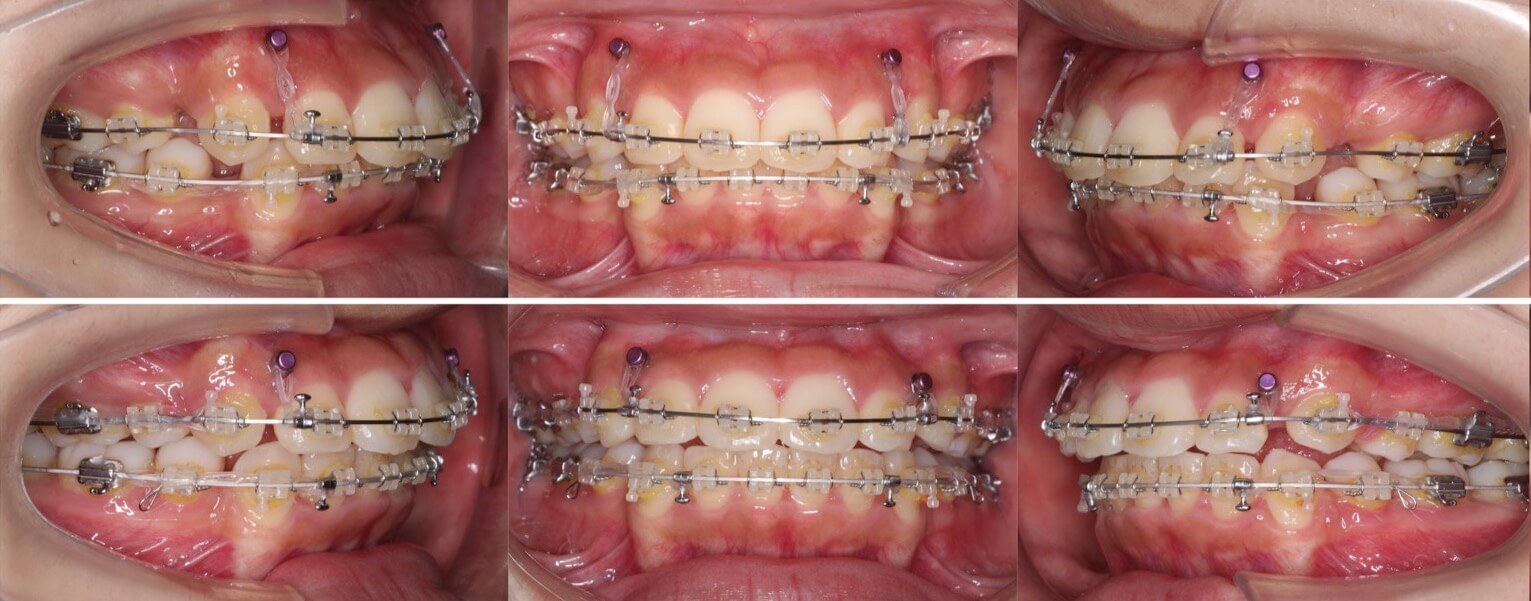
いずれのタイプも、矯正治療方法は上下の第一小臼歯を計4本抜歯し、そのスペースに出ている前歯を押し込むという治療方法が第一選択になります。歯の移動量が大きいため、アンカレッジといって前歯を後ろに引くため固定源に注意する必要があり、治療期間は他の歯並びと比較して長くかかる傾向にあります。
遺伝的な要素が強い歯並びですので、成長誘導を行う小児矯正(1期治療)の効果は少ないと言えます。永久歯列になる中学生以降まで治療開始は待機する方が望ましいです。
目次
- 1 「ガミースマイルも改善」 20代女性・唇側矯正・上あご突出型
- 2 「男性は顔が引き締まる」 高校生男性・唇側矯正装置・下あご後退型
- 3 「開咬ならマウスピースも可能」 20代女性・マウスピース型装置・前歯傾斜型
- 4 「美容目的にはリスクが伴う」 20代女性・マウスピース型装置・美容改善型
- 5 「あご先ができた」 大学生女性・唇側矯正・下あご後退型
- 6 「目立たず口ゴボ改善」 20代女性・ハーフリンガル装置・前歯傾斜型
- 7 「口元は下がるがほうれい線は増える」 20代女性・マウスピース型装置・美容的改善型
- 8 「親知らずは抜歯せず並べる」 大学生女性・マウスピース型装置・前歯傾斜型
- 9 「マウスピースの後方移動の限界」 20代女性・マウスピース型装置・下あご後退型
- 10 「スマイル時の歯の露出量は減る」 大学生女性・唇側矯正装置・前歯傾斜型
- 11 「前歯の角度が変化」 20代女性・ハーフリンガル装置・下あご後退型
- 12 「顔のサイズが小さくなる」 大学生女性・ハーフリンガル装置・前歯傾斜型装置・下あご後退型
- 13 高校生女子・ハーフリンガル装置・下あご後退型
- 14 高校生女子・唇側矯正装置・前歯傾斜型
- 15 高校生女子・唇側矯正装置・下あご後退型
- 16 小学生女子・唇側矯正装置・下あご後退型
- 17 小学生女子・唇側矯正装置・前歯傾斜型
- 18 【矯正歯科治療に伴うリスクや副作用】
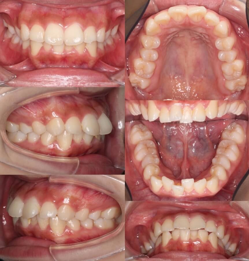
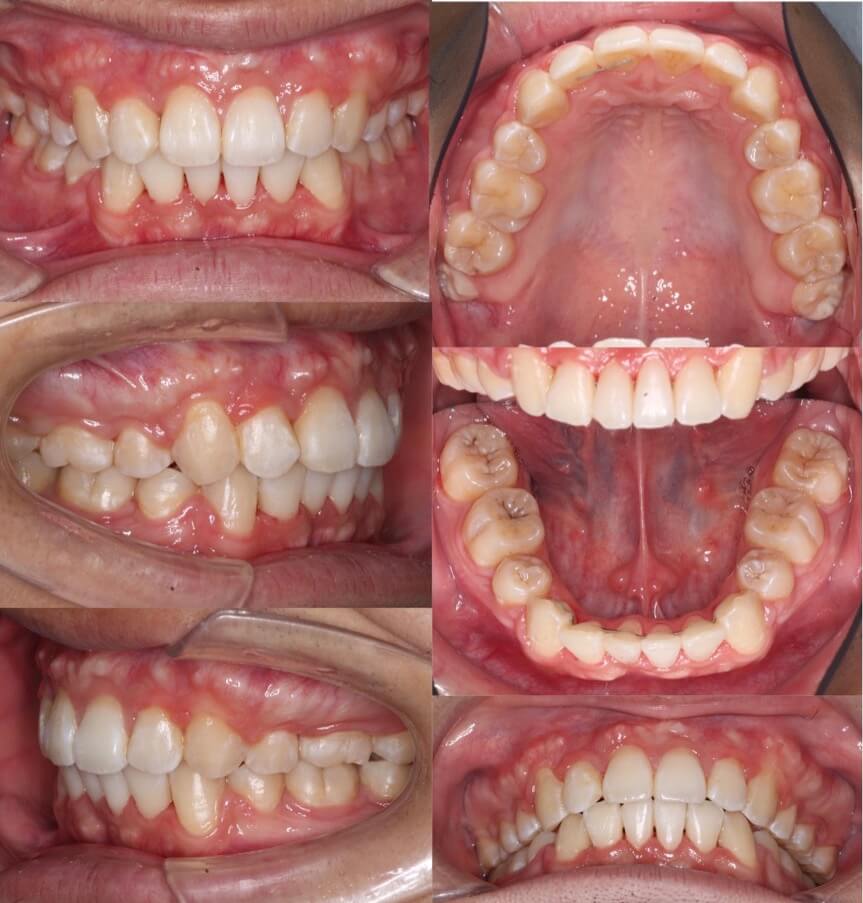
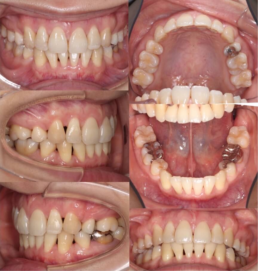
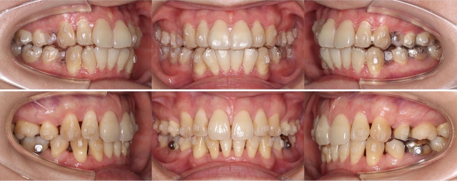
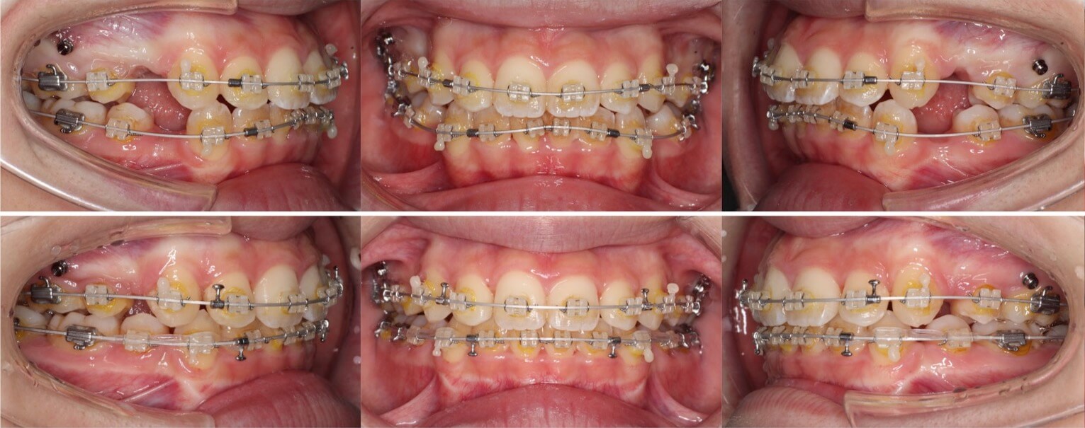
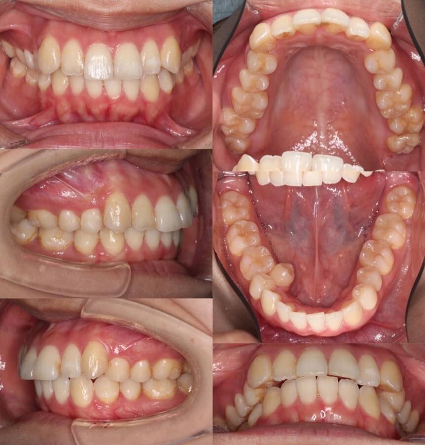
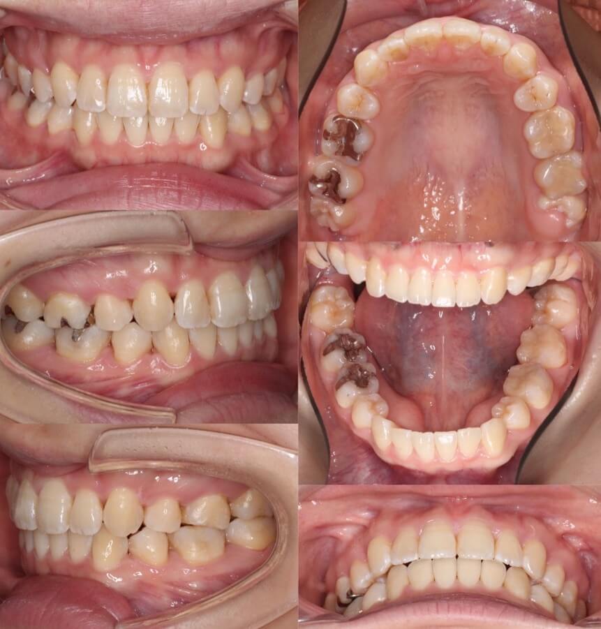
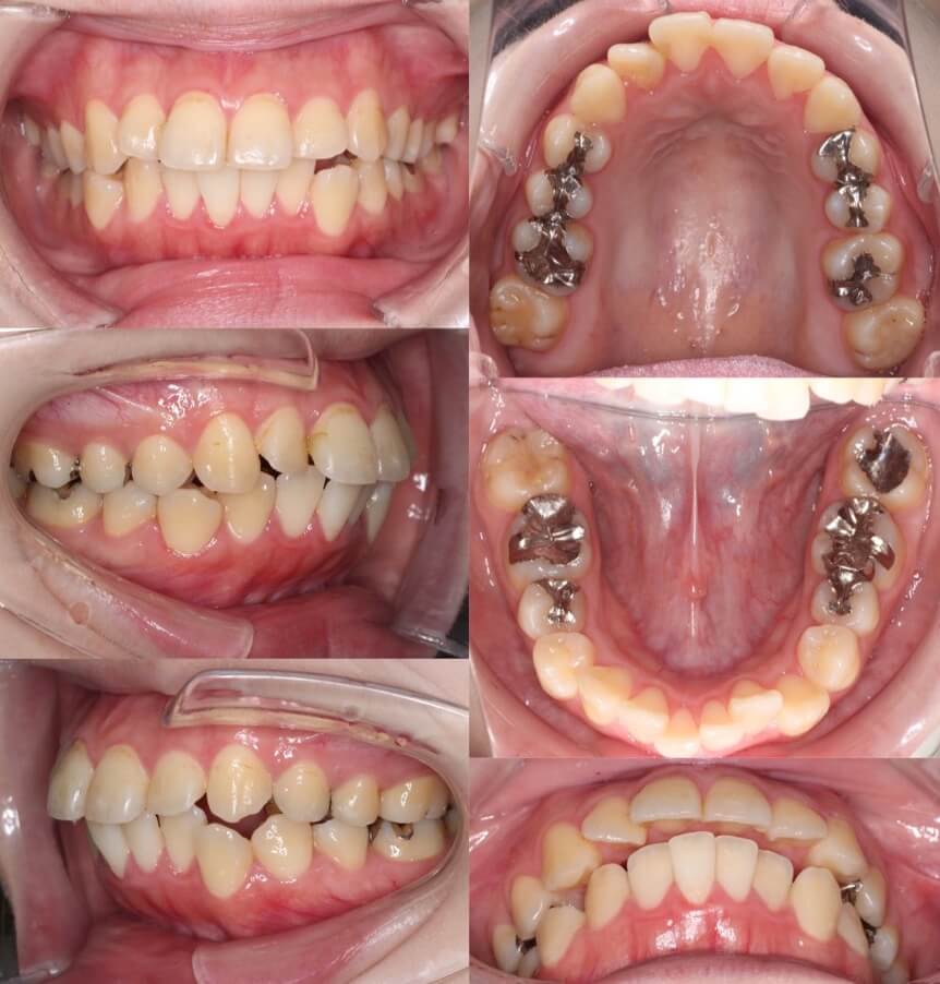
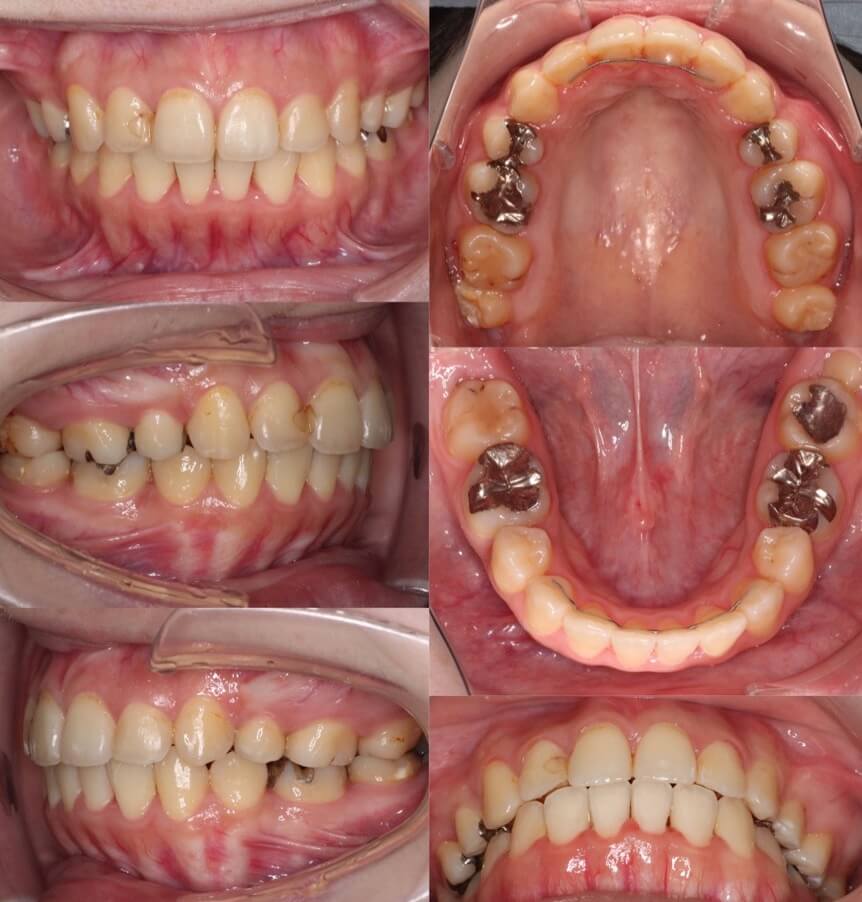
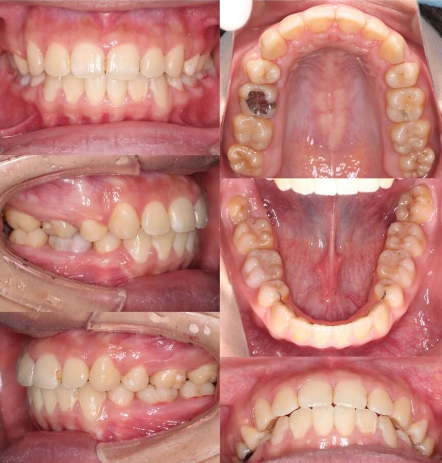
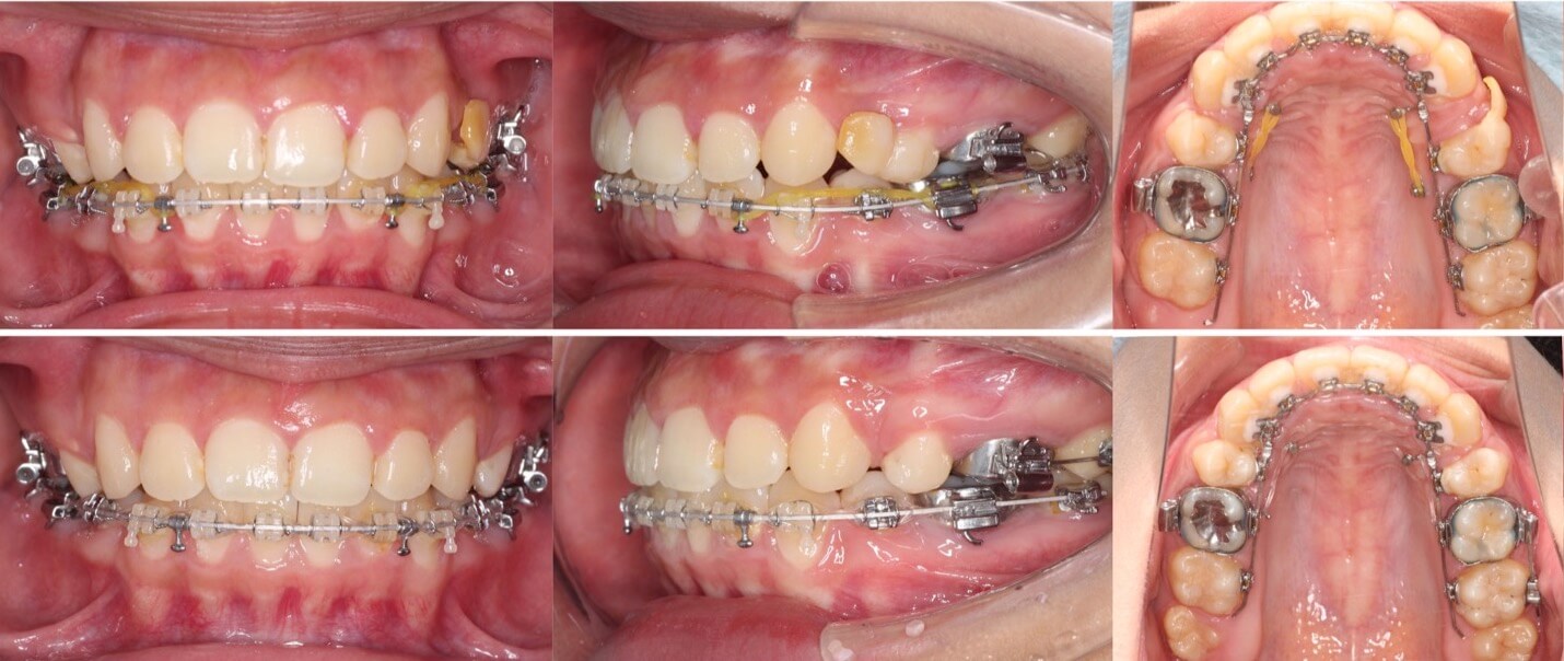
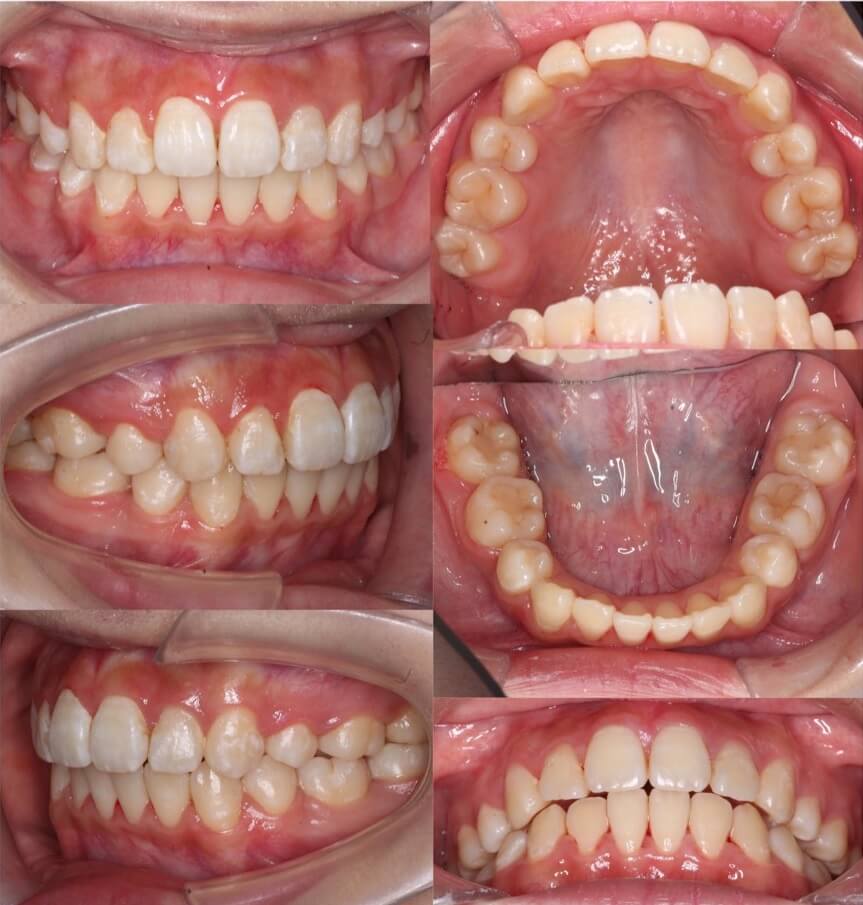
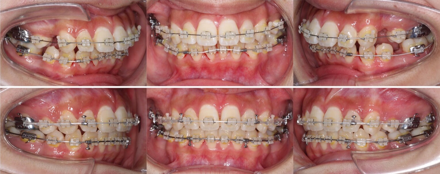
「ガミースマイルも改善」
20代女性・唇側矯正・上あご突出型

ガミースマイルをともなう口ゴボケースです。上の前歯の歯茎ににアンカースクリューを使用し、確実に圧下移動を行いました。「上あご前突型」は抜歯矯正でガミースマイルの改善もしやすいと言えます。
<症例概要> 難易度:★★★★★
主訴:口元の突出とガミースマイル
年齢・性別:10代女性
住まい:千葉県八千代市
症状:上顎前突・上下顎前歯唇側傾斜・ガミースマイル
治療方針:抜歯空隙の閉鎖(中等度固定)
治療装置:唇側矯正装置
固定:ナンスホールディングアーチ・前歯部歯科矯正用アンカースクリュー(計2本)
抜歯:上下左右4番(計4本)
治療期間:2年2か月
リテーナー:上下プレートタイプ+下フィックスタイプ
治療費用:990,000(税込)
代表的副作用:痛み・治療後の後戻り・歯根吸収・歯髄壊死・歯肉退縮
▶︎その他の副作用
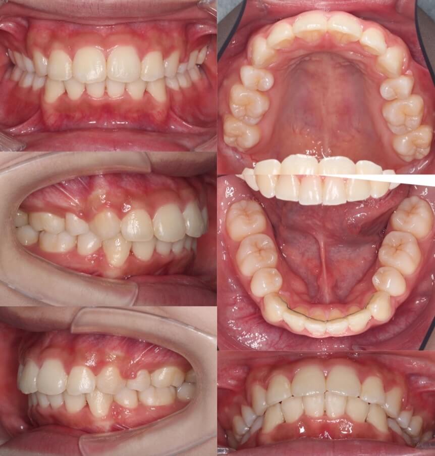
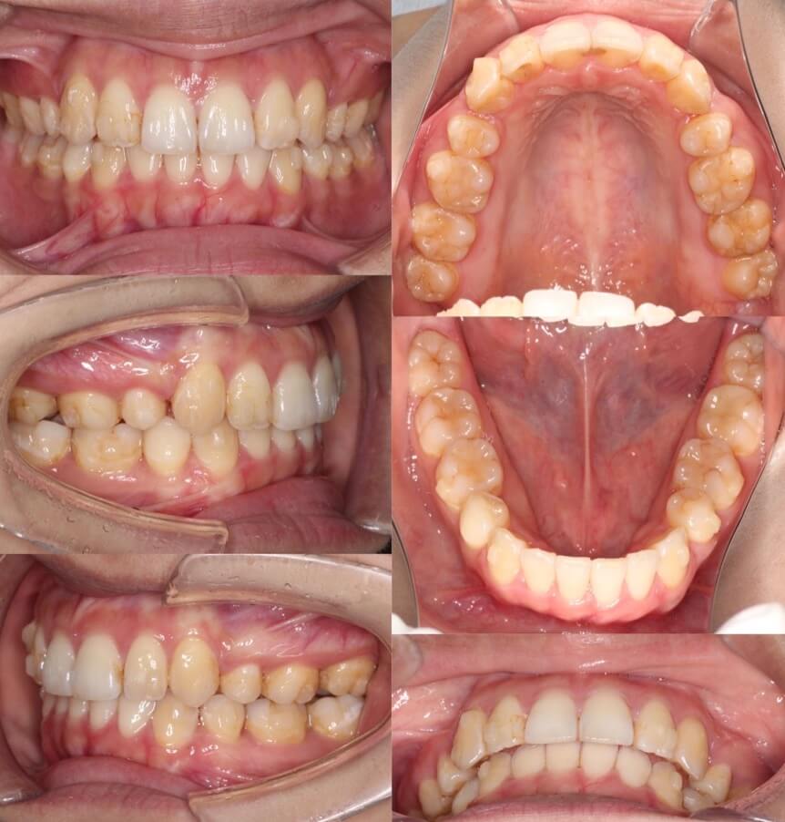
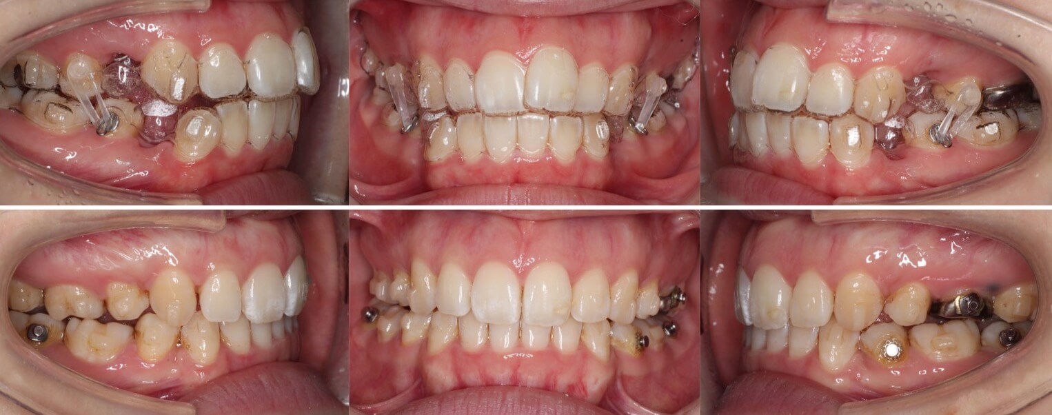
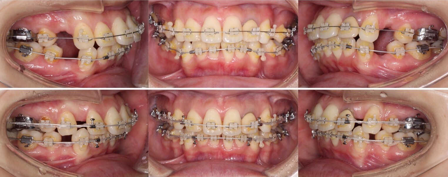
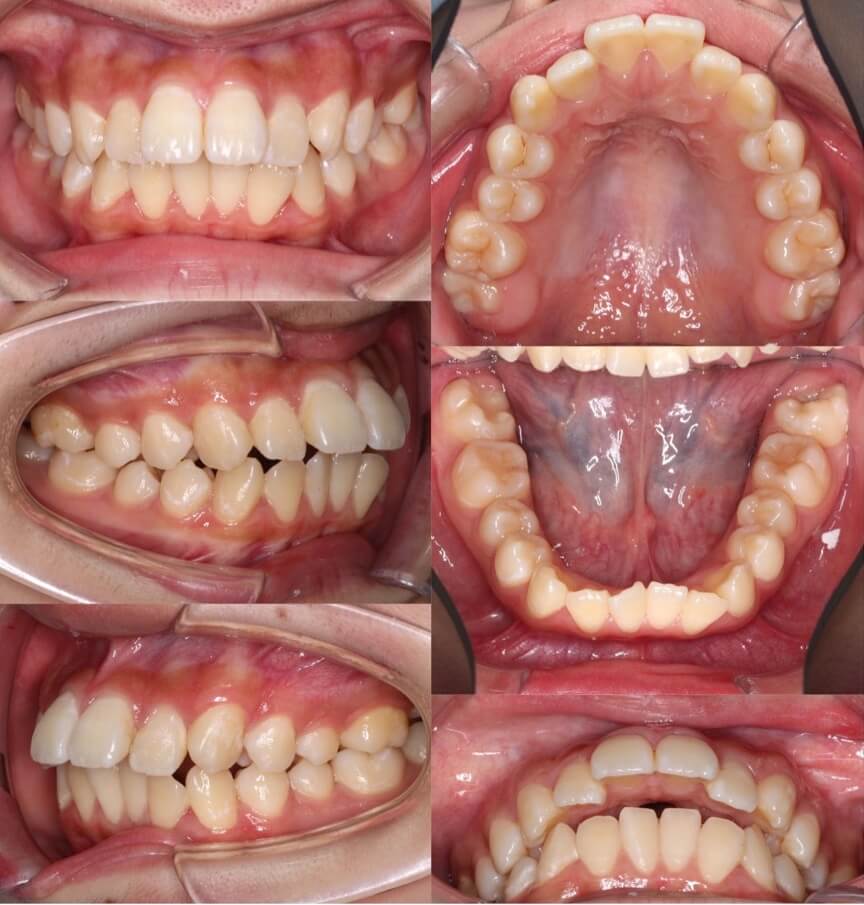
「男性は顔が引き締まる」
高校生男性・唇側矯正装置・下あご後退型

当初は、抜歯矯正治療にするかしないかで、治療方針に迷ったケースですが、最終的には患者さんの希望に沿って抜歯矯正治療にしました。歯の動きがゆっくりであったため、治療期間が3年を超えてしまいました。
<症例概要> 難易度:★★★★☆
主訴:口元の突出・前歯のガタツキ
年齢・性別:高校生男性
住まい:千葉県八千代市市
症状:下顎後退・叢生
治療方針:抜歯空隙の閉鎖(最大固定)
治療装置:唇側矯正装置
固定:歯科矯正用アンカースクリュー(頬側x2)
抜歯:上下第一小臼歯(計4本)
治療期間:3年4か月
リテーナー:上下プレートタイプ+フィックスタイプ
治療費用:968,000(税込)
代表的副作用:痛み・治療後の後戻り・歯根吸収・歯髄壊死・歯肉退縮
▶︎その他の副作用
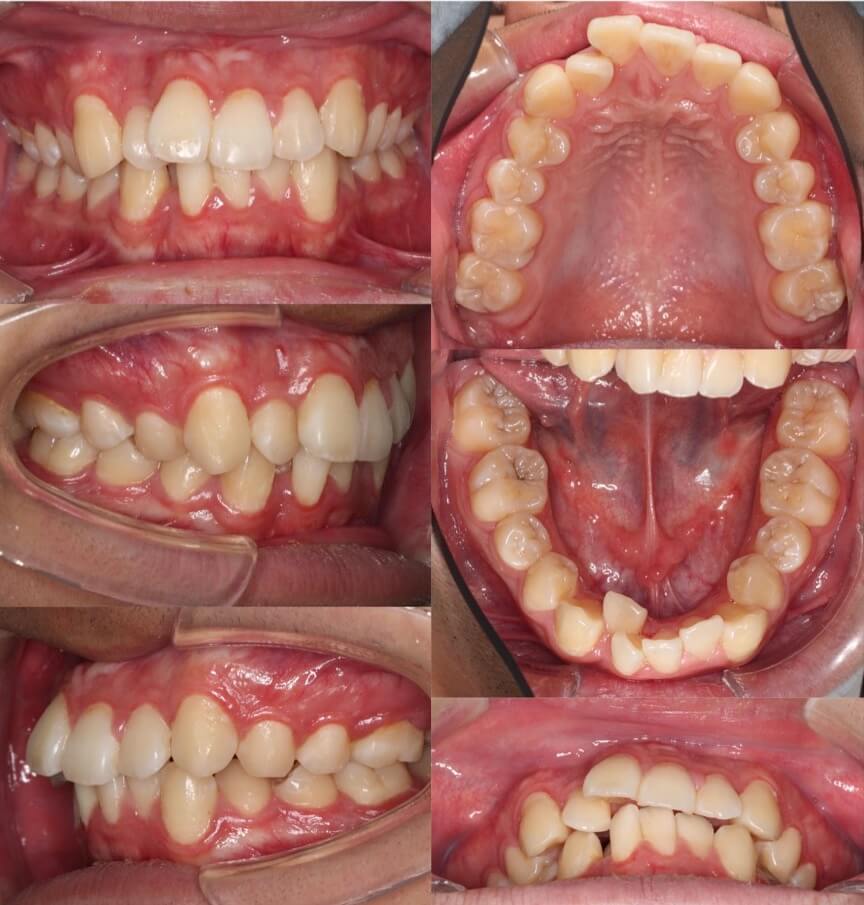
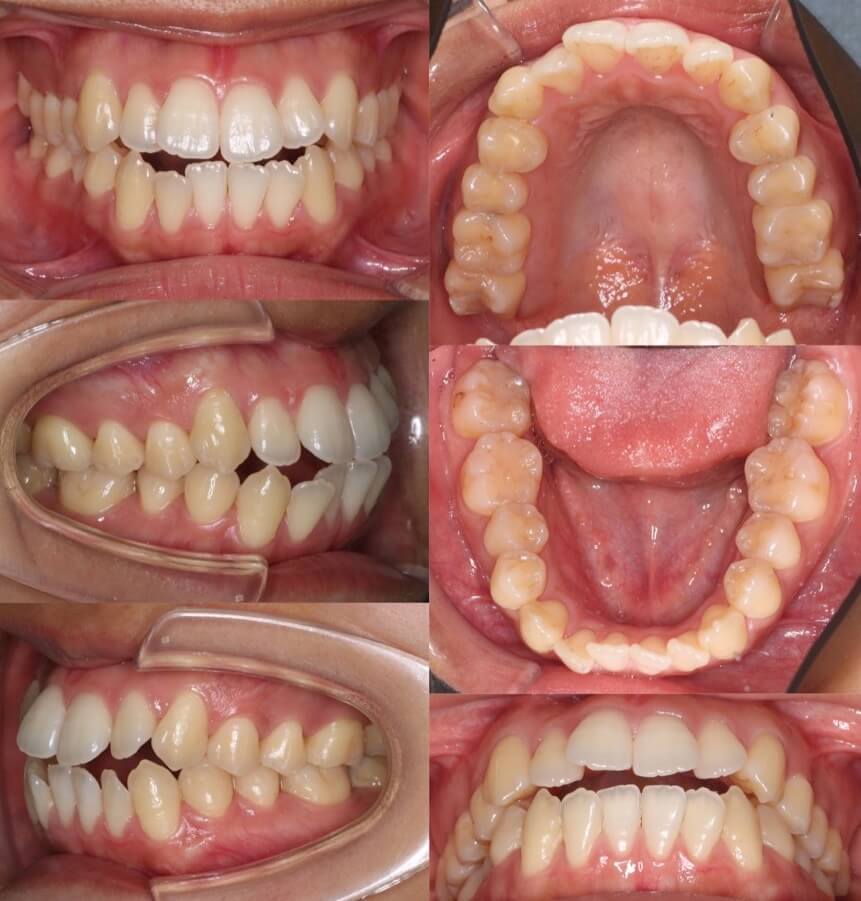
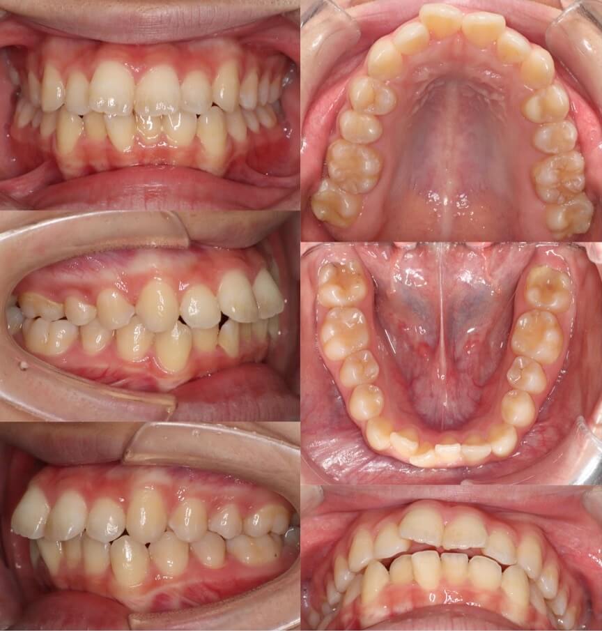
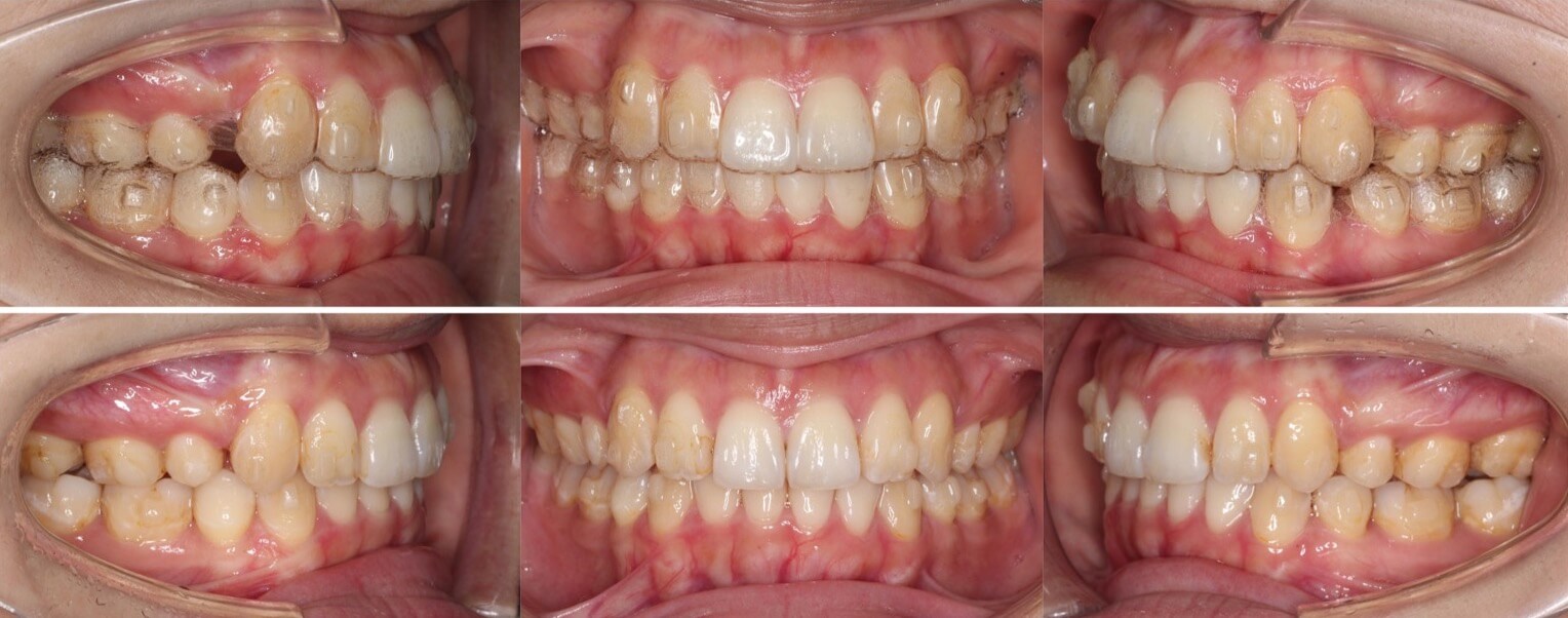
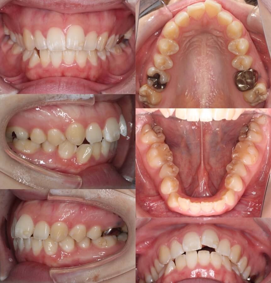
「開咬ならマウスピースも可能」
20代女性・マウスピース型装置・前歯傾斜型

マウスピース型矯正治療は前歯の歯根の後方移動が難しく、口ゴボ症例の適応症は少ないと言えます。その中で、開咬症例は数少ない適応症です。外開きになっている前歯を傾斜移動をコントロールしながら、後方移動させました。
<治療シミュレーション>
慎重に犬歯と前歯を後方移動させる。奥歯の多少の前方移動は許容できるため、小さめのアタッチメントを設置。
※マウスピース型カスタムメイド矯正歯科装置は完成物薬機法対象外の矯正装置であり、医薬品副作用被害救済制度の対象とはならない可能性があります。
<症例概要> 難易度:★★★★☆
主訴:口元の突出と前歯のかみ合わせ
年齢・性別:20代女性
住まい:千葉県八千代市
症状:開咬・上下顎前歯唇側傾斜・叢生
治療方針:抜歯空隙の閉鎖(中等度固定)
治療装置:マウスピース型矯正装置(アライナー装置)
抜歯:上下左右4番(計4本)
治療期間:2年1か月
アライナー枚数:29+27+20ステージ
リテーナー:上下クリアタイプ+フィックスタイプ
治療費用:990,000(税込)
代表的副作用:痛み・治療後の後戻り・歯根吸収・歯髄壊死・歯肉退縮
▶︎その他の副作用
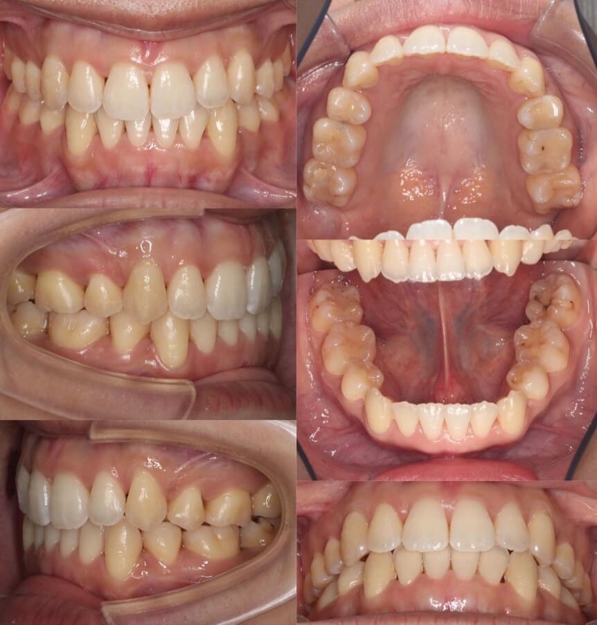
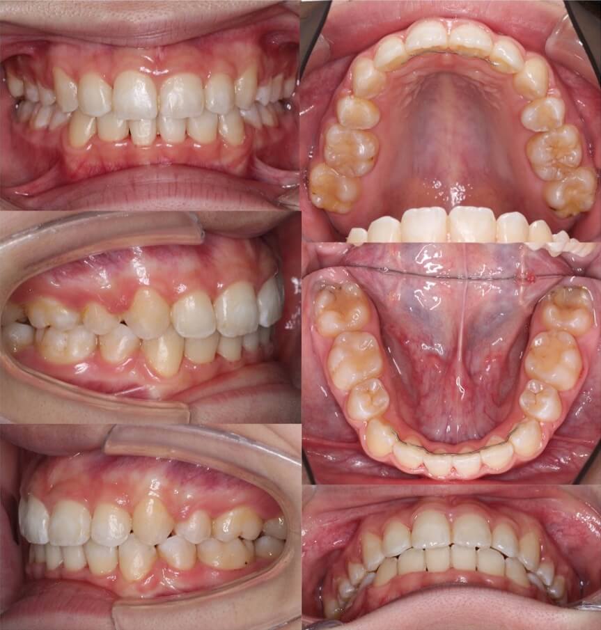
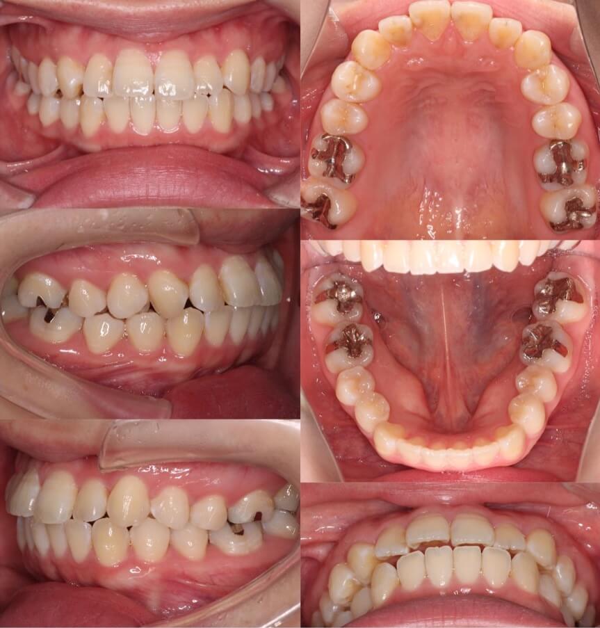
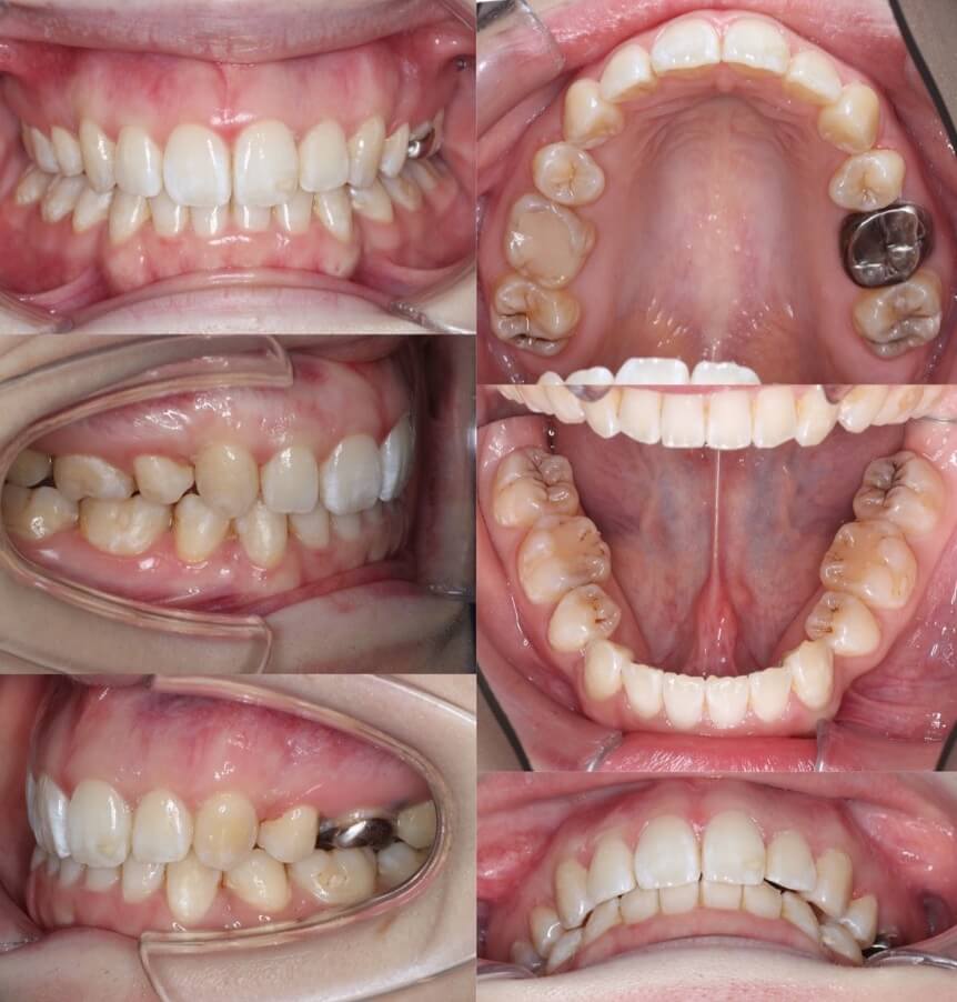
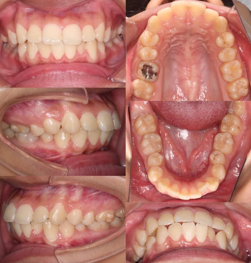
「美容目的にはリスクが伴う」
20代女性・マウスピース型装置・美容改善型

上の前歯の角度もE-lineも悪くはないのですが、患者さんは横顔での口元の突出感を改善したいということで、マウスピース型装置にて上下小臼歯抜歯矯正治療を行いました。美容目的要素が強くなるため、ほうれい線が深くなったり、ブラックとライアングルが増えるリスクについては事前によく説明しています。治療結果は前歯の後方移動量に対して横顔の変化量は少なめとなり、ちょうど良い形になりました。
<治療シミュレーション>
慎重に犬歯と前歯を後方移動させる。奥歯の多少の前方移動は許容できるため、小さめのアタッチメントを設置。
※マウスピース型カスタムメイド矯正歯科装置は完成物薬機法対象外の矯正装置であり、医薬品副作用被害救済制度の対象とはならない可能性があります。
<症例概要> 難易度:★★★☆☆
主訴:出っ歯・横顔の突出
年齢・性別:30代女性
住まい:千葉県船橋市
症状:軽度叢生・下顎前歯唇側傾斜
治療方針:抜歯空隙の閉鎖(中等度固定)
治療装置:マウスピース型矯正装置(アライナー装置)
抜歯:上下左右4番(計4本)
治療期間:1年6か月
アライナー枚数:47+30ステージ
リテーナー:上下クリアタイプ+フィックスタイプ
治療費用:990,000(税込)
代表的副作用:痛み・治療後の後戻り・歯根吸収・歯髄壊死・歯肉退縮
▶︎その他の副作用
「あご先ができた」
大学生女性・唇側矯正・下あご後退型
<症例概要> 難易度:★★★☆☆
主訴:口元の突出
年齢・性別:大学生女性
住まい:千葉県八千代市
症状:下顎後退・上下顎前歯唇側傾斜
治療方針:抜歯空隙の閉鎖(最大固定)
治療装置:唇側矯正装置
固定:歯科矯正用アンカースクリュー(上顎頬側x2)
抜歯:上下第一小臼歯(計4本)
治療期間:2年2か月
リテーナー:上下プレートタイプ+フィックスタイプ
治療費用:968,000(税込)
代表的副作用:痛み・治療後の後戻り・歯根吸収・歯髄壊死・歯肉退縮
▶︎その他の副作用

アンカースクリューを使用して、最大限に上下の前歯を後ろに引っ張りました。前歯を後ろに引く量は事前にレントゲン分析による横顔のシミュレーションを行って決定します。このように最大限後方移動させる場合は、アンカースクリューなどの固定源の追加が必要になります。治療後は、あごのしわがなくなり、口元がかなり引き締まりました。
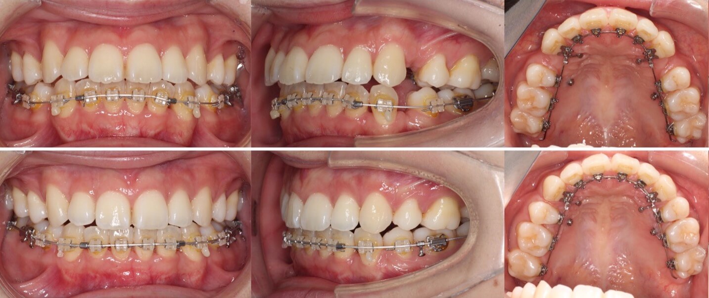
「目立たず口ゴボ改善」
20代女性・ハーフリンガル装置・前歯傾斜型
<症例概要> 難易度:★★★☆☆
主訴:口元の突出
年齢・性別:20代女性
住まい:千葉県船橋市
症状:上下顎前突・上下顎前歯唇側傾斜・開咬
治療方針:抜歯空隙の閉鎖(最大固定)
治療装置:ハーフリンガル矯正装置(上のみ裏側装置)
固定:歯科矯正用アンカースクリュー(口蓋側壁x2)
抜歯:上下第一小臼歯(計4本)
治療期間:2年8か月
リテーナー:上下クリアタタイプ+フィックスタイプ
治療費用:1,485,000(税込)
代表的副作用:痛み・治療後の後戻り・歯根吸収・歯髄壊死・歯肉退縮
▶︎その他の副作用

上下顎前突症に開咬症が併発している症例です。このように前歯のかみ合わせがかんでいない方、上の歯の裏側につける装置がつけやすくハーフリンガル矯正治療に向いています。治療後は上下の歯がしっかりとかみ合い、口元も後ろに引っ込みました。
「口元は下がるがほうれい線は増える」
20代女性・マウスピース型装置・美容的改善型

横顔のバランスがそこまで悪くなかったため抜歯か非抜歯か迷ったケースです。結局、患者さんが口元の後退を望まれたため、親知らずを残し小臼歯を抜歯することとしました。ワイヤー矯正装置と比較してマウスピース型矯正装置は、前歯が引っ込む量が少なくなるためあえてマウスピース装置を使用しました。
【治療シミュレーション】
親知らずも固定にして前歯を抜歯スペースに後方移動
※マウスピース型カスタムメイド矯正歯科装置は完成物薬機法対象外の矯正装置であり、医薬品副作用被害救済制度の対象とはならない可能性があります。
<症例概要> 難易度:★★★☆☆
主訴:八重歯・正中線のズレ
年齢・性別:20代女性
住まい:千葉県香取市
症状:上顎前突・叢生・右下第二小臼歯舌側転位
治療方針:抜歯空隙の閉鎖(中等度固定)
治療装置:マウスピース型矯正装置(アライナー装置)
抜歯:上左右4番、右下5番、左下4番
治療期間:2年0か月
アライナー枚数:55+23+26ステージ
リテーナー:上下クリアタイプ
治療費用:990,000(税込)
代表的副作用:痛み・治療後の後戻り・歯根吸収・歯髄壊死・歯肉退縮
▶︎その他の副作用
「親知らずは抜歯せず並べる」
大学生女性・マウスピース型装置・前歯傾斜型

マウスピース型装置に、最後ワイヤー装置を設置して、親知らずまで並べることに成功しました。
【治療シミュレーション】
奥歯をあまり動かさずに前歯を抜歯したスペースに引き込んでいきます。
※マウスピース型カスタムメイド矯正歯科装置は完成物薬機法対象外の矯正装置であり、医薬品副作用被害救済制度の対象とはならない可能性があります。
<症例概要> 難易度:★★★★☆
主訴:口元の突出
年齢・性別:20代女性
住まい:千葉県船橋市
症状:上下顎前歯唇側傾斜
治療方針:抜歯空隙の閉鎖(中等度固定)
治療装置:マウスピース型矯正装置(アライナー)
抜歯:上下第一小臼歯(計4本)
アライナー枚数:58+33+36+18ステージ
治療期間:2年10か月
リテーナー:上下クリアタイプ
治療費用:990,000(税込)
代表的副作用:痛み・治療後の後戻り・歯根吸収・歯髄壊死・歯肉退縮
▶︎その他の副作用
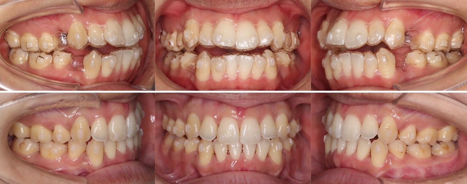
「マウスピースの後方移動の限界」
20代女性・マウスピース型装置・下あご後退型

奥歯の固定が弱いマウスピース型矯正装置の場合は、ワイヤー型矯正と比較して若干、前歯の引っ込む量が少なくなります。ですが、患者さんの希望する治療のゴールによっては、このように問題なく改善は見込めます。
<症例概要> 難易度:★★★★★
主訴:横顔で口が前に出ている
年齢・性別:20代女性
住まい:千葉県佐倉市
症状:下顎後退・上下顎前歯唇側傾斜
治療方針:抜歯空隙の閉鎖(中等度固定)
治療装置:マウスピース型矯正装置(アライナー装置)
抜歯:上下顎第一小臼歯
治療期間:2年2か月
アライナー枚数:55+33+21ステージ
リテーナー:上下クリアタイプ+フィックスタイプ
治療費用:990,000(税込)
代表的副作用:痛み・治療後の後戻り・歯根吸収・歯髄壊死・歯肉退縮
▶︎その他の副作用
【治療シミュレーション】
上下の抜歯スペースに犬歯から順番に移動させる治療計画です。奥歯のかみ合わせが悪くならないようゴムをかけてもらうようにしています。
※マウスピース型カスタムメイド矯正歯科装置は完成物薬機法対象外の矯正装置であり、医薬品副作用被害救済制度の対象とはならない可能性があります。
「スマイル時の歯の露出量は減る」
大学生女性・唇側矯正装置・前歯傾斜型

「口先の突出」だけではなく、「アゴ先を作りたい」という希望で、上下小臼歯を抜歯した矯正治療を行いました。もともとスマイル時に前歯が見えにくいタイプであったため、前歯を後ろに引きすぎないよう奥歯の固定を弱めに設定しましたが、若干前歯の露出面積は減ってしまう結果となってしまいました。
<症例概要> 難易度:★★★☆☆
主訴:口元の突出
年齢・性別:20代女性
住まい:千葉県八千代市
症状:上下顎前歯唇側傾斜・叢生
治療方針:抜歯空隙の閉鎖(中等度固定)
治療装置:唇側矯正装置
固定:ナンスホールディングアーチ
抜歯:上下第一小臼歯(計4本)
治療期間:2年1か月
リテーナー:上下プレートタイプ+フィックスタイプ
治療費用:968,000(税込)
代表的副作用:痛み・治療後の後戻り・歯根吸収・歯髄壊死・歯肉退縮
▶︎その他の副作用
「前歯の角度が変化」
20代女性・ハーフリンガル装置・下あご後退型

前歯が前に傾斜している(倒れている)上下顎前突症例です。抜歯スペースに前歯を押し込むだけで、口元の突出が改善できる割と単純なケースになります。治療後は上下の前歯の角度も内向きに変わりました。
<症例概要>
主訴:前歯を引っ込めたい
年齢・性別:20代女性
住まい:千葉県佐倉市
症状:下顎後退・上下顎前歯唇側傾斜
治療方針:抜歯空隙の閉鎖(最大固定)
治療装置:ハーフリンガル矯正装置(上のみ裏側装置)
固定:歯科矯正用アンカースクリュー(口蓋側壁x2)
抜歯:上下第一小臼歯
治療期間:1年10か月
リテーナー:上下プレートタイプ+クリアタタイプ+フィックスタイプ
治療費用:1,4950,000(税込)
代表的副作用:痛み・治療後の後戻り・歯根吸収・歯髄壊死・歯肉退縮
▶︎その他の副作用
「顔のサイズが小さくなる」
大学生女性・ハーフリンガル装置・前歯傾斜型装置・下あご後退型

歯並びの見た目はあまり悪くはないのですが、口元のの突出の改善を希望されていました患者さんです。上下顎抜歯を併用して矯正治療を行いました。ゆっくりとお顔が変化するのを楽しんで治療を受けてくれていました
<症例概要>
主訴:出っ歯を治したい
年齢・性別:大学生女性
住まい:千葉県八千代市
症状:下顎後退・上下顎前歯唇側傾斜
治療方針:抜歯空隙の閉鎖(最大固定)
治療装置:ハーフリンガル矯正装置(上のみ裏側装置)
固定:歯科矯正用アンカースクリュー(口蓋側壁x2)
抜歯:上下第一小臼歯
治療期間:2年1か月
リテーナー:上プレートタイプ+クリアタイプ・下フィックスタイプ
治療費用:1,495,000(税込)
代表的副作用:痛み・治療後の後戻り・歯根吸収・歯髄壊死・歯肉退縮
▶︎その他の副作用
高校生女子・ハーフリンガル装置・下あご後退型

<顔のビフォーアフター>





<症例概要>
主訴:出っ歯・横顔を良くしたい
年齢・性別:高校生女子
住まい:千葉県八千代市
症状:下顎後退・上下顎前歯唇側傾斜・下顎左偏
治療方針:抜歯空隙の閉鎖(最大固定)
治療装置:ハーフリンガル矯正装置(上のみ裏側装置)
固定:歯科矯正用アンカースクリュー(口蓋側壁x2)
抜歯:上下第一小臼歯
治療期間:2年8か月
リテーナー:上下プレートタイプ+クリアタタイプ+フィックスタイプ
治療費用:1,495,000(税込)
代表的副作用:痛み・治療後の後戻り・歯根吸収・歯髄壊死・歯肉退縮
▶︎その他の副作用

あごが小さく前歯が前に出ている事に加え、下あごの形に左右非対称があり左側の噛み合わせにも上下の隙間がある状態です。上下小臼歯の抜歯スペースを上手く利用して、時間はかかりましたが、何とか左側の噛み合わせも治す事に成功しました。上下の正中線もほぼ一致させる事ができ、横顔も大きく変化しました。
高校生女子・唇側矯正装置・前歯傾斜型

<顔のビフォーアフター>





<症例概要>
主訴:出っ歯とデコボコ
年齢・性別:高校生女子
住まい:千葉県八千代市
症状:叢生・上下顎前突
治療方針:抜歯空隙の閉鎖(最大固定)
治療装置:唇側矯正装置
固定装置:ナンスホールディングアーチ
抜歯:上下左右第一小臼歯抜歯(計4本)
治療期間:1年11か月
リテーナー:上プレートタイプ+下フィックスタイプ
治療費用:968,000(税込)
代表的副作用:痛み・治療後の後戻り・歯根吸収・歯髄壊死・歯肉退縮
▶︎その他の副作用

上下の前歯が前方に傾斜しているため、口が閉じずらい上下顎前突症例です。しっかりと永久歯が生えるまでは、少しでも前歯を後方移動させるためのスペースを獲得するために半年ほどヘッドギア装置を使用しました。その後、小臼歯抜歯を併用し本格矯正治療を行い前歯を約8mmほど後方移動させました。治療後は口元の緊張感もなくなり、すっきりとした横顔になりました。
高校生女子・唇側矯正装置・下あご後退型

<顔のビフォーアフター>





<症例概要>
主訴:口元の突出
年齢・性別:高校生女子
住まい:千葉県八千代市
症状:下顎後退・上下顎前歯唇側傾斜
治療方針:抜歯空隙の閉鎖(最大固定)
治療装置:唇側矯正装置
固定:サービカルヘッドギア
抜歯:上下顎両側第一小臼歯(計4本)
治療期間:2年6か月
リテーナー:上プレートタイプ+下フィックスタイプ
治療費用:968,000(税込)
代表的副作用:痛み・治療後の後戻り・歯根吸収・歯髄壊死・歯肉退縮
▶︎その他の副作用

上下顎前突による口元の突出および口唇閉鎖不全があります。上下顎小臼歯抜歯により獲得したスペースに出ていた前歯を後方移動しました。大学の入学時にはキレイな歯並びとすっきりとした横顔で迎える事ができました。治療後の横顔の写真は本人も友人も、その変化にびっくりしたようでした。
小学生女子・唇側矯正装置・下あご後退型

<顔のビフォーアフター>





<症例概要>
主訴:口元の突出
年齢・性別:11歳女子
住まい:千葉県八千代市
症状:下顎後退・上下顎前歯唇側傾斜
治療方針:抜歯空隙閉鎖(最大固定)・上顎歯列遠心移動
治療装置:唇側矯正装置
固定:ヘッドギア
抜歯:上下第一小臼歯抜歯
準備期間:5か月
治療期間:2年6か月
リテーナー:上プレートタイプ+下フィックスタイプ
治療費用:968,000(税込)
代表的副作用:痛み・治療後の後戻り・歯根吸収・歯髄壊死・歯肉退縮
▶︎その他の副作用

上下の前歯が前方に傾斜しているため、口が閉じずらい上下顎前突症例です。しっかりと永久歯が生えるまでは、少しでも前歯を後方移動させるためのスペースを獲得するために半年ほどヘッドギア装置を使用しました。その後、小臼歯抜歯を併用し本格矯正治療を行い前歯を約8mmほど後方移動させました。治療後は口元の緊張感もなくなり、すっきりとした横顔になりました。
小学生女子・唇側矯正装置・前歯傾斜型

<顔のビフォーアフター>





<症例概要>
主訴:前歯の歯並びが悪い
年齢・性別:10歳女子(小学生)
住まい:千葉県八千代市
症状:上下顎前突・叢生
治療方針:抜歯空隙閉鎖(中等度固定)
治療装置:唇側矯正装置
固定装置:ナンスのホールディングアーチ
抜歯:上下第一小臼歯(計4本)
治療期間:1年11か月
リテーナー:上プレートタイプ+下フィックスタイプ
治療費用:968,000(税込)
代表的副作用:痛み・治療後の後戻り・歯根吸収・歯髄壊死・歯肉退縮
▶︎その他の副作用

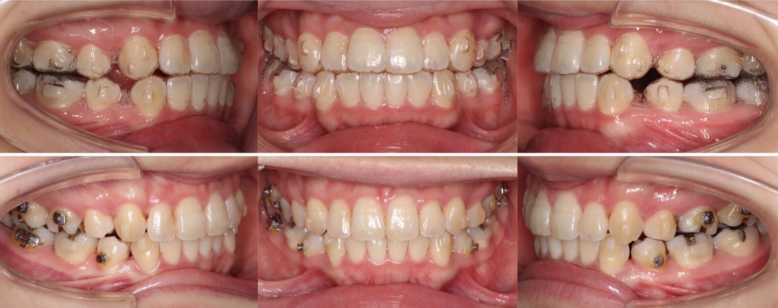
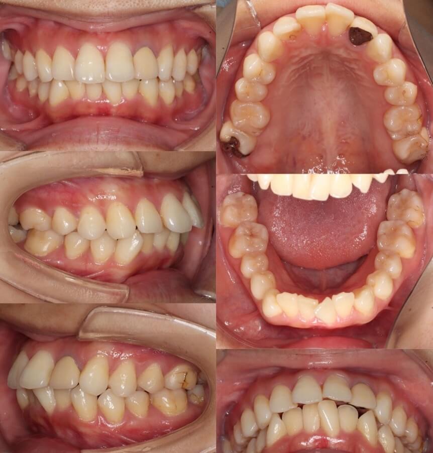
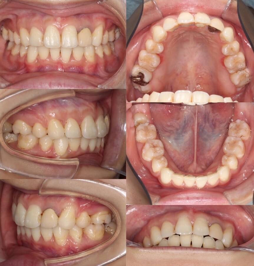
前から2番目の歯がクロスしている叢生症例です。前歯の噛み合わせが悪い事とやや口が閉じにくそうであったため、上下左右の合わせて4本の小臼歯を抜歯し矯正治療を行いました。歯並びにでこぼこが少ない方に抜歯矯正治療を提案すると、最初はお子様や保護者様に強い拒否感がある事もあります。しかし、最終的にはゴールを考えると、最終的には皆さん納得してくれます。仕上がりを見ても分かると思いますが、前歯がしっかり噛んでいます。歯を4本減らしても噛む面積は前より増えているわけです。
【矯正歯科治療に伴うリスクや副作用】
- 治療開始直後は矯正装置による不快感、痛み等があります。1、2 週間以内で慣れることが多いです。
- 歯の動き方には個人差があります。予想された治療期間が延長する可能性があります。
- 矯正装置の使用、管理、定期的な通院など、矯正治療には患者さんの協力が治療結果や治療期間に影響します。
- 治療中は、むし歯や歯周病のリスクが高まりますので、丁寧に磨いたり、定期的なメンテナンスを受けたりすることが重要です。また、歯が動くと隠れていたむし歯が発見されることもあります。
- 歯を動かすことにより歯根が吸収して短くなることがあります。また、歯ぐきが下がることがあります。
- ごくまれに歯が骨と癒着していて歯が動かないことがあります。
- ごくまれに歯を動かすことで神経が障害を受けて壊死することがあります。
- 治療途中に金属等のアレルギー症状が出ることがあります。
- 治療中に「顎関節で音が鳴る、あごが痛い、口が開けにくい」などの顎関節症状が出ることがあります。
- 治療中に状況が変わり、当初予定した治療計画を変更する可能性があります。
- 歯の形を修正したり、咬み合わせの微調整を行ったりする可能性があります。
- 矯正装置を誤飲する可能性があります。
- 矯正装置を外す時に、エナメル質に微小な亀裂が入る可能性や、かぶせ物(補綴物)の一部が破損する可能性があります。
- 治療終了後、リテーナーを指示通り使用しないと後戻りが生じる可能性が高くなります。
- 治療終了後、現在の咬み合わせに合った状態のかぶせ物(補綴物)やむし歯の治療(修復物)などをやりなおす可能性があります。
- 10代のあごの成長発育によりかみ合わせや歯並びが変化する可能性があります。
- 治療後に親知らずの影響で歯並びが変化することがあります。。加齢や歯周病等により歯を支えている骨がやせるとかみ合わせや歯並びが変化することがあります。その場合、再治療等が必要になることがあります。
- 矯正歯科治療は、一度始めると元の状態に戻すことは難しくなります。
- ※その他の副作用とリスクについて▶︎





























































