ミドルエイジ(40代・50代〜)の矯正治療例
人口層が変わり矯正治療を希望される患者さんは40代〜60代まで拡大してきています。ただし、10代の方と比較して40代以降(ミドルエイジ)の方の矯正治療で注意をしなくてはならない点があります。
- 治療歯や傷んでいる歯が多い。
- できるだけ抜歯はしたくない。
- 歯茎や歯にダメージをかけられない。
- 歯の動く速度が遅い。
これらを配慮し、患者さんに最適な矯正治療計画を立案しなくてはならいため、一般的な成人の方の矯正治療より難易度は高まります。基本的には非抜歯矯正治療方針になりますが、すでに傷んでいる歯や喪失歯があったり、横顔での口元の突出を改善したい場合は、抜歯矯正を行うこともあります。抜歯を併用する場合は唇側矯正治療が向いています。
目次
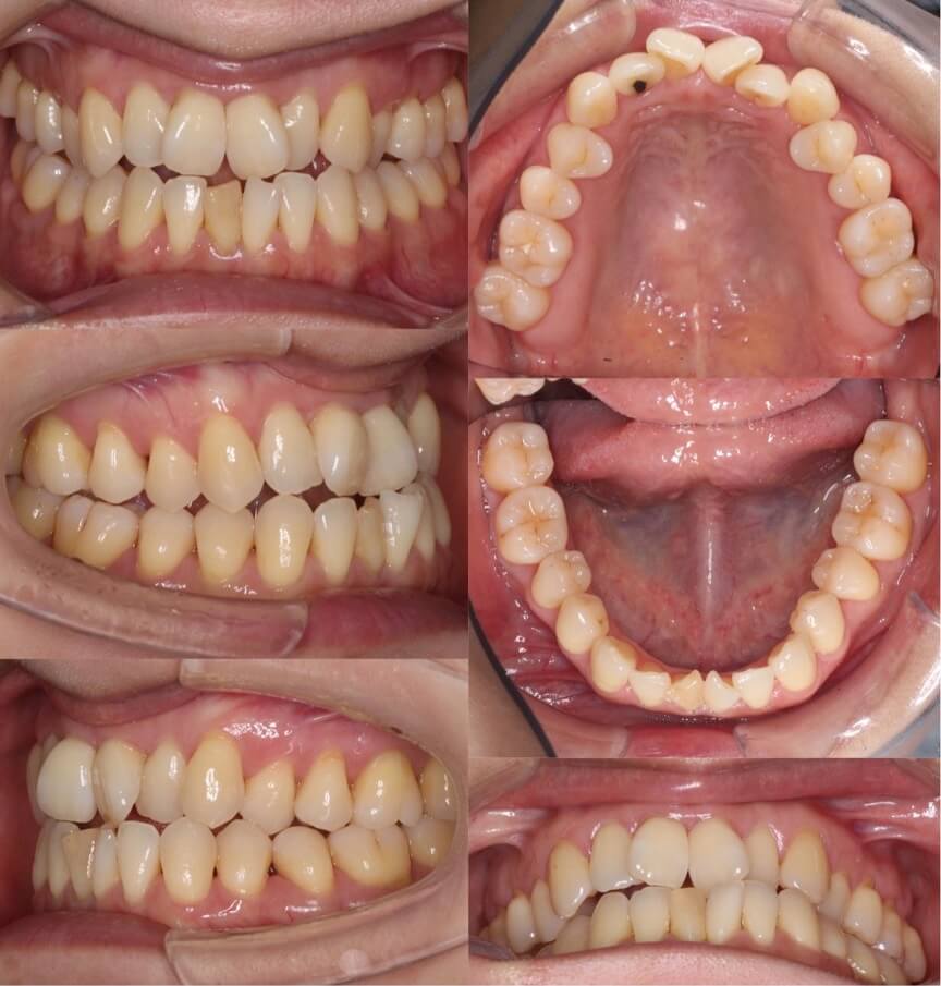
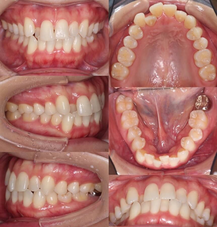
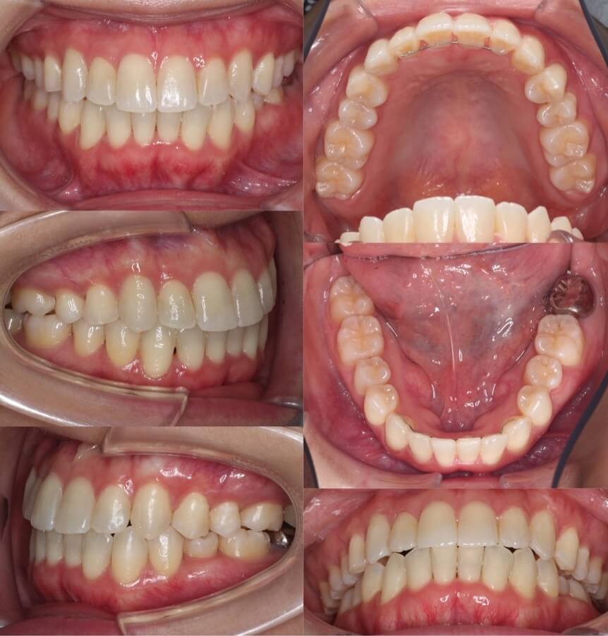
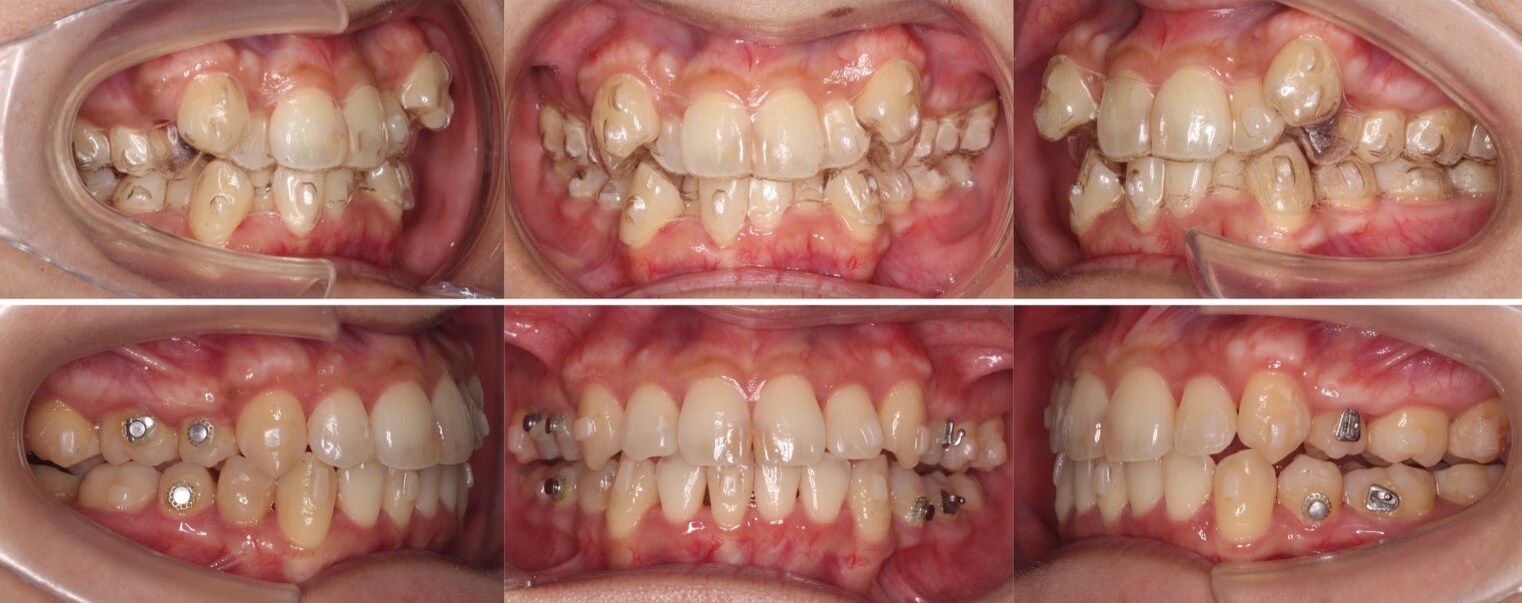
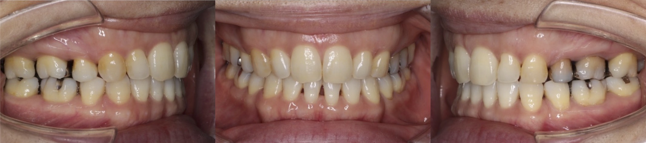
40歳女性・マウスピース型矯正装置
<症例概要>
主訴:クロスバイト
年齢・性別:41歳女性
住まい:千葉県浦安市
症状:下顎左偏・交叉咬合・上下顎前歯捻転・正中線の不一致
治療方針:右下臼歯後方移動・IPR・上顎歯列拡大
治療装置:マウスピース型矯正装置(アライナー装置)
治療期間:1年9か月
アライナー枚数:52+25+14(7日交換)
リテーナー:上下フィックスタイプ+クリアタイプ
治療費用:990,000(税込)
代表的副作用:痛み・治療後の後戻り・歯根吸収・歯髄壊死・歯肉退縮
▶︎その他の副作用
【治療シミュレーション】
右側にIII級ゴムを2本かけることで、協力に下顎歯列を右方に回転させ正中線を一致させました。
※マウスピース型カスタムメイド矯正歯科装置は完成物薬機法対象外の矯正装置であり、医薬品副作用被害救済制度の対象とはならない可能性があります。

下あごに非対称により奥歯のクロスバイトになっており、かみ合わせが安定していません。また、全体的にあ歯茎も下がってきています。矯正治療後は、歯茎に少し退縮がみられますが、上下の正中線は一致し前歯のかみ合わせは安定しました。
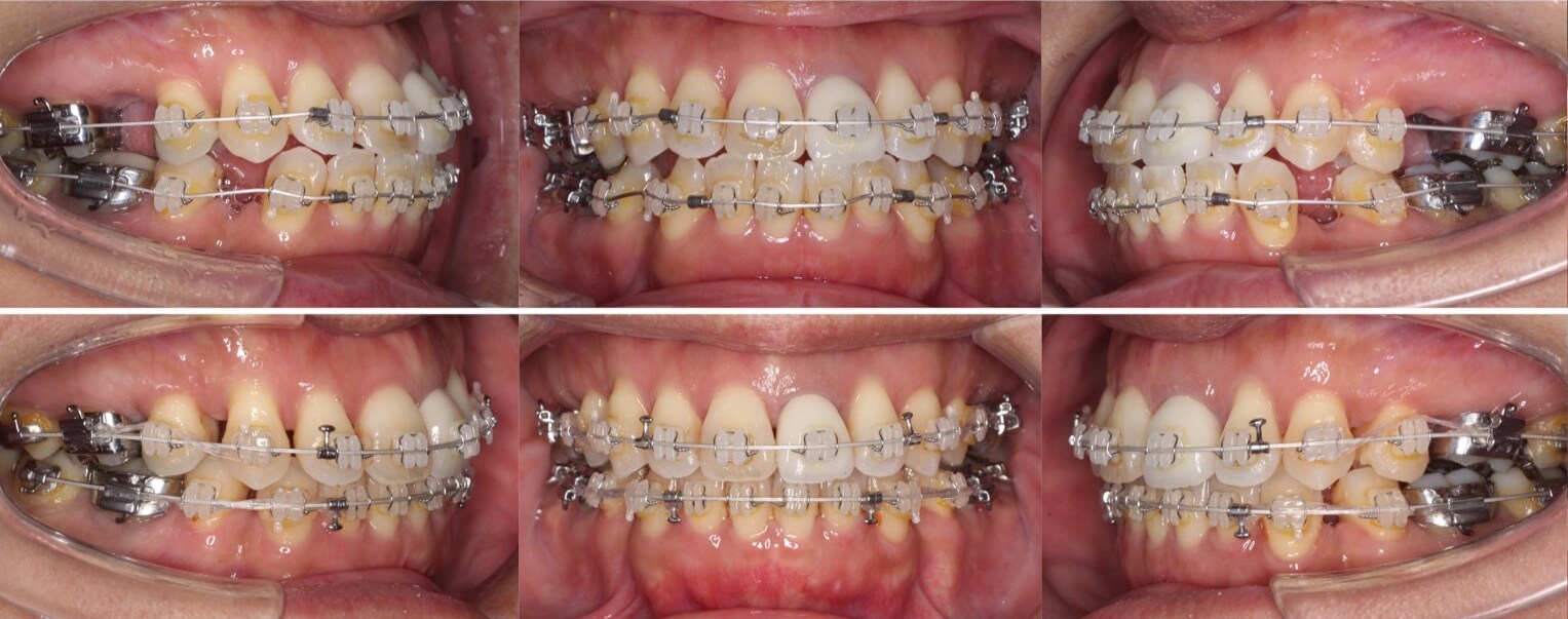
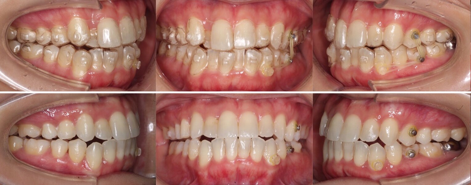
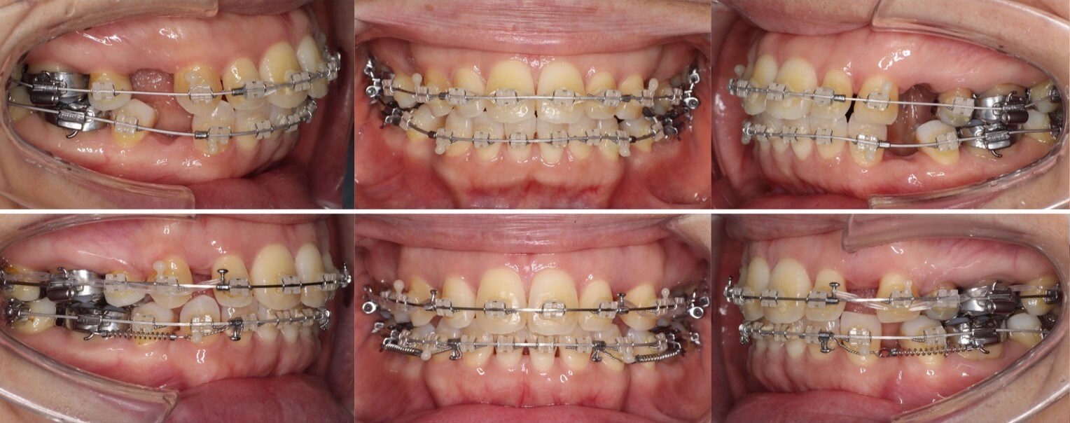
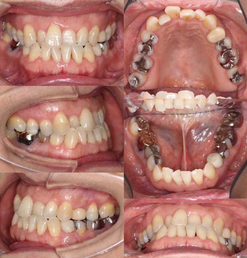
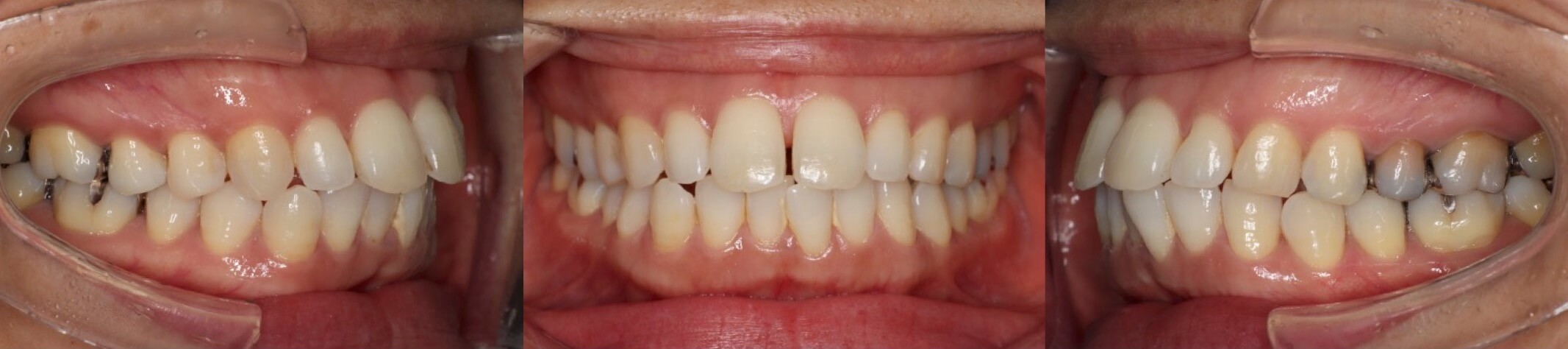
43歳女性・唇側矯正装置・抜歯
<症例概要>
主訴:前歯のがたつきと・かみ合わせ
年齢・性別:43歳女性
住まい:千葉県佐倉い市
症状:叢生・前歯交叉咬合・左上5番萌出不全
治療方針:右上下4番・左上下5番(計4本)
治療装置:唇側矯正装置
固定装置:リンガルアーチ
治療期間:2年6か月
リテーナー:下フィックス+上下クリアタイプ
治療費用:968,000(税込)
代表的副作用:痛み・治療後の後戻り・歯根吸収・歯髄壊死・歯肉退縮
▶︎その他の副作用

抜歯矯正ではふつう4番を抜歯するのですが、歯の状況によっては5番を抜歯することもあります。左上の5番の歯が半分弱しか出てきてないことと、左下の5番が大きく外側に転位していることから、左側のみ5番を抜歯し矯正治療を行いました。やや歯列の正中線は、4番を抜歯した右側に引っ張られたのですが、患者さんはそこまで気にしていませんでした。
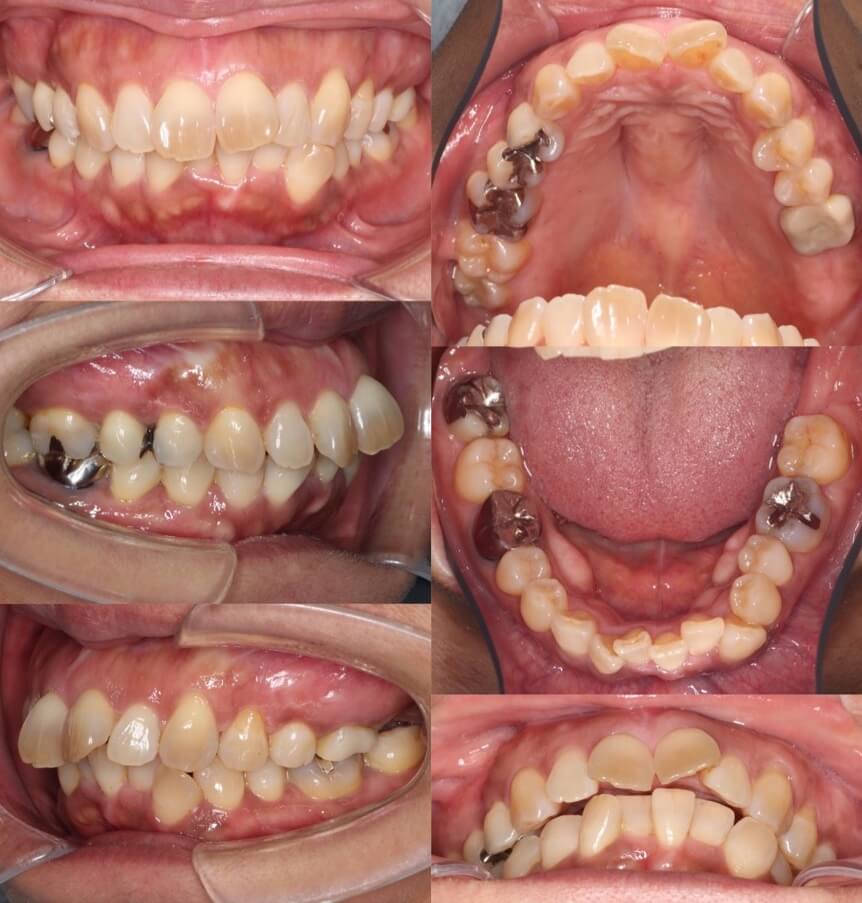
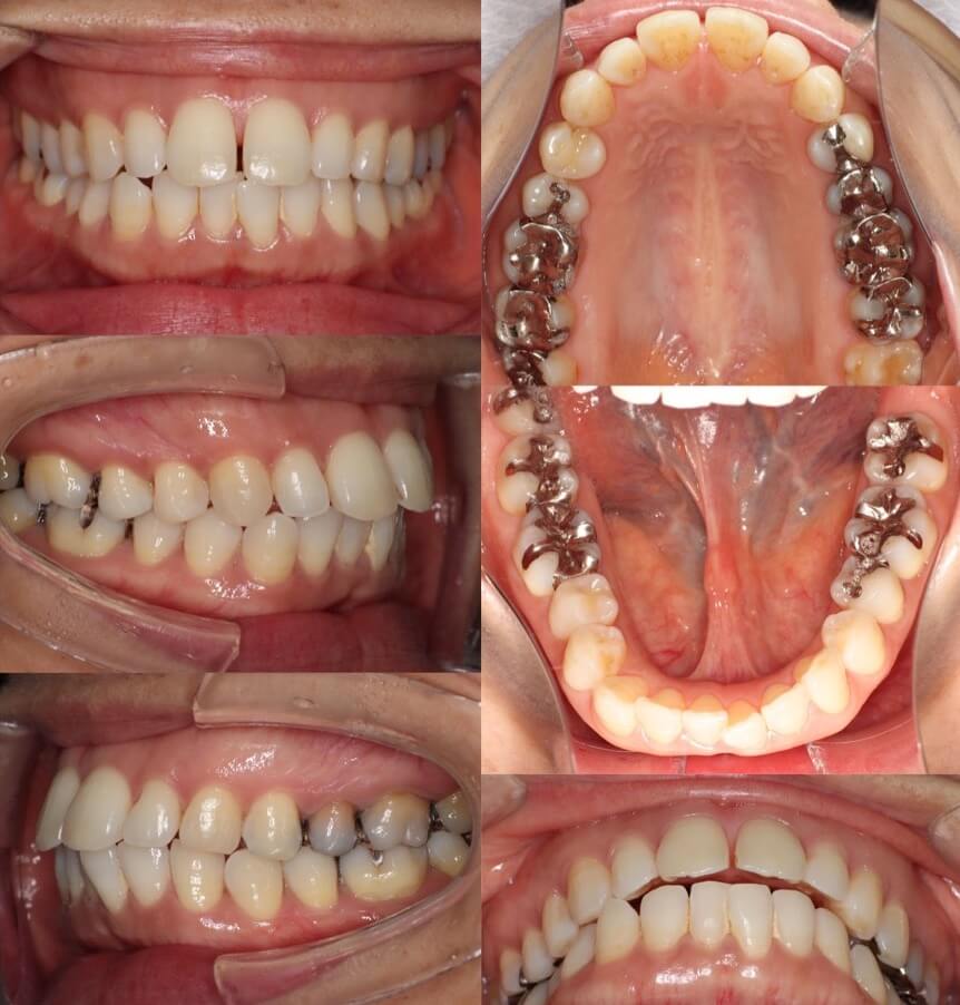
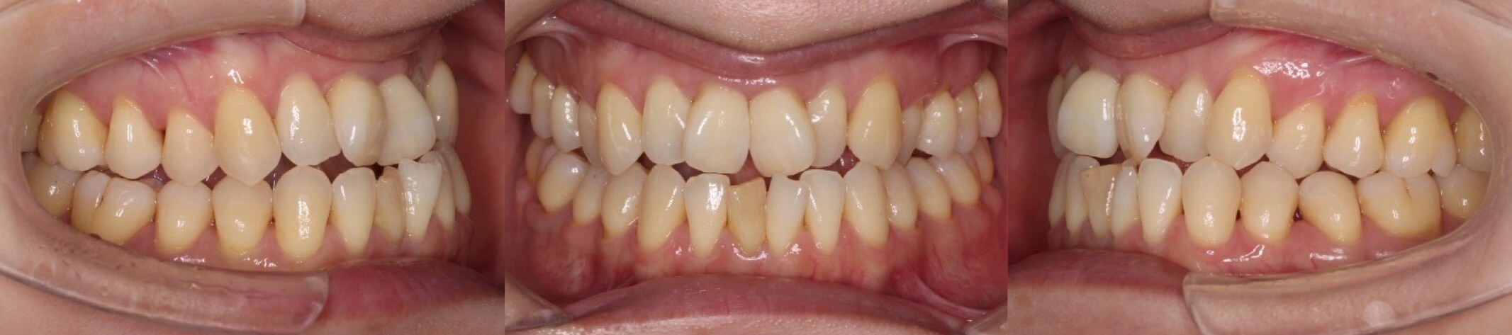
46歳女性・唇側矯正装置・抜歯
<症例概要>
主訴:前歯と口元の突出
年齢・性別:43歳女性
住まい:千葉県佐倉市
症状:叢生・上下顎前歯唇側傾斜
治療方針:上左右5番・下左右4番(計4本)
治療装置:唇側矯正装置
固定装置:ナンスホールディングアーチ
治療期間:3年
リテーナー:下フィックス+上下クリアタイプ
治療費用:968,000(税込)
代表的副作用:痛み・治療後の後戻り・歯根吸収・歯髄壊死・歯肉退縮
▶︎その他の副作用

前歯の突出のため口が閉じづらいことを気にされていて矯正治療を希望された患者さんです。年齢的に抜歯を行うか迷ったのですが、患者さんの主訴を優先して抜歯矯正により前歯を後方移動させました。抜歯部位については、上の歯並びは治療歯である第二小臼歯(5番)を選択しています。その分、治療期間は3年を超えてしまったのですが、理想的な横顔になりました。
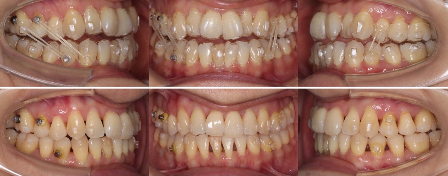
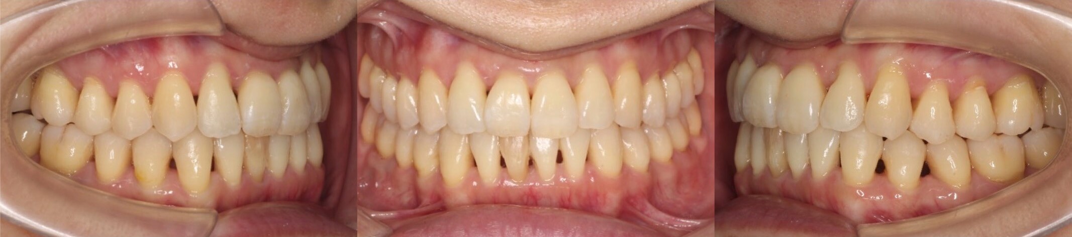
53歳女性・マウスピース型矯正装置

上顎歯列の後方移動を行う際、ふつうは親知らずの抜歯が必要になります。ですが、ミドルエイジの矯正治療では、できるだけ歯数を減らさないように計画を立てます。本治療では、歯科矯正用アンカースクリューを併用することで、達成いたしました。
<症例概要>
主訴:前のねじれと突出
年齢・性別:53歳女性
住まい:千葉県八千代市
症状:下顎後退・上下顎前歯唇側傾斜・叢生・左上7番欠損
治療方針:上顎歯列遠心移動
治療装置:マウスピース型矯正装置(アライナー装置)
固定装置:歯科矯正用アンカースクリュー・II級ゴム
治療期間:1年5か月
アライナー枚数:43+23(7日交換)
リテーナー:上下フィックスタイプ+クリアタイプ
治療費用:990,000(税込)
代表的副作用:痛み・治療後の後戻り・歯根吸収・歯髄壊死・歯肉退縮
▶︎その他の副作用
【治療シミュレーション】
II級ゴムとアンカースクリューからの顎内ゴムで上顎歯列を後方移動させています。
※マウスピース型カスタムメイド矯正歯科装置は完成物薬機法対象外の矯正装置であり、医薬品副作用被害救済制度の対象とはならない可能性があります。
40歳女性・マウスピース型矯正装置

マウスピース矯正治療では奥歯の回転を治すことが難しいです。複雑なゴムの掛け方をうまく利用して90度回転させました。
<症例概要>
主訴:クロスバイト
年齢・性別:40歳女性
住まい:千葉県八千代市
症状:左右2番と左5番クロスバイト・叢生
治療方針:右下臼歯後方移動+IPR・上顎歯列拡大
治療装置:マウスピース型矯正装置(アライナー装置)
治療期間:1年4か月
アライナー枚数:26+24+17(7日交換)
リテーナー:上下フィックスタイプ+クリアタイプ
治療費用:990,000(税込)
代表的副作用:痛み・治療後の後戻り・歯根吸収・歯髄壊死・歯肉退縮
▶︎その他の副作用
【治療シミュレーション】
L字ゴムを使用して、クロスバイトの左下5番目の歯を回転させながら内側に移動させました。
※マウスピース型カスタムメイド矯正歯科装置は完成物薬機法対象外の矯正装置であり、医薬品副作用被害救済制度の対象とはならない可能性があります。
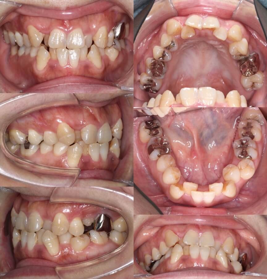
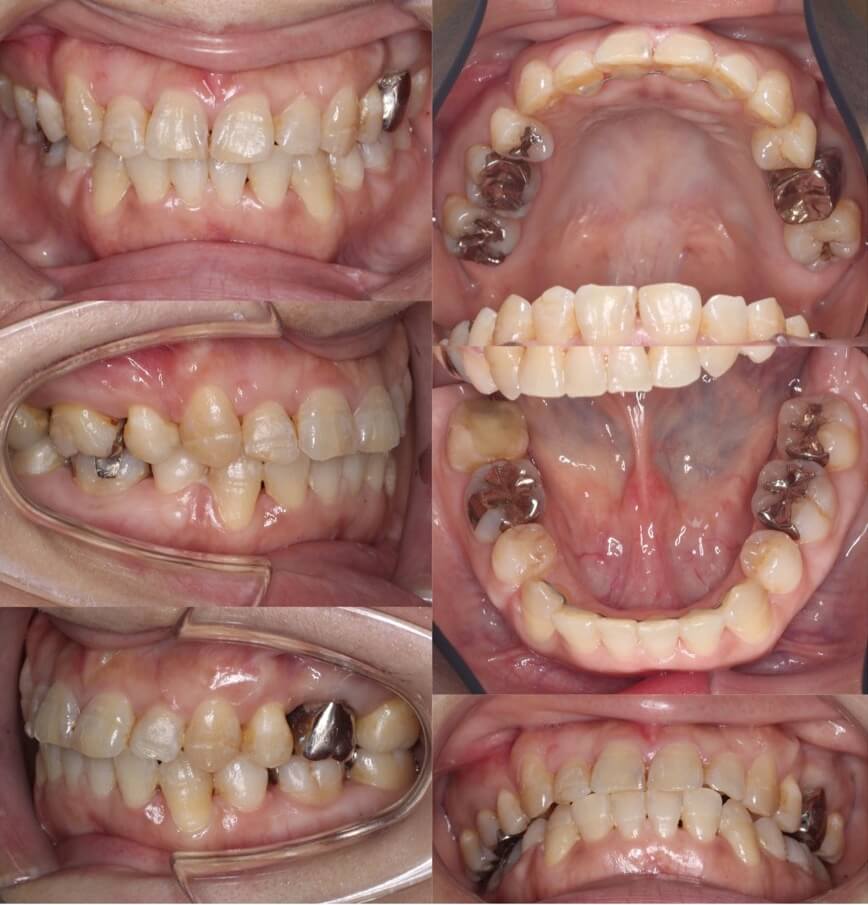
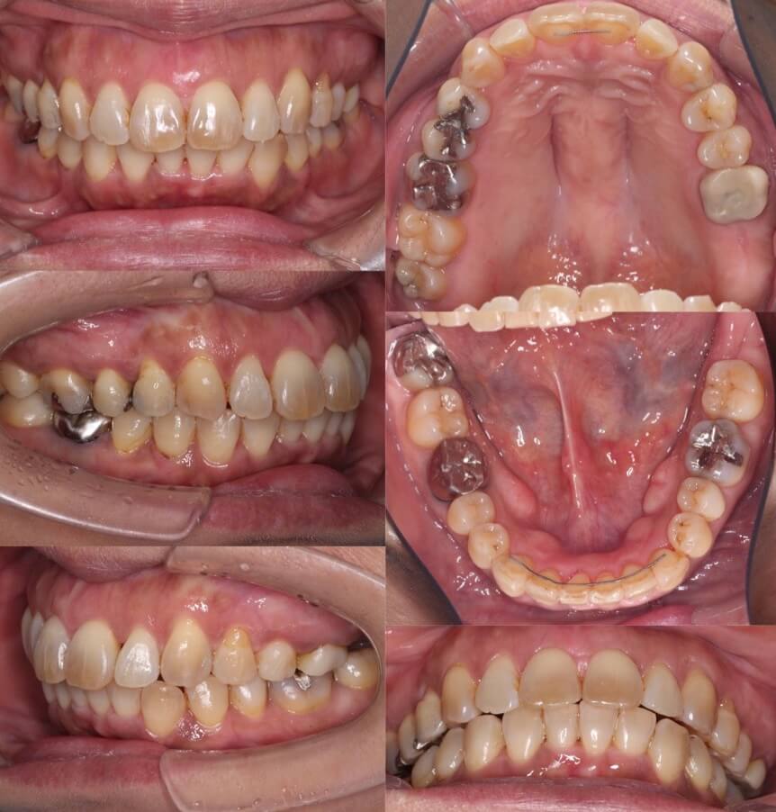
43歳女性・唇側矯正装置・抜歯

ミドルエイジの矯正治療で抜歯方針を選択する場合は、細心の注意を払います。これは、前歯が後方に引き下がりすぎる可能性があるからです。事前に横顔のシミュレーションを確認していただき、ほうれい線が深くなるなどのリスクも承諾の上、治療を開始しました。治療後はバランスの良い横顔になりました。
<症例概要>
主訴:口元の突出
年齢・性別:43歳女性
住まい:千葉県八千代市
症状:上下顎前歯唇側傾斜・正中離開
治療方針:上下左右4番(計4本)
治療装置:唇側矯正装置
固定装置:ナンスホールディングアーチ
治療期間:2年9か月
リテーナー:上下フィックス+プレートタイプ
治療費用:968,000(税込)
代表的副作用:痛み・治療後の後戻り・歯根吸収・歯髄壊死・歯肉退縮
▶︎その他の副作用
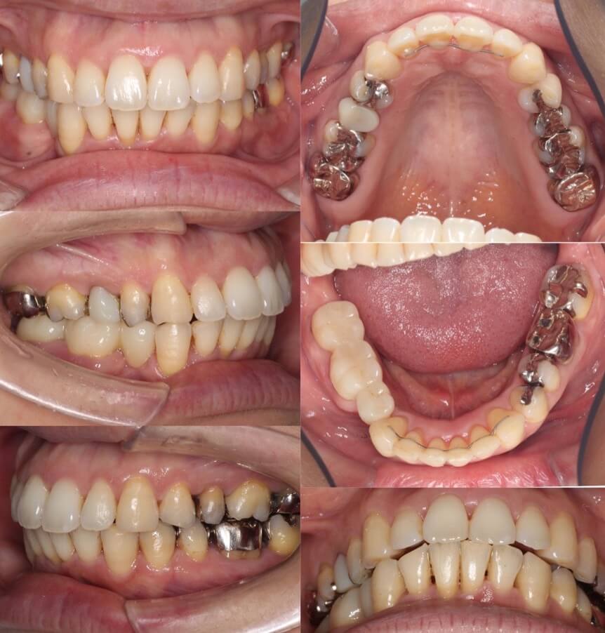
53代女性・ブリッジ補綴・マウスピース型装置

右下が2歯欠損しており、下の歯並びの正中も大きく右にずれているケースです。欠損部はブリッジ補綴を行う予定でしたので、スペースを開きすぎないように注意しながら上下歯列の正中線を近づけました。正中線は多少不一致が残ってしまったのですが、上の前歯も後退し、治療後は良好な歯列とかみ合わせになりました。
<症例概要>
主訴:上の前歯の前突
年齢・性別:50代女性
住まい:千葉県八千代市
症状:右下54番欠損・上顎前突・下顎右偏
治療方針:抜歯空隙閉鎖+下顎前歯唇側傾斜
補綴:右下⑦6⑤ブリッジ(一般歯科依頼)
治療装置:マウスピース型矯正装置(アライナー装置)
治療期間:1年7か月
アライナー枚数:42+31ステージ
リテーナー:上下フィックスタイプ+プレートタイプ
治療費用:990,000(税込)
代表的副作用:痛み・治療後の後戻り・歯根吸収・歯髄壊死・歯肉退縮
▶︎その他の副作用
【治療シミュレーション】
右下の抜歯欠損歯空隙にブリッジを作成できるよう1歯分以上(7.5mm)開かないように設定しました。
※マウスピース型カスタムメイド矯正歯科装置は完成物薬機法対象外の矯正装置であり、医薬品副作用被害救済制度の対象とはならない可能性があります。
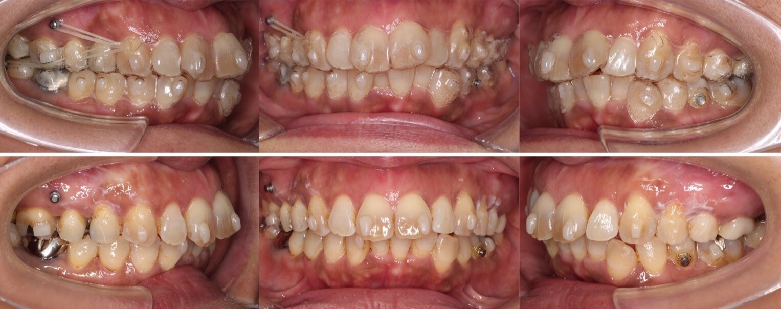
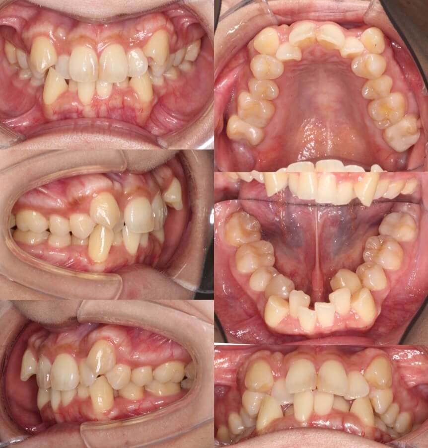
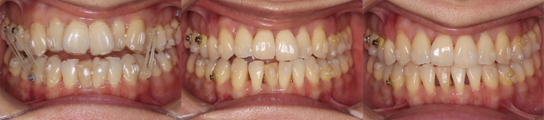
42歳女性・重度叢生・マウスピース装置

ミドルエイジの矯正治療では、できる限り抜歯を併用しないのですが、このように重度のがたつきがある場合は、抜歯を併用します。
<症例概要>
主訴:がたつき
年齢・性別:40代女性
住まい:千葉県佐倉市
症状:叢生・下顎右辺・右II級
抜歯:上左右4番・左下4番(計3本)
治療方針:抜歯空隙閉鎖
治療装置:マウスピース型矯正装置(アライナー装置)
治療期間:2年0か月
アライナー枚数:34+27-14ステージ
リテーナー:上フィックスタイプ+プレートタイプ
治療費用:990,000(税込)
代表的副作用:痛み・治療後の後戻り・歯根吸収・歯髄壊死・歯肉退縮
▶︎その他の副作用
【治療シミュレーション】
上の抜歯空隙に、ゆっくりと確実に犬歯を移動させます。
※マウスピース型カスタムメイド矯正歯科装置は完成物薬機法対象外の矯正装置であり、医薬品副作用被害救済制度の対象とはならない可能性があります。
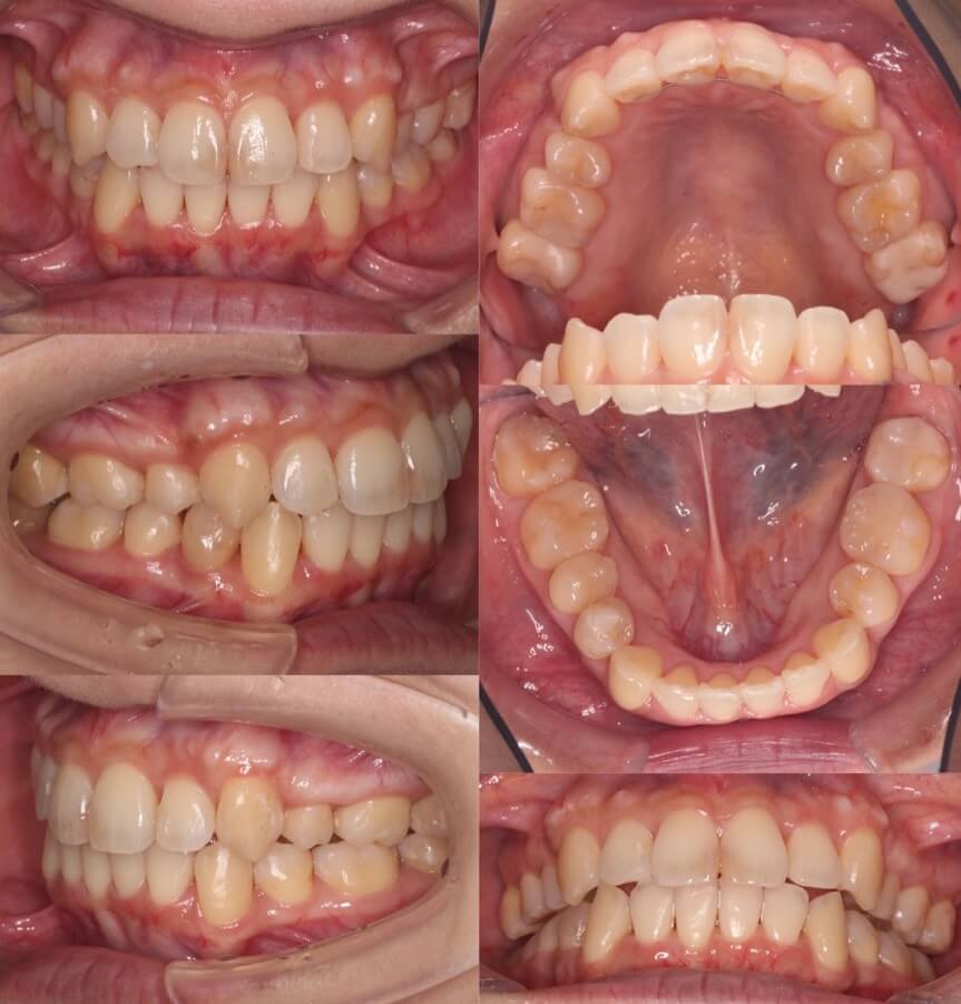
63歳女性・反対咬合・マウスピース装置

<症例概要>
主訴:前歯のかみ合わせ
年齢・性別:60代女性
住まい:千葉県八千代市
症状:反対咬合・叢生
治療方針:上顎前歯前方拡大・下顎後方移動
治療装置:マウスピース型矯正装置(アライナー装置)
治療期間:3年2か月
アライナー枚数:60+35-22ステージ
リテーナー:上下フィックスタイプ+プレートタイプ
治療費用:990,000(税込)
代表的副作用:痛み・治療後の後戻り・歯根吸収・歯髄壊死・歯肉退縮
▶︎その他の副作用
【治療シミュレーション】
下の歯並びをIPRを加えながら後方移動させています。上の前歯は歯茎が下がらない程度で前方移動させています。
※マウスピース型カスタムメイド矯正歯科装置は完成物薬機法対象外の矯正装置であり、医薬品副作用被害救済制度の対象とはならない可能性があります。
年齢的なことを配慮して、できる限り歯の移動量は最小限にしています。前歯のかみ合わせは奥歯を守るために重要な役割を果たします。
矯正歯科治療に伴うリスクや副作用について
- 治療開始直後は矯正装置による不快感、痛み等があります。1、2 週間以内で慣れることが多いです。
- 歯の動き方には個人差があります。予想された治療期間が延長する可能性があります。
- 矯正装置の使用、管理、定期的な通院など、矯正治療には患者さんの協力が治療結果や治療期間に影響します。
- 治療中は、むし歯や歯周病のリスクが高まりますので、丁寧に磨いたり、定期的なメンテナンスを受けたりすることが重要です。また、歯が動くと隠れていたむし歯が発見されることもあります。
- 歯を動かすことにより歯根が吸収して短くなることがあります。また、歯ぐきが下がることがあります。
- ごくまれに歯が骨と癒着していて歯が動かないことがあります。
- ごくまれに歯を動かすことで神経が障害を受けて壊死することがあります。
- 治療途中に金属等のアレルギー症状が出ることがあります。
- 治療中に「顎関節で音が鳴る、あごが痛い、口が開けにくい」などの顎関節症状が出ることがあります。
- 治療中に状況が変わり、当初予定した治療計画を変更する可能性があります。
- 歯の形を修正したり、咬み合わせの微調整を行ったりする可能性があります。
- 矯正装置を誤飲する可能性があります。
- 矯正装置を外す時に、エナメル質に微小な亀裂が入る可能性や、かぶせ物(補綴物)の一部が破損する可能性があります。
- 治療終了後、リテーナーを指示通り使用しないと後戻りが生じる可能性が高くなります。
- 治療終了後、現在の咬み合わせに合った状態のかぶせ物(補綴物)やむし歯の治療(修復物)などをやりなおす可能性があります。
- 10代のあごの成長発育によりかみ合わせや歯並びが変化する可能性があります。
- 治療後に親知らずの影響で歯並びが変化することがあります。。加齢や歯周病等により歯を支えている骨がやせるとかみ合わせや歯並びが変化することがあります。その場合、再治療等が必要になることがあります。
- 矯正歯科治療は、一度始めると元の状態に戻すことは難しくなります。
- ※その他の副作用とリスクについて▶︎










































