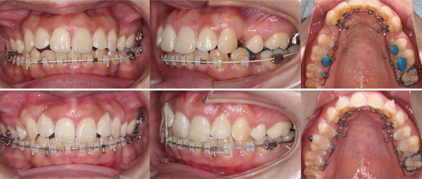
ハーフリンガル矯正装置(上のみ裏側装置)の矯正治療例

歯の裏側にワイヤー型装置を装着するリンガル矯正治療の症例です。
上のみ裏側に、下は表側に矯正装置を装着する治療方法を「ハーフリンガル」と呼びます。当院では裏側の矯正装置では、こちらの治療方法を取り扱っております。
矯正装置は提携の日本の技工所で1つ1つ丁寧に制作していただいております。下が表側の矯正装置でもそこまで目立つ事はなく、「目立たなさ」では一番コストパフォーマンスが高い治療方法です。「出っ歯」や「口ゴボ」で小臼歯抜歯治療方針の患者さんがハーフリンガル治療を選択される事が多いです。奥歯の固定のためにほとんどのケースで歯科矯正用アンカースクリューも併用します。
目次
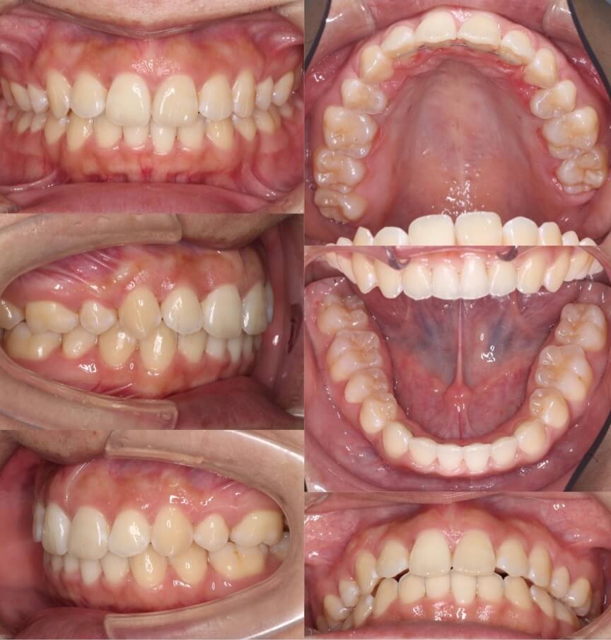
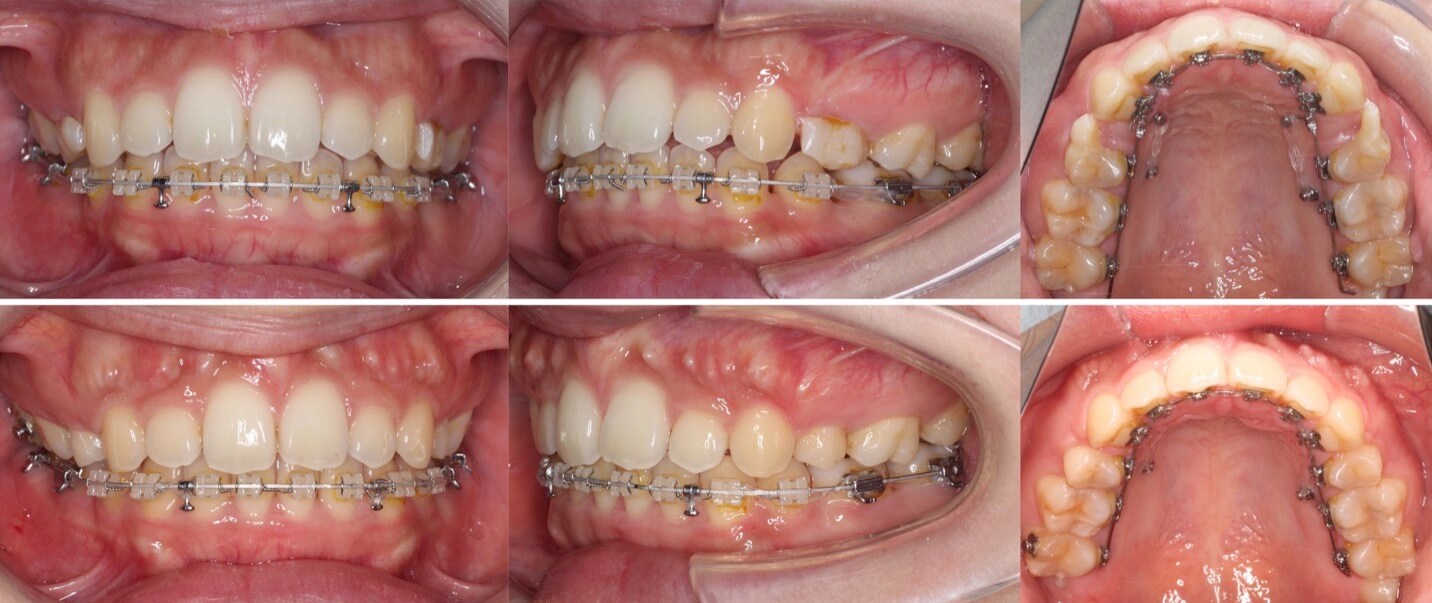
上顎前突・20代女性・抜歯
<症例概要>
主訴:前歯の前突
年齢・性別:20代女性
住まい:千葉県八千代市
症状:上顎前突・過蓋咬合・下顎叢生
治療方針:抜歯空隙の閉鎖(最大固定)
治療装置:ハーフリンガル矯正装置(上のみ裏側装置)
固定装置:歯科矯正用アンカースクリュー(口蓋側壁x2)
抜歯:上左右4番、左下5番(計3本)
治療期間:3年1か月
リテーナー:上下フィックスタイプ+プレートタイプ+クリアタイプ
治療費用:1,485,000(税込)
代表的副作用:痛み・治療後の後戻り・歯根吸収・歯髄壊死・歯肉退縮
▶︎その他の副作用

下顎の左右への偏位があり、上下の正中線がずれている上顎前突症例です。こういったケースでは3本抜歯が採用されます。下の前歯が、上の前歯の裏側へ深く噛み込んでいるため、ダイレクトトラック(かみ合わせの高さを上げる青いレジン)を装着して治療は進めていきました。途中、上の前歯の配列がうまく合わず調整に時間がかかってしまったため、治療期間は3年を超えています。リンガル装置では歯の微妙な位置調整が難しいところがデメリットでもあります。
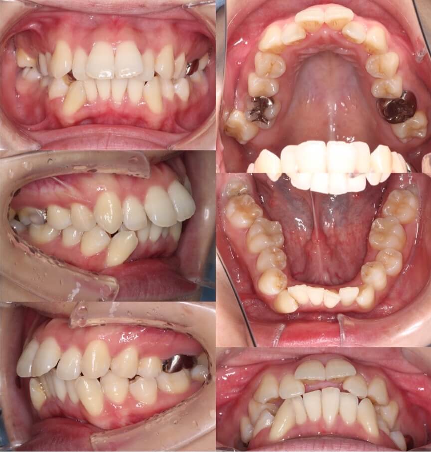
上下顎前突・20代女性・抜歯

あごの奥行きがなく、E-line(鼻とあご先を結んだ線)から唇が前に突出している状態です。抜歯を併用する事で前歯が引っ込み、口が引っ込みました。口が閉じやすくなる事で今までなかった「あご先」ができました。治療期間は予定の2年半を超えてしまったのですが、ハーフリンガル は目立ちにくいので患者さんはそこまで気にしていませんでした。
<症例概要>
主訴:口が出ている
年齢・性別:20代女性
住まい:千葉県鎌ヶ谷市
症状:叢生・上下顎前突
治療方針:抜歯空隙の閉鎖(最大固定)
治療装置:ハーフリンガル矯正装置(上のみ裏側装置)
固定装置:歯科矯正用アンカースクリュー(口蓋側壁x2)
抜歯:上下左右第一小臼歯(計4本)
治療期間:2年8か月
リテーナー:上下フィックスタイプ+プレートタイプ+クリアタイプ
治療費用:1,485,000(税込)
代表的副作用:痛み・治療後の後戻り・歯根吸収・歯髄壊死・歯肉退縮
▶︎その他の副作用
上下顎前突・20代女性・抜歯
<症例概要>
主訴:横顔で口元が突出している
年齢・性別:20代女性
住まい:千葉県成田市
症状:叢生・上下顎前突
治療方針:抜歯空隙の閉鎖(最大固定)
治療装置:ハーフリンガル矯正装置(上のみ裏側装置)
固定装置:歯科矯正用アンカースクリュー(口蓋側壁x2)
抜歯:上左右4番・下左右5番(計4本)
治療期間:2年9か月
リテーナー:上下フィックスタイプ+プレートタイプ+クリアタイプ
治療費用:1,485,000(税込)
代表的副作用:痛み・治療後の後戻り・歯根吸収・歯髄壊死・歯肉退縮
▶︎その他の副作用
上下顎前突・20代女性・抜歯





<症例概要>
主訴:出っ歯
年齢・性別:10代女性
住まい:千葉県八千代市
症状:上顎前突・叢生
治療方針:抜歯空隙閉鎖
治療装置:ハーフリンガル矯正装置(上のみ裏側装置)
固定装置:歯科矯正用アンカースクリュー(口蓋側壁x2)
抜歯:上第二小臼歯(計2本)
治療期間:2年0か月
リテーナー:上下顎プレートタイプ+フィックスタイプ
治療費用:1,485,000(税込)
代表的副作用:痛み・治療後の後戻り・歯根吸収・歯髄壊死・歯肉退縮
▶︎その他の副作用

神経を抜いている上の第二小臼歯を抜歯し、出ている前歯を後方移動させました。通常後方の小臼歯を抜歯すると、歯の移動量が増えるため治療期間が長くなるのですが、アンカースクリューを使用する事でまとめて前歯を移動させ2年以内で終了する事ができました。
上顎前突・高校生女性・抜歯なし





<症例概要>
主訴:出っ歯
年齢・性別:高校生女性
住まい:千葉県八千代市
症状:上顎前突・叢生
治療方針:上下歯列拡大・IPR
治療装置:ハーフリンガル矯正装置(上のみ裏側装置)
固定装置:ポーター型装置
治療期間:2年2か月
リテーナー:上下顎プレートタイプ+フィックスタイプ
治療費用:1,485,000(税込)
代表的副作用:痛み・治療後の後戻り・歯根吸収・歯髄壊死・歯肉退縮
▶︎その他の副作用

出っ歯の矯正治療は、小臼歯抜歯が第一選択ですが、歯並びが狭くV字型の場合は抜歯を併用しなくても治せる事があります。先に太い内側ワイヤー拡大装置を用いて、ある程度歯列拡大を行った後に裏側矯正装置で飛び出している前歯を中内側に引っ込めます。
上下顎前突・20代女性・抜歯あり





<症例概要>
主訴:口ゴボ(口元が出ている)
年齢・性別:20代女性
住まい:千葉県八千代市
症状:上下顎前突
治療方針:抜歯空隙の閉鎖(最大固定)
治療装置:ハーフリンガル矯正装置(上のみ裏側装置)
固定装置:歯科矯正用アンカースクリュー(口蓋側壁x2)
抜歯:上下左右第一小臼歯(計4本)
治療期間:2年
リテーナー:上顎プレートタイプ+上下顎フィックスタイプ
治療費用:1,485,000(税込)
代表的副作用:痛み・治療後の後戻り・歯根吸収・歯髄壊死・歯肉退縮
▶︎その他の副作用

オーソドックスな上下顎前突を小臼歯抜歯を併用して治しました。表側矯正治療と比較して裏側矯正のワイヤーは細く弱いため、前歯の後方移動を行う際、ボーイングエフェクトというワイヤーがたわむ現象が強く出ます。
この現象アンカースクリュー から前歯を後方牽引する事で、最小限に抑える事ができます。アンカースクリューにパワーチェーンと呼ばれる弾性のあるチェーンを毎回交換しながら、ゆっくりと前歯6本を引っ張ります。結果的には、無駄な歯の動きもなくなるため治療期間も短くなります。治療後は前開きになっていた前歯が後ろに引っ込み、患者さんは口が閉じやすくなったと喜んでいました。
上下顎前突・20代女性・抜歯あり





<症例概要>
主訴:出っ歯を治したい
年齢・性別:20代女性
住まい:千葉県八千代市
症状:上下顎前突
治療方針:抜歯空隙の閉鎖(最大固定)
治療装置:ハーフリンガル矯正装置(上のみ裏側装置)
固定装置:歯科矯正用アンカースクリュー(口蓋側壁x2)
抜歯:上第一小臼歯・下第二小臼歯(計4本)
治療期間:2年2か月
リテーナー:上下顎プレートタイプ+フィックスタイプ
治療費用:1,485,000(税込)
代表的副作用:痛み・治療後の後戻り・歯根吸収・歯髄壊死・歯肉退縮
▶︎その他の副作用

上顎前突ケースです。上は第一小臼歯、下は虫歯があった第二小臼歯を抜歯し、上の前歯を7mmほど後ろに引っ込めました。本来は上下左右同名歯を抜歯する方が良いのですが、虫歯や補綴物ある場合は、柔軟に決定します。また、上顎前突の改善には下は奥歯を動かしやすい第二小臼歯を抜歯した方が有利な場合もあります。
やはり、裏側矯正で前歯を後ろに引っ込める際は、治療を効率化させるためにアンカースクリューを必ず使用します。簡単な手術で、歯茎に1.5mm程度の細さのピンを入れる感じです。治療後は除去し傷は残りませんのでご安心ください。治療後は、口元も下がり、まわりに「なんか雰囲気変わったね」と、言われるようになったそうです。
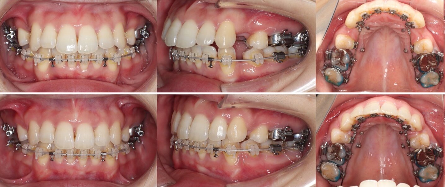
30代女性・上下顎前突・抜歯あり

<お顔のビフォーアフター>





<症例概要>
主訴:出っ歯
年齢・性別:20代女性
住まい:東京都八王子市
症状:上顎前突・開咬
治療方針:抜歯空隙の閉鎖(最大固定)
治療装置:ハーフリンガル矯正装置(上のみ裏側装置)
抜歯:左上第一小臼歯・右上と下左右第二小臼歯(計4本)
固定装置:歯科矯正用アンカースクリュー(口蓋側壁x2)
治療期間:2年11か月
リテーナー:上プレートタイプ+上下フィックスタイプ
治療費用:1,485,000(税込)
代表的副作用:痛み・治療後の後戻り・歯根吸収・歯髄壊死・歯肉退縮
▶︎その他の副作用

著しい叢生と上下顎前突症例です。銀歯が入っている小臼歯4本抜歯し、アンカースクリュー を併用したハーフリンガル矯正治療を行っています。途中、ご結婚・ご出産・転居など様々なライフイベントがあり少し治療期間はかかりましたが、ギリギリ3年以内で終わりました。結婚式はハーフリンガル装置を装着したまま行ったそうですが、全然気が付かれず大丈夫だったそうです。
矯正歯科治療に伴うリスクや副作用について
- 治療開始直後は矯正装置による不快感、痛み等があります。1、2 週間以内で慣れることが多いです。
- 歯の動き方には個人差があります。予想された治療期間が延長する可能性があります。
- 矯正装置の使用、管理、定期的な通院など、矯正治療には患者さんの協力が治療結果や治療期間に影響します。
- 治療中は、むし歯や歯周病のリスクが高まりますので、丁寧に磨いたり、定期的なメンテナンスを受けたりすることが重要です。また、歯が動くと隠れていたむし歯が発見されることもあります。
- 歯を動かすことにより歯根が吸収して短くなることがあります。また、歯ぐきが下がることがあります。
- ごくまれに歯が骨と癒着していて歯が動かないことがあります。
- ごくまれに歯を動かすことで神経が障害を受けて壊死することがあります。
- 治療途中に金属等のアレルギー症状が出ることがあります。
- 治療中に「顎関節で音が鳴る、あごが痛い、口が開けにくい」などの顎関節症状が出ることがあります。
- 治療中に状況が変わり、当初予定した治療計画を変更する可能性があります。
- 歯の形を修正したり、咬み合わせの微調整を行ったりする可能性があります。
- 矯正装置を誤飲する可能性があります。
- 矯正装置を外す時に、エナメル質に微小な亀裂が入る可能性や、かぶせ物(補綴物)の一部が破損する可能性があります。
- 治療終了後、リテーナーを指示通り使用しないと後戻りが生じる可能性が高くなります。
- 治療終了後、現在の咬み合わせに合った状態のかぶせ物(補綴物)やむし歯の治療(修復物)などをやりなおす可能性があります。
- 10代のあごの成長発育によりかみ合わせや歯並びが変化する可能性があります。
- 治療後に親知らずの影響で歯並びが変化することがあります。。加齢や歯周病等により歯を支えている骨がやせるとかみ合わせや歯並びが変化することがあります。その場合、再治療等が必要になることがあります。
- 矯正歯科治療は、一度始めると元の状態に戻すことは難しくなります。
- ※その他の副作用とリスクについて▶︎













