先天性欠損歯(先欠歯・喪失歯)がある矯正治療例
永久歯の本数が足りない先天性欠損歯(先欠歯)は、おおよそ10人に1人の割合で発生します。罹患率が高い歯としては2番(側切歯)と5番(第二小臼歯)となります。親知らずも先欠していることはありますが、現代人ではもともと生えてこないことが多いため問題にはなりません。先欠歯がある場合の治療方針は以下の2つに別れます。
- 不足している歯の合わせて、反対側の歯を減らし矯正治療で隙間を閉じる。
- 一般歯科で不足している歯を作る、もしくは乳歯を残す。
不足している歯を作る場合は、ブリッジやインプラントといった治療になるのですが、事前に欠損部の隙間の量を調整しなくてはならないため、矯正治療は必要です。したがって、治療期間や費用を考えて欠損歯の空隙を閉じる方針を選択することが多いです。 虫歯の治療で抜歯になってしまった場合も、先欠歯と同様に治療方針を考えなくていきます。
目次
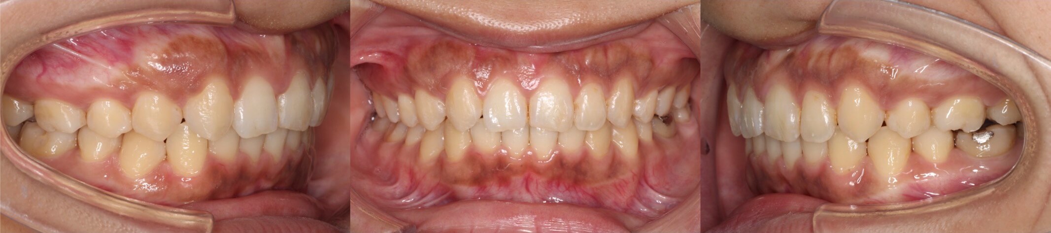
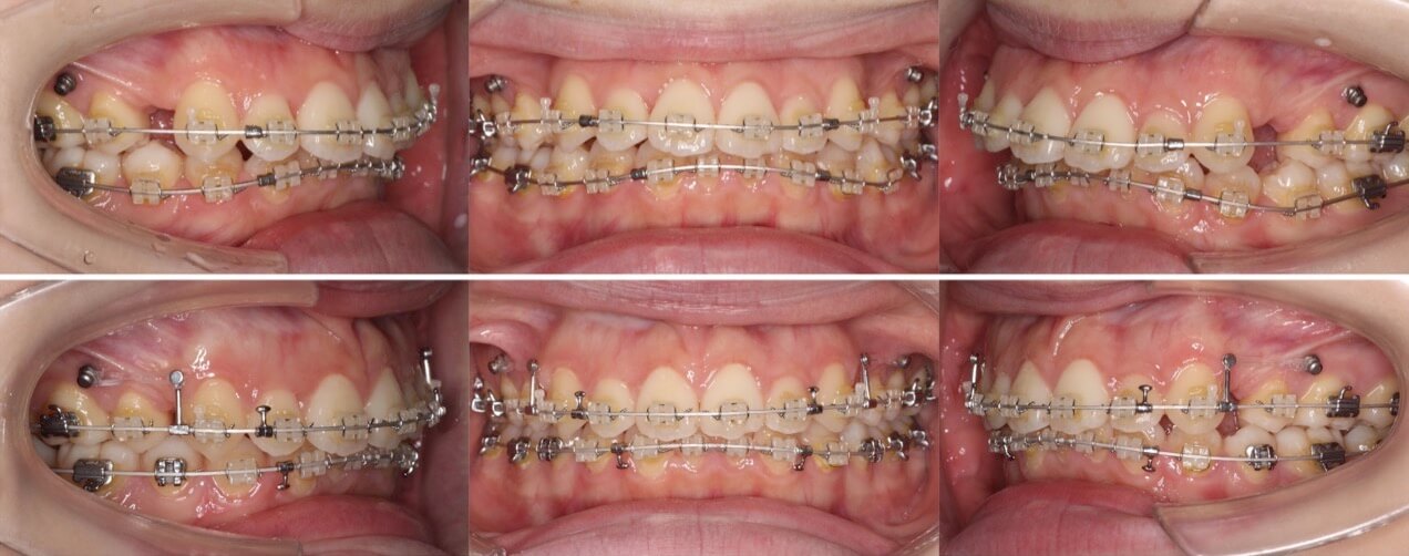
20代女性・先天性欠損2歯・下5欠損

前歯を後ろに倒し込まないように注意しながら、顎間ゴムを使って下の奥歯を前方移動して下の欠損スペースを閉鎖しました。上の抜歯部位は、左右の非対称にすることでうまく正中線を合わせました。下5番抜歯空隙の閉鎖は、後ろにある6番の歯根の移動量が多く治療期間が長くなりやすいです。
<症例概要> 難易度★★★★☆
主訴:下の欠損歯の空隙
年齢・性別:20代女性
住まい:千葉県八千代市
症状:左右下5番欠損・空隙・右7シザーズバイト・下顎左偏
治療方針:上顎歯列拡大・下顎臼歯近心移動・
抜歯:右上5番・左上4番
固定装置:アーム付きリンガルアーチ・圧下アーチ・II級ゴム
治療装置:唇側矯正装置
治療期間:2年10か月
リテーナー:上下プレートタイプ
治療費用:990,000(税込)
代表的副作用:痛み・治療後の後戻り・歯根吸収・歯髄壊死・歯肉退縮
▶︎その他の副作用
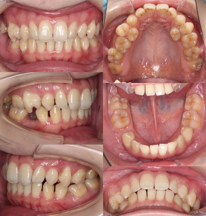
40代女性・先天性欠損2歯・下5欠損

横顔の突出だけではなく、歯茎が少し見えることも気にされていました。下顎ができるくらいまでしっかりと前歯を後方移動させたいという希望からアンカースクリューを使用し前歯を後退させました。先天性欠如の下5番のスペースは乳臼歯があったこともあり、抜歯後は大きく空隙が開きましたが、しっかりと空隙閉鎖を行いました。
<症例概要>
主訴:横顔の突出・ガミースマイル
年齢・性別:40代女性
住まい:千葉県印西市
症状:左右下5番欠損・開咬・下顎後退
治療方針:抜歯空隙閉鎖・下顎臼歯近心移動・
抜歯:上左右4番・下左右乳臼(計2本)
固定装置:歯科矯正用アンカースクリュー
治療装置:唇側矯正装置
治療期間:2年4か月
リテーナー:上下プレートタイプ
治療費用:990,000(税込)
代表的副作用:痛み・治療後の後戻り・歯根吸収・歯髄壊死・歯肉退縮
▶︎その他の副作用
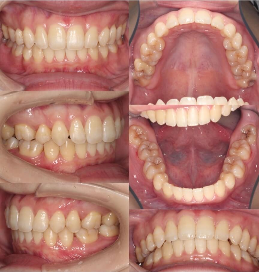
20代女性・上顎前突・下2番欠損
<症例概要>
主訴:出っ歯
年齢・性別:20代女性
住まい:千葉県八千代市
症状:下左右2番欠損・上顎前突・叢生
治療方針:抜歯空隙閉鎖
抜歯:上左右4番(計1本)
治療装置:唇側矯正装置
固定装置:歯科矯正用アンカースクリュー
治療期間:1年11か月
リテーナー:クリアスタイプ+プレートタイプタイプ
治療費用:990,000(税込)
代表的副作用:痛み・治療後の後戻り・歯根吸収・歯髄壊死・歯肉退縮
▶︎その他の副作用

下の前歯2本が先天性欠如しており、歯数が多い上の歯並びが前方突出している歯並びです。治療方針は歯の数が少ない下の歯並びに合わせて、上の小臼歯を2本抜歯し、アンカースクリューより前歯を後方移動させました。上の前歯は1cm近く後方移動し、横顔は大きく変化しました。
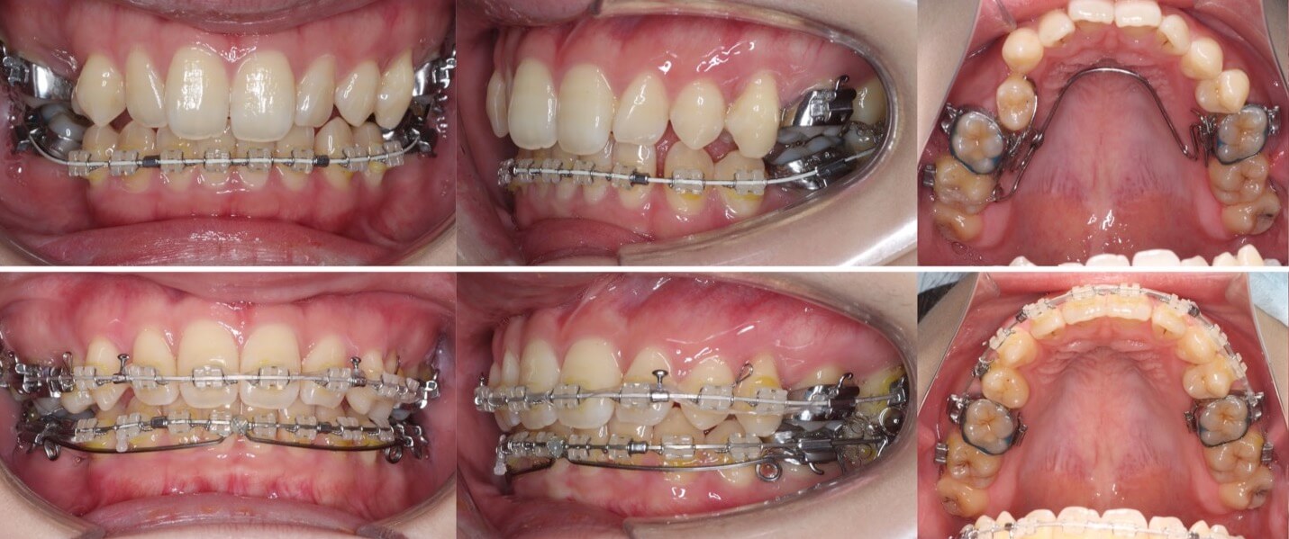
30代女性・大臼歯抜歯済・上6番欠損

<顔のビフォーアフター>





<症例概要>
主訴:出っ歯
年齢・性別:30代女性
住まい:千葉県八千代市
症状:左上6番欠損・上顎前突・過蓋咬合
治療方針:抜歯空隙閉鎖
抜歯:右上5番(計1本)
治療装置:唇側矯正装置
固定装置:歯科矯正用アンカースクリュー
治療期間:3年6か月
リテーナー:上下フィックスタイプ+プレートタイプタイプ
治療費用:968,000(税込)
代表的副作用:痛み・治療後の後戻り・歯根吸収・歯髄壊死・歯肉退縮
▶︎その他の副作用

虫歯で左上大臼歯(6番)を抜歯してしまっている状態です。抜歯部位はブリッジ治療を検討していたのですが、矯正治療もしたいということで当院に来られました。6番の抜歯あとは、ふだん出っ歯の矯正治療抜歯をする小臼歯の1.5倍近くの空隙があります。よって歯科矯正用アンカースクリューを使用してゆっくりとつめていきました。治療期間も1.5倍かかりましたが、しっかりと隙間と閉じることができました。
30代女性・先天性欠損1歯・上5欠損

<顔のビフォーアフター>





<症例概要>
主訴:奥歯のかみ合わせが悪い・乳歯が残っている
年齢・性別:30代女性
住まい:千葉県船橋市
症状:左上乳歯(E)残存・左上5番欠損・左側シザーズバイト
治療方針:乳歯抜歯空隙閉鎖・左下歯列後方移動・IPR
抜歯:左上乳臼歯(E)
固定装置:歯科矯正用アンカースクリュー(左上x1本)
治療装置:マウスピース型矯正装置(アライナー装置)
治療期間:2年2か月
アライナー枚数:67+39+23ステージ
リテーナー:上下クリアタイプ
治療費用:990,000(税込)
代表的副作用:痛み・治療後の後戻り・歯根吸収・歯髄壊死・歯肉退縮
▶︎その他の副作用
【治療シミュレーション】
左上の奥歯をゆっくり前方移動し、乳歯抜歯したスペースを閉じていく計画です。
※マウスピース型カスタムメイド矯正歯科装置は完成物薬機法対象外の矯正装置であり、医薬品副作用被害救済制度の対象とはならない可能性があります。

先天性欠損があり乳歯が残存している部位は、抜歯してスペースを閉じてほしいという希望は多いです。これは、ブリッジやインプラントで歯を補う必要がなくなることが理由です。
このケースのように上の先天性欠損の場合は、割と上手く後方歯を前方移動させて乳歯抜歯スペースを閉じることができます。前方に引くための固定源としてアンカースクリューを併用しています。ただし下の永久歯欠損の場合は上手くいかないことがあります。
30代女性・先天性欠損4歯・5番欠損





<症例概要>
主訴:口元の突出・乳歯の残存
年齢・性別:30代女性
住まい:千葉県八千代市
症状:上下第二小臼歯先天性欠如・乳歯晩期残存・上下顎前突
治療方針:抜歯空隙閉鎖
治療装置:唇側矯正装置
固定源:下顎圧下アーチ
抜歯:上下乳臼歯(計4本)
治療期間:2年10か月
リテーナー:上下プレートタイプ+下フィックスタイプ
治療費用:964,000(税込)
代表的副作用:痛み・治療後の後戻り・歯根吸収・歯髄壊死・歯肉退縮
▶︎その他の副作用

上下とも前から数えて5番目の歯が先天的欠損しているケースです。もともと口元が前方に突出している傾向にあったため、残存している乳歯を抜歯して前歯を後方に引っ込める治療を行いました。
乳臼歯は本来あるべき永久歯よりサイズが大きい傾向にあり、抜歯後の空隙閉鎖には通常より時間がかかります。下のワイヤーを2重にして少し強めの力をかけて治療期間の短縮を計画したのですが3年弱かかりました。
奥歯の先欠歯の抜歯矯正治療は、一般的な小臼歯抜歯矯正と比較して治療期間がかかる傾向になります。
20代女性・先天性欠損1歯と上2番欠損





<症例概要>
主訴:前歯の歯並び
年齢・性別:20代女性
住まい:千葉県千葉市
症状:右上乳歯(C)残存・左上2番欠損
治療方針:抜歯空隙閉鎖による正中線の一致・IPR
抜歯:右上乳歯(C)・左上4番(計2本)
治療装置:マウスピース型矯正装置(アライナー装置)
治療期間:1年6か月
アライナー枚数:54+23ステージ
リテーナー:上下クリアタイプ
治療費用:990,000(税込)
代表的副作用:痛み・治療後の後戻り・歯根吸収・歯髄壊死・歯肉退縮
▶︎その他の副作用
【治療シミュレーション】
抜歯した空隙を利用して上下の歯並びの中心を揃える治療方針です。
※マウスピース型カスタムメイド矯正歯科装置は完成物薬機法対象外の矯正装置であり、医薬品副作用被害救済制度の対象とはならない可能性があります。
片側の前歯のみ先天性欠如歯がある場合は、3本の前歯で歯並びを上手く作らなくてはなりません。右上の犬歯は、少し尖っている部分を研磨する事で違和感なく並べる事ができました。治療後は左右対称に見えるかと思います。
20代女性・先天性欠損2歯・下2欠損





<症例概要>
主訴:八重歯
年齢・性別:20代女性
住まい:千葉県佐倉市
症状:前歯部クロスバイト・正中線のズレ・下側切歯2本欠損
治療方針:抜歯空隙閉鎖・ストリッピング
抜歯:上第一小臼歯(計2本)
治療装置:マウスピース型矯正装置(アライナー装置)
治療期間:1年10か月
アライナー枚数:35+28+20ステージ
リテーナー:上フィックスタイプ+上下プレートタイプ
治療費用:990,000(税込)
代表的副作用:痛み・治療後の後戻り・歯根吸収・歯髄壊死・歯肉退縮
▶︎その他の副作用

下の前歯が2本、先天的に欠如している方です。正常な数がある上の歯並びは、並ぶ隙間が足りずでこぼこになっています。上の前から4番目の歯を2本減らして上下の歯の本数を合わせ、きっちり正中線も合わせる事ができました。
【矯正歯科治療に伴うリスクや副作用】
① 治療開始直後は矯正装置による不快感、痛み等があります。1、2 週間以内で慣れることが多いです。
② 歯の動き方には個人差があります。予想された治療期間が延長する可能性があります。
③ 矯正装置の使用、管理、定期的な通院など、矯正治療には患者さんの協力が治療結果や治療期間に影響します。
④ 治療中は、むし歯や歯周病のリスクが高まりますので、丁寧に磨いたり、定期的なメンテナンスを受けたりすることが重要です。また、歯が動くと隠れていたむし歯が発見されることもあります。
⑤ 歯を動かすことにより歯根が吸収して短くなることがあります。また、歯ぐきが下がることがあります。
⑥ ごくまれに歯が骨と癒着していて歯が動かないことがあります。
⑦ ごくまれに歯を動かすことで神経が障害を受けて壊死することがあります。
⑧ 治療途中に金属等のアレルギー症状が出ることがあります。
⑨ 治療中に「顎関節で音が鳴る、あごが痛い、口が開けにくい」などの顎関節症状が出ることがあります。
⑩ 治療中に状況が変わり、当初予定した治療計画を変更する可能性があります。
⑪ 歯の形を修正したり、咬み合わせの微調整を行ったりする可能性があります。
⑫ 矯正装置を誤飲する可能性があります。
⑬ 矯正装置を外す時に、エナメル質に微小な亀裂が入る可能性や、かぶせ物(補綴物)の一部が破損する可能性があります。
⑭ 治療終了後、リテーナーを指示通り使用しないと後戻りが生じる可能性が高くなります。
⑮ 治療終了後、現在の咬み合わせに合った状態のかぶせ物(補綴物)やむし歯の治療(修復物)などをやりなおす可能性があります。
⑯ 10代のあごの成長発育によりかみ合わせや歯並びが変化する可能性があります。
⑰ 治療後に親知らずの影響で歯並びが変化することがあります。。加齢や歯周病等により歯を支えている骨がやせるとかみ合わせや歯並びが変化することがあります。その場合、再治療等が必要になることがあります。
⑱ 矯正歯科治療は、一度始めると元の状態に戻すことは難しくなります。
※その他の副作用とリスクについて▶︎
















